
版权归中华医学会所有。
未经授权,不得转载、摘编本刊文章,不得使用本刊的版式设计。
除非特别声明,本刊刊出的所有文章不代表中华医学会和本刊编委会的观点。
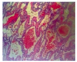
女性,49岁。主因双下肢麻木、无力7个月余入院。专科查体:腰椎活动受限,上腰段棘突压痛叩击痛,可向双下肢放射,双下肢自腹股沟以远痛觉减退,双下肢各肌肌力约为Ⅳ级,双侧膝腱反射减弱,双侧跟腱反射未引出,双下肢病理征未引出。磁共振成像(MRI)提示:腰1~2椎体水平椎管内硬膜外可见椭圆形T1W1等信号(图1A),T2W2高信号(图1B),信号均匀,边缘清楚,大小约为4.2 cm×1.3 cm,脊髓圆锥受压,椎管矢状径减小。在全身麻醉下行手术切除,术中可见肿物呈红褐色,质地软,与脊髓硬脊膜紧密粘连,小心完整地切除肿瘤组织。术后病理结果为非椎体起源海绵状血管瘤(图2)。患者术后双下肢麻木感明显减轻,自觉双下肢轻松感,术后3个月随访时,双下肢肌力基本恢复正常。


1A:均匀T1等信号;1B:均匀T2高信号


管内肿瘤可依据部位分为硬膜外、硬膜下髓外、脊髓内,其中硬膜下脊髓外肿瘤最多见,神经鞘瘤及脊膜瘤多见,椎管内硬膜外血管瘤较少见,可占椎管内硬膜外肿瘤的4 %,占脊髓血管病变约12 %[1],多见于椎体海绵状血管瘤侵犯硬膜外空间。非椎体起源的海绵状血管瘤是临床上一种少见的良性病变,多见于25~55岁成年人,男性略多,部位以胸腰段为主,临床报道较少[2,3]。目前认为海绵状血管瘤为中胚层发育不良的窦状血管形成的血管畸形。硬膜外海绵状血管瘤的临床表现为相应节段脊髓或神经受压迫所产生的症状,可引起麻木、疼痛等,表现为肌力减小,痛温觉较弱,高位脊髓受压时可产生肌张力增高,病理征阳性等[2],需与胸椎管狭窄症及腰椎间盘突出症相鉴别。本例患者即表现为腰1~2脊髓受压,所表现出的临床症状相符。其症状反复,进展缓慢,剧烈运动、外伤等可导致症状急性发作,可能是由于反复出血引起肿瘤体积增大所致,临床上以慢性渐进性为主[4]。本例患者也因双下肢症状逐渐加重而入院。
腰椎椎管内硬膜外海绵状血管瘤以手术切除为临床首选方式,应尽可能完整切除,术中对于关节突关节及广泛的椎板切除患者,一般需行椎弓根钉棒固定后外侧融合术,避免手术影响脊柱的稳定性。
无





















