
版权归中华医学会所有。
未经授权,不得转载、摘编本刊文章,不得使用本刊的版式设计。
除非特别声明,本刊刊出的所有文章不代表中华医学会和本刊编委会的观点。
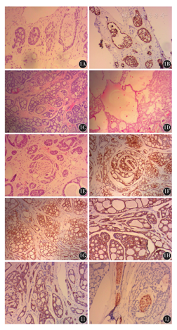
患者男性,52岁,于2016年7月因会阴部疼痛半年伴排尿困难1个月余入院,患者半年前开始逐渐出现会阴部疼痛不适,呈隐痛不适,伴尿频、尿急,无肉眼血尿,1个月前出现排尿困难,终至不能排尿。直肠指检前列腺增大、质硬,中央沟变浅。血前列腺特异性抗原(PSA)7 ng/ml,略高于正常。CT示:前列腺肥大,右叶稍膨隆,强化欠均匀。磁共振成像(MRI)示:前列腺周围带右叶异常信号,考虑前列腺炎可能,不排除合并肿瘤性病变;前列腺左叶异常信号,考虑肿瘤性病变(前列腺癌)可能性大。行前列腺左、右叶穿刺活组织检查,病理检查结果示:倾向腺样基底细胞肿瘤,局灶区域神经有侵犯。遂行前列腺切除术,术后病理检查结果示:前列腺腺样囊性癌。第1次穿刺活组织检查示:左侧灰白色条状组织3条,长1.0 cm,直径0.1 cm;右侧灰白色条状组织1条,长1.0 cm,直径0.1 cm。第2次前列腺切除,前列腺大小6.5 cm×3.5 cm×3.0 cm,切面大部分区域呈灰白灰黄色,左侧大小2.0 cm×2.0 cm×1.0 cm,其内可见筛孔状结构;右侧灰黄区大小2.5 cm×2.0 cm×1.0 cm,质地偏硬,边界欠清,局灶出血。显微镜检查结果,第1次穿刺活组织检查示,前列腺基底细胞增生,呈实性巢状、腺管状、筛状分布,局灶区域神经有侵犯(图1A),免疫组织化学:PSA-、P504s-、34βE12+、p63+、CK5/6+、CK14+(图1B)、bcl-2+。第2次前列腺切除,镜下见腺体背靠背、共壁,形成典型的筛状结构(图1C),部分腺腔扩张,伴微囊形成,其内充满均质嗜酸性物质(图1D)。神经束侵犯易见(图1E)。癌组织侵入周围正常前列腺组织内。免疫组织化学结果:PSA-、P504s-、34βE12+、p63+、CK5/6+、CK20-、CK14+、bcl-2+、Ki-67阳性细胞数60%(图1F,图1G, 图1H, 图1I)。癌组织包绕的神经束S-100阳性(图1J)。病理诊断:第1次为倾向腺样基底细胞肿瘤,第2次为腺样囊性癌。


1A:神经束周围见癌组织环周侵犯(穿刺标本)HE;1B:CK14瘤细胞阳性(穿刺标本)通用型二步法;1C:腺体背靠背、共壁,形成典型筛状结构HE;1D:微囊形成,其内充满均质嗜酸性物质HE;1E:癌组织围绕神经束周围侵犯HE;1F:34βE12瘤细胞阳性通用型二步法;1G:p63瘤细胞阳性通用型二步法;1H:CK14瘤细胞阳性通用型二步法;1I:bcl-2瘤细胞阳性通用型二步法;1J:癌组织包绕的神经束S-100阳性通用型二步法
人类前列腺上皮主要由3种细胞组成:分泌上皮、神经内分泌细胞和基底细胞。前列腺腺样基底细胞肿瘤亦称为腺样囊性肿瘤[1],是前列腺基底细胞的肿瘤,十分罕见,形态类似唾液腺的腺样囊性癌,肿瘤细胞为形态单一的基底细胞,呈腺管状、小巢状或筛状结构,伴纤维性或黏液性间质反应[2]。免疫组织化学瘤细胞基底细胞标记阳性包括34βE12、p63、CK5/6、CK14,前列腺分泌细胞标记如PSA、PAP、P504s均阴性[2]。本例患者第1次穿刺活组织检查标本,组织少,镜下查见腺管状、筛状结构,免疫组织化学瘤细胞基底细胞标记阳性,而前列腺分泌细胞标记阴性,故诊断为倾向腺样基底细胞肿瘤。目前认为,如果肿瘤边界清楚,呈膨胀性生长则生物学行为偏向良性,切除后就能治愈;如果肿瘤边界不清,呈弥漫性浸润性生长,有坏死、神经周围浸润或腺外浸润,应属恶性[1]。
本病例肿瘤边界不清,浸润性生长,有明显的神经束侵犯现象,临床倾向恶性,故行前列腺切除并清扫双侧腹股沟淋巴结,前列腺切除标本镜下几乎全为典型的腺样囊性结构,无基底细胞巢及巢周瘤细胞呈栅栏状排列现象,神经侵犯现象易见,故诊断为前列腺腺样囊性癌。发生于前列腺的腺样囊性癌很罕见。前列腺腺样囊性癌由Frankel和Craig[3]于1974年首次报道。世界卫生组织(WHO)(2004年)泌尿系统及男性生殖器官肿瘤分类中将类似皮肤的基底细胞癌和类似涎腺的腺样囊性癌的恶性基底细胞肿瘤统称为基底细胞癌[4]。前列腺基底细胞癌存在两种形态学表现:一种称为基底细胞样型,另一种称为腺样囊性型,二者可单独出现,也可混合出现而以其中一种为主[5]。本例几乎全为腺样囊性癌成分,按以上理论,本例应诊断为前列腺基底细胞癌,腺样囊性型,但鉴于本例组织学太典型,直接诊断为前列腺腺样囊性癌。本例组织图像虽与唾液腺发生的腺样囊性癌无异,但仍需与前列腺低分化腺癌、前列腺基底细胞增生、低分化尿路上皮癌等疾病鉴别。免疫组织化学在鉴别诊断中起了很重要的作用。(1)前列腺低分化腺癌:癌细胞可呈实性巢状,腺腔结构少,但其不表达34βE12、p63、CK14,而PSA、P504S均呈强阳性表达;(2)前列腺基底细胞增生:基底细胞增生可呈实体巢或筛状,但细胞核大小比较一致,核仁小或不明显,不见核分裂象及神经周围浸润、坏死和间质纤维增生,而在前列腺腺样囊性癌核分裂象、神经浸润和坏死往往可见到。腺样囊性癌与一些有假浸润或明显核仁的基底细胞增生难以鉴别。文献[6]指出腺样囊性癌bcl-2及Ki-67均呈强阳性,可用于与良性基底细胞增生鉴别;(3)低分化尿路上皮癌:分化差的尿路上皮癌常呈实性巢状,经广泛取材,找到分化较好的尿路上皮癌区域有助于两者鉴别,尿路上皮癌常表达CK20,腺样囊性癌CK20为阴性[7]。
一直以来,前列腺基底细胞癌被视为具有惰性生物学行为的低度恶性肿瘤,呈慢性发展过程[2]。有研究证实以基底细胞样型为主的患者预后更差,且适用于普通前列腺腺癌的Gleason评分系统并不适用于前列腺基底细胞癌[8]。前列腺基底细胞癌主要的临床表现与一般前列腺癌无明显区别,以下尿路症状为主,包括夜尿增多、尿频、尿急、尿潴留及血尿等。直肠指诊可见前列腺增大,部分可及前列腺质硬结节。PSA检查一般正常或轻度升高。CT及MRI检查结果与一般前列腺癌相同,确诊依靠前列腺穿刺活组织检查及术后病理检查结果。前列腺基底细胞癌生成较慢,以局部浸润生长为主,发生淋巴及血行转移较晚,转移较多发生于肝、肺、肠道,骨转移相对较少。治疗上目前还缺少统一标准,主要参照一般前列腺癌的治疗方法。早期肿瘤行前列腺癌根治术,术后长期密切随访。对晚期肿瘤、术后复发及前列腺摘除术后偶然发现病例,外放射治疗也是很好的选择。
基底细胞癌为前列腺腺癌的一个罕见亚型,其中的腺样囊性型更为少见,确诊依靠前列腺病理检查,其临床表现与一般前列腺癌一样,PSA通常正常或轻度升高,恶性程度低,生长缓慢,转移较晚,治疗以外科手术及放射治疗为主,预后较好。
无





















