
版权归中华医学会所有。
未经授权,不得转载、摘编本刊文章,不得使用本刊的版式设计。
除非特别声明,本刊刊出的所有文章不代表中华医学会和本刊编委会的观点。
神经鞘瘤作为椎管内常见的肿瘤之一,主要好发于髓外硬膜下或硬膜内外,发生在髓内的神经鞘瘤十分罕见。以往文献报道的神经鞘瘤均靠术后病理检查确诊,且由于其影像学特征与髓内胶质瘤十分相似,较容易出现误诊,故术前正确的诊断对其临床治疗和预后至关重要。笔者所在广州医科大学附属第三医院神经外科收治髓内神经鞘瘤1例,现将其诊断、治疗过程及预后报告如下。
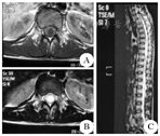
患者,男性,21岁,因"腰痛并进行性双下肢麻木、乏力2年"入院。体检:神清,无明显的认知及定向障碍,双侧瞳孔等圆等大(直径2.5 mm)、对光反射良好,颈软,左下肢可见肌萎缩,右下肢无明显变化。腹股沟以下双下肢痛温觉、浅感觉、深感觉减退,右下肢较左侧为著,双下肢近端痛觉及浅感觉障碍较远端为重,四肢肌张力大致正常,双上肢肌力Ⅴ级,双下肢肌力Ⅳ级,双下肢膝腱反射、跟腱反射(+++),右侧踝阵挛(+),病理征(-)。既往体检,否认有肝炎、结核史,否认有手术、外伤史,否认药物、食物过敏史,预防接种史不详。MRI检查:T9~L1脊髓囊实性占位病变,考虑为室管膜瘤可能性大,继发脊髓空洞(图1、图2、图3)。腰椎穿刺脑脊液检查示:脑脊液白细胞蛋白分离。手术可见脊髓明显肿胀,肿物呈鱼肉样组织,质地软,与脊髓分界欠清。病灶6.0 cm×2.0 cm×1.5 cm。术后病理:(T9~L1髓内)神经鞘瘤。特殊染色:黏液染色(AB)、糖原染色(PAS)阴性;免疫组化:S-100蛋白(+)、PGP9.5(+)、波形蛋白(Vim)(+)、CD34分子(+)、髓磷脂碱性蛋白(MBP)(+)、突触素(Syn)(+)、人Ki67蛋白、胶质纤维酸性蛋白(GFAP)、神经纤维细丝蛋白(NF)、上皮膜抗原(EMA)、雌激素受体(ER)、孕激素受体(PR)均为阴性(图4)。

Axial and sagittal MR imaging of the schwannoma

A:轴位T1WI,肿瘤呈稍低信号,边界尚清;B、C:矢状位、轴位T2WI,肿瘤呈高信号,边界清楚,且可见脊髓空洞
Axial and sagittal MR imaging of the schwannoma

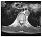
Enhanced sagittal and coronal MR imaging of the schwannoma

A:矢状位,B:冠状位
Enhanced sagittal and coronal MR imaging of the schwannoma

Enhanced axial MR imaging of the schwannoma

Enhanced axial MR imaging of the schwannoma

Pathologic pictures of the schwannoma (HE staining)

A:×40;B:×100
Pathologic pictures of the schwannoma (HE staining)
术前予甘露醇、激素治疗,于2013年6月17日行胸9~11椎管内髓内肿物切除术+去椎板减压术,术后持续腰骶引流,继续甘露醇、激素治疗,术后1月带胸部护甲可下地活动,并行康复训练。
神经鞘瘤是椎管内常见肿瘤之一。其好发部位为髓外硬膜下或硬膜内外。神经鞘瘤来源于Schwann细胞。由于中枢神经系统的纤维中并不含有髓鞘或Schwann细胞,因此,神经鞘瘤一般见于周围神经系统,而起源于髓内、脑或脑干的神经鞘瘤更是极为罕见。髓内神经鞘瘤仅占椎管内神经鞘瘤的1%,占髓内肿瘤的0.3%[1]。髓内神经鞘瘤主要见于脊髓,其次为大脑半球。其他如鞍区、脑干、小脑等也有报道。第一例是由Penfild于1932年报道的[2]。Ross等[3]复习报道的22例脊髓髓内神经鞘瘤,发现位于颈段的占50%,其次为胸段(22%)。也有学者统计称髓内神经鞘瘤男女发病比例为3:1,平均发病年龄为40岁,病灶通常为单发,发生在颈髓(63%)、胸段脊髓(26%)和腰段脊髓(11%)[3]。本例发病年龄21岁,位置为胸段跨腰段脊髓,为罕见病例。
髓内神经鞘瘤的发病机制目前尚无定论,根据临床、手术、病例推测,可能的起源有以下几种:(1)脊神经后根的Schwann细胞;(2)沿髓内血管周围神经分布的Schwann细胞;(3)胚胎发育第4周神经嵴封闭过程中,部分Schwann细胞异位;(4)中胚层的软膜细胞转化而来的Schwann细胞;(5)髓内迷走的神经纤维被覆的Schwann细胞;(6)创伤性脊髓损伤或慢性中枢神经系统疾患[4]。而就上述数种起源,有学者提出了以下几种主要的学说:(1)解剖学学说:神经鞘瘤来源于Schwann细胞,而脊髓实质内无神经鞘膜,不存在Schwann细胞,因此,Rasmussent等[5]于1940年提出髓内神经鞘瘤起源于髓内血管旁神经丛的Schwann细胞,这些神经丛伴随脊髓供血动脉进入髓内。在尸检材料上曾发现脊髓前动脉分枝旁有分化良好的有鞘神经纤维,其结构与周围神经相同。Rout等[6]报道1例颈段髓内神经鞘瘤,肿瘤上极由脊髓前动脉分支直接供血。(2)组织胚胎学说:Ramamurthi等[7]提出髓内神经鞘瘤起源于胚胎期异位的神经嵴细胞,其机制与皮样囊肿的发生机制类似。一般认为,异位的组织细胞易于发生肿瘤性变。(3)损伤学说:有学者通过对74例脊髓损伤或脊髓病变的脊髓组织进行病理学检查,发现在受损的脊髓节段髓内有髓神经的再生,因而提出脊髓损伤可能是髓内神经鞘瘤的产生原因[8]。根据文献所报道的手术和病理结果来看,脊髓内神经鞘瘤的起源是多原因的,而非单一原因起源[4,5,6,7,8]。
髓内神经鞘瘤的临床表现与肿瘤的大小、位置有关,具备一般髓内肿瘤的特点,多引起受累脊髓平面下的上运动神经元损害的表现,常先后出现疼痛、麻木、瘫痪、二便障碍、肌萎缩和呼吸困难等。Wu等[9]认为躯体疼痛和根性疼痛是神经鞘瘤患者的主要症状。
MRI是诊断椎管内占位病变的有效手段,因而不难区分髓内和髓外肿瘤,但髓内神经鞘瘤却没有特异性征象。目前,有关髓内神经鞘瘤影像学表现的报道较少,而且部分病例的MRI资料不全,多数学者认为髓内神经鞘瘤具有髓外硬膜内神经鞘瘤相似的影像学表现。一般来说,髓内神经鞘瘤MRI表现为T1WI等或稍低信号,T2WI等或稍高信号,多与脊髓界限清晰,可伴有脊髓空洞、水肿或囊变,注药增强扫描后可见肿瘤实质明显均匀强化且边界清晰[10]。本例肿瘤实质为稍低T1、高T2信号,其内可见明显的囊变区,增强后肿瘤实质部分强化明显均匀,边界清楚,且继发有脊髓空洞,这些表现虽与神经鞘瘤的典型征象相一致,但由于髓内神经鞘瘤发病率极低,故容易导致误诊。因此,结合此次诊疗经验,当MRI检查显示髓内病变显著强化、边界光滑清晰时应想到神经鞘瘤的可能。钱银峰等[11]总结以下征象有助于神经鞘瘤的诊断:(1)肿块以等或稍长T1、等或长T2信号为主,常伴有囊变;(2)增强后实质部分明显强化,且强化较均匀;(3)增强后肿瘤边界消楚;(4)肿瘤多较小,常不超过3个椎体节段;(5)肿瘤相连髓外神经根增粗(具有特征性,但较少见)。Kim等[12]认为瘤周水肿轻微是其特征之一。本组瘤周水肿较轻微,符合其特征性表现,但本组患者肿瘤较大,跨位T9~L1,提示肿瘤大小无明显诊断特异性。
本病需与发生于髓内的其他肿瘤相鉴别:(1)室管膜瘤:好发于下腰段脊髓、圆锥或终丝,多位于脊髓中央,呈中心性、膨胀性生长,与正常组织分界清楚,呈等或长T1、长T2信号,于肿瘤的上下极常可见脊髓空洞,呈"帽征"表现,增强后肿瘤多有强化;而神经鞘瘤多位于脊髓后部,二者有时不易区别。(2)血管母细胞瘤:好发于胸髓背侧,呈结节状或腊肠形,呈等或短T1、长T2信号,肿瘤背侧可见留空血管即血管留空影,部分患者呈颅内血管母细胞瘤的典型表现,即有壁结节强化的囊性肿瘤[13];神经鞘瘤无留空信号,强化程度亦不及血管母细胞瘤。(3)星型细胞瘤:肿瘤特征性的表现为边界不清,脊髓呈弥漫性梭形增粗,呈长T1、长T2信号,增强后有不同程度的强化,强化不均;神经鞘瘤多局限、边界清楚、强化均匀。(4)室管膜下瘤:多为等或长T1、长T2信号,强化后常无强化或轻微强化;神经鞘瘤则多为明显强化。
多数学者都认为,手术切除是髓内神经鞘瘤最有效的方法,因髓内神经鞘瘤与正常脊髓组织境界清楚,且肿瘤良性,多主张全切除,以期术后获得良好效果[5]。显微手术是髓内神经鞘瘤唯一比较积极的治疗手段。手术时机最好选择在患者神经系统状态中度以下障碍时,急性进行型、缓解型且病情持续进展及晚期致截瘫者疗效皆不佳[8,14]。肿瘤位置越高手术风险越大,在高段颈髓内行肿瘤切除时可致呼吸停止、加重四肢瘫、出现高热或呼吸麻痹。至于手术体位方面,颈髓患者取俯坐位,颈部前屈以便清楚暴露手术野,胸髓患者取俯卧位。根据影像学检查结果确定切口起始及切口长度,以利暴露肿瘤上下极,椎板切除宽度至两侧小关节突,以保持脊柱稳定性。术中采用显微外科技术能精确区分肿瘤与正常脊髓组织,有利于肿瘤全切除并保护好周围脊髓组织。手术时在镜下沿肿瘤边界分离,先游离肿瘤一端,边分离边垫入湿棉片,分离着力点偏肿瘤侧,尽量少用电凝止血,力争在全切肿瘤的基础上最大限度保护正常脊髓功能。有时可用缝线贯穿肿瘤而作牵引逐渐分离,直至肿瘤全切除。若继发脊髓空洞宜在瘤体与囊腔交界处分离,先游离肿瘤一极,然后向另一极分离肿瘤予以全切除,脊髓空洞不予处理,一般在实质性肿瘤切除后会自行消失。Ross等[3]提出,术中做冰冻病理切片检查十分重要,取材时应做到准确并及时作出病理报告,避免再次手术或不必要的放射治疗。神经鞘瘤对放射治疗不敏感,但有学者认为放射治疗科减少肿瘤血运,利于切除肿瘤[15]。术后甘露醇、地塞米松、神经营养液及扩血管药物的应用,可改善手术对脊髓损伤所致的功能障碍。





















