
本文报道了1例多次复发并恶性变的喉炎症性肌纤维母细胞瘤病例。患者首诊主诉声嘶,首次术后病理诊断"考虑肌纤维母细胞来源肿瘤"。后多次复发,于耳鼻喉科行喉次全切除术,病理诊断为"低-中度恶性肌纤维母细胞肉瘤"。术后患者症状改善,随访36个月,肿瘤无复发及转移。
版权归中华医学会所有。
未经授权,不得转载、摘编本刊文章,不得使用本刊的版式设计。
除非特别声明,本刊刊出的所有文章不代表中华医学会和本刊编委会的观点。
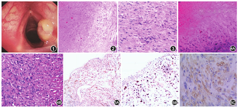
患者女,54岁,主因声带肿物切除术后再发声音嘶哑9个月于2016年5月4日来中南大学湘雅三医院就诊。患者曾因声音嘶哑6个月余于2015年7月22日在外院就诊,行电子喉镜检查结果示:声带肿物,癌?(图1)。完善检查后行"全麻下喉内镜右声带新生物清除术",术后病理提示:考虑肌纤维母细胞来源肿瘤,低度恶性可能。术后9个月患者仍有声音嘶哑,来我院就诊,间接喉镜示:右侧声带充血肥厚,前端可见透明新生物生长,累及左声带及前连合,声门闭合差。在支撑喉镜激光下行气管及喉部新生物切除术。术后病理回报:(喉部声带肿块)黏膜慢性炎,区域梭形细胞瘤样增生伴明显胶原化,小血管增生,其中少数间质细胞核大,结合免疫组化倾向为术后反应性改变(图2),但该部位有炎症性肌纤维母细胞瘤的病史,且未见到原手术切片进行对比,建议密切追观,除外原肿瘤术后复发可能。免疫组化:S100(-)、SMA(个别+)、BCL-2(少数+)、CD34(-)、β-Catenin(-)、ALK(-)、Ki-67(3%)。术后4个月患者再次无明显诱因出现声嘶、发声费力,来我院复查,间接喉镜示:双侧声带近前连合处可见粉红色新生物,表面光滑,声门闭合欠佳。遂行支撑喉镜激光下声带新生物切除术。术后病检:(声带新生物)黏膜慢性炎,局灶梭形细胞瘤样增生,间质黏液变性(图3),结合病史及免疫组化倾向炎症性肌纤维母细胞肿瘤复发可能性大,肿瘤多次复发,低度恶性不能排除,建议密切随诊。免疫组化:S100(-)、SMA(+)、BCL-2(-)、CD34(-)、β-Catenin(+)、Actin(少数+)、ALK(-)、Ki-67(5%)。术后8个月,患者再次出现声嘶、发声困难,外院CT示:声门上区富血供结节灶,结合既往病史考虑炎症性肌纤维母细胞瘤(复发)可能性大,建议活检明确。为求进一步治疗故来我院行喉次全切除术,术后病理诊断:(左、右喉新生物)梭形细胞肿瘤,区域瘤细胞增生活跃,有异型,向周边骨骼肌内浸润性生长,局灶侵犯软骨组织,结合免疫组化考虑低-中度恶性肌纤维母细胞肉瘤(图4)。免疫组化:S100(-)、SMA(+)、BCL-2(-)、CD34(-)、β-Catenin(+)、Actin(弱+)、CD31(-)、Calponin(+)、H-Caldesmon(-)、ALK(-)、Ki-67(30%),见图5。术后随访36个月,肿瘤无复发及转移,患者目前生存状况良好。


炎症性肌纤维母细胞瘤(inflammatory myofibroblastic tumor,IMT)是一种间叶源性梭形细胞肿瘤,过去被认为是一种炎症反应性增生性病变,而非真性肿瘤。2002年WHO将IMT定义为"由分化的肌纤维母细胞性梭形细胞组成的,伴大量浆细胞和(或)淋巴细胞浸润的一种肿瘤",好发儿童和青少年,女性多见[1]。IMT可以发生在身体很多部位,包括头颈部、肺部、胃肠道、肝、肾、腹腔、膀胱等,外阴、子宫也有报道[2,3]。但发生在喉部的病例少见。该病生物学行为多为低度恶性,复发率23%~27%[4]。有文献报道发生在头颈部的IMT更具有侵袭性[5]。IMT的病因目前尚不明确,有学者认为可能与病毒感染、炎症、自身免疫异常相关。但也有文献报道50%的IMT有2p23染色体上ALK基因重排及ALK蛋白的激活,认为基因遗传学因素才是该病发生的原因[6]。
IMT无特异的临床表现,多与肿瘤的发生部位相关,如本例患者,发生在喉部的IMT多以咳嗽、声嘶就诊。发生在其他部位的还常有腹痛、体表包块、压迫等症状。影像学主要有助于辨别肿瘤的部位、大小、是否有浸润等,并无特征性表现。肿瘤内钙化、肿瘤边缘渗出和渐进性环形强化有提示该病的可能[7]。由于没有特征性的临床和影像学表现,临床上容易误诊、漏诊,因此诊断该病十分困难。
IMT的确诊主要还是依赖术后病理诊断和免疫组化分析。IMT镜下可见各种组织形态,多数肿瘤主要由温和的梭形细胞构成,梭形细胞可以成束状或编制状排列,细胞无异型性,核拉长,核分裂象多少不一,但无病理性核分裂。肿瘤细胞之间多伴有炎细胞浸润,以淋巴细胞及浆细胞为主,类似于结节性筋膜炎的图像。肿瘤的间质可有黏液样变或玻璃样变,甚至瘢痕化。有病例报道肿瘤内可见巨大组织细胞,形似R-S细胞[8]。单靠HE形态诊断该病也比较困难,最终确诊需免疫组化协助。99%的IMT Vimentin强阳性,肌源性标志物SMA、MSA、Desmin也阳性,并且SMA的阳性率和表达强度都高于MSA和Desmin[9]。部分IMT的肿瘤细胞也表达ALK,且以年轻患者多见。一个收集24例IMT的研究结果显示Calponin 100%阳性,Calponin可作为IMT的重要标志物[10]。
病理光镜下鉴别诊断主要有:(1)平滑肌瘤:梭形细胞排列规则呈编制状,胞质丰富嗜酸性,细胞核呈雪茄型,无炎细胞浸润,免疫组化也可辅助鉴别。(2)间质瘤:CD117和CD34阳性,且间质瘤缺乏炎症的背景。(3)纤维瘤病:肿瘤无包膜,肌纤维母细胞排列为平行的宽束状,略有弯曲。向周边浸润性生长,炎细胞浸润不如IMT弥散。目前,肿块切除或局部扩大切除是治疗IMT的方法。本例患者在行多次局部肿块切除术后,做了次全喉切除术,虽然病检提示恶性变,但随访36个月患者生存状况良好,无复发症状。证明局部扩大切除是治疗IMT的首选方法。综合文献及本例报道,临床上一旦确诊为喉炎症性肌纤维母细胞瘤,应第一时间按照恶性肿瘤的原则进行外科处理,并选择适合患者的手术方式及早进行手术,以防反复复发、反复处理。术后患者也应密切观察及随访。
新版WHO已将炎症性肌纤维母细胞瘤归为交界性肿瘤,认为此瘤具有复发倾向,但很少有转移,有些病例会导致患者死亡[11]。影响IMT预后的因素主要是手术是否完整切除肿瘤。其次还有患者年龄、肿瘤发生部位,以及镜下肿瘤细胞的异型性及Ki-67阳性指数等。本例患者在我院初诊时Ki-67阳性指数为3%,肿瘤复发并恶性变后逐渐增高至30%,因此证明Ki-67阳性指数可能与IMT的分化及预后相关。但该患者3次病检免疫组化结果ALK均为阴性,ALK基因遗传学因素可能并不是影响本例的病因。但Coffin等[12]的研究显示,ALK阳性的IMT复发率要比ALK阴性的复发率高20%,因此临床上发现ALK阳性的IMT患者更应该密切随诊。IMT术后放、化疗效果尚无定论,文献报道1例有ALK基因重排并术后多处转移的肠系膜上皮样型炎症性肌纤维母细胞瘤,在行ALK激酶抑制剂克唑替尼靶向治疗后症状好转,随访7个月患者一般情况良好且未复发[13]。但由于随访时间过短、样本量太少,靶向治疗IMT的效果还有待进一步累计病例观察。
综上所述,炎症性肌纤维母细胞瘤是一种中间型软组织肿瘤,病因不明。临床和影像学均无特异性,诊断主要依靠病理及免疫组化分析,以手术治疗为主,所有患者都必须密切随访以防复发。而术后是否需要辅以放、化疗及靶向治疗仍需进一步研究。
所有作者均声明不存在利益冲突





















