
探讨子宫肌瘤子宫动脉栓塞术(UAE)前后磁共振成像(MRI)信号及体积变化在评估治疗效果中的意义。
回顾性分析30例子宫肌瘤患者资料,共选取50个肌瘤。患者在UAE前及术后3、6、12个月行盆腔MRI常规扫描,分别根据肌瘤的生长部位、信号特点及肌瘤体积分组,观察肌瘤的MRI信号变化,测量肌瘤的体积,比较各组肌瘤体积缩小率之间的差异。
UAE后3、6、12个月复查示,肌瘤T2WI信号明显减低,部分肌瘤T1WI信号增高,肌瘤体积呈进行性缩小,多数患者3个月以内缩小明显。以术后12个月肌瘤体积缩小率评价,黏膜下肌瘤体积缩小明显,与肌壁间肌瘤、浆膜下肌瘤比较,差异有统计学意义(88.9%比73.7 %、68.3 %,P=0.036, P=0.019),后二者差异无统计学意义(P=0.384);富于细胞性肌瘤的体积缩小率高于普通未变性肌瘤、变性肌瘤,差异有统计学意义(85.7 %比72.1 %、63.4 %,P=0.038, P=0.014),后二者差异无统计学意义(P=0.364);体积≥35 cm3的肌瘤较体积<35 cm3的肌瘤体积缩小明显(75.2%比59.6%,χ2=4.563, P=0.044)。
MRI是评估UAE治疗效果的有效方法,不同类型的肌瘤对UAE的敏感性不同,MRI可为其提供指导。
版权归中华医学会所有。
未经授权,不得转载、摘编本刊文章,不得使用本刊的版式设计。
除非特别声明,本刊刊出的所有文章不代表中华医学会和本刊编委会的观点。
子宫肌瘤是女性生殖系统最常见的良性肿瘤,约25%的子宫肌瘤有症状且需要治疗[1]。子宫动脉栓塞术(uterine arterial embolization,UAE)作为一种子宫肌瘤的微创治疗方法,因其不良反应轻、恢复快、临床症状改善明显、可保留生育功能等优势而日益普及。近年国内外有关UAE治疗后磁共振成像(MRI)对子宫肌瘤的评估有报道,但对不同部位、不同类型、不同体积子宫肌瘤介入治疗后长时间(>1年)的MRI评估随访报道较少,有关UAE的适应证争议较大[2,3,4]。本研究将子宫肌瘤按照生长部位、信号特点、体积大小分组,分别对肌瘤UAE治疗前后的MRI进行比较,旨在评价MRI对于UAE的评估价值。
回顾性分析我院2009年1月至2010年3月临床诊断为子宫肌瘤并行UAE的30例患者的资料,盆腔MRI检查均为术前1天至术前10天,平均年龄(43.6± 4.3)岁(33~ 50岁),症状为月经量过多或经期延长者12例,其他包括贫血、腰疼、下腹不适、痛经等,无明显症状者5例。患者行选择性UAE,术后分别于3、6、12个月行盆腔MRI扫描,观察肌瘤的信号变化、测量肌瘤的体积并分组记录,比较UAE对不同肌瘤的疗效差异。
使用美国GE公司Signa HDe 1.5T超导磁共振仪,患者无宫内节育器,采用体部线圈行常规盆腔扫描,少数患者呼吸运动伪影较大,应用呼吸补偿技术。行横断位T2WI压脂像、T1WI,视野(FOV)32 cm×32 cm,层厚6.0 mm,层间隔1.0 mm, T2WI采用FSE序列,重复时间(TR) 3 600~ 3 900 ms,回波时间(TE)98~ 104 ms,矩阵320 × 224,激励次数(NEX)为4;T1WI采用FSE序列,TR 540 ms,TE 10 ms,矩阵320×192, NEX为2;矢状位T2WI压脂像采用FSE序列,TR 3 400 ms, TE 104 ms, NEX为4,矩阵320×256,FOV 28 cm×28 cm,层厚5.0 mm,间隔1.0 mm。部分患者加做冠状位T2WI补充。
30例患者均采用Seldinger术经皮右侧股动脉穿刺插管,使用5F子宫动脉导管行腹主动脉下端造影后,了解子宫动脉走行。导管成袢后,选择对侧髂内动脉造影,了解子宫动脉的开口、分叉及走行情况,选择性插管入子宫动脉后再次确认子宫动脉的走行、分支情况以及子宫肌瘤的供血情况,将栓塞材料聚乙烯醇(PVA)颗粒(直径500~ 710 μm,美国Cook公司)置入5 ml注射器,与60%浓度的对比剂混匀后在透视下注入,以肌瘤血管消失、子宫动脉内血流缓慢和铸型为栓塞满意,栓塞材料用量依肌瘤大小及血供程度而定。退出导管后再行同侧子宫动脉栓塞。
由两名影像科主治医师独立阅片,分析肌瘤的MRI特点,意见不一致时,经商议后作出决定。单发者均入选,多发者选取肌瘤最大截面直径最大者、信号不典型者,黏膜下肌瘤和浆膜下肌瘤均入选。
肌瘤体积按公式4πabc/3计算,其中a、b、c分别代表肌瘤横断面、矢状面、冠状面3个最大层面最大半径值。肌瘤体积改变用体积缩小率表示[5]。
体积缩小率(%)=(UAE术前肌瘤体积-UAE术后肌瘤体积)/UAE术前肌瘤体积×100 %
将肌瘤分别按生长部位、信号特点、体积大小分组。按生长部位分为肌壁间肌瘤、浆膜下肌瘤、黏膜下肌瘤三组;按肌瘤的MRI信号特点分为普通未变性肌瘤、富于细胞性肌瘤、变性肌瘤三组;按体积大小分为体积≥35 cm3、<35 cm3两组。分别计算各组肌瘤在UAE后3、6、12个月的平均体积缩小率,最后比较12个月的肌瘤体积缩小率之间的差异。
使用SPSS 17.0软件进行统计学分析,不同组别之间体积缩小率的比较采用方差分析,体积不同的两组肌瘤之间体积缩小率差异的比较采用t检验,检验水准为α=0.05。
因2个黏膜下肌瘤分别于术后第23天、第64天在医生帮助下钳夹脱落,统计中排除出组。术后3个月对48个肌瘤行盆腔MRI扫描,42个呈T2WI低信号,较术前信号明显减低,其中18个肌瘤呈T1WI高、稍高信号,部分信号不均,其余24个为低信号;6个肌瘤局部或大部呈T2WI高信号,其中肌壁间肌瘤4个,浆膜下肌瘤2个。术后6、12个月肌瘤信号无明显变化。1个黏膜下肌瘤完全消失,3个T2WI呈明显低信号,体积明显缩小,呈不规则扁圆形。
根据MRI信号特点将48个可评估肌瘤分组,行选择性UAE,本组病例均手术操作成功,未发生手术并发症,术后经抗感染及对症处理,患者恢复良好。术后分别于3、6、12个月行盆腔MRI扫描,测量肌瘤的体积大小(图1、图2)。UAE术后12个月,富于细胞性肌瘤体积缩小率高于普通未变性肌瘤和变性肌瘤,差异有统计学意义(P=0.038 ,P=0.014),而后二者之间差异无统计学意义(P=0.364)。体积≥35 cm3的肌瘤体积缩小率高于体积<35 cm3的肌瘤,差异有统计学意义(P=0.044)。黏膜下肌瘤的体积缩小率高于肌壁间肌瘤和浆膜下肌瘤(P=0.036 ,P=0.019 ),肌壁间肌瘤体积缩小率高于浆膜下肌瘤,但差异无统计学意义(P=0.384)(表1)。UAE术后肌瘤体积缩小以3个月内明显,尤其是富于细胞性肌瘤、黏膜下肌瘤体积缩小明显,达到70%左右,以后逐渐变慢,6个月以后体积缩小缓慢。黏膜下肌瘤可自行脱落,或在医生帮助下钳夹脱落,达到治愈目的。


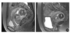
1A:介入治疗前,1号肌瘤呈类圆形低信号肿块影,边界清楚,周围环绕高信号,大小3.0 cm×4.2 cm×3.6 cm; 2号为后壁肌壁间肌瘤,部分凸入黏膜下,宫腔受压变形;1B:介入治疗后12个月,1号肌瘤呈极低信号,体积缩小率为51.8 %;2号肌瘤信号增高,与肌层信号接近,考虑肌瘤水肿所致,体积无明显变化


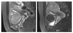
2A:介入治疗前,子宫前壁圆形肿块影,呈等信号为主,大小5.0 cm× 5.5 cm×6.0 cm,周围环绕高信号影,子宫腔无明显受压;2B:介入治疗后12个月,肿块呈明显低信号,体积缩小,大小3.2 cm×3.5 cm×3.2 cm,体积缩小率为78.3 %

不同磁共振成像(MRI)分型的子宫肌瘤动脉栓塞术前后平均体积缩小率比较(%)
不同磁共振成像(MRI)分型的子宫肌瘤动脉栓塞术前后平均体积缩小率比较(%)
| 肌瘤类型 | 个数 | 术后3个月 | 术后6个月 | 术后12个月 | |
|---|---|---|---|---|---|
| 信号特点 | |||||
| 普通未变性 | 24 | 50.6 | 66.5 | 72.1 | |
| 富于细胞性 | 14 | 68.2 | 78.7 | 85.7 | |
| 变性 | 10 | 42.4 | 56.5 | 63.4 | |
| 体积大小 | |||||
| ≥35 cm3 | 23 | 52.2 | 62.7 | 75.2 | |
| <35 cm3 | 25 | 46.8 | 54.8 | 59.6 | |
| 生长部位 | |||||
| 肌壁间 | 35 | 52.2 | 64.4 | 73.7 | |
| 浆膜下 | 9 | 47.4 | 59.8 | 68.3 | |
| 黏膜下 | 4 | 74.5 | 78.1 | 88.9 | |
子宫肌瘤传统的治疗方法主要是手术切除,但影响生育功能,现代女性有妊娠期延后以及保留生育功能的要求,自1991年UAE应用于临床后,逐渐获得了一定的认可和推广[7]。
子宫肌瘤绝大部分为富血管性肌瘤,UAE可栓塞肌瘤血管而导致其发生急性缺血坏死,子宫因具有强大的交通血管网储备功能,而且对缺血、缺氧耐受力高,受影响轻微。UAE治疗后,肌瘤发生凝固性坏死,电子显微镜下UAE术后1 h即可出现细胞超微结构的缺氧改变,术后24 h细胞核畸变,术后48 h胞质中大部分细胞器结构消失,细胞核溶解,肌瘤细胞短时间内出现不可逆改变。发生凝固性坏死的肌瘤T2WI呈极低信号,部分肌瘤T1WI呈高信号,本组见18个,与文献报道T1WI信号减低不相符,可能与出血性梗死、组织变性有关。极少数肌瘤UAE治疗后仅发生水肿,T2WI信号增高。本组有6个肌瘤T2WI局部或大部呈高信号,较术前信号增高,其中肌壁间肌瘤4个,浆膜下肌瘤2个,考虑除手术栓塞不完全外,可能存在侧支血管供血,亦可能肌瘤血供不丰富导致栓塞效果不佳,肌瘤仅发生水肿或部分坏死[8,9,10,11,12]。
本组中不同类型肌瘤的体积缩小率不同,富于细胞性肌瘤高于普通未变性肌瘤和变性肌瘤,后二者之间差异无统计学意义(P>0.05 ),均达到60%以上。这可能与富于细胞性肌瘤细胞含量丰富、胶原纤维含量极少、含水量大、质软有关,而普通未变性肌瘤含有较多胶原纤维、含水量少,发生坏死后体积缩小较少,变性肌瘤局部已坏死,而且血供相对较差,因此体积缩小较少。对于不同大小的肌瘤,UAE术后肌瘤体积缩小率亦不同。本组病例中体积≥35 cm3的肌瘤体积缩小率高于体积<35 cm3的肌瘤。这可能与体积较大肌瘤血供更丰富、栓塞更完全有关,而体积较小的肌瘤血供较差,仅携带少量栓塞剂到达肌瘤。对于不同部位的肌瘤,黏膜下肌瘤的平均体积缩小率高于肌壁间和浆膜下肌瘤,黏膜下肌瘤的平均体积缩小率与后二者比较差异有统计学意义(P<0.05 ),后二者之间差异无统计学意义(P>0.05)。这可能与子宫的血供有关,子宫动脉优先供应子宫肌层中央2/3和子宫内膜,可以携带更多的栓塞剂到达黏膜下血管,外肌层血供相对较差。本组黏膜下肌瘤6个,2个在医生帮助下钳夹脱落,统计中排除出组,另4个肌瘤体积明显缩小,因病例太少,可能存在统计偏差。需要特别指出,UAE术后浆膜下肌瘤虽然体积缩小较显著,但缩小的肌瘤仍存在发生扭转的隐患,因此应以手术切除为最佳方案[13,14,15,16,17]。
UAE术后肌瘤体积逐渐缩小,以3个月内明显,尤其是富于细胞性肌瘤和黏膜下肌瘤,可达70%左右,6个月以后体积缩小缓慢。黏膜下肌瘤可自行脱落,或在医生帮助下钳夹脱落,达到治愈目的。有报道显示肌瘤在UAE术后1~ 3个月萎缩最快,3~ 6个月次之,12个月后萎缩很少或不再改变,与本组病例相符。UAE的治疗效果不仅体现在肌瘤体积缩小,还体现在肌瘤细胞坏死后自分泌现象消失,对子宫平滑肌的刺激消失,能缓解或消除一系列症状,而且在较长时间内不会出现肌瘤再发[18,19,20,21]。
本组病例只进行了单个肌瘤的体积缩小率对比,对于多发肌瘤的治疗效果还有待进一步研究。UAE治疗是否会引起卵巢、子宫内膜的功能障碍,有无术后复发等问题,还有待中远期病例的进一步随访。
综上,MRI可用于UAE术后肌瘤体积变化的监测及疗效评估。UAE治疗子宫肌瘤近期疗效确切。不同子宫肌瘤治疗后体积缩小率有差异,尤其以体积较大的未变性肌瘤、富于细胞性肌瘤及黏膜下肌瘤为著。需特别指出的是,UAE并非适用于所有子宫肌瘤患者,但能保留子宫且疗效确切,对不愿、不适合手术切除的患者,UAE不失为一个有效的治疗手段。UAE手术及MRI检查费用昂贵,术后第一次MRI检查可观察疗效,监测肌瘤大小变化可用超声替代,将大大节省医疗费用。
无





















