
鼻咽部黏膜黑色素性嗜酸细胞化生(melanotic oncocytic metaplasia,MOM)属于罕见的良性病变,其临床表现不典型,易被误诊为血管瘤、痣或恶性黑素瘤等。本文通过回顾3例就诊于十堰市太和医院耳鼻咽喉头颈外科的鼻咽部MOM患者的诊疗过程,探讨该疾病的喉镜表现、病理特点、鉴别诊断及治疗。
版权归中华医学会所有。
未经授权,不得转载、摘编本刊文章,不得使用本刊的版式设计。
除非特别声明,本刊刊出的所有文章不代表中华医学会和本刊编委会的观点。
例1 患者男,52岁,因“咽喉部不适10个月”就诊于十堰市太和医院耳鼻咽喉头颈外科,伴咽喉部异物感,无明显耳鸣、听力下降等表现,门诊行电子鼻咽喉镜发现右侧咽鼓管咽口周围散在深褐色病变(图1A),遂以“鼻咽部新生物”收住入院。既往有吸烟史,平均40支/天,持续40余年。入院后行鼻咽部MR检查提示鼻咽部黏膜均匀增厚,咽隐窝及咽鼓管无明显闭塞(图2)。完善术前准备后于全身麻醉下行鼻内镜下鼻咽部病变切除术,术后组织病理学检查提示黏膜下间质内可见呈灶状分布的嗜酸性腺体,腺体内伴有色素沉着,细胞未见明显异型,病变符合黑色素性嗜酸细胞化生(melanotic oncocytic metaplasia,MOM),见图3。术后1周行电子鼻咽喉镜见手术创面恢复可,未见明显病灶残留。随访半年无复发。




例2 患者男,64岁,因“声音嘶哑2年”就诊于十堰市太和医院耳鼻咽喉头颈外科,声音嘶哑呈持续性,无明显咽喉疼痛,无咳嗽、咳痰。门诊行电子鼻咽喉镜示双侧声带肥厚,全程可见灰白色斑片状物;左侧圆枕可见新生物(图1B)。遂以“声带新生物、鼻咽新生物”收住院。既往有吸烟史,平均20支/天,持续30余年。入院完善术前准备后,于全身麻醉下行支撑喉镜下双侧声带病损切除术+鼻内镜下鼻咽病损切除术,术后组织病理学检查提示双侧声带病变符合鳞状上皮角化症;鼻咽部呈黏膜慢性炎症伴MOM。术后5 d复查电子鼻咽喉镜见鼻咽部创面恢复可,未见明显病灶残留,随访1年无复发。
例3 患者男,64岁,因“咽喉部不适10 d”就诊于十堰市太和医院耳鼻咽喉头颈外科,伴双侧鼻塞及双侧耳闷,无明显听力下降,门诊行电子鼻咽喉镜检查发现左侧圆枕有黑色突起(图1C),遂以“左侧圆枕新生物”收入院。患者既往有吸烟史,平均5支/天,持续40余年。入院完善术前准备后于全身麻醉下行鼻内镜下鼻咽病损切除术,术后组织病理学检查提示局灶性分布的腺泡呈嗜酸性化生,部分胞质内可见色素沉着,考虑为黏膜MOM。术后6 d复查电子鼻咽喉镜见鼻咽部创面恢复可,未见明显病灶残留。
嗜酸细胞是具有嗜酸性颗粒细胞质的大型上皮细胞,嗜酸细胞化生通常见于某些上皮器官,如唾液腺、泪腺、甲状旁腺等[1, 2]。目前,关于嗜酸细胞化生的病因包括炎症、变性和瘤变等,有研究者认为嗜酸细胞化生的发生率随着年龄的增长而增加,多见于中老年人[3, 4, 5]。根据目前报道的病例,中老年人发病率更高证实了这一点,然而其确切的发病机制尚不清楚。
鼻咽部MOM是一种罕见的色素沉着状态,为良性病变[6]。自1995年中国香港Shek等[7]报道了2例鼻咽部MOM后,到目前为止,国内外报道的文献中仅有46例,除1例患者是意大利人外,其他病例均为亚洲人,且以成年男性为主(86.96%,40/46)。鼻咽部MOM确切的发病机制尚不清楚,Sakaki等[8, 9]认为吸烟可能是其诱发因素,这可能与尼古丁对细胞内黑色素具有亲和力有关[10, 11]。既往及本次报道中,大部分患者有长期、大量吸烟史,支持了这一假设。
鼻咽部MOM患者多无典型的临床症状,常于内镜检查时发现,病变一般位于咽鼓管咽口附近[12],呈大小不一、边界清楚、深棕色或暗黑色略隆起的小肿块,可呈多发性或累及双侧[13]。当咽鼓管咽口区的黏膜受到影响时,耳或鼻可能出现症状[14, 15],常见的表现包括分泌性中耳炎、耳鸣或听力下降,部分患者可出现鼻出血、鼻塞、声音嘶哑等症状[16, 17]。有病例报道指出,部分患者耳鸣、分泌性中耳炎等耳部表现可于病变切除后缓解[18]。
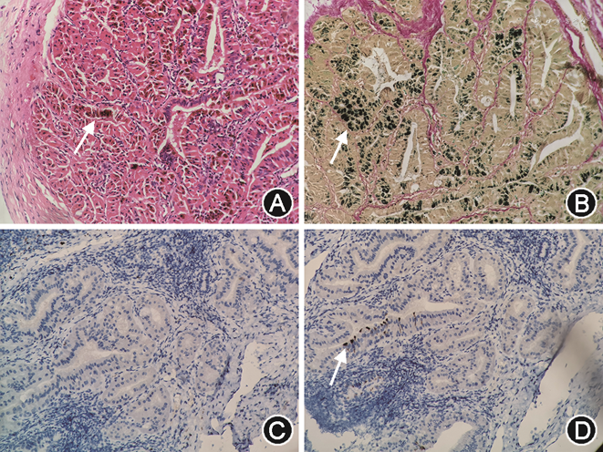
鼻咽部MOM因其肉眼特征及缺乏特异性临床表现,易被误诊为痣、恶性黑色素瘤或早期鼻咽癌[19]。因不同疾病之间治疗原则不同,临床医生在诊治过程中应注意与以下疾病鉴别。(1)恶性黑色素瘤:是一种呈浸润性生长的恶性肿瘤,临床疾病进展较快,患者一般情况及预后较差。电子鼻咽喉镜下可见病变组织呈灰黑色或暗褐色(图1D),部分可伴坏死、出血。典型的恶性黑色素瘤MR表现为T1WI高信号,T2WI低信号[20, 21],显微镜下可见异型肿瘤细胞,免疫组织化学CKpan(-)。而MOM是一种较为局限的良性病变,MR无明显异常信号,宏观上可见病变组织界限清晰、表面光滑,显微镜下无明显异型细胞,免疫组织化学CKpan(+)。(2)鼻咽癌:为鼻咽黏膜的恶性肿瘤,与EB病毒感染有关,患者可有回吸涕中带血、颈部淋巴结肿大等表现。电子鼻咽喉镜下,鼻咽癌患者多以鼻咽部隆起新生物为主要表现,一般不伴有明显的色素沉着(图1E)。影像学上,鼻咽癌MR一般表现为T1WI等信号,T2WI稍高信号,增强后可有强化现象。因此,临床医生可根据其临床表现及影像学特点进行初步鉴别,但组织病理学检查是鉴别恶性肿瘤与良性病变的金标准。(3)Warthin肿瘤:嗜酸细胞上皮局灶性排列成双层细胞,这种形态学表现类似腮腺Warthin肿瘤[22]。然而,相对腮腺Warthin肿瘤而言,MOM的病变更小,在淋巴间质中缺乏纤维囊和生发中心[23],且Warthin肿瘤的淋巴细胞主要是B细胞[14]。
组织学上,MOM的细胞特点是细胞核位于基底部,可伴随黑色素在胞质内聚集而着色。关于黑色素的起源仍不清楚,目前最普遍的假设是黑色素由黑色素细胞产生,并通过树突状突起转移到相邻的嗜酸细胞内,但这种黑色素差异转移的原因有待进一步研究[19]。经免疫组织化学标记,含黑色素的嗜酸性化生细胞表现为SOX10(+)、Melan-A(+)和HMB-45(-)。
鼻咽部MOM作为恶性黑色素瘤的“良性模仿者”,病变通常较小,增长潜力有限,预后较好。到目前为止,还没有鼻咽部MOM患者并发或随后发生恶性肿瘤的报道。因此,对于单一的病灶,进行简单的切除并活检是其常见的治疗方式;对于多发的病灶,临床医生可根据患者病变分布情况、术后鼻咽部创面大小及患者手术耐受能力进一步制订手术方案,由于MOM为良性病变,同时可选择定期随访[12]。
所有作者声明无利益冲突





















