
版权归中华医学会所有。
未经授权,不得转载、摘编本刊文章,不得使用本刊的版式设计。
除非特别声明,本刊刊出的所有文章不代表中华医学会和本刊编委会的观点。
患者 女性,51岁,全子宫切除术后2年,因下腹胀痛2个月入青岛大学医学院附属威海医院。患者2个月前无明显诱因出现间断性下腹胀痛,伴有尿频、尿急,无尿痛,大便次数增多,每天3~4次,稀便,无黏液脓血;患病期间无阴道出血,无恶心、呕吐,口服止泻药后无明显改善。查体:体温36.2 ℃,脉搏78次/min,呼吸20次/min,血压120/80 mmHg(1 mmHg=0.133 kPa)。心肺检查无异常,全腹膨隆,如孕足月,未触及明确包块边界,未见胃肠型及蠕动波,无压痛及反跳痛,肝脾肋缘下未触及,墨菲氏征阴性,移动性浊音阴性,双下肢无水肿。妇科检查示:外阴已婚已产型,阴道通畅,盆腔可触及巨大包块下极,质硬,不活动,无压痛。实验室检查示:糖类抗原(CA)125、CA199正常。盆腔CT示:腹盆腔可见16.6 cm×14.0 cm囊实性包块,内部见强化分隔。压迫肠管及膀胱,双侧肾盂输尿管受压扩张积液。考虑腹盆腔巨大囊实性肿物,附件恶性肿瘤来源可能性大。盆腔磁共振成像(MRI)平扫示:17.0 cm×14.5 cm卵圆形囊实性肿块,周缘可见包膜,T1WI及T2WI呈低信号,内部信号混杂,T1WI呈稍低及等信号,T2WI呈高及等信号。盆腔彩色超声示:右侧附件区占位,大小18.5 cm×15.0 cm,边界清晰,内部可见囊实性回声。胃镜、肠镜检查均未见明显异常,胸部X线片未见明显异常。术前讨论,诊断为盆腹腔包块,来源不明,卵巢恶性肿瘤可能行大,不排除肠道病变。在全身麻醉下行经腹盆、腹腔包块切除术,术中见腹盆腔巨大包块,包块与膀胱及肠管致密粘连,边界不清。肿瘤与空肠致密粘连压迫肠管。左侧卵巢及输卵管外观未见明显异常,右侧附件区可见巨大肿物。术中冷冻病理诊断为卵巢恶性肿瘤,具体待石蜡常规病理诊断。
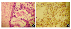
大体标本:(盆腹腔)肿物大小24.0 cm×21.0 cm×8.0 cm,未见明显包膜,切面灰白、灰黄相间,部分区域呈胶冻状,局部囊性,见有囊腔,内为黄色清亮液体,部分带黏液。另见一部分区域似坏死,呈灰白色。显微镜下检查:肿瘤组织由富细胞区、致密胶原纤维及水肿疏松区分形成假小叶结构。假小叶内部分区域细胞多样化,富有圆形或多角形的上皮样细胞及梭形细胞,核圆形或梭形,核分裂象偶见(图1)。部分区域上皮样细胞胞质丰富而透亮,核圆形或卵圆形,部分细胞核偏于一侧,形状如印戒细胞。瘤细胞间富含薄壁血管。免疫组织化学染色结果:瘤细胞Vimentin、CK、S-100、CD99均阳性(图2);CD117、CD34、CK5、EMA、CEA、Calretimin、Actin、CD10、α-inhibin均阴性;Ki-67(约10%)。石蜡常规病理结合免疫组织化学诊断:考虑(右侧)卵巢硬化性间质瘤(SST)。


SST是一种少见的良性肿瘤,1973年被Chalvand和Scully[1]首次报道并命名。1999年世界卫生组织(WHO)首次把SST归类于卵巢性索-间质肿瘤中卵泡膜-纤维瘤的亚型,2014年新版WHO分类又将其归于卵巢性索-间质肿瘤中纯间质肿瘤的亚型[2]。SST病因不明,临床表现无特异性,病理组织学改变独特,极易造成误诊。
SST占卵巢性索间质肿瘤的1.5%~6.0%,好发于20~30岁的年轻女性。主要临床表现为月经不规则、月经过多、盆腔肿块、下腹部疼痛[3]。SST常发生于单侧卵巢,冯敏等[4]分析了13例SST病例均为单侧发病,血浆中睾酮、雌激素水平可升高,推测该肿瘤细胞具有内分泌活性,但肿瘤标志物CA125、CA199一般不升高,个别可轻度升高。周欣等[5]回顾分析了38例SST患者,发现其中仅9例CA125升高。
SST误诊率高,临床上需与下述几种卵巢病变相鉴别。卵泡膜细胞瘤、纤维瘤通常发生于50~60岁的绝经后女性,卵泡膜细胞瘤具有分泌雌激素的功能而纤维瘤无分泌雌激素的功能,钙结合蛋白、抑制素、CD34、谷胱甘肽S-转移酶阳性可区分其他的性索间质肿瘤[6]。Krukenberg肿瘤是一种转移性卵巢癌,好发于绝经前妇女,最常见的原发部位为胃肠道,累及双侧卵巢,卵巢常保持原有形状,呈肾形。表面光滑或有结节,质地硬,很少有粘连,外有完整包膜。其他需要鉴别的还有卵巢粒层细胞瘤、血管外皮细胞瘤等。
SST确诊只有通过病理组织学检查,其镜下典型的特征为瘤细胞形态不一,被胶原纤维或疏松水肿分隔成假小叶结构,以圆形或多角形的上皮样细胞为主,核分裂不常见,内含脂质,类似印戒细胞,间质具有丰富的薄壁血管。免疫组织化学染色显示瘤细胞α-inhibin、Actin、Calretinin、Vimentin、SMA均阳性,PCK、CEA、PSA均阴性,苏丹Ⅲ阳性[7]。
本例患者全子宫切除术后2年,以下腹胀痛为首发症状,妇科检查发现盆腔巨大包块,质硬,不活动,无压痛。盆腔CT考虑腹盆腔巨大囊实性肿物,附件恶性肿瘤来源可能性大,结合盆腔MRI平扫及彩色超声检查,术前考虑恶性的可能性较大。术中见腹盆腔巨大包块,包块与膀胱及肠管致密粘连,边界不清。肿瘤与空肠致密粘连压迫肠管。术中冷冻病理诊断提示卵巢恶性肿瘤。石蜡常规病理结合免疫组织化学检查考虑SST。SST发病率极低,全子宫切除术后的老年患者目前尚鲜见报道,临床医生对该肿瘤的认识往往不足,极易误诊。临床医生应熟悉各种卵巢疾病的特征,结合临床症状、妇科检查、相关实验室检查仔细分析,并根据术中情况给予正确的判断,避免误诊。
SST临床少见,诊断主要依靠术后常规病理,术前易误诊,手术切除预后良好,无复发。SST的症状、体征及辅助检查结果之间并不平行,免疫组织化学等辅助检查的应用提高了SST的诊断率,但仍有一定缺陷,最终确诊依靠术后病理结果[8]。
无





















