
探讨磁共振成像(MRI)对儿童后颅窝肿瘤分级诊断的应用价值。
回顾性分析2012年1月至2013年12月重庆医科大学附属儿童医院收治的19例经临床和手术病理证实的儿童后颅窝低级别及高级别肿瘤的MRI特征的临床资料,测量肿瘤总体积、实性成分所占比例、周围脑实质水肿率及肿瘤囊变率等,对所获得数据进行统计学分析;按照世界卫生组织(WHO)中枢神经系统肿瘤分类标准分级。
病变发生部位:低级别组小脑5例,四脑室4例;高级别组四脑室6例,小脑蚓部4例;合并梗阻性脑积液:低级别组8例(8/9),高级别组10例(10/10);肿瘤总体积:低级别组(51.1±3.2)mm3,高级别组(31.9±1.8)mm3,差异有统计学意义(t=2.591,P=0.019);实性成分所占比例:低级别组41.7%,高级别组66.1%,差异有统计学意义(χ2=6.52,P<0.05);合并周围脑实质水肿:低级别组4例(4/9),高级别组4例(4/10),差异无统计学意义(χ2=2.591,P=0.274);肿瘤囊变率:低级别组9例(9/9),高级别组4例(4/10),差异无统计学意义(χ2=0.052,P=0.819)。
MRI对于儿童后颅窝肿瘤的分级诊断具有重要的应用价值,可为临床制订手术方案提供依据。
版权归中华医学会所有。
未经授权,不得转载、摘编本刊文章,不得使用本刊的版式设计。
除非特别声明,本刊刊出的所有文章不代表中华医学会和本刊编委会的观点。
儿童后颅窝肿瘤指年龄<15岁,位于小脑幕下、枕骨大孔上的肿瘤,约占儿童颅内肿瘤的半数以上,由于儿童时期生理发育的特点以及不同肿瘤的临床表现多种多样,给早期正确诊断,尤其是良恶性诊断带来一定困难。现回顾性分析19例儿童后颅窝肿瘤的磁共振成像(MRI)特点,旨在提高儿童后颅窝肿瘤术前定性诊断的准确性。
收集重庆医科大学附属儿童医院2012年1月至2013年12月经手术病理证实的儿童后颅窝肿瘤19例,女性6例,男性13例,年龄13个月~11岁,按照世界卫生组织(WHO)中枢神经系统肿瘤分类标准分级,低级别组(Ⅰ、Ⅱ级)9例(毛细胞星形细胞瘤6例、星形细胞瘤2例、室管膜瘤1例);高级别组(Ⅲ、Ⅳ级)10例(髓母细胞瘤7例、间变型室管膜瘤1例、卵黄囊瘤1例、原始神经外胚层细胞瘤1例)。
采用GE Signa Propeller HD 1.5T Echospeed超导磁共振仪,8通道头线圈,快速自旋回波序列(fast spin echo,FSE),FSE T1WI(TR 500~600 ms,TE 1 ms),FSE T2WI(TR 3 000~4 000 ms,TE 90~110 ms),层厚6 mm,间隔1 mm,视野24 cm×18 cm,矩阵320×224,激励次数2次,行轴位、冠状位及矢状位扫描。采用专用高压注射器经前臂静脉注射顺磁性对比剂钆喷替酸葡甲胺(Gd-DTPA)后行增强扫描,剂量为0.1 mmol/kg,行T1WI轴位、冠状位、矢状位扫描。不合作患儿检查前口服10%水合氯醛或肌肉注射苯巴比妥镇静。
将高级别、低级别两组患者MRI图像信息分别输入Pinnacle三维治疗计划系统,勾画出肿瘤轮廓、肿瘤实性成分区域的范围,计算出各自的体积及所占比例。
采用SPSS 13.0软件进行数据处理,分析高级别、低级别组肿瘤各变量间的关系,计数资料比较采用χ2检验,计量资料符合正态分布,采用两独立样本t检验,以P<0.05为差异有统计学意义。
低级别组男性2例,女性7例,平均年龄7.1岁,病程3~180 d,平均45.3 d。MRI检测结果显示,病变发生于小脑5例,四脑室4例;合并梗阻性脑脊液8例;肿瘤总体积(51.1±3.2)mm3;实性成分所占比例为41.7%;合并周围脑实质水肿4例(4/9);肿瘤囊变9例(4/9)。高级别组男性6例,女性7例;平均年龄5.8岁。病程3~60 d,平均23.3 d;MRI检测结果显示,病变发生于小脑蚓部4例,四脑室6例;合并梗阻性脑脊液10例;肿瘤总体积(31.9±1.8)mm3;实性成分所占比例为66.1%;合并周围脑实质水肿4例(4/10);肿瘤囊变4例(4/10)。两组MRI影像结果比较,肿瘤总体积、实性成分所占比例差异有统计学意义(t=2.591,P=0.019;χ2=6.52,P<0.05);其余差异均无统计学意义(均P>0.05)(图1、图2)。


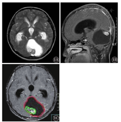
1A:T2WI轴位可见囊性为主巨大占位性病变,囊内有瘤;1B:增强扫描T1WI矢状位囊内肿瘤明显强化,囊性部分未强化;1C:将原始数据输入Pinnacle三维治疗计划系统,勾画出肿瘤轮廓、肿瘤实性成分区域的范围,得出肿瘤总体积80.4 mm3(红色区域),实性成分体积7.1 mm3(绿色区域);实性成分所占比例为8.9%


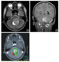
2A:T2WI轴位可见四脑室内实性为主占位性病变,边缘部分可见少许囊变;2B:增强扫描T1WI冠状位肿瘤呈不均匀强化;2C:将原始数据输入Pinnacle三维治疗计划系统,勾画出肿瘤轮廓、肿瘤实性成分区域的范围,得出肿瘤总体积30.3 mm3(红色区域),实性成分体积24.4 mm3(绿色区域);实性成分所占比例为80.5%
颅内肿瘤以幕下肿瘤相对较为常见,好发于4~11岁的儿童,其中又以星形细胞瘤、髓母细胞瘤和室管膜瘤多见,具有发病率高、临床误诊率高、死亡率高等特点[1]。由于不同肿瘤部位手术切口位置不同,根据肿瘤性质决定是否成形开颅,若术前估计良性可能性大者,采用半球骨瓣或半球跨中线骨瓣,若为髓母细胞瘤则直接作骨窗开颅,在显微镜下进行肿瘤切除。后颅窝CT由于不规则颅底骨的部分容积效应和致密骨棘产生的放射状伪影掩盖了一些后颅窝正常组织,影响图像质量,而MRI不存在上述伪影,且组织分辨率高,图像质量明显优于CT。Lam等[2]研究表明,MRI能为选择手术入路、操作深浅、能否全切除作出可靠的评估。因此术前通过分析MRI影像学表现,对肿瘤进行分级诊断,对于指导临床治疗、选择恰当的手术方式以及对预后进行有效判断都非常重要。
我们采用Pinnacle三维放疗计划系统对后颅窝肿瘤进行勾勒,与MRI自带软件相比,在对形状规则的病变及解剖结构进行勾画后进行体积测算,两者之间并没有明显差异,但是在对结构复杂、形态不规则的对象进行体积测量时,Pinnacle三维放疗计划系统所测得肿瘤体积则更加准确可信。
本研究结果显示,低级别组较高级别组病程较长,肿瘤体积低级别组肿瘤明显偏大,低级别组中有8例肿瘤体积在34 mm3以上,最大者体积达80 mm3,这是由于后颅窝低级别肿瘤生长相对比较缓慢,临床症状出现的时间远晚于疾病的发生,当肿瘤挤压四脑室产生梗阻性脑积液,患者多因产生症状而就诊,故肿瘤被发现时通常已经较大。低级别组中毛细胞星形细胞瘤共有6例,这是一种界限较清、生长缓慢、常发生于儿童和年轻人的囊性星形细胞瘤[3],其中小脑发生率较高,占大脑的10%和小脑星形细胞瘤的85%。大脑半球、小脑和脊髓肿瘤中囊性变常见[4],可为大而孤立的空腔,也可为附壁结节或肿瘤内有腔隙。文献[5]报道,位于脑实质内者囊变率较高,位于脑室内的囊变率较低。本组病例中有5例以囊性为主,只有1例呈实性为主样改变。其他类型的儿童低级别星形细胞瘤也多见于小脑半球及脑干,位于小脑半球者肿瘤大部分边界较清,囊变较常见,增强扫描肿瘤实质部分强化明显,囊变区无强化,"瘤中有囊"或者"囊中有瘤"为儿童小脑半球星形细胞瘤较特征性的影像表现[6]。低级别星形细胞瘤,肿瘤完全切除的5年生存率较高,因此外科全切术是其首选的治疗方法,影像学检查的价值在于术前明确诊断及指导手术方案制订。本组病例中另外1例低级别肿瘤为室管膜瘤,其好发于第四脑室,多从四脑室顶或底长出,具有"铸形"特点,肿瘤可经正中到达延髓池,通常伴有梗阻性脑积液,室管膜瘤MRI成像显示肿瘤呈显著的异质性,信号明显不均匀,反应病灶内的囊变、坏死、急性亚急性和慢性出血及钙化。MRI增强扫描室管膜瘤发生强化,多数室管膜瘤形态不规则,强化程度不均匀[7]。
10例高级别组肿瘤中髓母细胞瘤占大多数,共有7例,一般认为髓母细胞瘤起源于髓生殖中心胚胎残余细胞,是儿童最常见的后颅窝恶性肿瘤,有研究结果表明,年龄≥10岁和<10岁患者3、5年生存率分别为68.4%、50.0%和34.5%、23.4%,提示儿童预后较差[8]。肿瘤多见于小脑蚓部,当突入四脑室时,在瘤体前可见受压变形的四脑室,肿瘤也可发生在第四脑室顶部或中下部,引起四脑室上部及中脑导水管扩张,肿瘤在T1WI呈低信号,T2WI呈等高信号,信号较均匀,瘤内坏死少见,囊变及钙化更少见,T2WI呈等信号可能因为肿瘤细胞密集,间质水分相对较少,注射Gd-DTPA后实性部分呈中等程度强化。本研究结果显示髓母细胞瘤以及一些其他少见的高级别肿瘤中大部分以实性成分为主,仅有少数病例出现局灶性的囊性变,实性成分所占比例平均达66%以上,与低级别组肿瘤差异有统计学意义。当髓母细胞瘤发生于第四脑室时需与室管膜瘤相鉴别,一般室管膜瘤发生在第四脑室底部,外周或一侧可见窄条状脑脊液信号;而髓母细胞瘤常位于第四脑室顶部,极少侵入到第四脑室底部,肿瘤的前方及止方可见新月形脑脊液信号,一般后方无脑脊液信号。另外室管膜瘤常见钙化且囊变率高,而髓母细胞瘤很少见到钙化和囊变[9]。
瘤周水肿在常规MRI上定义为无强化的肿瘤周边T1WI低信号、T2WI高信号区域,幕上肿瘤瘤周水肿发生率高于幕下,本研究结果显示瘤周水肿在低级别组与高级别组肿瘤中差异无统计学意义,两组病例中各有4例出现瘤周水肿,其产生机制各不相同,低级别肿瘤表现为瘤周水肿者认为与肿瘤内出血有关;而高级别组中髓母细胞瘤瘤周环状水肿带可能是由于肿瘤对四脑室壁的压迫导致小脑半球及蚓部局部脑组织的缺血性水肿[10]。
由于后颅窝有脑干等重要结构,又是脑脊液循环的必经之路,加之后颅窝空间狭小,容积代偿能力有限,因而儿童后颅窝肿瘤往往会出现脑脊液循环受阻颅内压增高的症状。本研究中发生于四脑室内的肿瘤占全部病例的53%(10/19),另外发生于其他部位的肿瘤由于体积较大压迫四脑室或突入生长等原因,除1例外其他病例均出现有梗阻性脑积液的征象。因此瘤周水肿及是否合并梗阻性脑积液对于鉴别后颅窝肿瘤良恶性意义不是十分明显。
儿童后颅窝肿瘤高级别组较低级别组具有病程短、肿瘤体积小、实性成分所占比例大等特点,MRI在儿童后颅窝肿瘤分级诊断中具有重要的应用价值。
无





















