
转移性鼻腔鼻窦恶性肿瘤罕见,其中以肾细胞癌居多。鼻腔鼻窦转移癌的临床表现与鼻原发性肿瘤的症状相似,有鼻出血、鼻塞或面部疼痛等。本文报道了3例吉林大学第二医院耳鼻咽喉头颈外科收治的鼻腔鼻窦转移性肾透明细胞癌患者的诊疗经过,供同道参考。
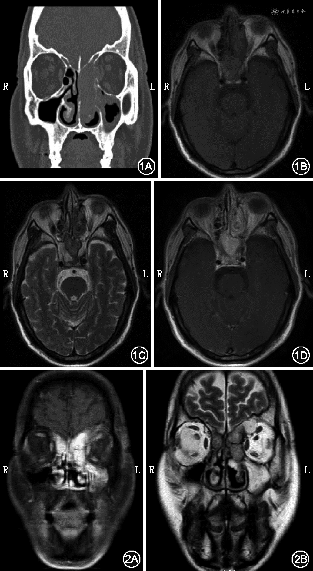
例1 患者男,61岁,因左侧持续性鼻塞伴淡黄色分泌物1月余来我院就诊。专科体格检查:外鼻无畸形,左侧鼻腔见新生物堵塞,各鼻窦区无压痛。鼻窦CT示左侧鼻腔内团块状软组织密度影,边界不清,周围骨质吸收破坏(图1A)。MRI提示左侧上颌窦、双侧筛窦、双侧额窦及蝶窦内斑片状长T1长T2信号(图1B、C),弥散加权成像(DWI)呈不均匀高信号,增强扫描呈明显不均匀强化(图1D)。入院后诊断为鼻腔肿物,取新生物病理回报其形态符合息肉。详细询问患者病史,患者于2005年因左肾透明细胞癌行左肾切除手术,考虑局部病理结果可能与实际病变存在差异,遂于全身麻醉下行手术探查。0°鼻内镜下见左侧鼻腔新生物,切除左侧钩突,开放上颌窦,低温等离子刀辅助下切除肿物,开放筛窦,见眶内壁骨质受损,低温等离子刀切除左侧眶内壁及部分脂肪组织。开放蝶窦,见蝶鞍及视神经管骨质破坏,电钻磨除部分骨质。开放额窦,见窦内充满新生物,切除肿物后,见左侧额窦后壁骨质破坏,部分硬脑膜裸露,取鼻中隔黏膜瓣修复。术后病理回报符合透明细胞性肾细胞癌转移,免疫组织化学(免疫组化)染色结果:CK(AE1/AE3)(+)、CAIX(+)、CD10(+)、CK7(-)、P504s(+)、TFE3(-)、PAX-8(+)、Vimentin(+)、Ki67(阳性率20%)。术后随访至半年时,患者出现左眼肿胀、视物模糊,复查MRI示双侧前组筛窦、双侧额窦、左侧上颌窦、双侧蝶窦内稍短T1长T2信号影,增强扫描可见强化,考虑为肿瘤复发(图2)。


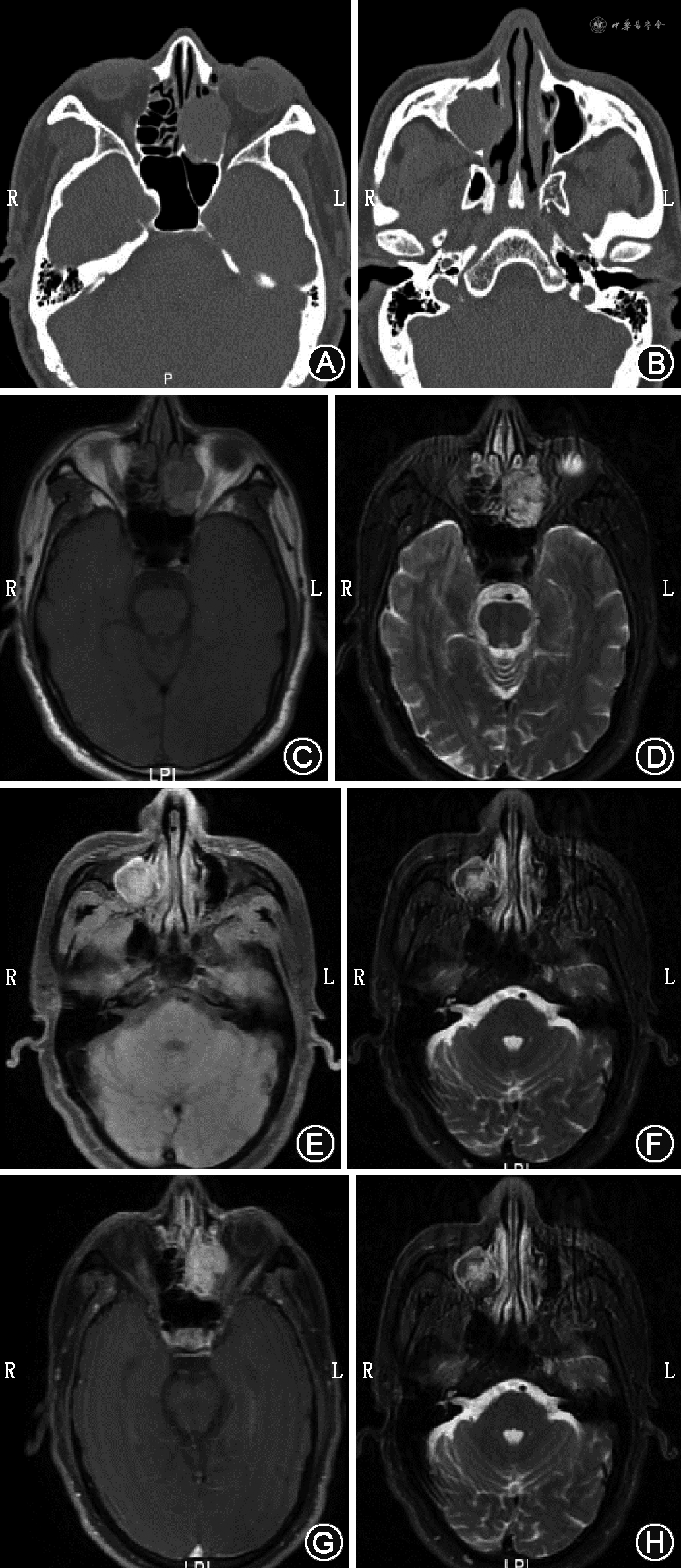
例2 患者男,63岁,因头痛1个月、体检发现“鼻窦肿物”4 d就诊于我院,病程中患者有双侧交替性鼻塞,伴脓涕。患者3年前行左肾摘除术,术后病理回报为玻璃体细胞癌。专科体格检查:鼻内镜下鼻腔内未见明显新生物。鼻窦CT提示左侧筛窦、右侧上颌窦内团块状软组织密度影,边界欠清,密度不均匀,部分突入左侧眼眶内,右侧筛窦、左侧蝶窦及邻近左侧眶内壁、筛骨、蝶窦上壁骨质破坏,右侧上颌窦病灶部分突入右侧筛窦,邻近骨质受压变薄(图3A、B)。MRI示左侧筛窦及右侧上颌窦内不规则等T1稍长T2信号(图3C~F),DWI未见明显高信号,增强扫描不均匀中度强化(图3G、H)。全身麻醉下行手术探查,0°鼻内镜下见左侧中鼻道膨隆,切除钩突,开放上颌窦,切除筛泡基板,开放筛窦,见有暗红色新生物占位,触之易出血,完全切除肿物,颅底骨质完整,左侧眶纸板部分缺如,去除左侧眶纸板见眶内筋膜完整。于右侧下鼻甲前端行泪前隐窝入路,见上颌窦内充满肿物,呈膨胀性生长,界限尚清。切除右侧钩突,开放上颌窦口,完整切除窦内肿物。术后病理回报符合肾透明细胞癌转移。免疫组化染色结果:CK(AE1/AE3)部分弱(+)、CK7(-)、Vimentin(+)、CD10(+)、CAIX(+)、PAX-8(+)、Ki67(阳性率10%)、P504s部分(+)、TFE3(-)。术后随访9个月无复发。


例3 患者男,50岁,因右眼复视2个月、加重3 d就诊。患者曾于4年前因肾癌行左肾摘除术。专科体格检查:右眼复视,粗测无明显视力下降,眼球外展障碍,眼睑略下垂,鼻中隔前份明显右偏,右侧蝶筛隐窝处略膨隆。颅底CT示蝶窦区团块状软组织影,大小约38 mm×37 mm×26 mm,蝶窦、蝶骨、蝶鞍、枕骨部分骨质破坏(图4A)。MRI示蝶窦区团块状稍长T1等T2信号影,内见斑片状短T1信号,大小约44 mm×32 mm×26 mm(图4B、C)。全身麻醉下行手术探查,见肿瘤占据蝶窦,且向下沿斜坡前方突至枕骨大孔,切除斜坡前方肿物,见斜坡旁颈内动脉段骨质部分缺损,斜坡偏右侧近海绵窦下方部分骨质破坏,肿物压迫右侧外展神经,并侵及左侧海绵窦下方斜坡旁骨质。完全切除肿物,电钻磨除受侵骨质后,见部分硬脑膜暴露,取左侧鼻中隔游离黏膜瓣修补。术后病理回报支持肾透明细胞癌转移。免疫组化染色结果:CK(AE1/AE3)少量(+)、Vimentin(+)、CD10(+)、PAX-8(+)、CAIX少量细胞膜(+)、p63(-)、S-100(-)、CgA(-)、Syn(-)、CK7(-)、HMB45(-)、Ki67(阳性率10%)、P504s(+)、TFE3(+)、EMA(-)、CD117(-)、MelanA(-)。


鼻腔鼻窦恶性肿瘤以原发性肿瘤居多,转移性鼻腔鼻窦肿瘤罕见,占恶性肿瘤的1%以下[1],转移至鼻腔鼻窦的恶性肿瘤中以肾细胞癌最为多见[2]。肾细胞癌是一组起源于肾小管上皮的恶性肿瘤,为成人最常见的肾脏恶性肿瘤,转移性肾细胞癌的病理类型以透明细胞癌最为多见,约占90%[3]。肾细胞癌的发病高峰年龄为60~70岁,男性发病率高于女性。肾细胞癌多通过血行转移,其可能的机制有2种,其一为经下腔静脉扩散至肺部,后经颈动脉系统到达头颈部;其二为Nahum和Baily在1963年提出的可能性,即肿瘤细胞经Batson椎静脉丛流向头颈部,绕过肺脏,最终导致鼻窦和甲状腺为孤立的转移部位[1,4]。影像学对于诊断鼻腔鼻窦恶性肿瘤类型无明显特异性,多表现为形态不规则、密度不均匀、分界不清的软组织肿块影,周围组织常有破坏,CT增强扫描多呈中度-明显强化,部分强化不均。MRI多表现为T1W1稍低或低信号,T2W1稍高信号,部分信号不均匀,增强后呈不均匀明显强化[5]。鼻腔鼻窦转移性肾透明细胞癌不局限于某一部位,多呈膨胀性生长,对周围骨质破坏严重,肿瘤范围大,可侵及眶内、颅底等部位。鼻腔鼻窦转移性肾透明细胞癌的确诊依赖于组织病理学检查。
肾透明细胞癌肿瘤内部有腺泡结构及血管,属于富血供肿瘤,因此鼻腔鼻窦转移性肾细胞癌容易发生严重的鼻出血。肾透明细胞癌鼻腔鼻窦转移多发生于肾脏原发肿瘤切除之后数年,也可于原发灶确定之前因鼻出血、鼻塞等症状被发现。转移性肿瘤的发生预示着原发肿瘤的进展,然而对于缓解、控制疼痛和提高生存率来说,手术切除仍然是最好的方法。由于切除肿瘤时可能出血较多,术前需做好输血准备。在手术过程中需找到肿瘤的滋养血管,妥善电凝止血后再进行切断;在切除肿瘤过程中,应沿肿瘤组织边界切除,尽量避免直接经肿瘤组织内部切除,以减少术中出血,保证术野清晰。
转移性肾透明细胞癌的预后较差,有文献报道在肾切除术后,切除单发转移性肾细胞癌患者的2年生存率为41%,5年生存率为13%[6]。转移性肾透明细胞癌对于放疗和化疗具有耐药性[7],但靶向药物在转移性肾癌的治疗中取得了一定的疗效。《肾癌临床实践指南》2012V.2版中推荐将舒尼替尼、替西罗莫司、贝伐珠单抗联合干扰素α(IFN-α)、帕唑帕尼、索拉非尼5个靶向治疗方案以及大剂量白细胞介素2(IL-2)作为一线治疗方案用于晚期肾透明细胞癌,将依维莫司、阿昔替尼、索拉非尼、舒尼替尼、帕唑帕尼、替西罗莫司、贝伐珠单抗联合IFN-α 7个靶向治疗方案以及IFN-α和IL-2作为晚期肾透明细胞癌患者的后续治疗方案[8]。对于确诊为肾细胞癌的患者,随访时也应行鼻内镜检查,必要时行鼻窦CT检查。对于有肾细胞癌病史的患者,出现鼻腔鼻窦区域新生物时,应考虑转移性肾细胞癌的可能性。鉴于肾透明细胞癌恶性程度较低以及靶向治疗的进展,为提高患者生存率,对鼻腔鼻窦的局部转移灶,建议选择手术,术后辅以靶向药物治疗。
所有作者均声明不存在利益冲突





















