
版权归中华医学会所有。
未经授权,不得转载、摘编本刊文章,不得使用本刊的版式设计。
除非特别声明,本刊刊出的所有文章不代表中华医学会和本刊编委会的观点。
胶质肉瘤(gliosarcoma,GS)属于世界卫生组织(WHO)分级Ⅳ级的高度恶性肿瘤[1]。绝大多数GS为单发病灶,多个病灶病例极为罕见。笔者现将南昌大学附属赣州医院神经外科近期收治的1例经病理证实的多发病灶的GS病例报道如下。
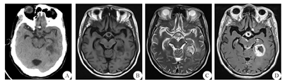
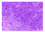
患者 男,64岁,因阵发性头痛、肢体抽搐1月余于2020年1月12日入院。既往体健,否认结核等病史,近期亦无发热、咳嗽情况。体检:体温36.8 ℃,血压120/80 mmHg(1 mmHg=0.133 kPa),神志清楚,记忆力减退,反应迟钝,余未见明显阳性体征。实验室检查:血常规、血清肿瘤标志物筛查等均为正常值,结核T细胞斑点试验(-)。胸腹部CT平扫、肝胆胰脾肾超声等检查未见明显异常。颅脑MRI提示颅内脑实质及脑膜多发异常强化病灶(图1),术前诊断考虑转移瘤可能性大、结核待排。综合考虑手术风险及重要神经功能损伤、同时明确病理诊断等因素后决定切除较大的左颞枕叶病灶。采用神经导航引导下经左颞枕马蹄形切口入路全切除左侧颞枕叶占位病变,术中见病变组织呈鱼肉样,色灰白,质地偏韧,边界不清楚,血供较丰富,病变内部含坏死组织。术后病理诊断为GS:肿瘤细胞呈梭形,胞界不清,胞浆嗜酸,核梭形或不规则形,呈片状或束状分布,可见瘤巨细胞;小血管呈簇状增生,可见栅栏状坏死(图2)。免疫组化染色显示胶质纤维酸性蛋白及波形蛋白阳性。术后予以防治癫痫、补液等治疗,2周后患者头痛症状改善,转肿瘤科行辅助放疗和替莫唑胺化疗。术后第5个月电话随访,患者病情恶化放弃继续术后辅助治疗。


A:颅脑CT平扫,左侧颞枕叶、海马、大脑大静脉池、桥前池、鞍上池不规则低密度影;B:颅脑MRI轴位T1加权像,前述部位见多发结节状片状稍长T1信号;C:颅脑MRI轴位T2加权像,前述部位见多发结节状片状稍长T2信号,部分病灶周围可见轻度水肿;D:颅脑MRI轴位增强扫描像,前述部位见明显片状、环形强化,内可见片状无强化区,部分邻近脑膜受累


GS是中枢神经系统罕见的恶性肿瘤,占全部胶质母细胞瘤的1.8%~8.0%,少数可以在原发时即为GS,多数是胶质瘤术后或是放疗后继发演变而来[2,3],组织病理学表现为胶质瘤和肉瘤的特点[4,5]。胶质瘤成分上为神经胶质纤维酸性蛋白阳性;肉瘤部分富含网状纤维,由神经胶质纤维酸性蛋白阴性的梭形细胞密集束状排列而成,细胞核有不典型性,核分裂象多并有坏死,是病理诊断GS的重要依据。发病人群以中年男性为主,婴幼儿亦可发病。GS与胶质母细胞瘤和星形细胞瘤的病程经过及临床症状相似,多数病程短且无明显特异性表现,部分患者存在神经轴及肝、肺、淋巴结等颅外转移倾向,这主要由其肉瘤部分决定[6]。GS影像学表现复杂多样,确诊仍需病理定性,典型影像学特征为[2,7,8,9]:GS呈类圆形或不规则形;CT表现与一般恶性胶质瘤类似;MRI多表现为T1像呈低信号,T2像呈混杂稍高信号或高信号,信号不均,中央部分坏死囊变,瘤周不同程度水肿,占位效应明显;增强扫描呈环形、花环状强化,部分呈不均匀强化。目前GS多见于大脑半球,特别是颞叶,绝大部分病灶为单发且多靠近脑表面,仅有少数个案报道称有多发GS[10,11]。本例患者病灶数量远多于目前已有报道,病灶分布于左侧颞枕叶、海马、大脑大静脉池、桥前池、鞍上池,呈现颅内多发脑实质及脑膜异常强化病灶,弥漫多发样改变,病灶数目极为罕见,病灶所在位置亦少见。由于GS临床相对较少的特性且该病影像表现有时与大脑半球的其他占位性疾病,如胶质母细胞瘤、原发性中枢神经系统淋巴瘤、脑脓肿、结核、梅毒、转移瘤等极为相像,因此术前诊断较为困难,极易出现误诊。本例患者术前就曾数次在外院及我院被诊断为转移瘤可能性大、结核待排。由于术前考虑恶性病变可能,病灶多发且分布较散、部分位置深在,全切可能性不大;但为了一定程度上解除病灶占位效应缓解颅高压症状并明确病理诊断,最终选择孤立的颞枕叶大病灶进行切除。术中病理亦考虑高级别胶质瘤可能,故没有继续另行术口切取其他部位病灶以避免增加医源性创伤。本例患者无颅脑肿瘤及放射治疗病史,其发病年龄、性别及肿瘤原发部位与既往文献报道相似,故颞枕叶病灶属原发性GS可能性较大。与胶质母细胞瘤相比,GS更易发生颅内外转移,但仅根据影像学表现难以准确判断海马、脑池等处的病灶是否是脑脊液播散转移而形成,进一步研究需行更为详实全面的病理检查。
综上,临床医师要提高对GS的认识与警惕,特别是当颅脑病灶的MRI表现为T1像低信号、T2像稍高信号,增强扫描呈环状强化时,除考虑到常见的胶质母细胞瘤、转移瘤等以外还应想到GS的可能。目前国内外尚无明确的针对GS的指南或诊疗规范,其治疗方案主要是参照胶质母细胞瘤,最大程度切除肿瘤后行术后辅助放疗及以替莫唑胺为主的化疗,但现阶段患者治疗效果均较差,平均生存期仅4~8个月[2,3,12]。
所有作者均声明不存在利益冲突





















