
版权归中华医学会所有。
未经授权,不得转载、摘编本刊文章,不得使用本刊的版式设计。
除非特别声明,本刊刊出的所有文章不代表中华医学会和本刊编委会的观点。
脑结核瘤是脑内结核分枝杆菌感染早期累及颅内的特殊形式,及时、准确诊断并有效治疗可完全痊愈,如延误诊断和治疗则会导致癫痫发作、意识丧失和脑梗死等严重并发症。既往对脑结核瘤的研究不多,对脑桥结核的报道相对更少。现报道1例合并存在肺结核、脊柱结核及脑桥结核青年女性患者。
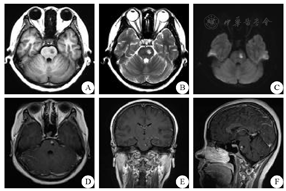
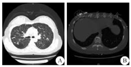
女性,25岁,因"发热20余天,突发右侧肢体无力4 d"于2014年7月9日由首都医科大学附属北京朝阳医院神经内科收治入院。患者入院前20 d受凉后出现发热,最高体温38.8 ℃,伴咳嗽,咳嗽时伴头痛,给予口服感冒药略有好转;入院4 d前安静状态下突发右侧肢体无力,行走轻度乏力,右手持物不稳,无言语不利,头部CT提示"左侧脑桥低密度灶"。近1月体质量下降5 kg。既往体健,父亲19岁时患有结核性胸膜炎病史。入院体检:血压118/55 mmHg(1 mmHg=0.133 kPa)。化验检查:(1)血常规、凝血功能、肝炎、自身抗体、体液免疫、髓过氧化物酶、蛋白酶、自身免疫缺陷病毒、梅毒、肿瘤标记物、甲状腺功能等均正常;(2)生化:C反应蛋白1.10 mg/dL(↑),动态红细胞沉降率25 mm/h(↑),总胆固醇3.06 mmol/L(↓),高密度脂蛋白胆固醇0.77 mmol/L(↓),低密度脂蛋白胆固醇1.40 mmol/L(↓),甘油三脂2.95 mmol/L(↑),余生化全项大致正常;(3)脑脊液:初压120 mmH2O(1 mmH2O=0.0098 kPa),无色透明,潘氏试验阴性,白细胞53/nL,红细胞1/nL,单核73.6%,多核26.4%,糖1.9 mmol/L(↓),氯化物121.8 mmol/L,蛋白46 mg/dL(↑),腺苷脱氨酶3 U/L,脑脊液病原学阴性;(4)血结核杆菌抗体试验阳性,血肺炎支原体抗体IgM阳性,血肺炎衣原体抗体IgM阳性;血混合淋巴细胞培养+干扰素检测A:>1000 SFCs/106,血混合淋巴细胞培养+干扰素检测B:164 SFCs/106,血真菌-β-D葡萄糖<10 pg/mL,血降钙素原0.11 ng/mL。影像学检查:(1)头颅MRI :左侧桥脑呈现异常高信号改变,增强序列可见明显强化病灶(图1)。(2)头部MRA和颈部CTA:未见明显异常。(3)胸部CT:双肺粟粒样结节及沿支气管血管束分布稍大结节,考虑结核血行播散合并气道播散;T10椎体骨质局限性低密度灶,考虑胸椎结核(图2)。(4)支气管镜检查:左肺尖后端支气管镜活检提示支气管黏膜慢性炎症;石蜡切片提示典型分支杆菌阴性,结核杆菌临界阳性。


A:头MRI平扫:轴状位T1WI序列;B:头MRI平扫:轴状位T2WI序列;C:头MRI平扫:轴状位弥散加权成像序列;D:头MRI平扫+增强:轴状位T1WI增强序列;E:头MRI平扫+增强:冠状位T1WI增强序列;F:头MRI平扫+增强:矢状位T1WI增强序列


A:胸部CT示双肺粟粒样结节;B:胸部CT示胸10椎体结核
诊疗经过及随访:患者入院后第2天开始反复间断发热,多于午后,体温最高38.9 ℃,无咳嗽、咳痰,给予对症处理体温方可下降。请神经外科医生会诊,由于病变处于脑干,立体定向活检风险比较大,未进行活检。入院后第4天行肺CT检查提示双肺粟粒样结节,结核血行播散合并气道播散,进而转往北京某传染病医院进一步治疗,给予"异烟肼、利福平、乙胺丁醇、吡嗪酰胺、左氧氟沙星抗结核治疗",12个月后随访,患者无发热,右侧肢体无力完全恢复。
脑结核瘤是非常罕见的颅内占位性病变,是由于结核分支杆菌经血行播散至颅内形成的肉芽肿,仅占结核病的1%[1]。脑结核瘤多继发于身体其他部位的结核病,原发灶以肺部居多,好发于儿童、青少年、年老体弱、抵抗力低下或免疫缺陷患者。
成人脑结核瘤主要表现为发热、头痛、结核性脑膜炎、困倦、癫痫发作、精神异常及其他局灶性症状;儿童多表现为脑积水、发热、结核性脑膜炎和呕吐等[1]。近来有研究报道,脑桥结核可以表现为八个半综合征、一个半综合征、水平性核上性凝视麻痹、桥脑腹外侧综合征等[2,3,4,5]。脑结核瘤多无明确的结核病史或颅外结核活动病灶,病前发热少,病变部位大多位于幕上,且以额、颞叶居多,仅4%累及脑干[6]。影像学检查首选MRI,其中弥散加权成像、弥散张量成像、弥散纤维束成像、磁共振波谱分析的敏感性均优于头CT[7,8,9,10]。脑结核瘤的影像学特征为多分布在大脑皮质、脑干、小脑等部位,脑基底池好发,常呈多结节状融合,囊内信号不均匀,增强扫描可见明显强化。在鉴别诊断方面应当注意与脑胶质瘤、转移瘤、脑囊虫病、脑脓肿及其他肉芽肿性病变、脑梗死相鉴别[11]。脑活体组织检查对于明确病灶性质非常必要。在治疗方面,抗结核治疗一般采用异烟肼、利福平、链霉素及吡嗪酰胺联合治疗,总疗程18个月。在有效的抗结核治疗下患者预后良好,绝大多数脑结核瘤可在1~4个月内缩小,3~12个月内消失。药物治疗无效或有不能控制的颅内高压以及术前不能定性者可采用手术治疗[12]。
土耳其学者Uysal等[6]报道了一例135 d的婴儿,首先诊断为巨细胞病毒肺炎,随后诊断为粟粒性肺结核,无任何神经系统症状,脑脊液正常,头部MRI增强提示在脑桥、小脑及右侧顶叶脑区存在对比增强的结节性病灶。脑桥结核在具有免疫活性的成年人中更为罕见。Winklhofer和Kollias[13]曾报道了一例49岁男性患者,没有任何神经系统症状,头部MRI提示脑桥可能有肉芽肿病变,病原学检查提示全身性结核杆菌感染。因此,在面对颅内孤立的不典型部位病灶、且无任何临床症状患者需进行结核相关的筛查,尤其是尽快完善头部MRI检查和腺苷脱氨酶的测定[14]。
因此,临床上当遇到粟粒性肺结核伴血性播散性肺结核患者,尽管没有任何神经系统症状和体征,也要积极完善头颅MRI检查,尤其是对颅内有结节病变、有显著增强效应时更为重视,结合脑脊液、脑组织活检等其他检查明确诊断。





















