
丑角综合征是一种罕见的自主神经功能障碍,其发病机制为交感神经纤维受损导致患侧面部泌汗、血管舒缩功能障碍,可致患者在运动、情绪激动及处于炎热天气时出现患侧无汗而对侧面部代偿性潮红、异常出汗的特殊表现[1,2]。丑角综合征的病因可以是特发性的,也可为继发性的,临床上比较罕见,国内更少有报道。安徽医科大学附属宿州医院神经内科于2020年1月、6月共收治2例丑角综合征患者,现将其诊治情况报道如下。
版权归中华医学会所有。
未经授权,不得转载、摘编本刊文章,不得使用本刊的版式设计。
除非特别声明,本刊刊出的所有文章不代表中华医学会和本刊编委会的观点。
丑角综合征是一种罕见的自主神经功能障碍,其发病机制为交感神经纤维受损导致患侧面部泌汗、血管舒缩功能障碍,可致患者在运动、情绪激动及处于炎热天气时出现患侧无汗而对侧面部代偿性潮红、异常出汗的特殊表现[1,2]。丑角综合征的病因可以是特发性的,也可为继发性的,临床上比较罕见,国内更少有报道。安徽医科大学附属宿州医院神经内科于2020年1月、6月共收治2例丑角综合征患者,现将其诊治情况报道如下。
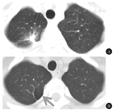
患者1 男性,28岁,因"左侧面部过度出汗伴潮红3 d"于2020年6月11日入院。患者既往有右肺大疱切除术病史6年,术后10 d复查胸部CT平扫提示右上肺炎症。体检:以头面部正中线为界,左侧面部大汗淋漓伴皮肤潮红,右侧皮肤皮色正常、无汗,且无其他阳性体征(图1)。辅助检查:血常规、甲状腺功能、肝肾功能、电解质、血糖、免疫四项等均未见异常。甘油三酯2.56 mmol/L(↑),尿酸442.7 mmol/L(↑)。颅脑MRI平扫+MRA未见明显异常。颈椎MRI平扫示轻度退行性改变。胸部CT平扫示,与既往胸部CT结果比较,双肺纹理增多,右肺上叶(T2~3椎体处)一新发肺大疱(图2)。颈动脉彩超、甲状腺彩超未见异常。入院后予以谷维素调节植物神经、抗炎治疗,症状无明显改善,要求自动出院。出院后3个月时随访,患者每次运动、情绪激动时仍反复出现上述症状,但无其他不适主诉。




A:2014年;B:2020年(箭头示新发肺大疱)
患者2 女性,59岁,系本院肿瘤内科会诊患者,因"右肺小细胞癌1年化放疗后,反酸、纳差2 d"于2020年1月2日入院。患者1年前于外院行PET-CT示右肺上叶恶性肿瘤合并右肺门、纵膈及双侧锁骨上淋巴结转移,后穿刺活检病理证实为肺小细胞癌,接受过多次化放疗;半年前行颅脑MRI平扫示右侧小脑转移瘤可能,伴瘤周水肿,诊断为右肺恶性肿瘤(小细胞癌,广泛期),脑继发恶性肿瘤。本次入院当晚,患者突然出现左侧面部潮红,体检:以头面部正中线为界,左侧面部皮肤潮红伴大汗,右侧皮肤皮色正常、无汗(图3),但无其他阳性体征,第2天晨起后发现上述症状消失。


眼交感神经纤维及头面部泌汗、血管舒缩交感神经纤维都由三级神经元传导,均起自下丘脑中枢,沿途经过脑干、颈髓并逐渐下降至脊髓侧角(中枢/第一级神经元),其中略有不同的是,眼交感神经纤维下降至T1脊髓侧角,而头面部泌汗、血管舒缩交感神经纤维下降至T2~3脊髓侧角;随后它们分别从T1、T2~3脊髓侧角腹根发出,沿着交感神经链下行至锁骨下动脉附近再向上折返,并在星状神经节、颈中神经节聚集,相伴走行,最终到达颈动脉分叉处的颈上神经节(节前神经/第二级神经元);从颈上神经节处换元后发出的节后神经纤维分别沿颈内、颈外动脉走行进入颅内(节后神经/第三级神经元)[2]。另外,头面部泌汗、血管舒缩交感神经纤维在颈上神经节处分为2支:1支控制前额内侧和鼻内侧皮肤的血管舒缩及泌汗,并与支配眼睑Müller肌、瞳孔开大肌的眼交感神经纤维一起沿颈内动脉走行;另一支沿颈外动脉走行,支配同侧头面部其他区域(前额外侧部、半侧面部及下巴)的血管舒缩及泌汗[2]。
由上述头面部交感神经纤维传导通路的阐述可知,交感神经纤维传导通路中不同部位的病变可出现不同的临床综合征,例如常见的Horner综合征及罕见的丑角综合征[3]。Horner综合征由眼交感神经纤维通路损害所致,典型的临床表现包括上睑下垂、下睑上抬、瞳孔缩小,可伴或不伴面部无汗、面部潮红;其因病变部位不同可分为中枢、节前、节后3种类型,每种类型的临床症状亦不尽相同;支配头面部泌汗及血管舒缩的交感神经纤维主要位于T2、T3水平,如病变未累及T2、T3神经根,则不会出现面部无汗及面部潮红表现[4]。丑角综合征是一种面部单侧交感神经纤维功能障碍所导致的自主神经功能紊乱综合征,最早于1988年由Lancea教授描述,其病理生理学机制为支配患侧面部的交感神经元发生病变,导致热调节性血管扩张障碍及无汗,对侧面部代偿性潮红及出汗过多,在头面部中线有明显的分界[5]。丑角综合征的病因亦分为中枢性、节前性及节后性3种类型[2]。另外,因为引起丑角综合征的血管舒缩及泌汗交感神经纤维与引起Horner综合征的眼交感神经纤维有共同的中枢及部分传导通路重叠,极少数患者可同时出现Horner综合征及丑角综合征[6]。此时是诊断患者为Horner综合征,还是丑角综合征伴有Horner综合征,业内意见目前尚不统一,大部分观点是丑角综合征无瞳孔异常,而伴有瞳孔缩小、眼睑下垂则是Horner综合征特有的表现,所以更倾向于诊断为前者[1]。
丑角综合征在女性中较常见,社交尴尬是其寻求诊疗的主要原因。丑角综合征的病因大多是特发性的,但也可继发于格林-巴利综合征、多发性硬化、脑干梗死等[7,8]。另外,开胸手术、甲状腺区域手术、椎管内麻醉等侵袭性损伤以及由肺尖肿瘤、延长的甲状腺下动脉、颈部动脉瘤等局部压迫也是丑角综合征常见的继发性原因[9,10,11,12]。如果潜在的病变或压迫能及时去除,部分患者的症状可消失。本组2例患者均表现为右侧面部潮红伴过度出汗,左侧面部无汗、皮肤颜色正常,且多次在明、暗处环境下检查患者无眼睑下垂、眼裂变小、眼球内陷,双侧瞳孔等大等圆、对光反射灵敏。因此,根据上述头面部交感神经纤维传导通路的阐述可知,患者的病变应该位于T2、T3神经根部附近。其中,例1患者系过度剧烈运动后出现这种单侧面部潮红、多汗症状,入院时胸部CT平扫与既往胸部CT比较示T2~3椎体处一新发肺大疱,考虑为剧烈运动引起肺大疱,继而对局部交感神经纤维产生压迫所致;例2患者系右肺上叶肿瘤晚期患者,突然发生单侧面部潮红、多汗症状,数小时后症状迅速消失,考虑为肺尖部肿瘤或肿大的淋巴结对T2~3处发出的交感神经纤维一过性压迫所致,后因体位改变、压迫解除即很快恢复正常。既往Umeki等[13]也曾发表过1例肺部肿瘤压迫引起丑角综合征的类似报道。
目前认为丑角综合征系特发性、良性病变,多见于儿童,一般不需要治疗[14,15,16]。如为了保持美观,避免社交尴尬等考虑,可行健侧交感神经纤维切除术或星状神经节重复阻断术,也可定期(如6个月)随访1次并于健侧注射肉毒杆菌毒素[1,14,17]。
所有作者均声明不存在利益冲突





















