
食道异物是儿童急症的常见疾病之一。儿童食道异物多为硬币等金属异物或动物骨骼等骨性异物,而临近组织的异常钙化较易误诊为外源性的食道异物。本文报告了儿童茎突舌骨韧带和杓状软骨的异常钙化误诊为食道异物的2例病例,通过对儿童食道异物病史及影像学资料进行分析并复习相关文献,总结其误诊原因及诊治特点,有助于降低儿童食道异物的误诊率。
版权归中华医学会所有。
未经授权,不得转载、摘编本刊文章,不得使用本刊的版式设计。
除非特别声明,本刊刊出的所有文章不代表中华医学会和本刊编委会的观点。
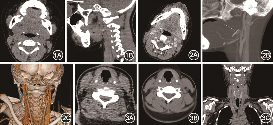
例1,患儿男,8岁,因“误咽鸡骨头3 d”来我院急诊就诊,携带外院颈部CT示右侧咽旁近食道入口异物,患儿3 d前进食鸡肉后出现咽部疼痛,进食稍不适,给予急诊行电子鼻咽喉镜检查示咽喉部未见明显异物。遂急诊拟“食道异物”收住入院,准备全身麻醉下手术取异物。查体:神志清晰,呼吸平顺,口唇黏膜无发绀,颈前区无明显压痛,无颈部皮下气肿,口咽部未见明显异物。入院后准备急诊行咽旁探查术,术前患儿诉咽喉部疼痛较前好转,遂给予颈部CT平扫+三维重建检查,示右侧茎突舌骨韧带走行区域见一条状致密影,长度约19.7 mm,边界光整清晰,周围软组织未见明显肿胀和积气,考虑茎突舌骨韧带钙化可能(图1,2)。遂再次询问病史,患儿诉进食鸡肉为鸡胸肉,无骨性物质,且咽喉部疼痛已缓解,结合CT,考虑患儿为茎突舌骨韧带钙化误诊食道异物,给予出院。出院后1个月电话随访,患儿家长诉患儿咽喉部无明显异常症状。


例2,患儿女,16岁,因“咽喉异物感0.5 d”来我院急诊就诊,诉午餐时进食鱼圆后出现咽喉异物感。给予患儿急诊CT检查,示食道上段走行区可见条状致密影,考虑食道上段异物可能(图3A),遂急诊拟“食道异物”收住入院。查体:神志清晰,呼吸平顺,口唇黏膜无发绀,颈前区无明显压痛,无颈部皮下气肿,口咽部未见明显异物。住院后次日全身麻醉下行食道镜检查术,全麻满意后,常规消毒铺单,助手抱头取Boyce位。食道镜经口咽正中向下插入,见杓状软骨后,向前轻推喉部,进入食道,检查食道后食道走行未见明显异物,术后安返病房。术后给予复查CT,示咽部后方C5水平点状致密影,较前位置相仿,考虑杓状软骨钙化可能(图3B、3C)。术后患儿诉无明显咽喉不适症状,结合CT,考虑患儿为杓状软骨钙化误诊食道异物,给予出院。出院后1个月电话随访,患儿家长诉患儿咽喉部无明显异常症状。
儿童食道异物是小儿耳鼻咽喉科急诊常见病之一,且超过80%的患儿年龄范围在9月龄至4岁[1],原因在于此阶段的小儿磨牙发育不全导致进食的食物没有经过充分的咀嚼或有口含小物件的不良习惯,异物种类以硬币最为常见[2]。但临床上也不缺乏4~16岁的大龄食道异物儿童,其异物种类则与成人相似,以鱼刺、肉骨、鸡鸭骨等骨性异物最为常见,但不同的是儿童对于病情的描述没有成人清楚,从而增加了临床医生询问病史的难度,增加了误诊的概率。
儿童与成人相同,食道的4个狭窄中,食道异物常嵌与食道的第一狭窄处,即食道入口处,对于病史为骨性异物的儿童,常常表现出的临床症状为咽喉部疼痛,呕吐和吞咽困难[3]。在病史和临床症状的基础上,儿童食道异物的诊断以影像学检查为主要的辅助检查手段[3]。因骨性异物和人体自身组织骨化或软骨钙化在X线和CT检查中同为高密度影,且食道入口附近有较多韧带组织和喉软骨等,对于经验不足的年轻医师,容易将人体自身骨组织或软骨钙化误诊为食道异物。
在患儿1中,术前复查CT发现患儿茎突舌骨韧带钙化,考虑为茎突舌骨韧带骨化。茎突由胚胎第2鳃弓的Reichert软骨发育形成,其前下基部发育成舌骨,基部两端有一条软骨链与颞骨相连,软骨链有4段,骨舌段、茎舌段、角舌段(茎突舌骨韧带)和下舌段,这些节段可以骨化形成骨性融合,角舌段骨化,则形成茎突舌骨韧带骨化[4]。因骨化部位可刺激周围的组织和咽部黏膜,因此其临床症状主要为咽部疼痛和咽异物感,因与食道入口异物症状相似,导致了本例误诊的发生,茎突舌骨韧带骨化临床上较为少见,基本发生与成人,儿童极为少见[5]。在患儿2中,术后复查CT示杓状软骨钙化。喉软骨的钙化绝大多数发生于21岁以后的成年人[6],在儿童时期钙化发生较少。在骨化早期甲状软骨的上角及软骨板的边缘部,常呈短条状致密影,且靠近食道,易误诊异物;杓状软骨的小点状钙化,也与异物相似,导致误诊;环杓关节的边缘的早期骨化,呈短条状或弧形致密阴影,也易误诊食道异物。
儿童食道异物种类繁多,对于此类患者的处理,为减少误诊的发生,因注意以下几点:①反复详细的询问病史。异物史对于食道异物的诊断尤为重要,因儿童较难表述,家长又很焦急,首次询问病史常常与事实不符,因反复多次的询问是否有骨性异物进食的可能,是否有明确咽喉部不适。②对于可疑骨性食道异物的患儿,因仔细阅读影像学结果,可与放射科医师反复讨论,通过三维重建的方法,排除组织钙化可能。虽然儿童的组织异常钙化发生率远低于成人,但是也因考虑进去。③组织本身的异常钙化也会引起相应的症状,如茎突舌骨韧带的钙化,也会刺激邻近血管神经引起咽部异物感,临床中从症状上看很难与外源性异物相鉴别,因此除异物史外,影像学鉴别也是非常重要的。在临床中也应与家属沟通清楚,如若组织本身的钙化引起难以忍受的异物感,也不能排除手术干预的可能。④加强年轻医生对解剖结构的了解,熟悉可能异物影的定位。通过提升自身能力,较少患儿的痛苦,避免误诊的发生。
所有作者均声明不存在利益冲突





















