
版权归中华医学会所有。
未经授权,不得转载、摘编本刊文章,不得使用本刊的版式设计。
除非特别声明,本刊刊出的所有文章不代表中华医学会和本刊编委会的观点。
急性播散性脑脊髓炎(acute disseminated encephalomyelitis,ADEM)是一种急性起病、细胞免疫介导的中枢神经系统炎性脱髓鞘性疾病,通常由病毒感染或疫苗接种引起,其发病率低,多见于儿童和青壮年[1,2]。ADEM的临床表现复杂多样,常有中枢神经系统广泛受累的非特异性表现,如意识障碍、癫痫发作等。笔者现报道1例中国医科大学人民医院神经内科会诊的中年起病、以不明原因发热为首发症状的ADEM患者的临床资料,并进行相关文献复习。
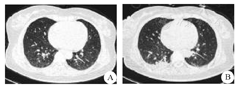
患者 女,55岁,因"畏寒发热4 d"于2017年11月13日在家人搀扶下步入中国医科大学人民医院急诊科就诊。患者发病前4 d曾有受凉发热史,体温最高达39 ℃,伴咳少量白色粘痰。既往体健,无近期疫苗接种史,否认外伤史、冶游史及自身免疫性疾病史。急诊体检:体温39.6 ℃,双肺呼吸音粗,心律齐,心率106次/min,腹部无压痛;意识清楚,颅神经未见异常,双侧巴宾斯基征阴性,颈软。肺CT扫描显示:双肺纹理紊乱,肺内散在小结节及陈旧性病变,未见明显急性炎症改变(图1A)。血液常规显示白细胞计数正常,中性粒细胞比例78.9%(↑),C反应蛋白正常。以"发热待查"收入呼吸内科住院。入院后给予头孢西丁抗炎和物理降温治疗,体温波动于38.3~41.1 ℃,并相继出现排尿、排便困难。入院1周后病情继续进展,表现为咳嗽无力、呼吸困难,以至呼吸衰竭、精神萎靡,复查肺CT显示双肺下叶模糊淡片影,右肺下叶不张可能性大,双侧胸腔积液,考虑与吸入性肺炎有关(图1B)。因患者呼吸困难继续加重,故转入ICU病房,行药物治疗的同时予以呼吸机辅助通气。期间患者体温仍持续在38 ℃以上,并反复达40 ℃,故在给予抗菌素治疗的同时又相继给予奥司他韦、更昔洛韦抗病毒治疗,并更换静脉抗菌素为万古霉素1500 mg/d、泰能4 g/d。但患者仍持续高热不退,期间多次进行血液常规化验,显示白细胞总、分数均轻度异常或正常;降钙素原0.07 ng/mL(参考值<0.05 ng/mL);肝肾功能、甲功五项、凝血功能、乙丙型肝炎、肿瘤标志物未见异常。血液病原微生物学检查:布氏杆菌、人类免疫缺陷病毒、巨细胞病毒IgM、单纯疱疹病毒IgM、军团菌IgM、柯萨奇病毒IgM均为阴性,支原体抗体滴度、肥达氏反应和外斐氏反应均无异常。免疫学检查:抗中性粒细胞胞浆抗体(-);抗核抗体谱(15项)中抗SS-A抗体(±)、抗Ro-52抗体(±);血沉、风湿三项、血IgA、IgG、IgM、IgE及血清蛋白电泳均未见明显异常。血培养:未见需氧、厌氧菌生长。痰涂片:无细菌、结核杆菌生长。尿常规、尿沉渣定量无异常。心脏超声、全腹CT扫描无异常。入院第11天(2017年11月24日)因停用镇静药物后患者仍呼之不应,急请神经内科会诊。脑脊液检查:脑脊液压力160 mmH2O(1 mmH2O=0.098 kPa),外观无色透明;脑脊液常规:白细胞总数352×106/L(↑),未见红细胞;脑脊液生化:糖2.34 mmol/L(↓)、蛋白质0.78 g/L(↑)、氯化物正常;细菌及结核杆菌涂片(-)。血液及脑脊液水通道蛋白和脑脊液寡克隆带未检测。因患者脑脊液白细胞总数增高较明显,故给予抗菌素治疗的同时给予静脉甲泼尼龙(500 mg/d、连续4 d,后逐渐减量)治疗。激素治疗的第2天患者体温开始下降,第5天降至正常,第9天自主呼吸明显恢复,但仍咳痰无力。在患者呼吸困难、发热症状好转的同时,也发现患者存在四肢瘫痪(双上肢肌力Ⅱ级、双下肢肌力Ⅰ级)。为进一步明确肢体瘫痪原因,入院4周后(2017年12月7日)行头颅MRI平扫,显示脑干、双侧丘脑、双侧小脑半球、双侧半卵圆中心、侧脑室旁及基底节区多发、不对称的异常信号(图2)。2017年12月14日颈段MRI平扫显示:延髓与颈髓交界、C1~T1节段间多发、不连续的髓内异常信号(图3)。结合患者发热、亚急性起病过程,尽管脑脊液呈炎性改变,但给予抗病毒、抗细菌治疗效果不佳,并结合中枢神经系统影像学改变,即颅内及脊髓均有受累,支持中枢神经系统脱髓鞘性疾病的诊断。2017年12月24日患者自主呼吸完全恢复,此期间排便功能及肌力也逐渐恢复,于2017年12月28日转回呼吸内科病房。出院后随访3个月,患者仍处于恢复中,双上肢肌力Ⅴ-级、双下肢肌力Ⅳ级,因遗留排尿困难仍予留置导尿管。


A:双肺纹理紊乱,肺内散在小结节及陈旧性病变;B:双肺纹理增强及下叶可见模糊淡片影,右肺下叶不张可能性大,双侧胸腔积液


A:双侧小脑半球近第四脑室、双侧桥壁、延髓呈点片状T2 FLAIR高信号(箭头所示);B:脑桥(以右侧及背侧为著)呈T2 FLAIR高信号(箭头所示);C:中脑右侧大脑脚呈T2 FLAIR高信号(箭头所示);D:双侧丘脑、基底节区(以右侧内囊后肢为著)呈T2WI高信号;E:侧脑室前后角呈多发片状T2 FLAIR高信号;F:双侧半卵圆区呈多发片状T2 FLAIR高信号


延髓与颈髓交界、C1~T1节段间多发、不连续的点片状长T2WI髓内信号(箭头所示)
ADEM病变主要累及脑和脊髓的白质,MRI对其诊断具有重要意义,一般表现为侧脑室旁及额颞顶枕白质区内多发的点片状病灶,部分可见"垂直脱鞘征";同时也可见于灰质,后者以基底节区、丘脑、脑干多见。ADEM的脑部病灶多在T1WI呈低或稍低信号,在T2WI和FLAIR呈高信号,多双侧不对称,形态可呈圆形、椭圆形或不规则,直径多为1.0~2.0 cm或略小;脊髓病灶主要位于颈、胸髓髓内,表现为连续或节段性的长条形信号,长度可达3~4个脊椎节段,T1WI上呈低信号,T2WI上呈高信号,信号多较均匀,脊髓无增粗,且无特异性[3,4]。除中枢神经系统影像学改变外,ADEM的诊断还需符合以下标准:(1)急性起病,首次因可疑中枢神经系统炎性脱髓鞘而表现出多灶性神经功能缺损;(2)排除中枢神经系统感染、结缔组织病、遗传代谢性疾病及肿瘤;(3)发病3个月后没有新的临床表现和MRI改变[1,5,6,7]。本例患者的中枢神经系统影像学改变和临床表现均符合ADEM的诊断标准,但该患者发病时无确切的局灶性神经功能缺损表现,并且其后因给予呼吸机通气并镇静也影响了对神经系统体征变化的观察,包括对呼吸衰竭、四肢瘫痪及尿潴留原因的分析不足,导致未能早期及时诊断。
基于ADEM免疫介导的病因学,其通常应用高剂量类固醇激素治疗,而在一部分类固醇治疗无效的患者中,静脉注射免疫球蛋白也有一定益处[8,9]。本例患者在给予激素冲击治疗后,体温迅速下降,其他临床病情也逐渐好转,也符合ADEM的临床表现。
成人患ADEM的临床表现与儿童略有不同,不常见表现为发热、意识丧失和癫痫等,仅有46%的患者存在前驱感染史。非典型成人ADEM可以不明原因发热为首发症状,继而出现局灶性神经功能缺损表现,导致诊断存在一定困难[4]。Costanzo等[10]曾报道过1例表现为头痛、不明原因持续高热25 d的ADEM患者(15岁男孩),推测ADEM和不明原因发热之间可能存在一种新的症候关联。本例患者为中年女性,发病前无明确感染史及疫苗接种史,病初表现为持续发热不退,长达20余天,并反复高达40 ℃以上,经过各种评估检查后始终未能明确发热原因,可以考虑为不明原因发热[11]。而且患者就诊时无确切的神经系统受累表现,进一步支持其为非典型的ADEM。
ADEM多呈单相病程,但可转化为多发性硬化(multiple sclerosis,MS)或视神经脊髓炎(neuromyelitis optica,NMO),故诊断ADEM时应注意与MS、NMO及中枢神经系统细菌或病毒等感染性疾病相鉴别[9,12]。本例患者住院期间虽未检查血液及脑脊液脱髓鞘性疾病相关抗体,未予头颈MRI增强扫描,但抗菌素、抗病毒治疗均无效,病程持续时间较长,中枢神经系统影像学检查提示病灶多发,而脑脊液压力及外观均正常,且连续3个月随访病情日渐恢复,无缓解复发的临床经过,且始终无视神经受损表现,不符合中枢神经系统细菌、病毒等感染性疾病的临床表现,目前也暂不考虑MS及NMO的诊断。
总之,对于没有明确中枢神经系统表现的不明原因发热,特别是出现了轻微的神经精神症状的情况下,应及时行脑脊液检查,必要时行头颅、脊髓MRI检查,这可能有助于早期病因学诊断。而且对于发热尤其是有意识障碍或处于药物镇静状态下的患者,应注意观察其意识状态、肌力等神经系统体征的变化以及肢体活动、尿便障碍等,并结合脑脊液的变化,可能会有助于非典型的ADEM的早期诊治。





















