
版权归中华医学会所有。
未经授权,不得转载、摘编本刊文章,不得使用本刊的版式设计。
除非特别声明,本刊刊出的所有文章不代表中华医学会和本刊编委会的观点。
肥大性下橄榄核变性(hypertropic olivery degenerationg,HOD)是一种罕见的跨神经突触变性,主要累及小脑齿状核-中脑红核-延髓橄榄核通路,绝大多数继发于中脑、桥脑或小脑的出血、梗死或肿瘤性病变,导致远隔部位的下橄榄核神经元在原发病变后的一段时期发生顺行性空泡化变性,致使下橄榄核部位体积增大而并非萎缩,其中特发性HOD在临床上更为少见[1]。笔者现报道1例以头昏、共济失调为主要表现,并误诊为脱髓鞘疾病,无继发性病因的特发性HOD患者的诊治经过,以期提高临床医生对该病的认识,减少误诊误治。
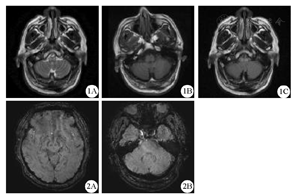
患者男性,53岁,因"阵发性头昏1年,加重伴走路不稳6月"于2017年3月1日入院。患者1年前无明显诱因出现头昏,表现为头昏沉感,不伴有天旋地转感及恶心呕吐,持续数小时至数天不等。近6个月来症状逐渐加重,伴走路不稳,姿势异常,步距增宽,不能走直线,偶有视物双影。于2017年2月8日就诊于当地医院,按"脑梗死"给予治疗,症状未见明显好转,遂来我院。既往史:糖尿病史2月,规律监测血糖示血糖控制可;高血压病史3年;长期大量吸烟史;否认牛羊接触史,否认肝炎、结核等传染病史,否认家族遗传病史。体检:血压157/90 mmHg(1 mmHg=0.133 kPa),心率72次/min。神清语明,高级智能正常,双眼向各方向活动充分,双眼向右侧注视时有水平细小眼震,辐辏反射正常;双上肢腱反射略活跃,双下肢腱反射正常引出;双侧深浅感觉对称存在,闭目难立征(+),双侧指鼻试验、跟膝胫试验基本稳准,左侧Babinski征可疑阳性,颈软,脑膜刺激征(-),余查体未见异常。辅助检查:头颅MRI(2017年2月10日于当地医院)示右侧基底节区软化灶,延髓异常信号,增强后未见异常强化病灶。复查头颅MRI(2017年3月3日于我院)示双侧延髓腹侧异常信号(图1)。颈动脉超声、经颅多普勒超声、脑干诱发电位及视觉诱发电位均无异常。头颅磁敏感加权成像(SWI)未见脑内多发微出血(图2)。腰椎穿刺检查:脑脊液无色透明,压力110 mmH2O(1 mmH2O=9.8 Pa)。脑脊液常规检查:蛋白0.37 g/L,潘氏反应阴性,白细胞计数1×106/L,IgG 18.1 g/L。细胞学检查:白细胞计数2×106/L,偶见淋巴细胞,未见异常细胞。脑脊液IgG指数、寡克隆区带、髓鞘碱性蛋白、抗水通道蛋白抗体等相关检查未见明显异常。糖化血红蛋白7.3,生化、肝功、血氨、外科综合、风湿三项、免疫五项、男性肿瘤标志物、甲功五项等检查未见明显异常。入院后按"脱髓鞘疾病"给予甲强龙80 mg,1次/d静脉点滴,1周后症状无缓解,故停用激素。复查头颅MRI示病灶未见明显改变。

Cranial MR imaging of the patient Fig.2 Susceptibility weighted imaging of the patient

1A:T2WI呈高信号,1B:T1WI呈等信号,1C:FLAIR像呈高信号;2A:大脑皮层及中脑未见多发微出血,2B:脑桥、小脑未见多发微出血;FLAIR:液体衰减反转恢复序列
Cranial MR imaging of the patient Fig.2 Susceptibility weighted imaging of the patient
考虑患者为中年男性,慢性起病,以头昏、共济失调为主要临床表现,头颅MRI表现为延髓双侧对称性异常信号,未见明显强化,头颅SWI序列未见脑内多发微出血,脑脊液常规及免疫学检查未见异常,确诊为特发性HOD。给予辅酶Q10及B族维生素促进脑细胞能量代谢等对症支持治疗,1周后头昏症状较前好转,步态不稳未见明显改善,自动出院。出院后3个月电话随访,头昏症状缓解,步态不稳症状较前有所改善。
HOD以腭肌震颤、眼球震颤、复视及共济失调为主要临床症状,其发病机制主要是齿状核-红核-橄榄核环路(GMT)的破坏及中断[2,3]。Carr等[4]对102例HOD患者进行了回顾性队列研究,结果表明超过50%的患者为继发性HOD,此类患者可以找到GMT中的原发性损伤,且以单侧居多;低于50%的患者未见原发性损伤,此类患者多为双侧HOD。我们不难发现,只有当原发疾病同时累及小脑上脚交叉纤维,或原发病灶累及双侧齿状核、红核或中央被盖束和小脑上脚时才会发生双侧HOD[5,6]。本例患者为双侧HOD,头颅MRI显示GMT中未见病变,SWI检查排除该三角内微小出血,表明患者可能为特发性HOD,但其发生机制尚不明确,推测可能存在作用于该环路以外的其他致病途径,故仍需要大量的进一步的神经病理学研究来验证。有些学者在双侧HOD患者中发现了几个基因突变,其中与细胞色素C氧化酶缺陷有关的SURF1是Leigh综合征的致病基因,有研究称双侧HOD是SURF1突变患者的特征性表现[7]。在一些与线粒体疾病有关的基因(如编码线粒体DNA聚合酶的POLG基因、导致线粒体呼吸链复合体Ⅲ缺陷的TTC19基因、成人发病的线粒体疾病相关的AIFM1基因)突变患者的头颅MRI扫描中也都发现了双侧HOD[8,9]。另外文献报道在进行性共济失调与腭肌阵挛(PAPT)中也发现了双侧HOD[4]。因此,特发性HOD是否作为一种临床表现出现于某些疾病发展的特定阶段还有待研究。
该病需要与脱髓鞘疾病、炎症、肿瘤及脑梗死相鉴别。虽然延髓腹外侧异常信号对于该病的诊断不具有特异性,但如果病灶严格局限于一侧或两侧下橄榄核而不影响周围组织,特别是局限性下橄榄核体积增大时,一定要想到该病可能。本例患者入院后曾误诊为脱髓鞘疾病。脱髓鞘疾病是一类以中枢神经系统白质脱髓鞘病变为特点的自身免疫性疾病,广泛累及中枢神经系统,影像学上多表现为脑白质多发长T1长T2异常信号,但脱髓鞘疾病的T2WI高信号区主要位于延髓前方皮质脊髓束所在部位,而不在橄榄核,脑脊液检查可有阳性发现[10,11]。本例患者无前驱感染史,脑脊液检查未见异常,影像学部位不典型,加之激素治疗无效,可排除脱髓鞘疾病。感染或肿瘤性疾病通常并不局限,且多数有占位效应,MRI增强扫描可能会有不同程度强化,而本例患者MRI增强扫描未见到强化影。延髓梗死性疾病的病灶部位随闭塞动脉的不同而表现各异[12],其多发生于小脑后下动脉供血区的延髓背外侧(Wallenberg综合征)或中腹侧(Dejerine综合征),延髓腹外侧梗死相对少见,且伴随相应解剖部位的神经缺失症状及体征。本例患者虽然有脑血管病危险因素,但是控制良好,且缺少相应部位的神经缺失症状。HOD的病灶严格局限于一侧或两侧下橄榄核而不影响周围组织,无占位效应,其确诊主要通过影像学检查,特征性的MRI表现为延髓腹外侧下橄榄核区孤立的T2WI异常高信号、T1WI等或稍低信号,下橄榄核体积增大或无明显改变[13,14]。磁共振扩散张量成像和纤维束张量成像可以准确描绘GMT环路上的神经纤维情况,如发现该环路上的神经纤维被阻断可协助该病的诊断[15]。总之,本例患者早期误诊的主要原因为特发性HOD属于罕见病,临床医生对本病尚缺乏认识;且患者无引起继发性HOD的原发病变,导致诊断过程曲折。因此,临床医生遇到局限于延髓腹外侧下橄榄核的病灶时,要想到该病的可能,以减少误诊误治。
目前,HOD在治疗上无特效药物,虽有报道称加巴喷丁及美金刚可改善HOD患者的眼震[16],但其疗效未得到公认。值得注意的是,虽然该病目前并无特效药物,但我们在给予患者应用辅酶Q10等药物营养神经治疗后,患者部分症状有所改善,故建议临床医生根据患者病情适当应用。





















