
版权归中华医学会所有。
未经授权,不得转载、摘编本刊文章,不得使用本刊的版式设计。
除非特别声明,本刊刊出的所有文章不代表中华医学会和本刊编委会的观点。
脑腱黄瘤病(cerebrotendinous xanthomatosis,CTX)是一种罕见的常染色体隐性遗传性疾病,由位于2号染色体长臂3区3带上的CYP27A1基因突变而引起胆汁酸代谢紊乱,最终导致胆甾烷醇和胆汁醇的沉积增加,从而引发多系统受累并出现相应临床症状[1]。新乡医学院第一附属医院神经内科2018年收治1例CTX患者,现将该患者诊治过程及其家系资料报道如下,希望能提高临床医师对该病的认识。
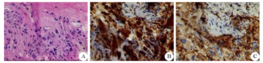
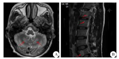
患者男性,32岁,务农,未婚。以"双下肢无力并行走不稳3年"为主诉于2018年5月2日收入我科。3年前无明显诱因逐渐出现双下肢无力并行走不稳,持续性存在,休息后不能缓解,不影响日常生活,无晨轻暮重、感觉异常、肌肉萎缩等。双上肢无明显异常。自觉上述症状逐渐加重,逐渐出现步态异常,易跌倒,方向不定。既往史、个人史无特殊。父母均为汉族,体健,非近亲结婚,1兄、1姐及其兄姐双方的子女均体健,余家族史亦无特殊。体检:生命体征均在正常范围内。体型偏小、瘦弱,皮肤黏膜无色素沉着。认知粗测正常,精神状态良好。两侧肌肉对称,未见明显萎缩、肥大;双上肢肌力5级,肌张力正常,双侧肱二头肌、肱三头肌、桡骨膜反射均亢进(++++),双侧Hoffmann征、Rossolimo征均阳性。双下肢肌力4级,肌张力增高,双侧踝阵挛阳性,双侧膝腱反射、跟腱反射均亢进(++++),双侧Babinski征及其等位征均阳性。腹壁反射亢进(+++)。双侧跟-膝-胫试验欠稳准,闭目难立征阳性,剪刀步态。深、浅、复合感觉正常。脑膜刺激征阴性。双侧跟腱可视、触及对称性增粗,余肌腱未触及明显增粗。血同型半胱氨酸27.14 μmol/L(正常值范围为0~15 μmol/L)。头颅3.0 T MRI平扫提示双侧小脑齿状核异常信号(图1A)。全脊椎1.5 T MRI平扫提示颈、胸、腰椎退行性病变;腰1~5椎体多发异常信号,考虑脂肪岛;骶管囊肿(图1B)。胸部CT提示右肺中叶小结节及条索状病灶。腹部脏器彩超提示胆囊壁毛糙,附壁可见数个点状强回声。双侧跟腱彩超提示双侧跟腱弥漫性增粗,回声减低,腱纤维回声紊乱,后方回声明显衰减,内可见少许彩色血流信号。右侧跟腱活检可见炎细胞及大量组织细胞浸润,大量胆固醇结晶,符合跟腱黄色瘤病理特征(图2)。对CYP27A1基因的外显子编码区进行一代测序,结果提示2个位点的突变:c.1263+1G>A和c.1420C>T (Arg474Trp)(图3)。进一步检查提示其父亲存在c.1263+ 1G>A突变,母亲存在c.1420C>T突变。

Imaging data of the patient

A:头颅MRI平扫;B:脊椎MRI平扫,显示腰椎椎体多发脂肪岛形成
Imaging data of the patient

Results of HE staining and immunohistochemical staining of biopsy tissues in the patient (×200)

A:HE染色结果;B:CD68免疫组化染色结果;C:CD163免疫组化染色结果
Results of HE staining and immunohistochemical staining of biopsy tissues in the patient (×200)

CYP27A1 gene sequencing results of the patient

A:c.1263+1G>A位点突变;B:c.1420C>T位点突变
CYP27A1 gene sequencing results of the patient
基于上述结果,考虑该患者为病理及基因确诊的一例CTX。从2018年6月起服用鹅去氧胆酸(CDCA)及阿托伐他汀10 mg,1次/d;CDCA从250 mg,1次/d逐渐加量至750 mg,1次/d,并指导患者进行低胆固醇饮食。随访至今(2019年4月20日),患者自觉双下肢力量较前稍改善,余无明显变化。自服药以来,未见明显不良反应。
目前关于CTX的诊断尚无公认的诊断标准,临床上通常是以排除诊断为主,可通过基因检测和病理结果确诊。2017年日本科学家们建立的诊断体系可供参考(表1)[2],确诊需要A(至少一种)+B+C+D;很可能诊断需要A(至少一种)+B+D;可能诊断需要A(至少一种)+B。

2017年日本科学家制定的脑腱黄瘤病诊断标准[2]
Diagnostic criteria of cerebrotendinous xanthomatosis made by Japanese scientists in 2017[2]
| 诊断层面 | 内容 |
|---|---|
| A:症状学 | 1.肌腱黄色瘤 |
| 2.进行性神经功能紊乱或智力减退 | |
| 3.青少年白内障 | |
| 4.青少年冠状动脉疾病 | |
| 5.慢性不明原因的腹泻 | |
| 6.青少年骨质疏松症 | |
| 7.长期的新生儿胆汁淤积 | |
| B:生化检测 | 血清胆甾醇水平升高 |
| C:基因检测 | CYP27A1基因的致病性突变(纯合子或复合杂合性)引起血清胆甾醇水平升高的以下疾病应被排除在外 |
| D:鉴别诊断 | 1.家族性高胆固醇血症 |
| 2.谷甾醇血症 | |
| 3.梗阻性胆道疾病 | |
| 4.甲状腺功能减退 |
CTX的遗传背景明确,定位于CYP27A1基因,但其突变类型多种多样。目前世界上已经报道的类型可能已经超过80余种,并不断有新的突变形式被发现[2,3,4],且不同国家之间常见的突变类型可能并不一致,日本以c.1214G>A和c.1421G >A突变多见[2],荷兰以c.1016G>A和c.1263+1G>A多见[4],而西班牙则以c.1183C>T突变最为常见[3]。本例患者的c.1263+1G>A和c.1420C>T突变在之前均有报道,但由于缺乏相关的统计分析,其发生的概率不得而知。笔者检索到的我国目前确诊的CTX患者突变类型分别为:c.379C>T,c.346C >T;c.379C>T,c.1420C>T;c.379C>T,c.1174G>A;纯合c.379C> T突变;c.73delG,c.369-375delGTACCCA[5,6,7,8,9]。
CTX的临床表现具有很大的异质性,可造成神经系统和非神经系统病变。前者包括锥体束受损、共济失调、认知功能损害、步态异常、痫性发作、帕金森综合征样表现、言语障碍、精神异常、感觉缺失等;后者最常见的为腹泻、白内障和肌腱黄色瘤[1]。有科学家对既往报道的194名CTX患者进行分析,通过函数算法预测了CTX患者在不同年龄各种临床表现的发病率,其中锥体束受损、共济失调、认知功能损害、步态异常、白内障和肌腱黄色瘤的发生概率随着年龄的增加而明显增加,甚至是必然出现[10]。目前尚不清楚不同的突变类型造成的临床表现是否存在差异,值得进一步分析。
尽管CTX的病程呈逐渐进展,但有些患者可能在童年就已经出现智能减退,而另一些患者即使在高龄也没有任何神经系统症状,甚至唯一的症状就是肌腱黄色瘤。甚至有研究者发现,荷兰77例确诊的CTX患者中有10例患者出现自闭症的表现[11]。鉴于CTX临床表现巨大的异质性、复杂性,以及临床医师的认识不足,来自日本和西班牙的2项研究均提示患者从发病到确诊可能需要耽搁近20年的时间,从而很可能错过了最佳的治疗时间[2,3]。
目前关于CTX的治疗并没有统一意见,仅能从发病机制中推测CDCA可能是有效的。基于现有的数据,普遍认为大部分的患者都会在短期内获益;但由于缺乏大样本数据,远期效果并不明确,仅有零散的资料显示可能会使病情稳定。但是,西班牙的一项回顾性研究显示25名患者尽管使用了CDCA联合或不联合他汀,仍然不能阻止疾病的进展[3]。早期治疗是毋庸置疑的,在出现致残性的神经功能缺损症状之前,大多数CTX的患者都存在治疗的"窗口期"[12]。Yahalom等[13]分析16名患者的治疗效果后发现,尽管都经过CDCA的治疗,但大于25岁的患者表现出更差的预后,比如行走以及认知功能障碍,甚至仍会持续进展。有动物模型表明利鲁唑可以通过对小脑浦肯野细胞的影响来治疗各种遗传性小脑共济失调,而胆甾醇的神经毒性显著影响浦肯野细胞[14]。基于此,有作者发现利鲁唑可以改善CTX导致的共济失调,值得尝试[15]。
所有作者均声明不存在利益冲突





















