
围绕翼管神经与鼻腔炎性疾病的研究开展已久,从既往解剖和术式的探讨逐步过渡到神经递质及炎性因子分泌等神经-免疫方向,为手术治疗鼻腔炎性疾病提供了新的思路。本文基于内镜经鼻翼管神经手术这一治疗手段,对其手术方式、应用现状及相关神经免疫机制展开论述。
版权归中华医学会所有。
未经授权,不得转载、摘编本刊文章,不得使用本刊的版式设计。
除非特别声明,本刊刊出的所有文章不代表中华医学会和本刊编委会的观点。
经全国继续医学教育委员会批准,本刊开设继教专栏,每年从第1期至第12期共刊发10篇继教文章,文后附5道选择题,读者阅读后可扫描标签二维码答题,每篇可免费获得Ⅱ类继教学分0.5分,全年最多可获5分。
随着内镜、电凝、低温等离子等技术的不断发展,内镜经鼻翼管神经切断术(vidian neurectomy,VN)被进一步细化,并被广泛应用于治疗多种鼻腔疾病,如血管运动性鼻炎(vasomotor rhinitis,VMR)、变应性鼻炎(AR)、常年性鼻炎、慢性鼻窦炎伴鼻息肉(CRSwNP)等[1, 2]。本文就内镜下翼管神经多种分支切断术的手术要点、临床疗效以及相关神经免疫机制进行论述,为提高疾病疗效、改善手术预后提供有价值的信息。
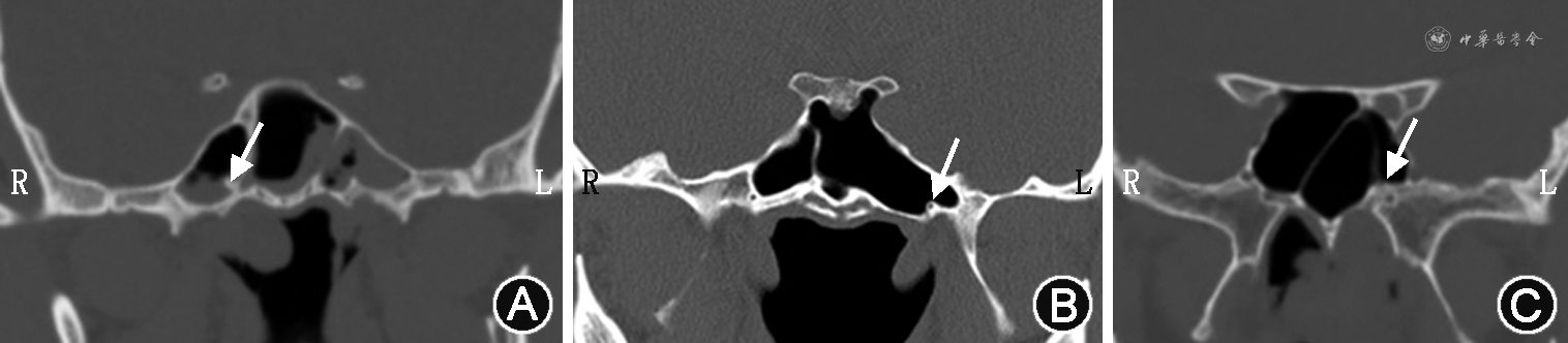
翼管神经由岩浅大神经和岩深神经在破裂孔处汇合而成,与翼管动脉伴行,出翼管前孔后直接融入翼腭神经节[3],然后又分出腭神经、鼻支、咽支和眶支,分别支配上腭部黏膜、鼻腔黏膜、鼻咽部部分黏膜腺体以及泪腺[4, 5, 6]。翼管位于蝶腭孔的后方,外口呈漏斗形。依据翼管在蝶窦中的走行,可将其分为3种类型:Ⅰ型完全突出于蝶窦腔;Ⅱ型部分突出于蝶窦腔;Ⅲ型完全包埋于蝶骨体内(图1)。Yazar等[7]对150例患者进行鼻窦CT扫描观察翼管形状,发现Ⅰ型占10%,Ⅱ型占54%,Ⅲ型占36%,这对于术前评估、选择入路方式具有重要的参考价值。


由于翼管神经的节前副交感纤维数量远多于节后交感纤维数量,鼻腔黏膜呈明显的副交感优势[8]。过敏原刺激鼻黏膜后,主要通过副交感神经调节释放神经递质、神经肽及细胞因子等物质,引发血管充血、黏膜增厚、腺体分泌亢进等鼻炎病理特征。故切断翼管神经后,鼻黏膜血管收缩,血流量明显下降[9],从而达到缓解鼻腔黏膜高反应性、减轻鼻塞、流涕及哮喘症状的治疗目的。
中枢致敏在炎性反应中主要表现为:①兴奋性感受野扩大;②对阈上刺激反应增强,持续时间延长;③神经元兴奋阈值降低,导致正常时无伤害性的刺激即可激活神经元[10]。激活后相关刺激性信号在神经中枢进行整合,以放大电冲动作用于靶器官,加重鼻黏膜局部炎性反应,形成过敏原刺激-中枢致敏-神经反应性增强-靶器官炎性反应加重的恶性循环。因此,行VN后可部分减弱过敏原经神经反射导致的中枢致敏,以及致敏后对末梢靶器官炎性反应的强化作用机制[11, 12]。
研究表明,AR患者症状期间鼻黏膜副交感神经可释放P物质、血管活性肠肽、酪氨酸神经肽等多种神经肽[13, 14],刺激肥大细胞分泌多种炎性介质,直接或间接作用于血管和腺体分泌,引发神经源性炎症[15, 16]。故切断翼管神经能够部分抑制副交感神经神经肽所引起的神经源性炎症,达到缓解相关症状、降低疾病复发率的治疗目的[17, 18]。
VN通过部分去副交感神经化调控鼻黏膜局部Th2型炎症及免疫反应,影响多种炎性疾病的发生发展。2型固有淋巴细胞(ILC2)可分泌多种炎性因子,参与2型炎性反应[19, 20, 21]。阻断AR小鼠鼻黏膜副交感神经能够减少ILC2的数量,抑制卵清蛋白特异性免疫球蛋白E、白细胞介素(IL)-4、IL-5、IL-13等细胞因子的表达[22]。该结果提示副交感神经或可通过ILC2参与影响Th2型炎性反应。
研究表明,同侧抗原刺激鼻腔黏膜可通过神经反射引起双侧的鼻分泌物和阻力增加[23],故推测单侧VN可部分阻断双侧鼻腔黏膜局部神经肽及轴突反射引发的大量炎性因子的释放,减轻症状、体征及术后并发症,起到“单侧手术,双侧受益”的治疗效果。但该理论仍有存疑:既然单侧抗原刺激即可引起双侧临床症状,行单侧VN后,如刺激对侧是否仍会引发相关症状?其临床疗效也需规范系统的近期及远期前瞻性研究加以验证。
近年来,神经免疫研究领域已取得多项突破性进展,如动脉粥样硬化结构性动脉-脑神经环路[24]、神经免疫参与的肠-脑轴调控机制等[25]。由此可见,神经免疫调控已成为整合各种影响因素以维持或重建内环境稳态的重要枢纽。深入探索神经免疫相互作用可进一步发掘其治疗潜力,为难治性疾病的治疗策略提供新目标。
1. 适应证:①经规范化药物治疗和/或免疫治疗,症状体征无改善且影响患者生活质量的鼻腔炎性疾病;②患者不愿或不能进行长期药物治疗;③合并哮喘、经规范化药物治疗和/或免疫治疗后疾病均控制不良;④鼻腔解剖学变异明显且功能障碍[26]。
2. 禁忌证:①有精神心理疾病或依从性差;②全身情况差,不能耐受手术;③年龄<18岁或>70岁;④有出血倾向、凝血功能障碍;⑤未经过常规药物治疗或免疫治疗;⑥鼻炎症状加重期;⑦哮喘未控制或急性发作期;⑧合并原发性免疫性疾病(如干燥综合征)或泪液分泌试验等结果异常[26]。
随着内镜技术的广泛应用,VN多在内镜下经鼻腔径路完成。目前内镜经鼻VN主要有内镜下经中鼻道VN、经蝶窦VN以及翼管神经分支切断术(即选择性VN)。
内镜下经中鼻道VN是目前较为主要的入路方式:术者经内镜在中鼻甲后端附着缘上方由内上至外下做一弧形切口,切口边缘达后鼻孔上方;向腭骨垂直板与蝶骨交界处分离黏膜瓣,去除腭骨蝶突,暴露腭鞘管并切断腭鞘管神经血管束;分离寻找前后开口的翼管,在翼管前口切断翼管神经并电凝断端(图2)。该术式于鼻内镜技术发展后采用较多,其特点为操作简便、视野清晰、创伤小、鼻腔并发症发生率低,既往多用于治疗顽固性VMR。但由于切断翼管神经主干时未对其分支进一步分离,故患者鼻分泌物减少的同时会出现眼鼻干燥、上唇和腭部麻木等分支切断并发症。如术中翼管暴露不佳时需进入翼腭窝,还存在损伤其内组织的风险。


另一种VN为经蝶筛隐窝径路。内镜下自蝶筛隐窝定位蝶窦开口,开放蝶窦后去除蝶窦前壁骨质,显露翼腭窝后壁开口处,暴露并切断翼管神经和翼管动脉[27, 28]。Lee等[29]采取该术式处理84例患者,其中疗效较差的7例均为Ⅲ型患者,推测其原因可能是内镜下手术视野暴露不足,术中将咽支误认为翼管神经,说明该术式多适用于Ⅰ、Ⅱ型患者。
翼管神经分支切断术是在经中鼻道VN的基础上,充分显露蝶腭动脉及腭骨筛嵴,沿蝶腭孔周围环形切开黏骨膜,同时切断鼻后神经丛上鼻甲支、鼻中隔支和鼻腔外侧壁支的血管神经束,在腭鞘管前口内侧骨管内切断咽支及与其伴行的蝶腭动脉咽支。因选择性切断鼻后神经丛而并非翼管神经,可减少眼干、上腭麻木等并发症[30, 31];因不进入翼腭窝,翼管区周围组织损伤小,可降低术中、术后出血风险,提高患者生活质量[31]。
临床研究认为,内镜经鼻VN可有效治疗中-重度持续性AR。国内姜彦团队通过改良的内镜下高选择性鼻后神经丛切断术治疗AR,术后1年随访结果显示针对中-重度持续性AR短期内疗效确切:对照组总有效率20.00%(6/30);观察组总有效率96.7%(29/30)[32]。另有谭国林团队回顾性分析结果提示,AR患者内镜经鼻VN术后6个月、1年、3年的治疗效果良好,且治疗后3.0~5.5年VN组总体有效率显著高于下鼻甲部分切除和/或鼻中隔矫正术组和保守治疗组[18]。但由于国内外尚缺少远期大宗病例报道,其长期疗效仍需大样本量前瞻性临床研究加以证实。
AR和哮喘、CRSwNP在病因学、发病机制和病理学变化等方面表现较为相似,因此临床上常伴随发生。研究表明,内镜经鼻VN治疗AR及伴随疾病效果良好:谭国林团队内镜下行双侧VN术后6、12及24个月,AR合并哮喘患者的生存质量均高于术前[33];王振霖团队在同一次手术中对CRSwNP和难治性AR进行联合治疗,随访2年结果显示,采用翼管神经分支切断术治疗伴有中-重度AR的CRSwNP的总有效率为94.6%(53/56)[34]。
VMR属于非变应性鼻炎最常见的类型,约占61%~71%[35]。研究证实,VN可有效改善VMR患者的临床症状,缓解疼痛感[36, 37]。谭国林团队针对51例VMR患者的随访结果显示,术后5年内疗效显著:显效41例(80.4%),有效3例(5.9%)[17]。其作用机制可能为:VN可部分阻断鼻部副交感神经的支配作用,收缩鼻部血管,减少鼻腔分泌物,有助于改善VMR的症状及体征[38]。
干眼是VN最常见的并发症,也是神经切断的标志。虽然VN术后干眼发生率差别较大(23.8%~100.0%),但其发生多是暂时性的,绝大部分患者在3~5年内未经治疗就可明显改善,这一改善可能由泪液分泌运动纤维再生以及节前通路替代途径所致[39]。
上腭麻木多是上颌神经损伤的表现[40],系统评价发现其发生率为8.2%(93/1 133)[40]。圆孔内的三叉神经上颌支与翼管前孔距离较近,仅由一小段骨脊相隔,而翼管神经又从翼管前孔穿出直接融入翼腭神经节,因此术中电凝翼管神经时,上颌神经可能受到热损伤。该并发症多于术后1年内自行缓解,其代偿机制是否与翼管神经分支和上颌神经间存在交通支有关,还需进一步研究证实。
VN的其他潜在并发症包括鼻出血和眼球运动障碍等,大多由于术中处理不当、导致蝶腭动脉分支破溃出血或眶尖内多对颅神经损伤所致。鼻内镜技术的引入有利于术者精确识别蝶腭孔、翼管和周围重要解剖结构,准确切除翼管神经分支及其周围软组织,从而避免对蝶腭动脉、蝶腭神经节、上颌神经支、视神经、眶结构等重要结构的损伤。
虽然翼管神经分支切断术仅切断蝶腭神经节鼻腔内分支及咽支,未破坏翼管神经发出的支配泪腺功能的副交感神经传导通路,避免了干眼、腭麻木等并发症的发生[34],但也存在AR复发的风险。研究认为,蝶腭神经节分出的鼻后外侧支分支之间存在环形连接,鼻后外侧神经纤维通过多个裂隙和孔贯穿整个腭骨,并可能与其他神经分支形成吻合环[41],故对支配鼻腔的大多数分支进行精确切断、阻止其再生存在难度。在此基础上,鼻内镜技术的引入使得术者能够精准识别、分离以及横断相应神经纤维,从而消除干眼风险,降低术后鼻甲结痂和干燥率。
鼻腔炎性疾病应强调综合治疗、防治结合,包括明确病因、确定炎性内在分型、环境控制和对因治疗等。由于鼻腔炎性疾病病理生理学机制复杂,临床上应详细评估患者病情,根据炎症分型制订个性化治疗方案,同时应与患者充分沟通,针对性开展健康教育,引导患者合理规避诱发因素,提高预防和治疗意识。而外科治疗仅作为对症治疗的辅助手段,临床上需严格把握手术适应证,熟练掌握解剖要点,全面进行术前评估,积极预防术后并发症。综上所述,规范化的综合治疗才是长期控制鼻部炎症患者症状、改善生活质量的关键。
在鼻内镜外科技术的引导下,VN逐步改良完善,其应用范围也越来越广。尽管目前VN还未成为治疗顽固性VMR、AR及其合并疾病的常规治疗方式,但临床上对于手术方式、术后并发症、手术短期有效率等方面已经有了较明确的认识,这对于完善AR及VMR的阶梯治疗策略有着至关重要的作用。随着精准医学的兴起,内镜经鼻手术治疗AR也将朝着微创的方向逐渐精进。不仅如此,由于鼻腔神经反射的缘故,进行一侧手术,或可改善双侧症状。完成鼻腔局部的手术,有助于借助神经反射环路改善鼻腔整体的症状,包括鼻痒、喷嚏和鼻塞。鼻黏膜水肿等减轻后,便于局部环境的改善(上皮功能恢复),后者反过来借助神经反射进一步改善鼻炎的症状。这就是VN术后所谓由鼻腔局部到系统、由末梢到中枢的反应环路相互作用进而影响免疫的机制,为改良术式、改善患者术后症状、提高生存质量以及个体化精准治疗提供了新方向。
所有作者声明无利益冲突
1.翼管神经融入翼腭神经节后可分出以下哪些分支()
A.腭神经
B.鼻支
C.咽支
D.眶支
2.不属于翼管神经切断术手术适应证的是()
A.轻度AR
B.中度AR,不愿或不能进行长期药物治疗
C.重度AR,经药物治疗症状无改善
D.中度AR合并哮喘,免疫治疗无效
3.以下哪种术式可避免干眼、腭麻木等并发症的出现()
A.内镜下经中鼻道VN
B.内镜下经蝶窦VN
C.内镜下鼻后神经切断术
D.筛前神经切断术
4.翼管神经切断术所涉及的神经免疫机制有()
A.减轻鼻腔黏膜腺体中副交感神经末梢的直接刺激作用
B.抑制中枢致敏作用
C.抑制副交感神经释放的神经肽所引起的神经源性炎症
D.部分阻断副交感神经对Th2型炎性反应的影响作用
5.长期控制鼻腔炎性疾病患者症状、改善生活质量的关键治疗策略是()
A.环境控制
B.健康教育
C.药物治疗
D.综合治疗继续教育园地参考答案参见本期第41页





















