
传统的颈部开放入路颌下腺切除会导致术后瘢痕,局部皮肤感觉异常或减退及皮肤粘连等问题。为解决这些问题让患者更多获益,越来越多的颈外入路内镜下颌下腺切除手术应运而生。四川省肿瘤医院头颈外科于2021年5月14日在国际上首次完成了经腋入路内镜下颌下腺切除术。患者术后康复快,美观效果满意,无并发症发生。患者术后5个月复查,颈部活动正常,未出现颈胸部皮肤感觉麻木或减退,腋窝切口隐蔽,疗效满意。经腋入路是一种美观、安全有效的颈外内镜下颌下腺切除手术入路。该入路适应证和临床应用价值还需进一步探索。
版权归中华医学会所有。
未经授权,不得转载、摘编本刊文章,不得使用本刊的版式设计。
除非特别声明,本刊刊出的所有文章不代表中华医学会和本刊编委会的观点。
经颈颌下切口是开放颌下腺手术的传统入路,但该术式会遗留颈部瘢痕,影响美观[1]。随着内镜技术在头颈外科的发展,以及患者对此技术的接受程度和美观需求的增加,多种内镜下颌下腺切除手术应运而生,包括经口腔和经耳后发迹切口为主流的内镜入路,以及正在探索的锁骨下和胸壁入路[1, 2, 3, 4],每种入路具有独特的优势及相应的并发症。我们在熟练掌握经腋入路甲状腺手术技术要点以及受到该入路下颈侧区淋巴清扫术的启发下[5, 6],在国际上首次尝试了经腋入路无充气颌下腺多形性腺瘤切除手术1例(查新报告编号:20215100901654),获得了满意的临床效果,现报道如下。
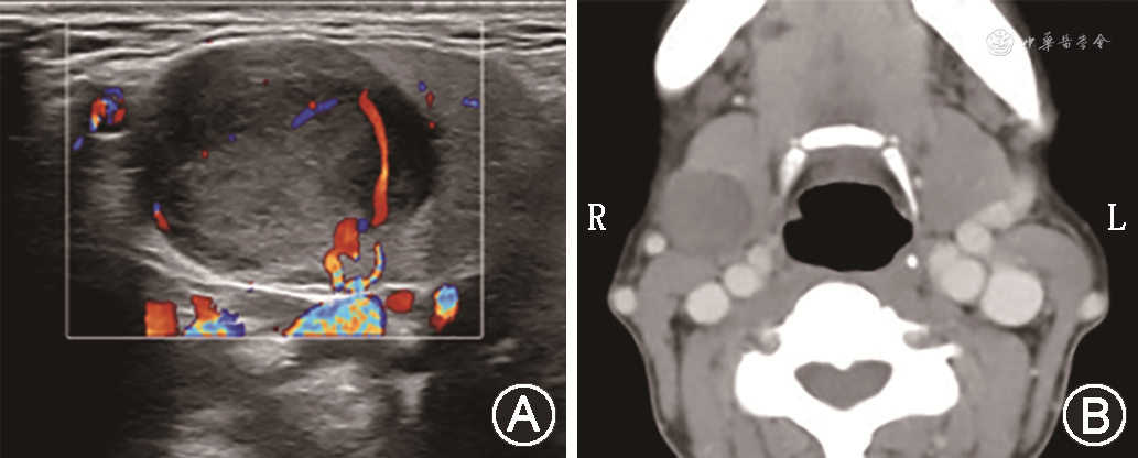
患者女性,46岁,因“发现右侧颌下区肿物39年余”于2021年5月11日入院。专科查体:右侧颌下区可触及一大小约3 cm圆形肿物,质中偏软,活动度可,无红肿、触痛。彩超提示右侧颌下腺低回声团块,大小约2.1 cm×1.6 cm×2.1 cm,形态规则,边界清楚(图1A)。CT提示右侧颌下腺占位,大小约1.9 cm×2.0 cm,倾向于良性病变(图1B)。患者及家属有较高美观需求,排除禁忌证后全身麻醉下行腔镜下经腋下入路右侧颌下腺及肿物切除术。患者采取垫肩仰卧位,头偏向健侧约45°,患侧上肢自然外展90°,显露患侧腋窝(图2A)。手术区域为下颌角、二腹肌前腹至腋窝切口之间的类矩形区域。做顺腋窝自然皱褶切口,在腋窝切口靠近乳腺侧约“两横指”、腋前线略下方作为戳卡的置入位置。切开皮下脂肪层后逐层分离至胸大肌外侧缘上端。置入悬吊拉钩,进行腔镜下操作。沿手术区域分离胸大肌皮瓣,越过锁骨,显露胸锁乳突肌后缘。沿胸锁乳突肌表面逐渐分离时注意主动规避或显露保护头侧的颈外静脉(图2B)。显露带状肌外侧缘后,沿颈动脉三角区域继续分离直至显露二腹肌前后腹,显露颌下腺及肿瘤,肿瘤位于腺体的后方,无腺体外侵犯(图2C)。凝闭颌下腺导管,解剖保护舌神经,在二腹肌后腹深面血管夹夹闭面动脉近心端(图2D)。即可将颌下腺深面整体游离。向下牵拉颌下腺,在颌下腺上缘和下颌骨下缘之间钝性分离,解剖保护面神经下颌缘支。寻找并显露面动、静脉远心端,超声刀凝闭。继续游离颌下腺上份,最终完整切除颌下腺及肿瘤(图2E)。标本袋取出肿瘤,冲洗止血,放置引流管,缝合腋窝切口(图2F)。患者术中出血小于10 ml,手术时长约90 min。病理确诊为多形性腺瘤。术后3 d总引流量为110 ml,患者于术后第3天出院。术后随访5个月,切口甲级愈合,未见面瘫,无颈部及上肢疼痛或活动障碍,无颈部皮肤感觉减退或麻木感,未出现口腔唾液分泌减少等症状(图3)。






随着技术的发展和对微创手术日益增长的需求,外科医生想要祛除传统开放颌下腺手术给患者颈部留下的瘢痕[1,7]。颌下腺内镜手术在保证疗效与美观的同时,减少手术出血量,缩短住院时间,不增加并发症,逐步被外科医师接受推广。
目前经口和经耳后发迹入路仍为内镜下颌下腺切除的主流方式。经口入路颌下腺切除术由Hong和Kim在2000年提出[8]。随后Guerrissi和Taborda[9]将内镜技术运用到该入路中。该入路虽能做到绝对体表无痕,并避免面神经下颌缘支和舌下神经的损伤,但是将一类切口变为二类切口,增加了术后感染的可能性[5, 6,10]。该入路操作控制局限,适应证受到肿瘤大小的限制,肿瘤最大直径需小于2 cm[11]。同时术区暴露欠理想,操作时容易造成切口周围结构如牙齿、舌下腺、舌的损伤,术后会发生齿龈麻木、进食麻木及舌的活动受限[12]。对术者操作技术要求高,学习曲线长[13]。
经耳后发迹入路尽管显露和操作更有优势,腔隙建立初期就能显露和保护耳大神经,但由于该区域缺乏颈阔肌,皮肤薄,分离层次不正确时可能损伤耳大神经[2],容易损伤皮肤。而且建腔过程中,由于皮瓣的过度牵拉、分离时紧贴下颌骨表面,这会导致面神经下颌缘支的直接器械损伤或间接热损伤,造成下唇口角的无力[7]。并且,该入路仍然会在耳后遗留较为明显的瘢痕,对部分患者来说尚无法达到理想的颈部无瘢的美观效果。
相比于两种主流入路,经腋入路具有其独特的优势:(1)手术空间大,术野显露佳,采用直径10 mm的30°镜,器械操作灵活性大,可以完整切除和取出体积较大的颌下腺腺体及肿瘤;(2)该入路术区的结构分布以及颌下腺切除步骤与开放手术相似,操作容易,不增加手术难度,学习曲线短,易于临床推广;(3)术中能够较好地识别与保护面动静脉、颌下腺导管与舌神经。而面神经下颌缘支位于视野上方,较其他入路视野显露好,利于重要结构的显露保护;(4)手术通过皮下筋膜隧道分离到达术区,入路没有重要的血管神经,不增加额外神经、血管、肌肉等结构的损伤;(5)手术切口顺腋纹自然皱褶,位置十分隐蔽,同时还可被腋毛及衣物遮挡,相比于颈部切口隐蔽,美观效果极佳,对于有高度美容需求的患者,是一个不错的选择。
相比于两种主流入路,经腋入路的不足是建腔过程中分离区域相对较远,增加了手术分离创面及手术时间。但由于内镜下分离皮瓣紧贴胸大肌、胸锁乳突肌表面,保证了整个分离过程在筋膜间隙中完成,层次感强。悬吊拉钩控制了分离隧道宽度仅4~6 cm,不额外扩大分离创面。而且分离过程中几乎没有重要结构损伤,内镜下几乎可达到无血化手术操作。因此,尽管分离区域大,手术时间增加,但结合患者手术时间、出血量、出院时间和恢复情况等各项观察指标并没有增加过度损伤及其他并发症的情况。目前韩国已有5 000例大样本文献证实了相似入路的机器人甲状腺手术及淋巴清扫的安全性及肿瘤根治效果[14],为本技术的安全性与开展提供理论依据。在手术时间上,按照我们对甲状腺低危癌根治的经验,通过一定的学习曲线,手术时间可以控制在1 h以内。与传统手术的治疗费用相比,经腋入路的治疗费用无明显差别。
作为颈外入路内镜下颌下腺手术的一种可选择的安全有效的方式,与目前已有报道的内镜辅助经口及耳后入路相比,经腋入路有独特的操作及视野优势,手术路径无重要结构,术中出血极少,视野同开放视野,学习曲线短易于临床推广应用。患者术后康复快,不增加额外并发症。适宜于颌下腺良性肿瘤、颌下腺腺内结石等疾病需要完整切除颌下腺的患者。由于是一种新入路暂不推荐用于恶性肿瘤或合并严重感染、粘连的颌下腺疾病切除,且其远期疗效、适应证还需要大样本进一步评估。
所有作者声明无利益冲突





















