
版权归中华医学会所有。
未经授权,不得转载、摘编本刊文章,不得使用本刊的版式设计。
除非特别声明,本刊刊出的所有文章不代表中华医学会和本刊编委会的观点。
近年来交通事故和肥胖患者逐渐增多,多发性损伤和长骨骨折的发生率显著升高,脂肪栓塞综合征(fatembolism syndrome, FES)发病率也随之增加。目前由于人们对该病的认识及重视程度不够,加上其症状的非特异性,导致该病误诊、漏诊率较高。现报道笔者收治的1例脑脂肪栓塞(cerebral fat embolism,CFE)(为FES中一种少见类型)患者,结合其病历资料,文献复习该病的发病机制、临床症状、预防措施、诊断标准,鉴别诊断、治疗措施等,以增加人们对该病的认识,提高医护人员对该病的预防和诊疗意识,从而降低该病的发病、致残和致死率。
患者男性,因"意识不清,四肢活动不灵3 d"于2015年1月21日收入青岛大学附属医院。既往:坠落伤后右股骨粗隆间骨折4 d。体检:体温37.8 ℃,心率110次/min,呼吸19次/min,血压140/95 mmHg(1 mmHg=0.133 kPa),身高165 cm,体重105 kg,胸腹部检查未见异常,双下肢无水肿,右下肢皮肤张力高,未见皮肤及黏膜瘀点,足背动脉波动可,皮温可。神经系统查体:嗜睡,双上肢肌力4级,左下肢肌力3级,右下肢查体不合作,腱反射(+),双侧babinski征阳性,双侧chaddock征阳性,未见其他阳性体征。骨折后第1天:颅脑和胸部CT检查未见明显异常。D-二聚体2695 ng/mL。双下肢动静脉超声示因体位关系右侧动静脉无法探查,心脏彩超示未见明显异常。骨折后第2天:出现胸闷,嗜睡,四肢活动不灵,双上肢力弱,双下肢抬举不能,无明显的呼吸急促及发绀,无视物模糊。骨折后第3天:颅脑MRI示"双侧额叶、顶叶、胼胝体膝部急性或亚急性脑梗死",符合CFE的影像表现:T1加权像相对不敏感,T2加权像示相对对称高信号点片状病灶,边界欠清,中脑可见倒"八"字病灶。经当地医院积极治疗,患者上述症状持续,未见明显改善。骨折后第4天:转至青岛大学附属医院。血气分析:二氧化碳总量231.30 mmol/L。骨折后第5天:肺动脉CT血管造影:肺动脉及其主要分支未见明显异常。红细胞计数4.09×1012/L,血红蛋白119 g/L,红细胞压积34.40%,血小板100×109/L。骨折后第6天:红细胞沉降率测定:1 h, 33.00 mm。骨折后第8天:患者意识清醒,脑CT血管造影示左侧颈内动脉颅内段管腔明显纤细并其末段管腔闭塞表现,右侧大脑前动脉A1段局部管腔变窄,颅底动脉环前部轻度侧支循环血管形成(图1)。骨折后第13天:患者FES症状基本稳定,转入骨科继续治疗。诊断:FES(不完全型中的肺脑兼有型)。


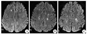
诊断依据:患者出现两项主要指标:胸闷、嗜睡,出现两项次要指标:血小板计数100×109/L,红细胞沉降率测定:1 h,33.00 mm;颅脑MRI示"双侧额叶、顶叶、胼胝体膝部急性或亚急性脑梗死",符合CFE的影像表现:T1加权像为低或等信号,T2加权像示相对对称点片状高信号,边界欠清,中脑有倒"八"病灶(图2)。


A:额叶点片状高信号;B:额叶相对对称的点片状高信号;C顶叶相对对称的点片状高信号
治疗:入院后持续心电监护,给予阿司匹林抗血小板聚集,他汀调脂,硝苯地平控释片降压,羟乙基淀粉扩容,甘油果糖氯化钠注射液脱水降颅压等积极治疗,患者意识逐渐好转,神经系统症状稳定后转入骨科积极治疗。
FES起病急骤,致死率高,是以呼吸和中枢神经功能障碍、皮肤淤斑症状为主要表现的一类综合征[1,2]。其大部分神经缺失症状是短暂而可逆的[3]。有研究表明,未合并并发症的股骨骨折患者FES的发病率很低,有合并症的患者FES的发病率会有所增加,特别是合并休克时[4]。FES在儿童较成人更为罕见,可能与其骨髓成分之间的差异有关。其发病机制不详,目前主要有以下5种学说:(1)内漂浮学说;(2)脂肪酶学说;(3)游离脂肪酸学说;(4)休克和凝集学说;(5)全身性栓塞形成学说[·5]。
FES分为3种类型:急性:起病急,诊断难,因此病死率高;完全型:症状较典型,诊断较容易;不完全型:分为纯脑型、纯肺型和肺脑兼有3型[6],其中肺型和肺脑兼有型由于肺部症状较典型,早晨起床拍的胸片可呈典型的"暴风雪征"[7],诊断较容易。CFE好发于骨折及术后2~3 d8],发病率低,国内外报道罕少,中枢神经功能障碍表现不典型,易延误诊疗。出现症状4 h后行头颅MRI检查示T1加权像相对不敏感并且不典型,T2加权像示相对对称点片状高信号,边界模糊,中脑横断位可示为倒"八"字形状(这种变化为病灶融合所致,可持续2周),为其特征性表现。由于MRI可随着临床症状的改善而改善,可协助分析FES的脑损害和判断预后,因此头颅MRI可作为CFE早期诊断指标[9]。其发病机制曾认为是呼吸功能不全所致的低氧血症或颅内高压。目前有人也提出以下几个理论:(1)机械理论:小于15 μm的脂栓通过肺泡壁毛细血管阻塞脑血管,更小的栓子可通过脑循环而不发生梗死。(2)中毒理论:中性脂肪转化为毒性脂肪酸进而损伤血管内皮,导致其通透性增高。(3)阻塞性理论:骨折后某些因子改变了脂类的理化性子,从而导致栓子的形成[10]。
目前FES的诊断标准的主要指标包括:(1)皮疹瘀斑;(2)呼吸系统功能障碍;(3)神经系统功能障碍,次要指标包括:(1)心动过速;(2)体温升高;(3)血小板减少;(4)突发血红蛋白降低;(5)血沉增快;(6)尿液或血中出现脂肪滴;(7)眼底改变(脂肪滴或淤点)[11]。符合1项主要指标和3项次要指标,或2项主要指标和2项次要指标即可诊断。本例患者出现2项主要指标:呼吸系统和神经系统功能障碍,出现2个次要指标:血小板降低,红细胞沉降率升高;颅脑MRI示"双侧额叶、顶叶、胼胝体膝部急性或亚急性脑梗死",符合CFE的影像表现:T1加权像为低或等信号,T2加权像示相对对称高信号点片状病灶,边界欠清,因此该患者诊断明确,给予积极治疗后,效果明显。
CFE有其自身的MRI特点,但应密切结合临床进行诊断,并与其他疾病进行鉴别诊断。(1)皮层下动脉硬化性脑病:简称皮脑,好发于老年,常有高血压、动脉硬化病史,MRI检查多有多发的新旧混杂的脑梗死、脑白质变性、脑萎缩表现,但无占位效应。本例患者为青年男性,既往无高血压、动脉硬化病史,因此排除皮脑诊断。(2)多发性硬化:好发于女性,病史长,病程反复,病变以脑白质为主,不累及皮质,MRI上有其自身特点。本例患者起病急,MRI不符合多发性硬化的特点,因此排除多发性硬化的诊断。8(3)急性播散性脊髓炎:好发于儿童和青壮年,发病前1~2周多有感染和接种史,特征性的病变部位为丘脑,症状特点为高热,精神症状,与CFE有明确的外伤史不同。本例患者无感染及接种史,无发热,所以排除急性播散性脊髓炎的诊断。(4)弥漫性轴索损伤:有颅脑外伤史,以脑白质损伤为主,很少累及皮质,T1示小斑片状高信号。而CFE病灶对称,一般无颅脑外伤病史。本例患者不符合弥散性轴索损伤的影像特点。(5)颅脑外伤:颅内血肿或脑挫裂伤常有原发性昏迷或者继发性昏迷的表现,而CFE的潜伏期一般在伤后48~72 h,无原发昏迷史,多伴有呼吸、循环系统及皮肤瘀斑的表现。本例患者无颅脑外伤史,基本排除此诊断。(6)创伤失血性休克:CFE多无皮肤发凉,湿冷、苍白,收缩压小于80 mmHg,脉搏明显增快大于120次/min或扪不到脉搏及无尿等休克症状。本例患者无大量失血,所以排除此诊断。(7)电解质紊乱、酸碱失衡:患者多有长期禁食、补液不当史,行生化检查可明确诊断。本例患者生化检查无电解质及酸碱平衡紊乱,排除此诊断。以上疾病均没有血小板、血红蛋白下降、血尿检、脂肪滴和皮肤等异常的表现。
CFE目前没有有效治疗方式,只能给予如下支持和对症处理:(1)密切观察生命体征。本例患者入院后给予心电监护等。(2)保证氧供,给予持续高流量吸氧,必要时行气管内插管或气管切开以及上呼吸机。本例患者转入院后呼吸情况可。(3)利尿剂、脱水剂、甘露醇、限制液体入量等可减轻梗死后脑水肿。(4)抑肽酶预防一过性高血脂症,减少其毒性作用。(5)白蛋白的应用:结合游离脂肪酸并纠正低蛋白血症,因此血浆白蛋白是有治疗作用的[12]。(6)高压氧治疗,保证氧供,减少缺氧损害。(7)低分子肝素应用,在排除出血情况下可改善高凝状态,预防血栓,但临床应用目前仍存在争议。(8)激素类药物,可增加膜的稳定性和减少炎性反应,但临床应用目前也仍存在争议。(9)其他对症药物。另外,FES患者的难治性低氧血症使得吸入疗法无法安全地使用,未来的研究应致力于非吸入疗法的治疗和复方效果[13]。考虑到本例患者病情、药物的副作用及其家庭经济情况,未给予特殊的药物治疗。但患者由于诊断及时,给予传统药物治疗后症状明显好转,预后较好,由此可见早期诊断并给予有效的综合治疗的重要性[14]。
目前FES只能给予对症及支持治疗,因此针对该病要以预防为主。(1)搬运前要对骨折部位行夹板外固定,减少脂肪进入血液的量;(2)有研究证实牵引治疗、手法复位、术中扩髓、脊柱融合术、脊柱椎弓根螺钉、骨水泥也可诱发FES,因此实施外科治疗时应谨慎;(3)积极纠正休克,并发休克时会使FES的发病率大大增加,因此此措施是预防脂肪栓塞的重要手段;(4)患者入院后嘱患者和其家属尽量减少搬动患肢,并给予扩容和改善微循环等治疗预防病情恶化。





















