
版权归中华医学会所有。
未经授权,不得转载、摘编本刊文章,不得使用本刊的版式设计。
除非特别声明,本刊刊出的所有文章不代表中华医学会和本刊编委会的观点。
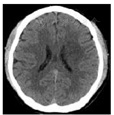
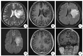
患者 男性,30岁,农民,既往体健,无感染及疫苗接种史。因"右侧肢体无力伴言语不清5个月余,加重8 d"于2018年5月23日入临沂市人民医院。患者于5个月前无明显诱因出现右侧肢体无力伴言语不清,持物不稳,右侧中枢性面瘫,在莒南县人民医院就诊,行头颅MRI平扫显示:左侧额叶、基底节区斑片状长T1长T2信号,弥散加权成像(DWI)显示高信号,诊断:脑梗死?住院期间,患者病情较前无改善,为求进一步诊治,经临沂市人民医院神经外科门诊,以"左侧丘脑恶性肿瘤"收入院。2017年12月21日患者行头颅CT扫描显示左侧基底节区、左侧侧脑室体旁斑片状低密度影(图1),并在全麻状态下行左顶穿刺基底节区病变活检术,征求家属同意后将病理切片送至北京神经外科研究所检验,病理诊断为"炎性脱髓鞘性假瘤",建议激素冲击治疗。当时患者病情较前好转,未同意。2017年12月23日行头颅MRI检查显示左侧额叶、基底节区、侧脑室体旁T2WI、T2液体衰减反转恢复序列(FLAIR)呈高信号;T1WI呈低信号;DWI显示高信号;注入钆喷酸葡胺对比剂后呈不均匀线性强化(图2)。




A~C:平扫;D:DWI;E、F:增强扫描;DWI:弥散加权成像
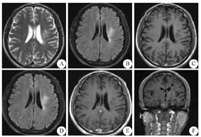
2018年5月15日患者自觉右侧肢体无力较前加重,可自行行走,无持物不稳,伴言语不清,无发热、咳嗽及咳痰,无头痛、恶心及呕吐,无肢体抽搐及意识障碍。为求诊治,于2018年5月23日以"炎性脱髓鞘性假瘤"收入临沂市人民医院神经内科。入院体检:体温36.6 ℃,心率80次/min,呼吸20次/min,血压92/64 mmHg(1 mmHg=0.133 kPa)。发育正常,营养良好,心肺腹部体检无异常,双下肢无水肿。神经系统体格检查:神志清,精神可,口齿欠清晰。听、理解力正常,高级认知能力正常。双侧瞳孔等大等圆,直径3 mm,直接、间接对光反应灵敏,双眼各向运动及边,无震颤。双侧额纹对称,双眼睑闭合有力,右侧鼻唇沟浅,口角向左侧歪斜,伸舌右偏,右侧鼓腮漏气。余颅神经查体未见异常。右上肢肌力5级,右下肢肌力4级,左侧肢体肌力5级,四肢肌张力正常,右侧巴宾斯基征(+),左侧巴宾斯基征(-)。双侧肢体腱反射对称(++),双侧髌阵挛、踝阵挛(-),双侧指鼻试验、跟-膝-胫试验(-),Romberg征(-),深浅感觉无异常。辅助检查:小生化、血常规、凝血四项、尿液分析、感染六项均未见异常。2018年5月22日患者行颅脑MRI检查(平扫+强化)显示:左侧额叶、基底节区、丘脑、侧脑室旁见大片混杂信号,T1WI呈等低信号,T2WI呈等高信号,T2 FLAIR呈高/低信号,DWI显示部分高信号、局部低信号,注射钆喷酸葡胺对比剂后,未见明显强化(图3)。结合病史、体征及辅助检查结果,患者诊断"炎性脱髓鞘性假瘤"明确。经家属同意后,给予大剂量甲泼尼龙降阶梯法冲击治疗,初始给予甲泼尼龙500 mg静脉滴注、1次/d,每3天依次减半,最低减至甲泼尼龙40 mg静脉滴注,3 d后予以泼尼松片35 mg口服、1次/d,并予以出院。


A~C:平扫;D:DWI;E、F:增强扫描;DWI:弥散加权成像
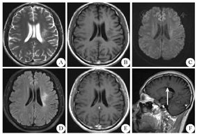
2018年7月31日患者复查颅脑MRI(平扫+强化)显示:左侧基底节区T1WI呈等低信号,T2WI呈等高信号,T2 FLAIR呈高/低信号,DWI呈部分低信号,炎性脱髓鞘病灶较前吸收,范围缩小(图4)。


A~C:平扫;D:DWI;E、F:增强扫描(箭头所示为"煎蛋征");DWI:弥散加权成像
炎性脱髓鞘性假瘤是免疫介导的特殊类型的中枢神经系统脱髓鞘疾病,由van der Velden等[1]于1979年首次报道。中枢神经系统炎性脱髓鞘假瘤又称为肿瘤样脱髓鞘病变(tumor-like demyelinating lesions,TDLs)[2],在临床相对少见,发病率仅为多发性硬化(multiple sclerosis,MS)的0.1%~ 0.2%,临床上易误诊为脑肿瘤。Hunter等[3]总结了1220例脑病理活检,其中4例因临床表现及影像学表现与脑肿瘤极为相似,被诊断为脑肿瘤,但术后病理活检证实为炎性脱髓鞘性假瘤。炎性脱髓鞘性假瘤可以发病于任何年龄阶段,好发于20~50岁中青年,女性多于男性,急性起病,多为单向病程,随着病程延长病情趋于稳定,也有部分表现为复发-缓解病程。其临床表现多样化,以运动障碍、失语、感觉异常、共济失调等较为常见。炎性脱髓鞘性假瘤最常累及额顶叶白质,少数也可累及灰质,影像学检查多表现为皮质下孤立病灶,肿块通常较大,具有占位效应,周围伴有水肿,极易误诊为脑肿瘤[4,5,6]。炎性脱髓鞘性假瘤与脑肿瘤的鉴别点主要包括以下几部分。
(1)炎性脱髓鞘性假瘤患者头颅CT平扫表现为低密度影,增强无强化或轻度强化,且颅脑MRI上病灶面积大于头颅CT;若头颅CT平扫表现为高密度灶或显著强化则可基本排除炎性脱髓鞘性假瘤,可能为脑肿瘤;(2)炎性脱髓鞘性假瘤患者头颅MRI检查多表现为不规则斑片状长T1长T2信号,注入钆喷酸葡胺对比剂强化后多表现为环状或开环状强化。开环状强化又称为"开环征",环开口朝向灰质或基底核区。"开环征"对炎性脱髓鞘性假瘤的诊断具有一定特异性[7,8]。其DWI早期表现为高信号,随时间延长,高信号逐渐衰减,但脑肿瘤的DWI高信号不会随时间推移而衰减[9]。
(1)"脱髓鞘斑块"是炎性脱髓鞘性假瘤独特的病理学特点,表现为病变区髓鞘脱失,轴索相对保留,且病变区血管周围有大量淋巴细胞"套袖样"浸润,病灶中可见大量单核细胞及泡沫样巨噬细胞,同时伴有肥胖星形细胞增生;偶然可见散在分布的Creutzfeldt细胞,其是一种胞浆丰富淡染、核膜消失的星形胶质细胞,对炎性脱髓鞘性假瘤的诊断有一定的特异性。(2)泡沫样巨噬细胞CD68阳性、胶质酸性纤维蛋白(GFAP)阳性、CD45-RO阳性等免疫组化指标对炎性脱髓鞘性假瘤的诊断具有一定价值。泡沫样巨噬细胞CD68阳性在初诊胶质瘤病理结果中十分少见,具有鉴别诊断意义。(3)炎性脱髓鞘性假瘤病灶中,细胞浸润的主要成分既有B淋巴细胞,同时也存在T淋巴细胞,呈多克隆性增生,而中枢性淋巴瘤多为B淋巴细胞,呈单克隆性增生。
(1)炎性脱髓鞘性假瘤不同于颅内其他肿瘤,其对激素治疗敏感,预后相对较好。Kepes[14]对31例行激素治疗的炎性脱髓鞘性假瘤患者进行了长期随访,其中28例在后续9个月至12年随访过程中无复发;(2)炎性脱髓鞘性假瘤多急性起病,而脑肿瘤多慢性起病,隐匿性发展;(3)炎性脱髓鞘性假瘤主要破坏神经纤维鞘,在病情早期便出现神经功能缺损症状,而脑肿瘤最先累及神经纤维间隙,不以破坏正常组织为主,神经功能缺损症状出现相对较晚[9,15]。
本例患者为青年男性,无前驱感染史及疫苗接种史,既往体健,急性起病,表现为右侧肢体无力及言语不清,头颅CT表现为左侧基底节区低密度影,颅脑MRI示左侧基底节区占位性病变,以"丘脑恶性肿瘤"收治神经外科,后经病理活检确诊为炎性脱髓鞘性假瘤,确诊后建议行激素冲击治疗,患者及家属拒绝导致疾病反复。炎性脱髓鞘性假瘤的病因机制目前尚不明确,其预后相对较好,但有进展为MS的可能。Kepes[14]对31例炎性脱髓鞘性假瘤患者随访9个月至12年,其中3例患者进展为MS;吴小三等[16]随访4例炎性脱髓鞘性假瘤患者,2例患者进展为MS;余锋等[17]随访10例炎性脱髓鞘性假瘤患者,未有进展为MS者。本例患者最后一次入院时自觉右侧肢体无力较前加重,体检显示神经系统阳性体征较前无加重,且无感觉障碍平面,排除脊髓病变。分析比较前后2次头颅MRI(平扫+强化)检查结果,炎性病灶较前无扩大,未见新发脱髓鞘病变,暂不支持MS的诊断。但患者拒绝行脑脊液相关检查,MS尚不能完全排除,仍有进展为MS的可能,目前对患者继续随访中。
由于临床医师对炎性脱髓鞘性假瘤认识不够,诊治过程中极可能出现误诊,从而延误患者诊治或造成诊治不当。因此,如果能及时、正确的作出诊断,患者将及时接受正确治疗,避免盲目的手术及放化疗,避免不必要的身体伤害及经济损失。





















