
版权归中华医学会所有。
未经授权,不得转载、摘编本刊文章,不得使用本刊的版式设计。
除非特别声明,本刊刊出的所有文章不代表中华医学会和本刊编委会的观点。
髓鞘少突胶质细胞糖蛋白(myelin oligodendrocyte glycoprotein,MOG)是中枢神经系统少突胶质细胞和髓鞘表面特异表达的蛋白[1]。MOG抗体相关自身免疫性脱髓鞘疾病(MOG antibodies-associated autoimmune demyelination diseases,MOG-AD)是一种主要与MOG抗体相关,可能不同于多发性硬化(multiple sclerosis,MS)和视神经脊髓炎谱系疾病(neuromyelitis optica spectrum disorder,NMOSD)的独立疾病实体[1,2]。虽然近年来有一些针对MOG-AD的研究报道,但目前对此病的认识仍然很少,初步的研究认为MOG-AD与MS、NMOSD在影像学特点、实验室检查及病理机制、治疗方法及预后等方面均有明显不同[3]。笔者现将南京医科大学附属脑科医院神经内科近期收治的3例抗MOG抗体阳性、诊断为MOG-AD的患者的临床诊治经过报道如下,并结合相关文献对其特点进行阐述。
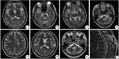
患者1男性,42岁,因"反复头晕、行走不稳8月余,再发20 d"于2017年3月16日入院。患者8个月前因出现头晕、言语不清于2016年6月2日在我科第1次住院,头颅MRI平扫+增强扫描(2016年6月2日)示右侧颞叶、丘脑及脑干异常信号(图1),考虑脱髓鞘病变,予甲强龙500 mg冲击3 d后剂量阶梯递减,出院后口服泼尼松50 mg渐递减至停用,症状基本消失。20 d前患者劳累后再次出现头晕,行走不稳,言语不清,伴恶心、呕吐,拟"脱髓鞘脑病"收入院。既往史:5年前有视神经炎病史,双眼视力下降,现遗有视物模糊;有甲状腺功能减退病史,现每日口服优甲乐100 μg治疗;否认高血压、糖尿病、冠心病等病史,否认烟酒等不良嗜好。体检:构音障碍,双眼水平、垂直眼震,左侧外展稍受限;四肢肌力5级,左上肢腱反射(+++),余肢体腱反射(++),左侧巴氏征(+);双侧共济运动差(左侧明显),Romberg征:睁眼、闭眼均为阳性。头颅MRI检查(2017年3月17日)示右侧颞岛叶、丘脑及脑干多发异常信号(图2)。腰穿测颅内压为130 mmH2O(1 mmH2O=0.0098 kPa),脑脊液蛋白0.61 g/L(正常值:<0.40 g/L),脑脊液白细胞11个/μL。血清+脑脊液寡克隆区带分析未见异常,脑脊液鞘内合成指数0.68(正常值:<0.7),血清抗MOG抗体IgG阳性(滴度1∶10)(杭州欧蒙医学检验所间接免疫荧光法检测;正常值:阴性)(下述检测方法及参考值均相同),脑脊液抗MOG抗体IgG阳性(滴度1∶1)。血及脑脊液抗水通道蛋白4(AQP4)抗体均阴性。考虑为MOG-AD,再次予甲强龙500 mg冲击后剂量阶梯递减治疗,症状很快基本消失,出院前复查血清抗MOG抗体IgG为阴性。


1A:右侧侧脑室后脚长T2异常信号,1B:右侧颞叶、右侧脑干长T2异常信号;2A:右侧丘脑、颞叶长T2异常信号,2B:左侧延髓、小脑长T2异常信号;3A:双侧大脑半球长T2异常信号,3B:右侧侧脑室后脚、左侧基底节区长T2异常信号,3C:脑干及左侧桥臂片状长T2异常信号,边缘不清
患者2男性,41岁,因"头晕伴视物不清1周"于2017年3月13日入院。患者1周前开始出现头晕,视物成双,双侧下肢无力,双手麻木,渐加重。既往有"病态窦房结综合征"病史,有颈椎病史。体检:神清,眼球活动正常,向右视可见水平眼震,双侧下肢肌力4级,双侧病理征(-),共济运动检查正常。入院后头颅MRI检查(2017年3月14日)示双侧大脑半球、脑干及左侧桥臂片状长T2异常信号,边缘不清(图3);DWI序列上稍高异常信号;注射造影剂钆喷酸葡胺(Gd-DTPA) 15 mL后增强扫描示部分病灶呈轻度斑点、片絮状强化。腰穿测颅内压110 mmH2O,脑脊液蛋白0.69 g/L(正常值:<0.40 g/L),脑脊液白蛋白353.0 mg/L(正常值:<350.0 mg/L)、IgG 41.9 mg/L(正常值:<34.0 mg/L),脑脊液细胞学检查未见明显异常。脑脊液抗MOG抗体IgG阳性(滴度1∶3.2),血清抗MOG抗体IgG阳性(滴度1∶10);血及脑脊液抗AQP4抗体均阴性。考虑为MOG-AD,予甲强龙500 mg冲击后剂量阶梯递减治疗,症状逐渐好转后出院。
患者3男性,61岁,因"急起双下肢无力6 d"于2017年4月6日入院。患者自2017年3月底持续1周咽痛、流脓鼻涕,发热至38 ℃左右。2017年4月1日患者突然出现双下肢无力,但尚能挪动,大便便秘、小便潴留,症状渐加重,表现为双下肢完全瘫痪,以"脊髓病变"收入院。既往于1992年有类似症状,诊断为"脊髓炎",治疗措施不详,后未遗留明显后遗症。体检:神清,双下肢肌力0°,肚脐以下深感觉消失,平乳头连线水平以下痛觉消失;双下肢腱反射(++),双侧巴氏征(+)。入院后胸髓MRI检查(2017年4月7日)示胸髓4~8内条片状长T2异常信号(图4)。血清抗MOG抗体IgG阳性(滴度1∶10);血及脑脊液抗AQP4抗体均阴性;血清抗自身免疫性脑炎相关抗体及副肿瘤综合征相关抗体均阴性。考虑为急性脊髓炎,予甲强龙500 mg冲击后剂量阶梯递减治疗,并辅以改善微循环、营养神经等治疗。2017年5月12日出院时双下肢肌力4级,能拖步独立行走,出院前复查抗中枢神经系统脱髓鞘病变相关抗体均为阴性。
欧美国家作者报道MOG-AD多见于白种人,女性多见,男∶女约1∶2.8;发病年龄4~60岁不等,中位年龄为31岁。而在亚裔人群中MOG-AD发病相对少见,尚缺乏流行病学资料。
目前认为AQP4抗体导致的星形胶质细胞损伤是NMOSD的主要发病机制[4],但仍有10%~40%的NMOSD患者无法检测出AQP4抗体。新近研究发现抗AQP4抗体阴性NMOSD患者的血清中存在较高比例的MOG抗体表达[5]。
抗MOG抗体阳性与抗AQP4抗体阳性NMOSD患者的临床、影像学特点及治疗效果明显不同。抗MOG抗体阳性患者的头颅MRI可见T2WI上高信号的脱髓鞘病灶,成斑片状弥漫分布,边缘不清,大脑半球病灶可表现为大片状,也可见于皮层、放射冠、侧脑室周围和丘脑、基底核等深部核团,幕下病灶可累及大脑脚、桥脑、延髓、小脑半球[1,6]。抗MOG抗体阳性患者可见视神经两侧和纵向广泛受累,病灶可超过视神经全长一半,常见视神经乳头水肿和累及球后视神经。与抗AQP4抗体阳性患者相比,视神经鞘及周围脂肪组织强化在抗MOG抗体阳性患者中更常见,而视神经中轴强化较少见,视神经肿胀更严重,但视网膜神经元病变少见[7]。抗MOG抗体阳性患者常见脊髓圆锥和胸、腰椎脊髓部位受累,而抗AQP4抗体阳性患者颈、胸段脊髓部位受累更常见[8]。患者急性期临床常用大剂量甲泼尼龙冲击,应用甲泼尼龙冲击治疗的患者中有50%可以完全缓解,有44.3%部分缓解,仅约5.7%的治疗无效,大部分患者在接受激素治疗后影像学可迅速地发生改变[1,6,7,8]。而对于抗MOG抗体阳性诊断为NMOSD的患者,激素及血浆置换的治疗效果更明显[6]。另外,目前也发现MOG-AD患者在激素减量或停止时表现出迅速复发的倾向。有研究发现部分患者使用吗替麦考酚酯等免疫抑制剂治疗,可以诱导临床症状缓解及影像学病灶缩小,维持血清抗MOG抗体阴性[9]。这提示对MOG-AD患者需要予免疫抑制药物治疗,以预防复发。
总之,虽然抗MOG抗体阳性与抗AQP4抗体阳性患者均表现为视神经炎和(或)长节段横贯性脊髓炎[10],但两者的作用靶点不同,且两者相关的疾病在临床表现、影像学特征、治疗反应及预后方面均有一定的差异,提示其病理机制不同。因此,建议将其与NMOSD区分,将此类疾病定义为MOG-AD。目前关于MOG抗体病的确切发病机制仍不清楚。虽然已认识到MOG-IgG介导了一种不同于MS或NMOSD的中枢神经系统脱髓鞘疾病[11],但仍需大量研究进一步明确MOG-IgG在脱髓鞘疾病中的发病机制,以及研究并认识抗MOG抗体阳性脱髓鞘疾病的临床特征、影像学特点、实验室检查、免疫病理机制及最佳的治疗方案等,以鉴别于其他脱髓鞘疾病,并给予精准有效治疗,从而有效改善预后及减少复发。

























