
探讨检测子宫颈上皮内瘤变(CIN)中高危型人乳头瘤病毒(HPV)-DNA、p16INK4a (p16)及Ki-67蛋白表达的价值,为CIN的早期诊断、早期治疗提供理论依据。
将35例CINⅠ、44例CINⅡ、20例CINⅢ组织制成切片,用杂交捕获二代法(HC2法)检测HPV-DNA,用免疫组织化学MaxVision法检测p16和Ki-67蛋白的表达,结合临床病理因素进行分析。
HPV-DNA在CINⅠ、CINⅡ、CINⅢ中的阳性表达率分别为31.4 %(11/35)、63.6 %(28/44)、85.0 %(17/20)。p16在CIN Ⅰ、CINⅡ、CINⅢ中的阳性表达率分别为65.7 %(23/35)、97.7 %(43/44)、100.0 %(20/20),三组间差异有统计学意义(χ2=21.30, P=0.00);随着p16阳性表达率的升高,鳞状上皮HPV感染程度加深。Ki-67蛋白在CINⅠ、CINⅡ、CINⅢ中的阳性表达率分别为77.1 %(27/35)、79.5 %(35/44)、95.0 %(19/20),其阳性表达率随着子宫颈鳞状上皮HPV感染程度加深而升高,但三组间差异无统计学意义(χ2= 3.00,P=0.22)。
HPV的感染与子宫颈鳞状上皮内瘤变的发生、发展相关。p16和Ki-67联合检测可作为CIN诊断的客观参考指标。
版权归中华医学会所有。
未经授权,不得转载、摘编本刊文章,不得使用本刊的版式设计。
除非特别声明,本刊刊出的所有文章不代表中华医学会和本刊编委会的观点。
子宫颈上皮内瘤变(cervical intraepithelial neoplasia, CIN)是与子宫颈癌密切相关的一组癌前病变,反映子宫颈癌的发生、发展过程,其发生目前趋于年轻化[1]。人乳头瘤病毒(human papillomavirus,HPV)感染与子宫颈癌密切相关,HPV是人类肿瘤发病中可以确认的致癌病毒[2]。临床上有因不规范筛查、治疗导致子宫颈癌漏诊、误诊的情况,因此,探讨规范诊治CIN对发现早期子宫颈癌、阻断子宫颈癌的发生具有十分重要的意义。我们对我院CIN病例采用杂交捕获二代法(HC2法)检测HPV-DNA感染程度,同时用免疫组织化学染色检测CIN中p16和Ki-67的表达,现报道如下。
收集我科2013年1月至2015年8月子宫颈环形电切术切除标本,所有患者术前均经子宫颈薄层液基细胞学检查、HPV检测、阴道内窥镜下多点活组织检查初步诊断为CIN。患者临床资料完整且病理切片均由两位高年资病理学诊断医师共同给出诊断结果,根据受累子宫颈上皮细胞异型增生的程度及子宫颈受累范围划分为CINⅠ、CINⅡ、CINⅢ,其中35例CINⅠ,44例CINⅡ,20例CINⅢ。
免疫组织化学MaxVision染色试剂:鼠抗人p16 (MAB-0223)、Ki-67单克隆抗体(MAB-0129)、MaxVision(鼠)检测试剂盒(KIT-5001),均购自福州迈新生物技术开发有限公司。HC2法检测试剂:高危型HPV16、HPV18、HPV31、HPV33、HPV35、HPV39、HPV45、HPV51、HPV52、HPV56、HPV58、HPV59、HPV68复合DNA探针、裂解液、洗涤缓冲液、高危型HPV检测试剂盒,均为美国QIAGEN分子诊断公司产品。
标本经4%甲醛溶液固定,常规石蜡包埋,3 μm厚切片。常规脱蜡至水化,pH值6.0柠檬酸盐缓冲液抗原高压热修复2 min 30 s,蒸馏水冲洗。按免疫组织化学MaxVision法染色试剂盒说明书操作,p16和Ki-67分别用已知阳性的小细胞肺癌和皮肤基底细胞癌组织作为阳性对照,用PBS代替一抗作为阴性对照。
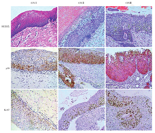
在400倍显微镜下观察。p16以在胞核或胞质,或胞核、胞质同时出现棕黄色为阳性。每例组织切片随机选择10个视野,计数1 000个细胞,统计阳性细胞的百分数,将阳性细胞按数量及显色强度分为4级:阳性细胞<10%为-;阳性细胞10%~30%,染色强度大部分较弱为+;阳性细胞>60 %,染色强度多为中至强染色为+++;介于二者之间为++。Ki-67阳性为胞核呈棕黄色,仅基底层细胞有表达为-;阳性细胞局灶或弥漫分布但低于子宫颈鳞状上皮下1/3为+;阳性细胞局灶或弥漫分布于子宫颈鳞状上皮2/3至全层为+++;介于两者之间为++。
用采样器从子宫颈管采集标本,将子宫颈管分泌物置于专用保存液中,应用美国Digene公司生产的DML-2000基因杂交扩大仪进行HC2操作,一次可以检测出13种高危型HPV。操作步骤按照说明书进行。用已知高危型HPV校准品作为阳性对照,用阴性校准品作为阴性对照。
应用Digene检测分析软件分析结果,计算和报告所有检测样本的RLU/CO和阳性/阴性值,HPV-DNA≥1.0 pg/L为检测阳性,HPV-DNA<1.0 pg/L为检测阴性。
采用SPSS 16.0统计软件分析数据,计数资料比较采用χ2检验,检验水准α =0.05。
p16蛋白在CINⅠ、CINⅡ、CINⅢ中的阳性表达率差异有统计学意义(P=0.00),Ki-67蛋白的阳性表达率差异无统计学意义(P=0.22)(表1,图1)。


p16、Ki-67蛋白用MaxVision法检测

不同级别CIN中p16和Ki-67蛋白的表达
不同级别CIN中p16和Ki-67蛋白的表达
| 组别 | 例数 | p16 | χ2值 | P值 | Ki-67 | χ2值 | P值 | |||||
|---|---|---|---|---|---|---|---|---|---|---|---|---|
| -(例) | +[例(%)] | -(例) | +[例(%)] | |||||||||
| CINⅠ | 35 | 12 | 23(65.7) | 8 | 27(77.1) | 3.00 | 0.22 | |||||
| CINⅡ | 44 | 1 | 43(97.7) | 21.30 | 0.00 | 9 | 35(79.5) | |||||
| CINⅢ | 20 | 0 | 20(100.0) | 1 | 19(95.0) | |||||||
注:CIN为子宫颈上皮内瘤变
高危型HPV-DNA在CINⅠ、CINⅡ、CINⅢ中的阳性表达率分别为31.4 %(11/35)、63.6 %(28/44)、85.0 %(17/20)。
HC2法是妇科常用的检测HPV的方法,准确性和特异性均较高,也是目前美国食品与药品监督管理局(FDA)认证的HPV主要检测方法之一。HPV检测对筛查子宫颈癌的重要性日益突显,2014年4月美国FDA建议并批准HPV检测作为临床诊断子宫颈癌的一线初筛工具,且在ASCCP Biennial会议上提出讨论[3]。近年来,研究已证实了HPV感染在子宫颈癌发生、发展中的作用,CIN属子宫颈癌前病变,对CIN的早期诊断及治疗已成为防治子宫颈癌的重要环节。Stoler等[4]研究证实HPV-DNA检测在CIN患者的分层处理中具有重要意义,本研究也显示出HPV检测阳性率随着CIN级别升高而增高。研究表明,虽然高危型HPV的存在提高了患者发展为CINⅡ~Ⅲ和子宫颈癌的风险,但大多数感染是暂时的,并不意味着已患CINⅡ~Ⅲ和子宫颈癌,患者可能仅仅处于HPV感染状态,未发生CIN,也可能处于子宫颈癌的前期。HC2高危型HPV-DNA检测结果阴性或结果正常意味着在此时间点上子宫颈鳞状上皮发展为CINⅡ~Ⅲ和子宫颈癌的风险较低,因此对评估其风险具有临床意义,但是没有足够的数据能确定临床相关较低风险的时间段。阴性结果不排除HPV感染的可能性,因为非常低水平的感染或采样失误可能会导致假阴性结果。
p16基因是细胞周期素依赖性激酶(CDK)抑制剂的典型代表,与多种肿瘤相关,是多种肿瘤的抑制基因,其基因产物对CDK4的活性有抑制作用,故也称为p16INK4a。p16过度表达提示正常细胞处于细胞周期的阻滞期,短时间的HPV感染不会影响细胞周期调控,而持续性感染HPV的细胞会异常增生,导致p16过度表达,因此p16过度表达可作为子宫颈病变的标志物[5,6]。2014年中国妇产科学术会议上,北京大学人民医院妇科赵昀教授特别强调了生物标志物p16INK4a组织学检测可提高子宫颈病变病理诊断的准确性,并指导子宫颈癌的临床诊疗,从而真正降低子宫颈癌的发病率和病死率[7]。本研究中p16蛋白在CINⅠ、CINⅡ、CINⅢ中的阳性表达率差异有统计学意义(χ2=21.30, P=0.00),提示其与CIN分级呈正相关性,结果与有关文献一致[8,9]。
Ki-67是一种标志着细胞周期进展及增殖期细胞的核抗原基因,其表达于细胞增殖周期的G1、S、G2期和M期,在G0期表达缺失。Ki-67的过度表达提示细胞处于增殖期[10]。在生理功能正常的细胞中p16与Ki-67的表达通常会相互拮抗,不会同时出现;若两者同时过度表达,则提示pRb蛋白失活,细胞周期调控失调。本研究在我院HPV检测结果数据库的基础上诊断性评估并解释了CIN的阶段性,尤其CINⅡ是目前切除治疗的阈值。美国阴道镜及子宫颈病理学会(ASCCP)发布的2013年子宫颈癌筛查和癌前病变管理指南指出,对阴道内窥镜下活组织检查明确为CINⅠ的病例,建议密切随访;若阴道镜检查发现为CINⅡ,大多可采用切除性或破坏性治疗(青春期女性和年轻女性除外)[11]。因此,在组织切片中同时检测p16与Ki-67蛋白表达可作为细胞周期失调的标志物,其与高危型HPV诱导的致癌性转化相关,能够帮助检出真正的病变细胞,且不依赖于形态学检查结果。当p16或Ki-67检测阳性时,可强烈提示CINⅡ、CINⅢ。判定子宫颈病变除了观察Ki-67表达强度外,最重要的是观察其出现的部位,如CINⅠ时,Ki-67阳性细胞局限在上皮层下1/3,而CINⅡ~Ⅲ时则大量的上皮表层细胞出现Ki-67阳性。一例p16连续、弥漫强阳性的病例,如果Ki-67阳性细胞分布在基底层以上,即使阳性细胞数量很少,也不能除外高级别CIN的可能[12]。细胞的增殖状态可通过Ki-67的表达来反映,而子宫颈组织中p16的高表达则预示着细胞已启动癌变程序,具有恶性演进的倾向性。随着子宫颈病变的加重,p16及Ki-67的表达逐渐增高,Ki-67与p16相比,具有相似的作用,但还没有更好的数据证实。
























