
26岁女性患者,因"左耳肿痛4个月余"于2018年11月4日来广州市增城区人民医院耳鼻喉科就诊并收入院治疗。患者4个月前无明显诱因出现左耳肿痛,经头孢类药物治疗疼痛好转,左耳肿胀进行性加重。入院检查见左侧耳廓背面无痛性包块,约1.0 cm×0.5 cm,质稍硬。颞骨薄层CT提示,左侧耳廓上方结节,无周围组织侵犯表现。术前考虑耳廓良性病变,于11月5日局麻下行耳廓肿物切除术。病理结果回报:炎性肌纤维母细胞瘤。患者术后恢复情况良好,随访14个月未见肿瘤复发。
版权归中华医学会所有。
未经授权,不得转载、摘编本刊文章,不得使用本刊的版式设计。
除非特别声明,本刊刊出的所有文章不代表中华医学会和本刊编委会的观点。
炎性肌纤维母细胞瘤是由(肌)纤维母细胞增生为主的肿瘤,生物学表现低度恶性,转移率低,最常见发病部位为肺,在头颈部发病率低,发生于外耳尤其罕见。本文报告1例发生于耳廓的炎性肌纤维母细胞瘤,并结合既往的文献报道进行分析。
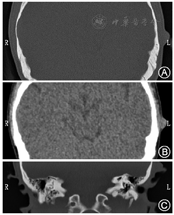
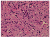
患者女性,26岁,因"左耳肿痛4个月余"于2018年11月4日来广州市增城区人民医院耳鼻喉科就诊并收入院。患者4个月前无明显诱因出现左耳肿痛,无发热,无耳流脓、听力下降、耳鸣,无眼睑闭合不全,无眩晕,曾就诊予头孢类药物治疗,耳痛症状好转,耳廓肿胀无法消退,近4个月来左耳肿胀隆起进行性加重,无伴疼痛,拟"左耳肿物性质待查"收入院。患者既往史无特殊,无疫区疫水及传染病接触史,否认肿瘤家族史。入院时专科体格检查:左耳廓背面、耳后沟前上方新生物,约1.0 cm×0.5 cm,表面光滑,边界清,质稍硬,活动度差,无明显压痛。新生物下方另见一孤立绿豆大小结节,表面光滑,性质同上,无压痛,耳廓表面皮肤未见破损及皮疹,余检查未见异常。入院后完善常规检查未见异常,颞骨薄层CT提示:左侧耳廓上方结节,边界尚清晰,无邻近组织侵犯表现(图1)。术前诊断为左耳肿物,于11月5日在局麻下行耳廓肿物切除,术中所见耳廓肿物边缘尚清晰,未见包膜包裹,与周围组织粘连,底部紧贴耳廓软骨,充分分离后完整切除肿物,耳廓软骨完整无破坏,分层缝合术腔加压包扎,肿物送病理检查。患者术后恢复情况良好,术后第2天出院。病理结果回报:(左耳廓肿物符合炎性肌纤维母细胞瘤(图2)。术后1周患者返院复诊见伤口愈合良好,局部拆线,告知患者病理结果并嘱其定期随诊。现患者术后随访14个月,无肿瘤复发表现,耳廓局部除轻微瘢痕形成外无明显异常。




炎性肌纤维母细胞瘤(inflammatory myofibroblastic tumor, IMT)是一种由肌纤维母细胞和成纤维细胞性梭形细胞组成的独特性肿瘤,伴浆细胞、淋巴细胞和(或)嗜酸粒细胞等炎性细胞浸润,2013年世界卫生组织将其归类为纤维母细胞或肌纤维母细胞性肿瘤[1]。IMT是罕见的间叶性肿瘤,恶性度低,肺是最常见的发生部位[2],肺外的IMT约50%发生于腹腔内的肠系膜和大网膜[3]。IMT在头颈部发生率约占全身IMT的5%,占肺外IMT的14%~18%[4,5]。在耳鼻咽喉专科中,有报道IMT发作于鼻腔鼻窦、扁桃体、喉部、鼻唇沟及颞骨等部位[6,7,8,9,10],本例发作于耳廓的IMT在国内鲜有报道。
IMT可发生于任何年龄,儿童及年轻人多见,据统计男性稍多于女性,男女性的发病比约1.3∶1[11]。本例中患者为青年女性,年龄方面与IMT特点相符。IMT的致病原因尚未明确,Oz等[12]在IMT组织中发现肉芽肿形成及巨细胞浸润,Gale等[13]在肝脏和脾脏的IMT组织中发现EB病毒(Epstein-Barr virus)感染,在肺部的IMT组织中发现放线菌和支原体,提示IMT可能与损伤或感染所致炎性反应有关。此外,IMT也与自身免疫反应异常、血管因素等密切相关[14]。本病例中,患者起病时有耳痛症状,使用头孢药物后疼痛好转,符合炎性反应,考虑IMT起病为炎症所致。
IMT无特定临床表现,症状与肿瘤所在部位有关,单纯依靠临床表现容易漏诊[9]。IMT在影像学方面也缺乏特征性表现,常表现为浸润性生长,也可出现骨质增厚、破坏等类似恶性肿瘤特征。影像学检查可为IMT的定位、周围组织侵犯及血管包绕、制订治疗方案、疗效评估等方面提供参考依据,但由于受肿瘤发生部位、体积及疾病进程等因素影响,难以完全依靠影像学对IMT明确诊断并鉴别其他病变[10,15]。本例患者术前急性炎症症状已消退,但耳廓肿胀隆起仍有加重,CT平扫中可见耳廓软组织占位,体积与体格检查大致相符,肿物边界尚清晰,未见明显侵犯表现,术前综合考虑为良性病变,行手术完全切除。
根据肿瘤中(肌)纤维母细胞、炎性细胞分布和间质特征,IMT可大致分为3种组织学类型:①结节性筋膜炎样型,表现为梭形纤维母细胞或肌纤维母细胞松弛排列,伴浆细胞、淋巴细胞、嗜酸性粒细胞浸润,类似炎性肉芽肿;②纤维组织细胞瘤样型,表现为黏液样或胶原化背景下,梭形(肌)纤维母细胞围绕血管成束增殖,伴组织细胞样细胞浸润;③纤维瘤病样型:肿瘤细胞稀少,富含胶原及陈旧性瘢痕组织,炎症细胞浸润不明显[15]。文献报道[13,16],在免疫组化染色中,波形蛋白(vimentin)、平滑肌肌动蛋白(smooth muscle actin,SMA)、肌肉特异性肌动蛋白(muscle-specific actin)的阳性率分别达99%、92%及89%,此外,肌间线蛋白(desmin)和细胞角蛋白(cytokeratin)阳性率也分别为69%和36%。近年来,研究发现约50%的IMT患者存在间变性淋巴瘤激酶(anaplastic lymphoma kinase, ALK)基因重排和异常表达[17]。由于ALK蛋白异常表达及活性异常增强,可激活Ras-ERK、JAK-STAT、PI3K-Akt和PLC γ等多个与细胞增殖、存活、细胞骨架重排和细胞迁移等功能相关的信号转导通路,继而诱发肌纤维母细胞异常增殖,导致肿瘤发生[18]。此外,一些IMT患者虽然ALK检测阴性,但却证实了存在其他基因异常,如TFG-ROS1融合基因、ETV6基因重排和ETV6-NTRK3融合基因,证实了IMT为独立的肿瘤[19]。本病例报告中,手术切除标本镜下可见丰富梭形细胞及炎性细胞浸润,未见明显细胞异型性及核分裂象,可与恶性肿瘤细胞相鉴别,其镜下特点符合结节性筋膜炎样型IMT的组织学特征,免疫组化染色结果部分标志物符合IMT病变。
发生于头颈部的IMT,治疗原则为根治性手术切除,但需结合肿瘤部位综合考虑,若邻近有重要结构,需优先考虑功能因素,尽可能保留重要结构。对于未能完整切除肿瘤或肿瘤可能残留者,术后可补充行放疗及化疗[20]。克唑替尼(crizotinib)是ALK受体酪氨酸激酶抑制剂,可用于治疗ALK阳性的IMT患者。对于部分无法直接手术、诊断未能明确而行保守治疗、术后复发不能再次手术的患者,可使用糖皮质激素及非甾体类抗炎药[10,17]。Applebaum等[21]报道通过使用环氧化酶-2抑制剂塞来昔布治疗IMT,可有效控制肿瘤生长甚至使肿瘤体积缩小。
Gale等[13]报道肺外IMT患者接受根治性手术后,局部复发率为25%,而肿瘤中出现神经节样细胞、异型性细胞、p53基因表达等则预示着有侵蚀性倾向及复发可能。若手术切除不彻底,其复发率可高达50%[20]。据报道[22,23],IMT的转移率低于2%,肿瘤转移可能与特异性融合基因如ALK RANBP2有关,并且转移多见于ALK阴性的IMT患者。在本病例中,患者通过手术完整切除肿瘤,术后恢复情况良好,随访1年余未有临床复发,近期治疗效果良好,其远期效果有待继续观察。
综上所述,IMT是一种低度恶性肿瘤,由于肺外IMT发病率低,临床表现和影像学检查缺乏特征性,手术切除是明确诊断和治疗的首选方法。目前,对于IMT的明确病因以及具体发病机制尚未明确,治疗手段选择较局限,远期疗效如何,尚有待进一步的深入研究。
所有作者均声明不存在利益冲突





















