
版权归中华医学会所有。
未经授权,不得转载、摘编本刊文章,不得使用本刊的版式设计。
除非特别声明,本刊刊出的所有文章不代表中华医学会和本刊编委会的观点。
透明隔是侧脑室前角之间的间隔,位于穹窿与胼胝体之间,正常人为闭合的双层膜状结构,如果中间潜在的腔隙增宽,可形成透明隔囊肿。透明隔囊肿大部分为胎儿时期透明隔腔未闭合所致,而其他原因也可导致已经闭合的透明隔分离,出现继发性透明隔囊肿,但较为少见。本文报道1例外伤后继发性透明隔囊肿的演变过程。
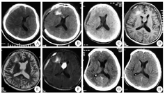
患者男,48岁,因被高空坠物砸伤头部于2014年2月24日在陕西神木县人民医院神经外科治疗。入院时处于昏迷状态,头颅CT检查显示"脑挫裂伤,右侧急性硬膜下血肿",行开颅血肿清除术并去骨瓣减压术。术后CT复查显示脑内血肿增多,深部累及胼胝体膝部,占位效应不重,继续给予输液治疗,症状逐渐好转,神志转清。约20 d后复查CT见类圆形透明隔囊肿,呈张力性扩张,囊液密度高于脑脊液。MRI检查显示囊液信号与慢性硬膜下血肿相似,脑室系统无明显扩大。患者无相关临床症状,未行特殊处理。出院时神志清楚,肢体活动大致正常。2个月后来肥城市人民医院脑外科复诊,行头颅CT检查显示囊肿消失,但残留透明隔间腔,患者无自觉症状。患者典型影像学资料具体见图1。


A:入院时CT显示硬膜下血肿,透明隔正常;B:入院第5天CT显示迟发性脑内血肿,深部累及胼胝体膝部,透明隔正常;C:入院第21天CT显示透明隔张力性囊肿;D~F:入院第21天MRI显示囊液T1像等信号,T2像及FLAIR像高信号;G:出院后2个月CT显示囊肿缩小,囊液密度与脑脊液密度相同;H:出院后4个月CT显示透明隔间腔仍存在
透明隔囊肿可分为两类:一类为无症状的透明隔间腔,也叫第五脑室。但其胚胎起源与脑室系统不同,且不含脉络丛组织,因此有学者认为称其为第五脑室并不合适。 Fratzoglou等[1]报道正常人约15%存在无症状的透明隔间腔。另一类为扩张性透明隔囊肿,若透明隔间腔扩大并向两侧膨隆,间距大于10 mm,则可诊断为透明隔囊肿[2]。Wang等[3]一项研究显示,行CT或MRI检查的54 000人中,仅0.04%发现扩张性透明隔囊肿。扩张的透明隔囊肿可阻塞脑脊液循环通路,造成脑积水,导致相应的临床症状,如头痛、呕吐、视乳头水肿、颅内压增高症状等,也可因压迫邻近结构出现视力下降、认知障碍或行为异常等。
透明隔囊肿形成的原因大部分为先天性发育异常:在胚胎发育19~27周可出现透明隔两层之间间隙逐渐增大,28周时达高峰,胚胎发育第6个月开始透明隔两叶自尾端向头端方向逐渐愈合,出生后3个月内完全闭合[2];若闭合不全,则可形成透明隔间腔。根据文献报道,足月新生儿约85%存在透明隔间腔,而在6个月至16岁人群仅中占10%[4]。其他先天性畸形也可并发透明隔囊肿[5]。
造成囊肿扩张的原因有2种学说:一种认为囊肿腔与脑室之间存在单向活瓣,可造成囊肿逐渐扩大。某些后天性因素,如产伤或颅脑损伤使已闭合的透明隔撕裂,形成单向活瓣,导致脑脊液充填,形成透明隔囊肿。研究发现拳击手中透明隔囊肿发生率要高于正常人群[5]。甚至有报道脑室腹腔分流导致透明隔损伤也可引起透明隔囊肿形成[6]。关国梁等[7]报道了颅脑损伤后20例透明隔囊肿,部分病例透明隔囊肿伴有硬膜下积液,且二者相交通,透明隔囊肿可随着硬膜下积液的增多而逐渐扩大。但上述报道的病例均为入院当时就存在的透明隔囊肿。也有学者认为,囊肿与脑室及脑池并不相通,但囊肿壁的细胞存在分泌功能,可导致囊肿扩大。本例患者入院时CT未见明显透明隔间腔或囊肿,后来出现并逐渐扩展,且MRI显示囊液信号与慢性血肿信号相同,考虑为外伤后透明隔两层之间撕裂,造成慢性血性脑脊液积聚。血肿吸收后透明隔囊肿逐渐缩小,但仍未闭合,形成持续存在的透明隔间腔,囊液密度与脑脊液类似。本病例的进展过程提示了外伤后形成透明隔囊肿的机制,有助于对本病的认识。
大部分透明隔间腔无症状,因此无需外科治疗,而对于出现脑积水或压迫症状的扩张性透明隔囊肿则需外科治疗,手术方式包括开颅囊肿造瘘术、囊肿腹腔分流术、立体定向手术或神经内镜手术[2]。开颅手术创伤较大,分流手术存在感染及堵管风险,因此近年来多采用神经内镜手术,镜下进行囊肿造瘘使其与脑室相通可缓解症状,国内外报道均取得了良好效果[8]。而部分囊肿可自发消退[9]。本例透明隔囊肿无明显症状,故未做处理,在随访过程中自发好转。





















