
报道2例IgG4相关性咽喉部病变患者诊治过程。病例1以声嘶、气促为主要症状,血清IgG4水平正常,经过反复3次活检,最终病理确诊为IgG4相关性喉部病变,甲泼尼龙治疗2.5个月后症状缓解。病例2以渐进性呼吸困难伴吞咽困难为主要症状,查体见口咽部及喉部瘢痕化明显,血清IgG4水平升高,病理活检确诊为IgG4相关性喉部病变,甲泼尼龙治疗3个月后患者症状缓解。
版权归中华医学会所有。
未经授权,不得转载、摘编本刊文章,不得使用本刊的版式设计。
除非特别声明,本刊刊出的所有文章不代表中华医学会和本刊编委会的观点。
IgG4相关性疾病(IgG4-related disease, IgG4-RD)是一种免疫介导的纤维炎症性疾病,典型特征包括肿瘤样增生、器官和组织硬化、纤维化、大量 IgG4+淋巴细胞及浆细胞浸润、血清 IgG4水平升高,激素治疗敏感等[1]。IgG4-RD可累及全身各个系统及器官,常见的受累器官包括:胰腺、胆道、唾液腺、泪腺、眶周组织、颌下腺、腹膜后组织以及淋巴结等[2]。由此IgG4-RD逐渐受到重视,被认为是一种系统性疾病。
累及咽喉的IgG4-RD目前检索到7篇外文文献报道。因该病症状表现多样且缺乏特异性,从而给临床诊断带来一定的困难。为了更好地认识该疾病、提高诊疗水平,本研究报道2例就诊于南方医院耳鼻咽喉头颈外科的IgG4相关性咽喉狭窄病变,并综合国外报道的10例咽喉部病变进行分析,以提高大家对该疾病的认识。
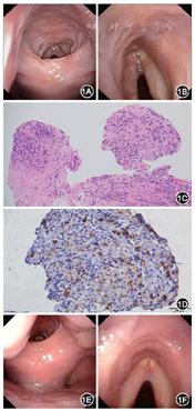
例1 患者女,46岁,因“声嘶、气促4个月”于2019年3月28日就诊于南方医院耳鼻咽喉头颈外科门诊。患者4个月前因声嘶、气促就诊于外院呼吸科,伴咽异物感,无发热、咽痛、咳嗽、咳痰等。患者的肺功能及肺部CT检查无异常,纤维支气管镜检查发现声门上方一肿物,遂转入该院耳鼻咽喉科。电子鼻咽喉镜检查显示:声门上方见一肿物,披裂、室带水肿、苍白,喉腔狭窄,取声门上肿物活检。活检病理结果为:黏膜下肉芽组织形成。患者为进一步诊治于2019年3月28日来我院耳鼻咽喉头颈外科就诊。电子鼻咽喉镜检查显示:会厌喉面、双侧杓会厌襞见可疑瘢痕组织形成(图1A),双侧声带全程欠光滑,前端粘连,双侧声带闭合可(图1B)。喉部增强CT检查显示,双侧颈部淋巴结稍增大,余无异常。取声带黏膜活检,病理回报:炎性息肉。2019年4月7日以“喉梗阻(Ⅰ度)”收入我科。入院后实验室检查:血常规、尿常规、大便常规、肝功能、肾功能检查均无异常,风湿四项(-)、抗中性粒细胞抗体(-)、自身免疫性疾病14项(-)、抗核抗体(-)、红细胞沉降率(-)、血清IgG4正常。胸片、心电图无异常。全麻下扩大范围重新取活检,部位包括会厌、杓会厌黏膜及少许软骨组织。病理回报:纤维组织增生伴慢性炎(排除淋巴瘤等恶性肿瘤),IgG4+浆细胞>50个/HPF,IgG4+浆细胞/IgG+浆细胞约15%,疑似IgG4-RD。考虑患者4个月前在外院曾接受喉部肿物切除术,遂借取外院喉肿物组织玻片,加做IgG4、IgG免疫组化,结果回报:大量纤维组织增生,大量浆细胞及淋巴细胞浸润(图1C),IgG4+浆细胞>50个/HPF,IgG4+浆细胞/IgG+浆细胞>40%,确诊IgG4相关性疾病(图1D)。予甲泼尼龙 40 mg/d,3周后复诊,呼吸不畅明显缓解逐渐减量,口服激素2.5个月后,患者无声嘶、气促表现,电子鼻咽喉镜检查显示,双侧双侧杓会厌皱襞黏膜光滑(图1E),会厌喉面黏膜光滑,声带全程黏膜光滑,闭合佳(图1F)。随访半年,患者病情平稳。


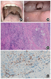
例2 患者女,44岁,因“渐进性呼吸困难伴吞咽困难5个月”就诊于我院耳鼻咽喉头颈外科门诊。患者5个月前无明显诱因出现渐进性气促、吞咽困难,伴咽痛,无发热、咳嗽、咳痰。2019年5月5日就诊于我院,查体见双侧咽腭弓、舌腭弓纤维化明显,左侧为重,悬雍垂左偏(图2A)。电子鼻咽喉镜:口咽、下咽及喉腔黏膜苍白,口咽平面见环形瘢痕狭窄,舌根及咽后壁瘢痕增生,会厌黏膜苍白肿胀,双侧声带活动可(图2B)。颈部增强CT示:口咽及下咽软组织弥漫性增厚,咽腔狭窄;双侧颈部分淋巴结稍肿大。入院诊断:Ⅱ度喉梗阻;咽腔、喉腔瘢痕狭窄(原因待查)。入院后实验室检查:风湿4项(-)、抗中性粒细胞抗体(-)、自身免疫性疾病14项(-)、抗核抗体(-),血清IgG4 2.93 g/L(正常值0.03~2.01 g/L)。急诊行气管切开以及口咽、喉咽病变活检。病理回报:纤维组织增生,大量浆细胞及淋巴细胞浸润(图2C),IgG4+浆细胞>50个/HPF,IgG4+浆细胞/IgG+浆细胞>50%(图2D)。确诊IgG4-RD。予甲泼尼龙30 mg/d,2周后,患者呼吸困难及吞咽困难改善明显,逐渐减量,以20 mg/d维持治疗。3周后患者症状明显改善,拔除气管套管后无呼吸困难及吞咽困难。口服激素治疗共3个月,复查血清IgG4 2.17 g/L较前明显降低,复查电子鼻咽喉镜较前无明显改变。随访半年,患者病情平稳。


头颈部IgG4-RD常累及大涎腺和眼附属器、鼻腔、鼻窦、甲状腺,咽旁间隙和颞下窝也有报道,与其他部位病变不同的是头颈部病变女性多发[3]。目前对IgG4-RD诊断尚无国际统一标准,主要参照日本学者于2011年提出IgG4-RD诊断标准:① 1个或多个器官出现弥漫性、局限性肿胀或肿块的临床表现;②血清IgG4 ≥1350 mg/L;③ 组织病理学检查:显著的淋巴浆细胞浸润及纤维化,IgG4阳性浆细胞数>10个/HP,IgG4阳性浆细胞数/IgG阳性浆细胞数>40%[4]。研究发现血清IgG4对该疾病的诊断不具有特异性,3%~30%的IgG4-RD患者血清IgG4浓度正常[5, 6]。2015年IgG4-RD的管理和治疗国际共识指出需排除恶性肿瘤以及与IgG4-RD具有相似临床表现和病理特征的疾病后,根据活检病理结果确诊[7]。
IgG4-RD咽喉部病变症状不典型,发病率较低,故极易漏诊或误诊,往往延迟治疗而给患者带来某些不可逆的损害。本文报道2例IgG4相关性喉部病变,均为中老年女性。病例一经过3次活检,最终通过喉部原发肿物确诊,喉部激素治疗后症状好转。病例二,以咽喉部组织弥漫纤维化为主要表现,未见明显肿物,病变范围较广,累及口咽和喉咽,激素治疗后患者症状明显缓解,但口咽部及喉部纤维化病变,肉眼观及电子鼻咽喉镜下无明显变化,可能由于本例患者疾病进展迅速,局部组织已瘢痕化,激素治疗只能阻止病情发展,不能改变已经发生的组织瘢痕化所致。这两例病变均为单纯性的喉部病变,2例均未进行全身系统评估,这也是本文的不足之处,可进一步行腹部超声检查或其他全身检查,排除全身其他部位病变。
以“IgG4相关性疾病”和“咽喉”为关键词在万方数据库、中国期刊全文数据库未检索到相关报道。以“IgG4-related disease”和“larynx”为关键词在pubmed检索,共检索到英文文献7篇[8, 9, 10, 11, 12, 13, 14],包括病例10例(表1),男性7例,女性3例,年龄50~62岁,病程2个月至20年。主要症状包括声嘶、发声障碍、呼吸困难、吞咽不畅、咽痛等。其中单纯累及咽喉者6例,合并累及其他脏器者4例。7例患者血清IgG4升高,1例患者正常,2例患者未测。5例患者接受单纯激素治疗,获得较好疗效;2例患者接受利妥昔单抗治疗获得较好疗效;1例患者激素不耐受改用利妥昔单抗治疗后获得较好疗效;1例患者激素不耐受改用硫唑嘌呤治疗后获得较好疗效;1例患者治疗及预后不详。

国外7篇累及咽喉的IgG4相关性疾病文献报道的患者资料
国外7篇累及咽喉的IgG4相关性疾病文献报道的患者资料
| 文献 | 性别 | 年龄 (岁) | 症状 | 病程 | 其他脏器受累 | 血清IgG4 | 内镜表现 | 治疗 | 随访及预后 |
|---|---|---|---|---|---|---|---|---|---|
| Völker等[8] | 男 | 56 | 渐进性发声困难 | 6个月 | 无 | 未测 | 左侧声门上黏膜水肿,见肿物 | 激素 | 24个月,无复发 |
| Masterson等[9] | 女 | 58 | 鼻咽、下咽肿物致呼吸困难 | 7年 | 颞骨、胆囊、肺、骨盆、大网膜、眼 | 未测 | 未提供 | 口服激素6个月 | 6个月,呼吸困难缓解 |
| Khoo等[10] | 男 | 62 | 持续性咳嗽、吞咽困难、发声困难 | 2个月 | 无 | 高 | 声门上肿物,累及双侧杓会厌襞 | 泼尼松 37.5 mg/d,6周;25 mg/d,6周,逐渐减量至5 mg/d,维持2年 | 6周、12周,电子鼻咽喉镜示治疗效果好 |
| Reder等[11] | 男 | 58 | 咽部不适、声音改变 | 20年 | 无 | 高 | 左梨状窝及声带见颗粒状凸起 | 泼尼松 40 mg/d,2周;激素减量至停止后,利妥昔单抗 1 g, 15 d/疗程,治疗4个月 | 2年,未复发 |
| 男 | 62 | 声嘶、清嗓,质子泵抑制剂治疗效果差 | 4个月 | 无 | 正常 | 舌根颗粒状黏膜增厚延伸至会厌,杓会厌襞黏膜瘢痕化,假声带沟形成 | 利妥昔单抗治疗2个疗程,每疗程间隔2周,间隔期间甲泼尼龙100 mg治疗 | 症状缓解 | |
| 女 | 50 | 间断咽部不适 | 6年 | 无 | 高 | 左咽侧壁溃疡 | 利妥昔单抗1000 mg,每15天1疗程,间隔期间甲泼尼龙100 mg | 15个月,未复发 | |
| Hamadani等 [12] | 女 | 56 | 咽痛、吞咽困难 | 6个月 | 无 | 高 | 环后区溃疡 | 未报道 | 未报道 |
| Matsushima等[13] | 男 | 50 | 呼吸困难、打鼾 | 3年 | 腹膜后纤维化、腹主动脉、输尿管 | 高 | 左侧梨状窝见表面光滑肿物 | 口服泼尼松0.6 mg/(kg·d)半年后,5 mg/d维持治疗 | 喉肿物消失,输尿管狭窄仍存在 |
| Shaib等[14] | 男 | 56 | 声嘶、渐进性呼吸困难 | 12年 | 肺、前列腺 | 高 | 双侧声带固定,声门下区狭窄 | 口服泼尼松20 mg, 2个月后减量为10 mg,2年后加用硫唑嘌呤150 mg/d | 2年,肺部症状加重 |
| 男 | 57 | 声嘶、咽喉部溃疡 | 16年 | 龟头 | 高 | 喉部增生性病变及溃疡 | 口服泼尼松60 mg,4周后每2周减量5 mg,直至10 mg/d的维持剂量 | 症状缓解,无复发 |
目前为止IgG4-RD普遍对激素治疗反应敏感,但激素治疗的具体疗程无确切定论,但文献报道部分患者由于激素早期减量不能维持治疗而导致病情复发。多数专家认为初始激素剂量应维持2~4周,之后才能缓慢减量。减量可以有不同的方法,其中一种是每2周减10 mg/d,直到剂量达到20 mg/d,然后保持20 mg/d (例如2周),再继续以每2周减5 mg/d的速度减量,在治疗后的3~6个月停药。部分患者单一激素治疗不能控制疾病或不能耐受激素治疗,对于这些患者在开始治疗需应用激素和免疫抑制剂联合治疗。头颈部IgG4-RD常常被误诊为炎性肌纤维母细胞瘤或者浆细胞瘤或者肉芽肿性炎或炎性假瘤,一旦这些诊断中出现大量纤维化及浆细胞浸润,需考虑IgG4-RD诊断[13, 14]。IgG4-RD总体预后良好,Ahn等[15]随访了118例IgG4-RD患者,发现有10%的患者并发恶性肿瘤,尤其是恶性淋巴瘤。Ikeda等[16]也报道累及多个器官的头颈部IgG4-RD患者,恶性肿瘤发生率较累及单一器官的高。因此应严密随访,如果在规范治疗的情况下患者临床表现突然恶化、对治疗反应变差,需除外合并恶性肿瘤尤其是淋巴瘤的可能,及时进行相关检查,必要时重复活检,以免误诊。
所有作者均声明不存在利益冲突





















