
浆液黏液腺错构瘤(seromucinous hamartoma,SMH)是一种罕见的鼻腔鼻窦良性腺体增生性病变,目前国内外文献仅报道了40余例。本文报道1例山东大学齐鲁医院(青岛)耳鼻咽喉头颈外科收治的发生于蝶筛隐窝的SMH病例,并结合文献复习,介绍鼻腔SMH的临床和影像学特点、诊治及预后。
版权归中华医学会所有。
未经授权,不得转载、摘编本刊文章,不得使用本刊的版式设计。
除非特别声明,本刊刊出的所有文章不代表中华医学会和本刊编委会的观点。
错构瘤属于良性的局灶增生性病变,组织排列紊乱[1]。鼻腔鼻窦可发生多种错构瘤,包括呼吸上皮腺瘤样错构瘤(respiratory epithelial adenomatoid hamartoma,REAH)、浆液黏液腺错构瘤(seromucinous hamartoma,SMH)、软骨-骨呼吸上皮错构瘤和鼻软骨间叶错构瘤。REAH和SMH包含源自上皮的病变,鼻软骨间叶错构瘤为含有间叶组织的病变,而软骨-骨呼吸上皮错构瘤混合了上皮和间叶来源的病变[2]。SMH是一种鼻腔鼻窦良性腺体增生性病变,也称浆液性错构瘤或腺性错构瘤[3, 4],最早由Baillie和Batsakis[3]于1974年报道。组织学上,SMH通常被覆呼吸上皮,由小叶或增生的腺体和导管组成[5]。SMH属于罕见病例,临床报道不多,现报告1例就诊于我院的SMH病例。
患者男性,47岁,汉族人,因“反复咽部异物感1年”于2016年5月就诊于山东大学齐鲁医院(青岛)耳鼻咽喉头颈外科。患者不伴鼻塞,无流涕或嗅觉减退;无咳嗽、咳痰,无发热、咽痛或呼吸困难;无哮喘或变应性鼻炎病史;无吸烟史。体格检查:体质量指数23.45 kg/m2。外鼻无畸形,双侧鼻腔黏膜光滑,鼻中隔基本居中,鼻腔通畅,未见异常分泌物。口咽见一肿物自鼻咽部垂下,肿物表面较光滑,活动好。电子喉镜下见鼻咽部有一表面光滑肿物,其细长根蒂位于右侧蝶筛隐窝,肿物遮挡了大部分鼻咽部结构,仅可见左侧部分咽隐窝和下鼻甲后端(图1)。EB病毒核酸检测未见异常(<5 000 copies/ml)。术前CT提示肿物来源于右侧蝶筛隐窝并垂向鼻咽部,延续至悬雍垂水平,其左右径大于前后径,大小约7.0 cm×3.0 cm×1.2 cm(图2)。肿物磁共振T1WI像呈等信号,T2WI像呈不均匀高信号,增强扫描肿物边缘呈不均匀强化(图3)。结合患者“咽部异物感”病史,电子喉镜和术前影像学检查提示这是一种源自右侧蝶筛隐窝的窄蒂肿物,参考既往报道,考虑鼻腔SMH可能,但应与以下疾病鉴别:①鼻腔REAH(多为双侧发病,好发于双侧嗅裂区,二者鉴别在讨论部分详细阐述)及其他类型错构瘤(更为罕见);②炎性息肉(最常见,多双侧发病,呈半透明荔枝肉样,多伴鼻窦炎症);③鼻腔鼻窦癌(可见骨质破坏等特征);④鼻腔内翻性乳头状瘤(在T2WI或增强T1WI上肿块呈“卷曲脑回状”,强化是其典型征象[6])。考虑本病未见明显恶性特征,故术前未取病理,选择术中快速病理明确肿物性质。


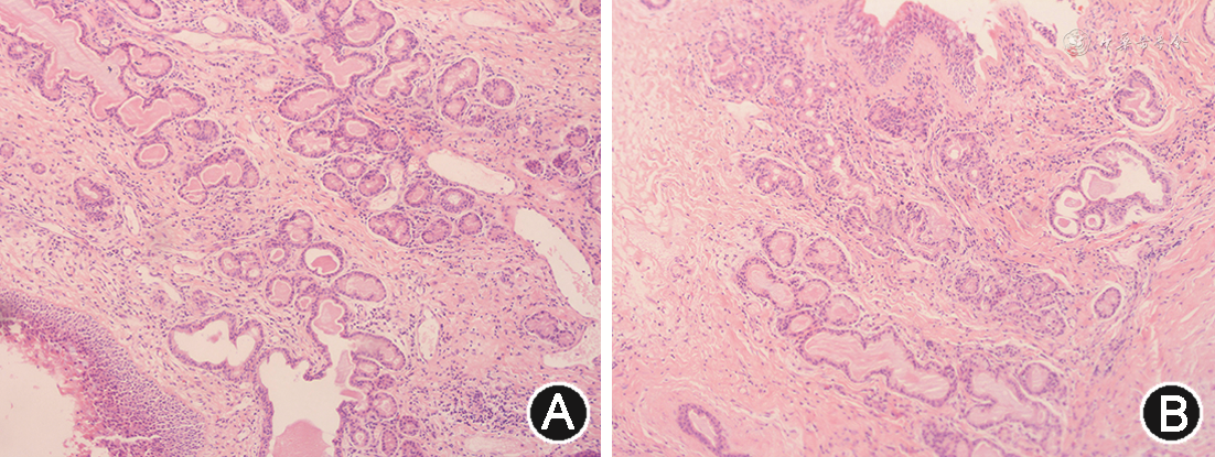
鼻内镜下将肿物自根蒂完整切除,自口咽部取出,见肿物呈扁平树叶状。快速病理结果示:右鼻腔SMH。HE染色显示肿物由大小不等的腺体和小管组成,呈簇状或小叶状生长,腺体与间质的比例在病变不同区域间差异很大,某些区域可以看到紧密聚集的腺体病灶(图4)。小管由单层立方上皮组成,部分小管腔内可见嗜酸性分泌物,组织内未发现恶性肿瘤的结构特征,如背对背生长模式、筛状模式、侵袭性、上皮簇集等,未见腺周玻璃样变。术后随访5年余,患者至今未出现肿物复发,自诉偶有咽部异物感,但较术前减轻。


SMH是一种罕见而独特的错构瘤,多发生于鼻腔后部,如鼻中隔后端、蝶筛隐窝或蝶窦前壁,也可发生于中鼻甲、钩突、嗅区或鼻咽部[1,3, 4, 5,7],男女发病率相似,中老年人居多。单侧鼻塞及流脓涕为其常见临床表现[8, 9],部分患者可出现鼻出血[10],若SMH发生于嗅区,患者可能出现嗅觉减退。有些SMH患者则没有任何症状[1]。本病可与鼻息肉伴发[9],病变可表现为广基或窄蒂。本例患者表现为咽部异物感,无鼻腔慢性炎症表现,肿块通过窄蒂与蝶筛隐窝的黏膜相连。
组织学上,SMH是一种由呼吸上皮覆盖的息肉样病变,可见黏膜下浆液黏液腺、导管和纤维间质的小叶增生[3,11],有时可观察到呼吸上皮内陷形成的小囊肿[4]。SMH内的一些小管腔内可见嗜酸性分泌物[9],小管周围间质从水肿到纤维状不等,并可见数量不等的梭形细胞。有些病例的组织标本可发现腺周玻璃样变[5],有些可呈呼吸上皮腺瘤样错构瘤样改变,组织内无恶性肿瘤的结构特征,如背对背生长模式、筛状模式、侵袭性、上皮簇集和微小乳头状瘤等。关于SMH分子标志物表达情况的研究不多,有学者用免疫组织化学染色方法发现,SMH的浆液黏液腺中,细胞角蛋白如CK7、CK19、高分子量角蛋白(HMWK)和上皮细胞膜抗原为阳性,但肠细胞标志物CK20呈阴性[9]。有学者也报道了SMH中不同分子量角蛋白的表达情况,并提及浆液成分中散在的S100+细胞[10]。SMH中,浆膜黏液腺周围有散在的p63表达,这表明SMH局部存在肌上皮/基底细胞[9,12]。
根据第4版世界卫生组织头颈部肿瘤分类,SMH和REAH被归类为“呼吸上皮病变”[13],二者应该相互鉴别[14]。REAH是一种缓慢生长的良性上皮样错构瘤,好发于中老年男性,特别是伴有吸烟、哮喘、鼻息肉、变应性鼻炎的人群[15, 16, 17],有报道证实REAH与既往多次鼻息肉手术存在密切联系[18]。嗅裂膨胀性增宽是其特征性影像学表现,双侧发病多见,也可发生于鼻腔其他部位、鼻窦及鼻咽部等区域。REAH在CT上呈分叶状、膨胀性生长,多呈与脑灰质相仿或略高密度病变,周边骨质可出现受压、变形、吸收,邻近中鼻甲受压外移;磁共振T1WI通常呈等信号,T2WI呈略混杂的等信号,增强扫描可见不均匀强化,内部可见形状大小不一的“筛网状”强化间隔[19]。REAH在组织学上表现为假复层呼吸上皮和假腺体的增生。相比之下,SMH发病部位更多变,可发生于鼻中隔、中鼻甲、钩突或鼻咽部等处[10,20, 21],大多为单侧发病。SMH在CT上呈与脑灰质相比的低密度,无骨质破坏征象;磁共振T1WI呈等信号或低信号,T2WI呈不均匀高信号,增强扫描呈不均匀强化,分析此种影像学特点可能与病变内所含黏液成分有关,具有一定的特征性。SMH在组织学上表现为真正的单层浆液黏液腺增生[9],通常具有相对复杂的息肉状表面。REAH和SMH好发部位不同,影像学上可发现不同的发病部位和影像学特点,组织病理学上也有各自的特征,可用于鉴别。目前REAH和SMH的发病原因不明,有学者认为慢性炎症在这2种疾病中可能发挥了一定的作用,伴或不伴鼻息肉的慢性鼻窦炎可能与SMH的发生有关[11,17]。
鼻内镜下手术切除是鼻腔SMH的标准治疗方法[17],手术治疗效果好,复发率低,目前为止文献中报告了1例复发病例[5]。孤立性SMH可在内镜手术切除后治愈。对于合并慢性鼻窦炎和/或鼻息肉的患者,在切除SMH的同时也需要切除鼻息肉,开放阻塞的鼻窦以利于通畅引流。在文献报道的患者中没有发现相关的恶性肿瘤病例。Weinreb等[5]报告了1例患者术前鼻腔肿物活检结果为鳞状细胞癌,而在鼻内镜下完全切除后的最终病理诊断为SMH。鼻科医生和病理科医生应提高对本病的认识,减少漏诊误诊率。由于SMH发病机制不明,仍需进一步研究。
所有作者声明无利益冲突





















