
鼻咽癌容易向周围侵犯和发展,随着对鼻咽癌认识和研究的不断深入,鼻咽癌向周边的侵犯程度越来越受到人们的重视,对于患者治疗方式的选择和预后均具有较大的指导意义。本文介绍了鼻咽及其周围的解剖结构、鼻咽癌的生物学特性、鼻咽癌向周围组织侵犯和局部淋巴结转移等内容,并阐述了鼻咽癌向周围侵犯和发展时的辅助检查及相应表现。
版权归中华医学会所有。
未经授权,不得转载、摘编本刊文章,不得使用本刊的版式设计。
除非特别声明,本刊刊出的所有文章不代表中华医学会和本刊编委会的观点。
鼻咽癌是头颈肿瘤外科医生共同关注的重点肿瘤,其高度侵袭性和鼻咽解剖部位的特殊性决定了其容易向周边侵犯和发展,产生不同的临床和影像学表现[1, 2, 3, 4, 5]。鼻咽癌向周围侵犯和发展的程度,对治疗方式的选择和治疗方案的制定有重要意义,并对远期生存率和复发率有重要影响。临床医生应掌握鼻咽癌向周边侵犯和发展的规律,通过专科和影像学检查判断其侵犯程度,对患者采取不同的治疗方式,协助进行放疗靶区勾画、手术入路及范围的选择,并借此进行预后判断。
鼻咽位于鼻腔后方、软腭水平以上,上达颅底,下方承接口咽部。其前壁由后鼻孔及鼻中隔后缘构成,经后鼻孔与鼻腔相通;后壁紧邻颈椎及颈椎旁的肌肉束;上壁即颅底,有许多重要的血管神经通过;下壁前2/3为软腭,后1/3为通往口咽部的通道;侧壁主要由咽鼓管咽口构成,并与咽旁间隙相邻,其中包含重要的颈内动脉、颈内静脉,以及第Ⅸ-Ⅻ对颅神经等[6](图1)。


鼻咽癌具有向周围浸润生长的生物学特性,通常通过以下方式向周围侵犯和发展:①沿黏膜或黏膜下组织浸润性生长;②于肌纤维束走行区呈浸润性生长;③在肌纤维束周围的纤维脂肪组织内呈浸润性生长;④随神经血管束穿越正常解剖通道扩展;⑤沿骨骼表面向周围浸润性生长;⑥侵犯骨髓腔,在骨髓腔内生长。
鼻咽癌局部侵犯和发展时有如下特点[7, 8, 9, 10]:①遵循由近及远的规律逐步侵犯,跳跃性侵犯较为罕见;②各解剖部位的受侵犯危险度与其解剖位置及解剖屏障有关;③最常见的情况是向侧方侵犯咽旁间隙,其次为向上侵犯颅底和向前侵犯鼻腔、鼻窦,向下侵犯口咽部和向后侵犯高位颈椎及周围结构相对少见;④易发生双侧解剖结构同时受累。
鼻咽癌可越过鼻中隔后缘和后鼻孔,向前生长或浸润,侵犯鼻腔甚至鼻窦,或向前经翼突侵犯上颌窦、筛窦。临床上又可分为2种类型:一种是黏膜浸润型,即鼻咽癌侵犯鼻腔黏膜;一种是游离突入型,即外生性肿瘤向前突入鼻腔、鼻窦,而鼻腔黏膜未受到侵犯[11]。上述2种类型会引起患者鼻塞、鼻出血等非特异性症状。黏膜浸润型通常伴有颅底骨质、咽旁间隙等结构的侵犯,治疗后肿瘤残留率和复发率均较高,预后较差,游离突入型则预后相对较好。
鼻咽癌易向上侵犯,累及颅底甚至颅内,破坏颅底骨质后,可以在颅内形成相应的癌组织肿块。鼻咽癌患者颅底受侵犯的部位与肿瘤的生长方向密切相关:癌组织向上侵犯蝶窦;向后破坏斜坡;向上外侧累及卵圆孔、棘孔和颅中窝底;向后外侧侵犯破裂孔[12]。鼻咽癌向颅底及颅内的侵犯途径如下。
1. 直接破坏颅底骨质:这是鼻咽癌颅底及颅内侵犯最常见的途径:①向上破坏蝶骨,侵犯蝶窦,进而侵及蝶鞍、垂体、海绵窦;②向外上方破坏蝶骨大翼侵及中颅窝;③向前上方破坏筛骨侵及前颅窝;④向后上方破坏斜坡侵及后颅窝。
2. 经神经间隙侵及颅内:其发生率为12%~35%[13, 14, 15],其中三叉神经受累最为常见。癌组织可随三叉神经下颌支经卵圆孔或随三叉神经上颌支经圆孔入颅,也可侵犯第Ⅸ-Ⅻ对颅神经,随相应的神经间隙入颅。癌组织侵犯神经可以引起相应神经受累的临床表现,临床医生应加以重视,必要时行影像学检查以明确诊断。
3. 经颅底自然孔道:颅底有许多天然的解剖孔道,如卵圆孔、圆孔、破裂孔、棘孔、颈内动脉孔、颈静脉管等,鼻咽癌易通过这些自然孔道侵犯颅底及颅内。卵圆孔是鼻咽癌最易侵及的颅底自然孔道,鼻咽癌主要通过咽颅底筋膜的Morgagni孔或破坏咽颅底筋膜侵犯卵圆孔,进而侵犯其他颅底骨质甚至颅内结构。鼻咽癌还常通过颈动脉鞘,经颈静脉孔区达桥小脑角区,进而侵犯后颅窝。
4. 经翼腭窝:鼻咽癌主要通过下列3种途径侵犯翼腭窝:①经颞下窝、翼上颌缝;②经鼻腔、蝶腭孔;③直接破坏翼突。鼻咽癌可经翼腭窝,通过圆孔侵及鞍旁、海绵窦;也可通过翼管侵及破裂孔、海绵窦和中颅窝。
5. 经咽后间隙:鼻咽癌可经咽后间隙向后上破坏蝶骨体和斜坡,侵犯颅底和颅内。
鼻咽癌咽旁间隙侵犯是指鼻咽癌向后外侧越过咽颅底筋膜,侵犯咽旁间隙的组织结构。咽隐窝与咽旁间隙之间的咽颅底筋膜薄弱,因此鼻咽癌易向后外侧侵犯咽旁间隙。文献报道,鼻咽癌咽旁侵犯率达72.5%~84.4%[16, 17, 18]。
根据鼻咽癌是否侵犯咽旁间隙及其侵犯程度,可分为0~2级:0级指鼻咽癌未侵及咽旁间隙;1级指鼻咽癌侵及咽旁间隙而未侵及颈动脉鞘区;2级指鼻咽癌侵及颈动脉鞘区[19]。由于该处富含淋巴管网,鼻咽癌侵及咽旁间隙时,常合并局部淋巴结转移。颈动脉鞘区受累的鼻咽癌患者通常合并颅底骨质受累,多数患者已达局部晚期阶段,且鼻咽癌侵及颈动脉鞘区时发生远处转移的概率较高,可能通过下述途径:①血行转移:由于颈动脉鞘区富含血管,易于发生血行转移;②淋巴转移:癌细胞通过该区域丰富的淋巴管网发生淋巴转移[20]。
研究发现,咽旁间隙侵犯程度0级和1级的患者在远期生存率和肿瘤复发率方面差异并不明显,而2级的患者5年无瘤生存率(57.8%)显著低于0级(81.5%)和1级(72.3%),复发率方面显著高于前两者;颈动脉鞘区受侵犯是鼻咽癌患者预后较差的独立预测因素[21]。
由于有头长肌和坚实的椎前筋膜相隔,鼻咽癌极少向后方侵犯高位颈椎及其周围结构。鼻咽癌侵犯高位颈椎多见于复发性鼻咽癌,肿瘤主要通过鼻咽后壁的软组织侵犯高位颈椎,也可通过咽旁间隙间接侵犯[22]。鼻咽癌侵犯高位颈椎及其周围结构时,主要表现为进行性的颈部疼痛、颈项强直、颈部活动受限,脊髓受压迫或侵犯者可产生相应的神经定位体征,易被误诊为颈椎间盘突出、颈椎半脱位等颈椎原发性疾病,临床医生应加以重视,进行影像学检查以鉴别。
鼻咽癌可以通过黏膜和黏膜下组织向下蔓延至口咽部,或在鼻咽腔内向下生长达口咽部。据报道,鼻咽癌口咽部侵犯的发生率为19.8%[23],患者常表现为口咽部肿物和进行性吞咽困难,电子鼻咽喉镜或鼻内镜检查结合口咽部黏膜活检可明确诊断。鼻咽癌侵及口咽部黏膜时,常合并咽旁间隙和颅底侵犯,患者5年生存率显著下降,是鼻咽癌患者预后的独立危险因素。
颈部淋巴结肿大是鼻咽癌患者常见的临床表现,局部淋巴结转移对于鼻咽癌患者的诊断、分期和治疗均具有重要意义(图2)。


鼻咽癌通常沿淋巴管引流通道逐级发生转移,一般不发生跳跃性转移。Ⅱ区淋巴结和咽后淋巴结通常是鼻咽癌最先累及的淋巴结,研究表明,Ⅱ区淋巴结和咽后淋巴结转移的发生率分别为71%和67%[24]。常见的转移顺序为:①自Ⅱ区向Ⅲ、Ⅳ区淋巴结转移;②自Ⅱ区向Ⅴ区淋巴结转移;③自咽后向Ⅴ区淋巴结转移。
鼻咽癌局部淋巴结转移具有如下特点[25]:①发生率高:首诊患者中局部淋巴结转移率高达80%;②双侧性:易出现双侧局部淋巴结转移;③通常由近及远沿淋巴管网逐级发生转移,跳跃转移发生率低;④较少累及Ⅰ区淋巴结;⑤局部淋巴结转移的发生率与患者的性别、年龄无明显相关性。
鼻咽癌患者发生局部淋巴结转移时,最常见的临床表现为无痛性颈部肿物,质硬,与周围组织粘连,活动性较差,患者可伴有鼻塞、鼻出血、分泌性中耳炎等鼻咽癌的常见临床表现。对于此类患者,临床医生应加以重视,及时行内镜及影像学检查以进一步诊断。
鼻咽癌复发是目前治疗失败的主要原因,再次治疗后预后差且并发症多,是目前研究的热点之一[3]。相较于首诊鼻咽癌,复发性鼻咽癌向周围侵犯和发展的规律如下[10,26, 27]:①侵犯范围更广,临床分期更晚;②颅底骨质是复发性鼻咽癌最易侵犯的部位,其次为咽旁间隙;③距离鼻咽部较远的解剖结构,如海绵窦、颅神经、翼腭窝、鼻窦等,受侵犯的概率显著升高;④邻近解剖结构,如口咽,受侵犯的概率降低;⑤肿瘤可能在放疗后的瘢痕组织中呈多灶性分布;⑥局部淋巴结转移的规律与首诊鼻咽癌相似,Ⅱ区淋巴结最易受累。
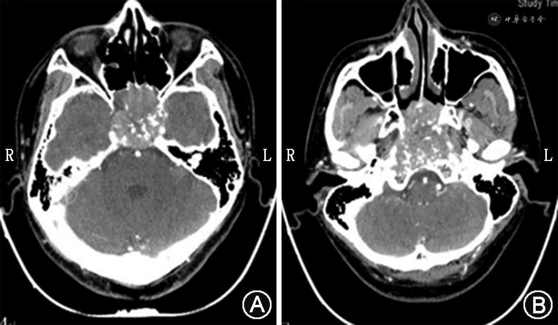
影像学检查是诊断鼻咽癌向周围侵犯和发展的重要检查方式,常选择CT和MRI检查。CT检查能够较好地显示鼻咽癌对于骨组织,特别是颅底骨质的破坏程度;MRI检查对于软组织具有较高的分辨能力,能够较好地显示鼻咽癌对邻近软组织以及颅内结构的侵犯程度。
影像学检查是发现鼻咽癌颅底、颅内侵犯最好的检查方法,CT检查可以发现颅底骨质的破坏情况,MRI检查则对颅内结构的侵犯较为敏感[28]。
鼻咽癌侵犯颅底、颅内时,CT检查通常表现为[29]:①颅底骨质边界不完整,骨皮质不连续或点片状骨质缺损;②颅底自然孔道如破裂孔、卵圆孔、棘孔破坏或不规则扩大;③颅内脑膜外出现等密度、稍高密度或稍低密度结节样及条片样软组织影,增强扫描病灶强化程度与鼻咽部病灶一致;④局部脑膜增厚,增强扫描呈明显强化;⑤海绵窦不规则扩大,增强扫描呈异常强化(图3)。


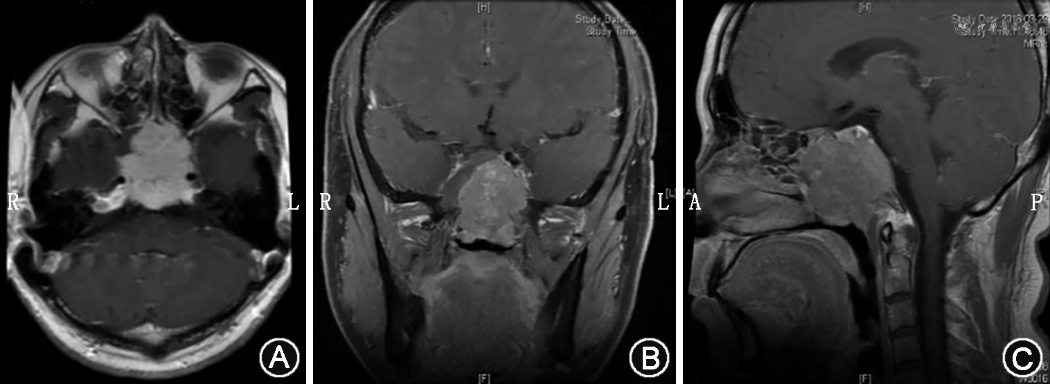
鼻咽癌侵犯颅底、颅内时,MRI检查通常表现为[28]:①颅底骨质不连续,正常骨髓脂肪高信号消失,出现不规则斑片状异常低信号影,骨质破坏区域边界不清,增强扫描可见其异常强化;②颅内脑膜外局部肿物,T1WI呈稍低信号,T2WI呈稍高信号,T2 STIR序列病灶信号明显增高,病灶强化显著;③神经通路上出现异常肿块,T1WI呈稍低信号,T2WI呈稍高信号,相应神经根增粗、强化;④颅底自然孔道破坏或不规则扩大;⑤非对称海绵窦扩大,受累海绵窦可见弥散性或局限性增厚,且异常强化(图4)。


目前临床上主要依靠影像学检查判断咽旁间隙是否受到侵犯,常使用CT和MRI检查,通常表现为[30]:①鼻咽部肿物的边缘越过了颈内动脉外侧缘与翼突内侧板的连线,CT检查呈软组织密度,与周围组织边界不清,MRI检查T1WI呈等信号或稍低信号,T2WI呈稍高信号,增强扫描呈中度强化;②一侧或两侧咽旁间隙变形,头长肌受压、移位,周围脂肪间隙模糊。
近年来,超声检查在鼻咽癌咽旁间隙成像方面越来越受到重视。鼻咽癌咽旁间隙侵犯的超声检查主要表现为:①咽旁间隙软组织连续性中断;②颈动脉鞘受压征象,血管走行迂曲;③茎突、腮腺内异常回声[31]。
鼻咽癌侵犯高位颈椎及其周围结构主要表现为鼻咽部软组织肿物伴有下列征象:①颈椎前软组织受侵[32];②高位颈椎溶骨性骨质破坏;③椎间盘变性;④脊髓受压变性。
颈部超声检查具有简单易行、操作简单的特点,是诊断鼻咽癌局部淋巴结转移最基本的检查方式,CT和MRI检查,特别是颈部增强CT检查能够进一步判断局部淋巴结转移的程度。
鼻咽癌颈部淋巴结转移的超声表现通常为[33]:①局部淋巴结增大、相互融合,形态呈类圆形或不规则形;②淋巴门结构偏心、模糊或消失;③内部呈不均质低回声,可见坏死液化形成的不规则液性暗区;④血流分布多呈周边型或无血流型。
鼻咽癌颈部淋巴结转移的CT和MRI表现通常为[34, 35]:①Ⅰ~Ⅴ区淋巴结最小横径≥10 mm(Ⅱa区淋巴结为11 mm);②无论淋巴结大小,淋巴结中央区域出现液化坏死区或环形强化区;③1个区域内出现3个或3个以上的淋巴结相互融合,且其最小横径≥8 mm;④单个或融合淋巴结边缘不规则强化,其周围脂肪间隙模糊或消失。
咽后淋巴结位于咽后间隙,可分为内侧组和外侧组,内侧组位于椎前肌前方近中线部位,外侧组位于寰椎横突水平颈内动脉内侧[36]。咽后淋巴结转移与较低的远期生存率和较高的复发率有关[37]。MRI和CT检查对咽后淋巴结转移的诊断具有重要意义,通常表现为[38, 39]:①咽后淋巴结最小横径≥4 mm;②淋巴结内出现中心坏死、强化或包膜外侵犯;③内侧组出现可辨认的淋巴结。
鼻咽癌高度侵袭性的生物学特点及鼻咽部解剖部位的特殊性决定了鼻咽癌易于向周边侵犯和发展,肿瘤侵犯或压迫周围结构可以产生不同的临床表现,这些临床表现可能会成为鼻咽癌患者就诊时的首发症状,甚至是唯一症状。临床医生需要对此加以重视,结合内镜和影像学检查结果综合诊断。鼻咽癌向周边侵犯和发展的程度还决定了治疗方式的选择和预后的不同,临床医生应根据专科检查和辅助检查结果,综合判断鼻咽癌向周围侵犯和发展的程度,根据癌组织病理类型和侵犯程度的不同,以及患者的个体化差异选择相应的治疗方式,并对肿瘤的预后加以判断。
所有作者声明无利益冲突





















