
版权归中华医学会所有。
未经授权,不得转载、摘编本刊文章,不得使用本刊的版式设计。
除非特别声明,本刊刊出的所有文章不代表中华医学会和本刊编委会的观点。
椎基底动脉扩张延长症(vertebrobasilar dolichoectasia,VBD)是一种罕见疾病,其特征是椎基底动脉异常迂曲、扩张和延长。VBD的确切发病机制尚不清楚,目前认为与先天性发育和后天获得性因素有关。VBD患者可无任何临床症状,也可以表现为高血压、急性脑卒中、脑干和脑神经受压等。1例VBD患者曾分别于2011年9月、2015年5月、2015年9月、2016年10月收治于日照市人民医院心内科、神经内科、神经外科及急诊科,其临床及影像学表现较为特别,现报道如下。
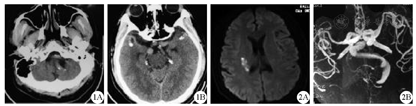
男性,24岁,因"左侧肢体麻木无力2 d"于2016年10月22日收治于日照市人民医院急诊科。患者于2 d前出现左侧肢体无力麻木,行走拖曳,左手持物不能,病情持续无缓解,无头痛头晕。既往史:既往高血压病5年,平日于家中口服降压药代文及兰迪治疗,血压控制差;1年前患者右侧动眼神经麻痹,治疗后未遗留后遗症状。入院体检:血压220/115 mmHg(1 mmHg=0.133 kPa),神志清,言语清晰,心肺腹查体未见明显异常,颅神经查体未见明显异常,左侧肢体肌力3级,右侧肢体肌力5级,肌张力正常,左侧肢体痛觉减退,双侧病理征阴性。入院诊断:脑梗死、高血压病3级。入院后血常规、血肝功能、肾功能、血脂系列、凝血系列、免疫全套检查未见明显异常。患者头颅CT、MRI+MRA检查结果见图1、图2,确诊为VBD。患者头、颈、心CT血管造影检查结果见图3。入院治疗:代文联合拜新同控制血压,阿司匹林联合波立维抗血小板治疗,依达拉奉清除脑内自由基,丁苯酞氯化钠注射液改善脑功能。住院16 d后,患者左侧肢体肌力明显改善,肌力4+级,于2016年11月7日好转出院。

CT of vertebrobasilar dolichoectasia patient
MRI and MRA of vertebrobasilar dolichoectasia patient

1A:椎动脉及基底动脉扩张、迂曲,1B:颅内血管显示多发钙化;2A:右侧基底节区梗死,双侧额顶叶白质脱髓鞘改变,左侧基底节区含铁血黄素沉积,2B:椎基底动脉及双侧颈内动脉系统血管迂曲扩张,基底动脉内径超7.5 mm,脑干、小脑受压变形
CT of vertebrobasilar dolichoectasia patient
MRI and MRA of vertebrobasilar dolichoectasia patient

Radiology data of vertebrobasilar dolichoectasia patient

A:双侧颈内动脉海绵窦段、颅内段,左侧大脑前动脉A1段及大脑中动脉水平段、外侧裂池段,双侧椎动脉颅内段,基底动脉管腔多发瘤样扩张;B:左冠主干、前降支近段瘤样扩张
Radiology data of vertebrobasilar dolichoectasia patient
该患者曾于2011年9月14日因体检发现血压明显增高,被本院心内一科收治入院,体检发现最高血压260/145 mmHg,入院后检查排除继发性高血压,诊断为原发性高血压,于2011年9月20日出院,出院后口服降压药物。
此后患者因头晕反复于本院神经内科门诊就诊,口服敏使朗疗效不佳,于2015年5月6日因头晕收入院。入院体检:血压210/120 mmHg,神经系统查体未见明显异常,头颅MRI+MRA检查结果见图4。予以控制血压对症治疗,于2015年5月11号好转出院。

MRI and MRA of the ptient(2015-05)
MRI and MRA of the patient (2015-09)
DSA of the patient (2015-09)

4A:头MRA示椎基底动脉扩张、迂曲,4B:头MRI示扩张、迂曲的椎基底动脉流空征明显;5A:双侧额顶叶多发脱髓鞘改变,左侧基底节区含铁血黄素沉积,5B:椎基底动脉异常增粗扩张,基底动脉内径超7.5 mm,脑干、小脑受压变形;6A:颈内动脉颈段迂曲,左侧颈内动脉交通段管腔膨大,大脑前、中动脉多个分支管腔扩张伴多发局限性狭窄,6B:右侧椎动脉颅内段"开窗",椎动脉颅内段、基底动脉及双侧大脑后动脉近段管腔明显迂曲扩张,血流缓慢
MRI and MRA of the ptient(2015-05)
MRI and MRA of the patient (2015-09)
DSA of the patient (2015-09)
患者后因"视物重影,右眼睑下垂1个月"于2015年9月29日收治入本院神经外科。入院体检:血压210/175mmHg,神志清,言语清晰,双侧瞳孔等大正圆,直径约3 mm,对光反射灵敏,右眼睑下垂,右眼球外展位,内收受限,左眼球活动正常,余颅神经查体未见异常,四肢肌力5级,肌张力正常,腱反射正常,双侧病理征阴性。诊断为右侧动眼神经麻痹,高血压病3级。入院后头MRI+MRA检查结果见图5。为进一步排除右侧后交通动脉瘤可能,行DSA检查,具体结果见图6。考虑患者动眼神经麻痹为扩张的基底动脉压迫所致,予以控制血压,使用弥可保营养神经,对症治疗,患者于2015年10月11日症状完全缓解出院。
VBD是一种罕见疾病,其特征是椎基底动脉异常迂曲、扩张和延长。研究发现VBD在首次脑卒中人群的发生率为2.06%,在后循环脑梗死患者中VBD发生率为3.7%,在进行常规MRI和MRA查体健康人群中VBD发生率为1.3%[1,2]。VBD常见于老年男性高血压患者,既往认为高血压诱导的动脉粥样硬化是VBD发生的主要因素[3]。VBD也与一些先天性疾病关联。Garzuly等[4]报道一个由于α-半乳糖苷酶(GLA)基因突变所导致的家族性法布里病,所有6个家庭成员均被诊断为VBD。VBD也可能与感染有关,包括梅毒感染[5]。本例患者椎基底动脉扩张延长同时伴有左冠主干、前降支近段瘤样扩张,双侧颈内动脉海绵窦段、颅内段及左侧大脑前动脉A1段以及大脑中动脉水平段多发瘤样扩张,文献中少见报道。
VBD最常见的症状是头晕、耳鸣、头痛等椎基底动脉供血不足症状及缺血性脑卒中,其次是脑干和颅神经压迫、脑积水和脑出血[6,7,8]。在一项针对156例VBD患者的平均随访期为11.7年的前瞻性研究中,59例(37.8%)患者发生缺血性脑卒中,31例(19.9%)患者发生颅神经和脑干压迫,21例(13.5%)患者发生脑出血,2例(1.3%)患者发生脑积水[8]。后循环梗死造成的缺血性脑卒中是VBD相关死亡的最常见原因,其中脑干梗死占41%,枕叶梗死占29%,丘脑梗死占22%,小脑梗死占2%,其他部位梗死占6%[8]。VBD发生缺血性脑卒中的机制是椎基底动脉血流平均速度降低,导致血液供应区域脑灌注不足,导致缺血症状;扩张动脉中的血流减少可引起动脉内血栓形成;椎基底动脉的血流动力学变化可引起血管内皮损伤和动脉粥样硬化形成。本例患者因左侧肢体麻木无力2 d于2016年10月22日于本院就诊时确诊为右侧基底节脑梗死。
VBD也可导致三叉神经痛和半面痉挛。Yang等[9]报道475例三叉神经痛,其中10例(2.1%)由VBD引起。此外,VBD还可以压迫外展神经、滑车神经和眼动神经。本例患者因视物重影、右眼睑下垂1个月于2015年9月29日入本院神经外科确诊为动眼神经麻痹,考虑为VBD压迫右侧动眼神经所致。
VBD引起的神经性高血压在临床中常见。研究发现VBD压迫左腹外侧髓质时,高血压发生最频繁。左腹外侧髓质是交感活动和心血管事件的中心,受压时肾上腺素能神经元以高活性状态激发,从而引起神经源性高血压[2]。本例患者最早因发现血压明显增高于2011年9月14日收治于本院心内科。
以前认为VBD很少引起出血,近期文献报道颅内出血在VBD中并不罕见。在对156例VBD患者的随访中,28例患者(18%)经历1次或多次出血;7例患者死亡,包括6例蛛网膜下腔出血;85%的脑内出血位于后循环区域,高血压控制不佳和使用抗血小板剂或抗凝血药物也可以增加出血的风险[8,10]。本例患者虽未因脑出血临床症状入院,但2次头颅MRI检查均提示左侧基底节多发含铁血黄素沉积,提示患者曾发生颅内微出血。
梗阻性脑积水是VBD的罕见并发症。它主要是由于直接或间接压迫第三脑室或中脑导水管的底部引起的脑脊液循环障碍。本例患者无阻塞性脑积水发生。
目前没有可广泛接受的VBD影像学定量诊断标准。Smoker等[11]提出的常规CT标准通常用作诊断成像标准:当基底动脉超过鞍背或斜面部分的范围,或者基底动脉分叉点超出上层水池的水平时,可以诊断为过度伸展;当基底动脉直径大于4.5 mm时,可以诊断扩张。Ubogu和Zaidat[12]提出,MRA示基底动脉长度大于29.5 mm时,可诊断为基底动脉延伸;椎动脉长度大于23.5 mm,或任何点从颅骨入口点和基底动脉起始点的连接处的垂直距离大于10 mm,则认为是椎动脉延伸。DSA是诊断脑血管疾病的金标准。虽然它相对有创,手术有一定风险,患者选择有限,但其可清楚地显示病变,并且还可以作为治疗手段,有其他方法无法替代的优点。
VBD主要发生在大脑的深部,许多病变位于整个基底动脉的全程,所以有效地治疗非常困难。当VBD发生时,基底动脉和椎动脉的全长经历曲折膨胀,去除扩张的动脉和用与椎动脉分支一致的新血管替换似乎是最理想的方法。Flemming等[7]建议使用抗凝血剂或抗血小板药物来减少复发性缺血性脑卒中的发生率。考虑到缺血性脑卒中复发的风险高于出血的风险,使用抗凝血剂或抗血小板药物时应严格控制血压[10]。几乎所有VBD引起的蛛网膜下腔出血都是致命的,没有有效的治疗方法,关键是预防出血,严格控制血压,谨慎使用抗凝血剂和抗血小板药物。
综上,VBD是一种复杂的进行性动脉疾病,其发病机制需要进一步研究,其临床表现复杂、预后不良。VBD中最常见的死亡原因是缺血性脑卒中,过量的抗凝治疗可能导致致命的出血风险。与单独的抗凝血剂或抗血小板治疗相比,支架构造和抗凝血剂治疗的组合可以降低动脉破裂和出血的风险。





















