
探讨Von Hippel-Lindau综合征(VHL综合征)的诊断及治疗策略。
回顾3例VHL综合征的临床表现,并进行相关文献复习。
3例患者均经病理及影像学诊断为VHL综合征:1例为右侧额叶血管母细胞瘤及肾透明细胞癌(VHL 1型),经手术治疗后,随访19个月无病情变化;1例为小脑血管母细胞瘤、胰腺、肾上腺囊肿及双肾占位(VHL 1型),在随访8年后肾脏占位逐渐增大并恶变;1例为小脑血管母细胞瘤及右侧肾上腺嗜铬细胞瘤(VHL 2a型),随访80个月无进展。
VHL综合征的诊断必须依靠病理及影像学,根据具体类型选择相应的治疗策略;对于存在多发胰腺囊肿、肾脏囊肿者,应长期随访观察;有VHL综合征家族史的疑似患者应完善相关分子生物学检测,提供相应的遗传咨询及随访管理。
版权归中华医学会所有。
未经授权,不得转载、摘编本刊文章,不得使用本刊的版式设计。
除非特别声明,本刊刊出的所有文章不代表中华医学会和本刊编委会的观点。
Von Hippel-Lindau综合征(VHL综合征)是一种罕见的常染色体显性遗传疾病,主要引起中枢神经系统和视网膜血管母细胞瘤、内淋巴囊肿瘤、肾癌、肾囊肿或肾上腺嗜铬细胞瘤、胰腺囊肿或肿瘤、附睾囊腺瘤以及其他一些少见病变[1,2,3]。现回顾分析我院经治的3例符合VHL综合征表现的患者资料,并结合文献报道如下。
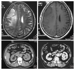
例1,男性,67岁。2012年当地体检胸腹部CT示左肾占位,当时无尿频、尿急、尿痛、腰痛、血尿等症状,未予重视。2015年4月下旬起患者出现左下肢无力,并逐渐加重,偶有头晕。2015年6月初当地医院头颅磁共振成像(MRI)示:右侧额叶占位灶(图1A、图1B)。2015年6月中旬腹部CT示:左肾肾盂处占位性病灶(图1C、图1D)。入院后予脱水等对症处理,但患者左下肢无力仍逐渐加重,左下肢肌力下降(Ⅳ+)。2015年6月19日在全身麻醉下行"右侧额叶占位切除术" 。病理:血管母细胞瘤[世界卫生组织(WHO)Ⅰ级]。免疫组织化学:VHL+++,血管内皮生长因子受体(EGFR)+++,CD10-,CK7-,CD117-,HMB-45-,Melan-A-,CA-9-,Ki-67+ 5 %。网状纤维染色(-)。2015年7月8日在腹腔镜下行"根治性左肾及肾盂切除术" ,病理示:左肾透明细胞癌(Ⅱ级),肾包膜、输尿管切端未见癌组织累及。该患者为右侧额叶血管母细胞瘤及肾透明细胞癌(VHL 1型),目前无肢体活动障碍,无视力视野改变,无血尿、腰痛不适,仍在随访中。


1A:颅脑MRI示右额叶T2WI以长T2为主的信号区;1B:MRI示右额叶T1WI等信号区;1C:CT示左肾肾盂占位;1D:CT示左肾肾盂占位较前增大,增强动脉期呈均匀性强化
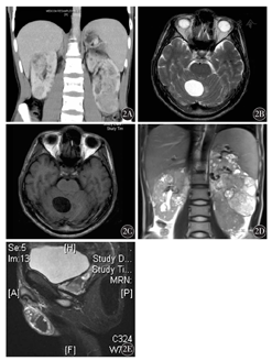
例2,男性,29岁。2007年8月底体检腹部超声示:双肾多发性局灶性多囊性或潜在多囊性病灶;胰腺多发性囊肿;左侧肾上腺区多囊性病灶;双侧附睾头多囊性病灶。因多发囊肿不宜手术处理,密切随访。2012年12月19日复查CT:双肾囊肿,双肾癌变可能,胰腺囊肿(图2A),建议穿刺活组织检查,患者及家属拒绝。2014年12月10日患者头晕伴恶心、呕吐,伴步态不稳,休息后稍缓解;头颅MRI示:小脑囊性占位。2014年12月24日患者再次出现头晕、恶心,喷射状呕吐;急查头颅MRI示:右侧小脑半球囊实性占位,囊壁不强化,上极可见强化结节(图2B、图2C)。入院后予脱水、对症支持治疗后症状缓解,2014年12月31日在全身麻醉下行"经枕后正中入路肿瘤切除术" ,术后病理:小脑血管母细胞瘤(WHOⅠ级)。免疫组织化学:GFAP-,EMA-,Olig-2-,Ki-67+ 2 %,CD34++,Syn-,α-inhibin 1+,D2-40-。2015年6月19日复查CT:双肾多发占位明显增大(图2D、图2E)。患者为小脑血管母细胞瘤、胰腺、肾上腺囊肿及双肾占位(VHL 1型),放弃继续诊治,仍在随访中。


2A:腹部CT,双肾多发占位,左侧肾上腺、双肾多发囊肿;2B:颅脑MRI,小脑半球T2WI以长T2为主的信号区;2C:颅脑MRI,小脑半球T1WI低信号区;2D:腹部MRI,双肾多发占位,较前明显增大,左侧肾上腺、双肾多发囊肿;2E:MRI附睾囊肿
例3,男性,51岁。2009年11月初无明显诱因出现头痛,非放射性,休息后可自行缓解,伴乏力,后因右下肢无力而摔倒,当地医院头颅MRI示:左侧小脑占位,脑积液;增强扫描示左侧桥小脑角区、视交叉下方占位。腹部CT示:右侧肾上腺占位。入院查皮质醇、醛固酮、血管紧张素均在正常范围。2009年12月16日在全身麻醉下行"左侧小脑肿瘤切除术" ,病理:血管母细胞瘤。2010年5月5日在全身麻醉下行"右侧肾上腺肿瘤切除术" ,术后病理示:右侧肾上腺嗜铬细胞瘤(恶性潜能不定)。免疫组织化学:Syn+++,CgA+++,S100(+),α-inhibin-,Ki-67+ 1 %。2014年5月6日复查头颅CT:右侧小脑占位。再次全身麻醉下行"右侧小脑肿块切除术" ,术后病理:血管母细胞瘤。此患者为小脑血管母细胞瘤及右侧肾上腺嗜铬细胞瘤(VHL 2a型),目前患者一般情况好,无头晕、头痛、恶心、呕吐等不良反应,仍在随访中。
VHL综合征是由VHL基因种系突变引起的,发病年龄在26~30岁前,国外报道发病率为1/3.60万~1/4.55万,男女发病率相似,女性死亡率高于男性[1]。目前多采用Gossage等[2]提出的临床诊断标准:(1)有VHL综合征家族史的患者存在中枢神经系统血管母细胞瘤、视网膜血管母细胞瘤或一种内脏病变;(2)无VHL综合征家族史的患者,有2种或2种以上血管母细胞瘤或1种血管母细胞瘤伴1种内脏病变。同时,根据是否合并嗜铬细胞瘤分为2种[3]:VHL 1型(发病率占10 %):包括视网膜血管母细胞瘤、中枢神经系统血管母细胞瘤,肾透明细胞癌;VHL 2型(发病率占40 %~60 %),分为2a型:嗜铬细胞瘤、视网膜血管母细胞瘤、中枢神经系统血管母细胞瘤、胰岛肿瘤;2b型:嗜铬细胞瘤、视网膜血管母细胞瘤、中枢神经系统血管母细胞瘤、胰岛肿瘤、肾透明细胞癌;2c型:嗜铬细胞瘤。本组例1患者为中枢神经系统血管母细胞瘤及肾透明细胞癌,属于VHL 1型;例2患者是VHL1型,表现为双肾多发囊肿、左侧肾上腺囊肿、胰腺囊肿、附睾头囊肿及小脑血管母细胞瘤,随访中发现双肾病灶恶变可能;例3为小脑血管母细胞瘤及嗜铬细胞瘤,为VHL 2a型。
根据不同类型的VHL综合征,临床表现往往不同,采取的治疗手段也有所不同:(1)视网膜血管瘤可导致视野缺损,<3 mm表现为红色斑点,否则表现为结节样渗出影,大部分对激光光凝或冷冻治疗反应好[4]。(2)中枢神经系统血管母细胞瘤可表现为头痛、呕吐、步态障碍或共济失调等,对于小脑的单一外周血管母细胞瘤手术治疗效果好,而多发肿瘤、脑干及脊髓肿瘤的手术难度大[5],死亡率相对较高,全脑放疗是可供选择的方式之一[6],同时也有semaxinib、舒尼替尼、沙利度胺及贝伐单抗等抗血管生成药物治疗成功的案例报道[7]。(3)内淋巴囊肿瘤是良性肿瘤但会导致局部浸润,出现失衡、耳闷、听力下降甚至突发性耳聋,>3 cm的病灶可导致面神经管受损,出现同侧面部神经麻痹,及时手术是治疗的关键[8]。(4)多发性肾囊肿若恶变可考虑根治性肾切除术和保留肾单位肿瘤切除术,手术同时尽量保留肾上腺[9]。肿瘤<3 cm的肾癌可考虑行射频消融术及冷冻消融术[10]。重复肾手术可能导致肾功能损害,最终将需要肾移植。而转移性肾透明细胞癌,往往采取索拉菲尼、舒尼替尼、依维莫司等靶向治疗[11,12]。嗜铬细胞瘤若激素分泌异常,间位碘代苄胍摄取及肿瘤>3.5 cm,则考虑采取肾上腺部分切除术[13]。(5)胰腺单纯性囊肿及无症状的浆液囊腺瘤,一般无需手术切除;一旦胰头部囊肿导致胆道梗阻,可考虑手术处理;而胰腺神经内分泌肿瘤生长缓慢,但易远处转移,胰腺体尾部肿瘤>3 cm,胰头部肿瘤>2 cm,则需手术切除[14]。对肿瘤>3 cm、外显子3突变、500 d内肿瘤倍数增长为高风险转移指标,转移最常见于肝脏,可考虑射频消融及介入化疗的联合治疗[15]。(6)附睾肿瘤往往无明显症状,若双侧病变,可导致不孕不育,需手术治疗[16]。女性阔韧带上的乳头状囊腺瘤则更为罕见,往往在剖宫产时发现并手术治疗[17]。例1患者以"左下肢无力"起病,经"右侧额叶占位切除术"及微创"左肾及肾盂切除术"治疗后,恢复尚可;例2体检发现双肾囊肿,后出现头晕、恶心、呕吐、步态不稳,随访过程中出现双肾恶变;例3患者因头痛起病,影像检查发现小脑及右侧肾上腺占位,手术后无瘤生存至今。
VHL综合征患者预后不佳,往往因为肾癌、中枢神经系统肿瘤死亡,平均年龄49岁[17],因此早发现早处理是提高生存率的关键。对于患有或怀疑VHL综合征的患者、无家族史的VHL相关肿瘤患者,可通过实时定量聚合酶链反应(PCR)、远程PCR、多重连接探针扩增(MLPA)、基因/染色体片段的染色体微阵列(CMA)检测致病突变,以便确定是否存在致病突变。对于具有VHL致病突变基因的个人和未知遗传状况的存在高致病风险的患者亲属,需定期监测及早发现、及早处理[17]。因基因检测费用较高、对可能患病的承受压力的担忧,患者亲属拒绝检查。因此无法对所有患者的家族史进一步了解,未行基因突变检测进一步分析突变情况,但提示临床工作对于中枢神经系统血管母细胞瘤、胰腺囊肿、腹腔多发肿瘤、肾脏肿瘤等病变患者,需完善相关检查,追溯病史及家族情况,考虑是否存在VHL综合征可能。对已证实为VHL综合征的患者,需完善家族资料及基因检测,制定合理有效的随访检测策略,为遗传咨询、基因治疗、靶向治疗等个体化预防及治疗提供重要信息。
无





















