
腮腺导管内癌(intraductal carcinomas,IDC)为罕见的、预后良好的涎腺肿瘤。临床及病理医师在诊断及治疗方面缺乏经验,急需提高对该病的认识。本文报道了天津市第五中心医院收治的1例IDC。患者男性,48岁,因“发现左侧腮腺区肿物2个月”入院。B超检查示:左侧腮腺内实性肿物,考虑腮腺混合瘤。完善术前准备后,全身麻醉下行肿物扩大切除术。术后病理诊断:IDC(低级别)。术后伤口恢复良好,随访7个月未复发。
腮腺导管内癌(intraductal carcinomas,IDC)是腮腺原发肿瘤,为2017年第4版世界卫生组织(WHO)头颈部肿瘤病理学和遗传学分类的新肿瘤类型[1]。曾用名为低度恶性筛状囊腺癌,但近些年的病例资料分析结果显示,它的生物学行为不仅仅表现为低度恶性,也可有较高的恶性特征,故更名为导管内癌(低、中、高级别)。国内外文献对其报道较少,病理及临床医师对其缺乏认识。本文报道1例IDC,通过组织学、免疫组织化学表型的分析及相关文献复习,总结该病的临床病理特征,以期减少误诊漏诊。
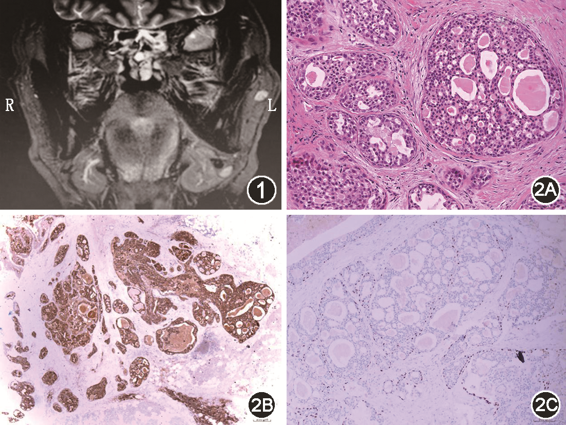
男,48岁,因“发现左侧腮腺区肿物2个月”于2021年1月就诊于天津市第五中心医院口腔科。既往右肾透明细胞性肾细胞癌切除术后7年。患者2个月前发现左侧腮腺区肿物,“花生米”大小,伴轻压痛,无面神经障碍。颌面B超检查示:左侧腮腺内实性肿物,考虑腮腺混合瘤。头颅MR示:左侧腮腺前外上方小结节影,大小0.7 cm×0.7 cm×0.6 cm,边界清晰,T1W1呈等信号,T2W1抑脂序列呈稍高信号,DWI序列呈高信号,结节周围环绕脂肪间隙,与邻近腮腺相分割(图1)。患者于全身麻醉下行左侧腮腺肿物局部扩大切除术。术中见肿物灰粉色,质软,完整切除肿物后送冰冻病理检查,报告为上皮源性恶性肿瘤,结合病史不能除外转移。环绕肿物周围0.5 cm组织一并切除后送常规病理。病理检查示:肿瘤无包膜,但与周围腮腺组织边界较清楚,局灶侵犯周围正常腮腺组织。细胞巢排列以筛状形态为主,并见乳头、微乳头和小管状结构,伴明显腺腔内嗜酸性分泌物,可见出血及囊腔形成,肿瘤细胞巢之间有多少不一的胶原纤维,肿瘤细胞巢周围都有一层肌上皮样细胞围绕(图2)。高倍镜下细胞圆形/卵圆形,界限不清,轻度异型,可见核内包涵体,核仁不明显,核分裂象少见。免疫组织化学结果:Mammaglobin(+)、S-100(+)、CK7(+)、Vim(+)、AR(-)、EMA(少数弱+)、CD117(部分+)、P63、Calponin(基底细胞/肌上皮+)和Ki-67(+<5%)。术后伤口恢复良好,未接受放化疗。随访7个月,未见复发和转移。


IDC是一种罕见的涎腺肿瘤,以囊内/导管内肿瘤上皮细胞增殖为特征,具有惰性生物学行为,预后良好。多年来,IDC的分类存在争议,曾使用过很多不同的名称。1996由Delgado等[2]报道,称之为“低度涎腺导管癌”。因为肿瘤内常常含有囊性结构,WHO将它归为囊腺癌的一个亚型。但囊腺癌缺乏肌上皮的存在,是一种真正的浸润性癌。而IDC大部分肿瘤细胞巢周围含有明确肌上皮,是非浸润性癌,因此2005年WHO将其单独分类出来,命名为“低度恶性筛状囊腺癌/低级别导管原位癌”[3]。随后的病例资料显示,该肿瘤类似于乳腺的导管内癌,不仅有低度异型,还可以伴有中、高度异型,根据异型性可以分为低级别、中级别和高级别导管内癌。故2017年WHO去掉了低度恶性/低级别的用词,将其更名为“导管内癌”。最近的研究表明IDC至少可以分为3个亚型:最常见的是低级别亚型,不常见的是大汗腺型,偶尔可以见到低级别和大汗腺型混合存在的混合型IDC[4]。
本病最常见于日本人,其次是俄罗斯人[5]。女性优势(男女比1∶2),发病年龄范围广泛为25~93岁,平均年龄63岁。绝大多数发生在腮腺,也可以发生于颌下腺等部位。通常表现为缓慢生长的肿块,没有明显的症状,可能表现为局部肿胀、感觉异常。肿瘤体积通常较小,囊性变的肿瘤体积相对大,无包膜,边界清楚,灰白或灰红色,实性或囊实性,质软。细胞巢多排列为筛状、乳头状、管状,可见微乳头及不规则细胞巢。但几乎所有细胞巢周围都伴有一层肌上皮/基底细胞的存在,类似乳腺的导管内癌,可伴或不伴坏死。低级别型偶尔可有小灶缺乏肌上皮/基底细胞的浸润灶,而大汗腺型常常伴广泛浸润[6]。在筛状结构的筛孔内常见嗜酸性分泌物,类似乳腺的分泌性癌。肿瘤细胞圆形、卵圆形或立方形,偶尔可见黏液和大汗腺化生,含铁血黄素少见。细胞核伴轻-重异型性,依次分为低级别、中级别和高级别,核内包涵体易见,核分裂象少见,罕见核仁。低级别型IDC细胞形态温和,多为轻-中度异型;而大汗腺型通常表现为高级别核特征。免疫组织化学显示肿瘤细胞Mammaglobin(+)、Vim(+)、CK7(+)、EMA(±)、CD117(±),ki-67通常较低。围绕肿瘤细胞巢周围的细胞肌上皮标志物P40、P63、Calponin、CK5/6、SMA均为(+)。低级别型IDC显示AR(-)、Her-2(-)、S-100(弥漫+),大汗腺型IDC显示AR(+)、GCDFP15(+)、部分Her-2(+)、S-100(-)。
有研究显示47%低级别亚型IDC有RET基因重排,通常为NCOA4-RET和TRIM27-RET的融合[7];大汗腺亚型IDC中75%出现PIK3CA、SPEN和/或HRAS基因突变,而没有RET的融合[8]。所有类型的IDC均没有ETV6-NTRK3基因融合[9]。
由于IDC具有良好的生物学行为和预后,因此将它和其他涎腺肿瘤区分开来至关重要,以指导临床选择正确的治疗方式,避免过度治疗,最大限度提高患者的生活质量。主要和以下肿瘤鉴别[10, 11, 12, 13]:(1)囊腺癌:常见囊状结构,但与IDC不同,囊腺癌是明确的浸润性癌,缺乏肌上皮,筛状结构罕见,免疫组织化学染色肌上皮标志物SMA、P63、Calponin等阴性,也不表达S-100、Mammaglobin。(2)传统涎腺导管癌:可有原位癌成分,但具有广泛的浸润成分,免疫组织化学染色S-100阴性,AR阳性。而IDC通常为导管内癌,可伴有小灶浸润成分,免疫组织化学染色S-100阳性,AR通常阴性,但大汗腺型IDC可以阳性。(3)分泌性癌:2017年WHO新增的肿瘤新类型,类似乳腺分泌性癌,在临床表现、组织学形态、免疫表型上,与IDC极为相似。筛状结构为主,细胞巢边界圆滑,腔内有嗜酸性分泌物,S-100、Mammaglobin也表现为弥漫阳性,唯一显著区别是,分泌性癌不存在肌上皮,相应肌上皮抗体SMA、P63、Calponin等阴性。分子检测存在ETV6-NTRK3基因融合,不存在RET基因重排。(4)腺泡细胞癌:与IDC相似,有明显的腺腔内分泌物,可以囊性变。但其不表达S-100和Mammaglobin,而表达DOG1,且癌巢周围不表达肌上皮标志物。(5)黏液表皮样癌:同样可以发生囊性变,其杯状细胞可以表达Mammaglobin。但该肿瘤经典的组织学特征有中间型细胞、鳞状细胞和黏液细胞混合组成,且弥漫表达P63,S-100阴性,可与IDC鉴别。(6)多形性低度恶性腺癌:该肿瘤常同时表达S-100、Mammaglobin,但其好发于腭部小涎腺,主要为条索状及管状排列的癌细胞巢,缺乏腔内嗜酸性分泌物;因其本质为浸润性癌,所以癌巢周围缺乏肌上皮,相关标志物P40、P63、SMA、Calponin等阴性。(7)腺样囊性癌:以筛状、囊性结构为主,容易和IDC混淆。但前者肉眼观,肿物边界不清,显著侵袭性生长,且质硬。镜下观混有2种细胞类型即肌上皮/基底细胞和导管细胞,肌上皮围绕腔隙形成假囊腔,腔内含其分泌的基底膜样物质。神经侵犯是其常见特征,患者有显著面神经症状,癌组织常沿血管、胶原生长。免疫组织化学染色CD117通常(+),肌上皮标记在细胞巢间散在阳性,而IDC仅仅癌巢周围阳性。同时腺样囊性癌的分子改变与IDC不同,前者伴有MYB-NFIB基因重排。
低级别型IDC完整切除肿物,保证切缘阴性即可,预后良好,最长随访时间15年,迄今为止没有复发和转移的报道。伴局灶浸润和/或大汗腺亚型的IDC可复发和转移(包括淋巴结转移和远处转移),可在切除腮腺的基础上辅助放疗、化疗及淋巴清扫。
综上所述,IDC是涎腺罕见肿瘤,耳鼻喉、口腔、影像学及病理医师对其认识不足,在诊断及治疗方面缺乏经验。正确的诊断对防止过度治疗,提高患者的生存质量至关重要,急需提高对该病的认识,并不断积累病例资料进行深入研究。
所有作者均声明不存在利益冲突





















