
版权归中华医学会所有。
未经授权,不得转载、摘编本刊文章,不得使用本刊的版式设计。
除非特别声明,本刊刊出的所有文章不代表中华医学会和本刊编委会的观点。
一氧化二氮(N2O)又称"笑气",我国将其列为危险化学品,而非毒品,这也为其买卖、持有和使用提供了便利。近年其逐渐受到一些青少年的"青睐",危害也越来越大。本文将对1例滥用"笑气"引起神经损伤的病例进行报道。
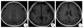
男,35岁,因"四肢末端麻木3月,语无伦次、行走不稳3 d"于2017年7月1日入辽宁省人民医院神经内科。该患者自半年前起出售充"笑气"的安瓿并间断吸充入该气体的"气球",具体吸入量不详。该患者3月前出现肢体麻木感,未予系统治疗,3 d前在自家轿车里被家人发现吸入"笑气",患者当时呈欣快感,傻笑,答非所问,小便失禁,行走不稳,但未见抽搐、饮水呛咳及吞咽障碍。病程中无发热,无呕吐。病来3 d未入睡。该患者既往"口吃",否认神经精神疾病及消化系统疾病病史,否认"笑气"以外其他精神活性物质接触史。入院体检:体温36.2 ℃,脉搏81次/min,呼吸18次/min,血压101/61 mmHg (1 mmHg=0.133 kPa)。肥胖体型、眼周晦暗、心肺听诊未闻及明显异常。神经系统查体:意识恍惚、言语笨拙(口吃),颅神经查体未见确切异常。四肢肌张力正常,可见四肢自主活动,四肢腱反射对称叩出。左侧Babinski征阳性。无脑膜刺激征,感觉体检不配合。入院后予以佐匹克隆及奥拉西坦治疗。入院第3天患者神志清,但反应迟钝,计算力(100-7=?)及远近期记忆力差,理解力、定向力正常,双上肢及双下肢近端肌力5级,双下肢远端肌力4级。Romberg征阳性,双下肢音叉振动觉与位置觉对称存在,四肢末端痛觉迟钝。左侧Babinski征仍阳性。简易智能状态检测量表(MMSE)评分18分。化验肝肾功、血糖、血脂、尿便常规、梅毒螺旋体抗体、凝血功能、叶酸、甲功、凝血功能、脑脊液生化及常规检测均未见明显异常。化验维生素B12示135 pg/mL (正常值211~911 pg/mL);同型半胱氨酸示65 μmol/L (正常值3.7~13.9 μmol/L);血常规示红细胞计数4.22×1012/L [正常值(4.3~5.8)×1012/L],血红蛋白、红细胞平均体积、血小板及白细胞计数均正常;钙2.10 mmol/L [正常值(2.15~2.5)×1012/L];尿酸508 μmol/L(正常值:214~488 μmol/L);壁细胞抗体、内因子抗体及胃泌素分泌细胞抗体检测均为阴性。肝胆脾胰超声检查示脂肪肝,肺CT、心电图、心脏超声、泌尿系统超声、颈部血管、锁骨下动脉超声检查、颈髓及胸髓MRI均未见明显异常。电子纤维胃镜示慢性非萎缩性胃炎。双侧胫神经神经传导速度(NCV)减慢,波幅正常。头MRI检查示双侧侧脑室旁、半卵圆中心稍长T1、稍长T2信号,FLAIR呈高信号改变,脑裂、脑沟增宽(图1)。患者出现精神异常、智力障碍、锥体束及周围神经等广泛损害,结合患者有N2O接触史,考虑为N2O中毒性脊髓病(亚急性联合变性)及中毒性脑病。家属拒绝高压氧治疗,予以腺苷钴胺(1.5 mg/d、1次/d,肌注)、奥拉西坦(4.0 g、1次/d,静点)及佐匹克隆(7.5 mg、1次/d,睡前口服)等治疗11 d,患者行走不稳较入院时缓解,计算力(86-7=?)及近期记忆力改善,双下肢远端肌力达4+级。MMSE量表评分21分,遂予以出院。出院后继续口服甲钴胺(0.5 mg、3次/d)及胞磷胆碱(0.2 g、3次/d),并配合康复治疗,3个月后复查,患者肢体麻木感消失,可正常行走,神经系统查体未见确切定位体征,MMSE量表评分28分。


A:FLAIR序列显示脑白质脱髓鞘改变;B、C:T1序列显示皮质萎缩,脑裂、脑沟增宽
N2O是一种无色有甜味的短效吸入性全身麻醉剂,于1799年由英国化学家汉弗莱·戴维发现了其止痛和镇静的麻醉作用后,最早是作为口腔科手术麻醉药品使用[1]。后来,随着其他更安全、便捷的麻醉药品的出现,N2O作为麻醉气体的应用范围越来越小,仅在一些小手术中应用。N2O的另一个用途是在咖啡店或蛋糕店用来做奶油的发泡剂。它通常被压缩成液态封装在铝制或钢制的耐压瓶里。就是这种不起眼的化学物质,被一些KTV、酒吧或夜场的"耍家"当成了"嗨药"。在新西兰、美国、英国等国家吸"笑气"已是屡见不鲜,青少年"笑气"滥用率已达12%~20%之高[2],酿成的悲剧自然不断。我国医务人员对滥用N2O的危害性重视不够,临床很容易漏诊。媒体对中国留学生海外吸"笑气"成瘾的相关报道的日益增多,人们日益认识到滥用"笑气"的严重危害。
大多数吸食者会通过小灯泡、面具或气球来吸入N2O,从而产生飘飘欲仙的致幻快感。吸入的N2O仅以物理状态溶解于血液中,不与血红蛋白结合,绝大多数以原形随呼吸排出体内,只有少量经皮肤蒸发,微量会在尿道或肠道中经肠道细菌的生物作用分解为氮和亚硝酸盐等,并随尿液、粪便排到体外。急性N2O中毒或高浓度N2O可以引起低血压、肺损伤导致缺氧窒息等。通常吸入N2O 15~30 s即可产生欣快感,但只能持续2~3 s。由于N2O造成的"欣快感"持续时间很短,吸食者会反复吸入,根据道尔顿的分压定律,吸食了大量的"笑气"之后,同一时间内吸到肺里的氧气就会相应减少,长期持续吸入就会导致缺氧,继而出现高血压、心脏病、晕厥等,严重者可有窒息的风险。另外,长期吸食N2O可以引起贫血及神经系统损害,严重的情况下会造成精神异常,如精神错乱、抑郁或嗜睡等,甚至导致死亡[3]。目前国外已报道了20余例滥用N2O导致的脊髓损伤,大多数与滥用N2O病例后引起维生素B12缺乏有关[4]。国内王丽等[5]也对此做了相关报道,N2O造成的脊髓损伤表现为脊髓亚急性联合变性的症状与体征,MRI特点是病变集中在颈髓和胸髓后索呈不规则的白质脱髓鞘,可能向前外侧及上下扩展,T2WI显示脊髓后索倒"V"形高信号是其典型的影像学特征。该患者头MRI表现为皮质萎缩、脑白质脱髓鞘等影像学特点,而脊髓MRI未出现上述特征,考虑与患者接触"笑气"时间短、病变较轻,大脑对缺氧更为敏感等有关。
维生素B12又称钴胺素,是机体反应所必须的辅助因子。长期或大剂量滥用N2O,会影响维生素B12的合成,因为N2O可以氧化维生素B12中的钴离子,使其成为其他钴胺素类似物,并被优先排出体内,从而引起维生素B12缺乏并失活,再经过快速抑制蛋氨酸合成酶活性,使甲基丙二酰辅酶A变位酶(MCM)减少等一系列酶促反应,导致巨幼红细胞性贫血或髓鞘脱失。正常情况下,当体内有大量的维生素B12储备时,应用N2O进行麻醉不会引起上述临床症状,通常仅发生于有潜在维生素B12缺乏的患者中[6]。Duque等[4]认为N2O在肠道中被维生素B12还原为氮气,随之生成的羟基自由基可以使蛋氨酸合成酶失活从而导致髓鞘合成和代谢障碍。有研究认为N2O可以改变抗γ-氨基丁酸A型受体(GABAAR)、抗N-甲基-D-天冬氨酸受体(NMDAR)、5-羟色胺受体(5-HTR)和阿片受体等功能,产生包括神经元坏死和细胞凋亡的神经损害[7]。该患者头MRI示脑白质脱髓鞘及皮质萎缩,考虑除与上述机制有关外,还可能与长期吸入N2O导致脑部中枢神经系统处于缺氧状态有关。
滥用N2O引起的神经损伤的治疗方案主要是停止接触N2O并大剂量补充维生素B12。治疗效果与患者的年龄、病变程度、病变范围、开始治疗时间以及有无贫血等有关。大多数患者的症状可以在半年内得到改善。该患者有明确的N2O滥用史,有精神智力异常、四肢麻木、行走不稳等症状,体检有智力、精神、脊髓、周围神经及椎体束等广泛受损的体征,结合化验示维生素B12缺乏,头MRI示脑白质脱髓鞘及皮质萎缩等,符合上述长期滥用N2O引起神经功能损伤的表现,经肌肉注射腺苷钴胺治疗后病情明显改善。
综上所述,N2O滥用俨然将成为精神麻醉药品监管的隐患,长期吸食N2O可以导致巨幼细胞性贫血、神经系统损伤等,严重者可致命,医务工作者在临床工作中应予以重视,以防漏诊。





















