
探讨气管、支气管腺样囊性癌(ACC)患者的临床病理特征、免疫表型、诊断、鉴别诊断、治疗及预后。
以2009年4月至2014年2月江苏省泰州市人民医院收治的4例气管、支气管ACC患者为研究对象,对其临床表现、影像学特征、组织学形态及免疫表型进行观察和分析,并复习相关文献。
男性2例,女性2例;年龄23~65岁。主要临床症状为咳嗽、气喘、咳痰伴痰血。肿瘤发生于气管或主支气管,患者胸部CT检查示气管或支气管壁不规则增厚或软组织密度影,边界欠清。光学显微镜下见癌组织浸润性生长,结构以管状、筛孔状为主,部分区域呈实性,癌细胞大小、形态比较一致,核质比高,核深染。免疫组织化学示癌细胞CK7、p63、SMA、calponin、CD117均阳性。2例患者行手术治疗,手术切缘均有癌残留,其中1例接受了术后放疗,随访3年无复发转移。2例患者仅接受了姑息性放化疗,分别于治疗27个月和28个月出现复发及转移。
气管、支气管ACC是一种罕见的低度恶性肿瘤,临床症状不典型,其诊断及鉴别诊断主要依据病理形态学特征及免疫表型。
版权归中华医学会所有。
未经授权,不得转载、摘编本刊文章,不得使用本刊的版式设计。
除非特别声明,本刊刊出的所有文章不代表中华医学会和本刊编委会的观点。
气管、支气管腺样囊性癌(ACC)是一种少见的低度恶性肿瘤,发病率占气管原发性恶性肿瘤的10%~20%[1]。目前认为气管、支气管ACC源于气管黏液腺上皮,其组织学形态与涎腺腺样囊性癌一致,生长缓慢,病程较长,临床症状不典型,易误诊为支气管哮喘、慢性支气管炎而延误治疗[2,3]。为此,我们回顾性分析4例气管、支气管ACC,结合相关文献探讨其临床病理特征、诊断、鉴别诊断、治疗及预后。
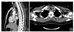
以2009年4月至2014年2月本院诊断的4例气管、支气管ACC患者为研究对象。其中男性2例,女性2例;年龄23~65岁,平均年龄43.8岁。主诉症状均有反复刺激性咳嗽,从出现症状到确诊时间为2~72个月,平均23.5个月。4例胸部CT示气管或支气管管壁不均匀增厚或不规则软组织密度影,边界不清(图1)。4例患者中1例行气管切开肿瘤切除术,1例行肿瘤处气管节段切除术;其余2例患者仅作纤维支气管镜活组织检查,2例行纤维支气管镜检查示气管或支气管腔内呈菜花状或结节状新生物,表面粗糙、质硬,而未接受手术治疗。手术切除及活组织病理检查诊断均为ACC。


标本经10%中性甲醛溶液固定,石蜡包埋,4 μm厚连续切片,分别进行苏木精-伊红(HE)染色及免疫组织化学(IHC)染色。IHC染色采用EnVision二步法。一抗CK7(OV-TL 12/30)、p63(DAK-p63)、SMA(1A4)、TTF-1(8G7G3/1)、Ki-67(MIB-1)(丹麦Dako公司);CD117(T595)、calponin(CALP)(澳门泉晖贸易国际有限公司)和NapsinA(MX015)、GFAP(GA5)(福州迈新生物技术开发有限公司)。具体操作步骤按说明书进行。
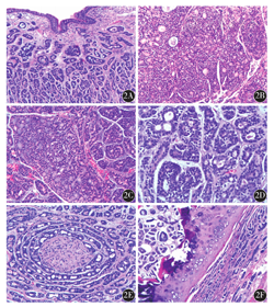
(1)大体标本:2例手术切除标本,肿瘤大小分别为2.0 cm×1.0 cm×0.8 cm和2.5 cm×2.0 cm×1.8 cm,表面无包膜,切面灰白色,质硬。(2)光学显微镜下观察:肿瘤组织位于气管或支气管黏膜下,呈浸润性生长。1例活组织检查标本以筛状结构为主,其余3例以腺管状、筛状、条索状和实性巢状结构混合。腺腔或筛孔内可见嗜碱性黏液样物质或嗜酸性基底膜样物质;实性巢状区中可见筛孔状结构,内含均一的嗜酸性基底膜样物质,灶区见小导管形成,内见嗜碱性黏液样物质,巢团周围细胞呈栅栏状排列,瘤细胞巢团周围间质内可见玻璃样变和黏液样变(图2A,图2B,图2C)。瘤细胞较小似基底细胞,形态大小较一致,核质比高,核深染,核分裂少见(仅1例核分裂>5个/10个高倍视野)(图2D),未见坏死。其中1例见肿瘤组织侵犯神经和支气管软骨(图2E、图2F)。2例手术切除标本切缘均见癌组织残留。


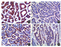
肿瘤细胞CK7、p63、SMA、calponin、CD117均为阳性(图3),TTF-1、NapsinA、GFAP均阴性,Ki-67 5%~20%阳性。


1例术后接受单纯局部放疗,随访34个月未见复发和转移;1例术后失访;2例接受了姑息性局部放疗加全身化疗4个疗程,症状均明显缓解,复查CT示病灶消失或缩小,但分别于确诊27、28个月后出现肿瘤复发及转移。
ACC又称"圆柱瘤",主要发生于涎腺组织,乳腺[4]、前列腺[5]。气管、支气管腺样囊性癌罕见,其发病率仅占原发性肺肿瘤的0.1%~0.5%,男女发生比率相当,发病高峰年龄为40~50岁[6]。本组患者男女比例1∶1,发病年龄23~65岁,平均年龄43.8岁,与上述报道文献基本一致。ACC 90%以上起源于气管、主支气管黏膜下腺体,多位于大气道且生长缓慢,病史较长,早期症状不典型,主要表现为中央气道阻塞症状,如呼吸困难、喘鸣等,临床易误诊为支气管哮喘或慢性支气管炎而延误治疗[2,3]。本组患者从出现症状至病理确诊时间为2个月至6年,患者主要表现为刺激性咳嗽、咳痰、痰中带血等。1例临床误诊为支气管扩张症并治疗长达6年,其余3例按支气管炎抗感染治疗2~12个月。本组4例患者影像学表现为气管、支气管管壁不均匀增厚或不规则软组织密度影,2例纤维支气管镜检查示气管或支气管腔内新生物,表明对于长期出现刺激性咳嗽、痰血及呼吸困难的患者需要提高警惕,及时的影像学及纤维支气管镜检查有助于早期诊断。
气管、支气管ACC光学显微镜下观察,组织学形态与涎腺相应肿瘤相似,由腺上皮和肌上皮两种成分排列成筛状、管状和实性巢状结构,肿瘤细胞浸润性生长,常见神经侵犯。本组病例中例2以筛状结构为主,其余3例以筛状、腺管状、条索状和实性巢状结构混合,其中例4核分裂象易见(>5个/10个高倍视野),并见神经和气管软骨侵犯。IHC示肿瘤细胞表达腺上皮和肌上皮标志物,Collagen Ⅳ及AB/PAS染色可显示黏液和基底膜样物质。霍真等[7]报道肿瘤细胞可不同程度表达GFAP、CD117、bcl-2。本组患者肿瘤细胞均表达CK7、p63、SMA、calponin、CD117,均不表达GFAP。
气管、支气管ACC需注意与下列肿瘤鉴别:(1)上皮-肌上皮癌:组织学特征为双层导管样结构,内层导管上皮,外层肌上皮,形态单一,而ACC结构多样,呈现筛状、导管样和实性巢状结构。(2)黏液表皮样癌:由表皮样细胞、黏液细胞和中间细胞构成,IHC示CK7、CK14等上皮标志物阳性,而肌上皮标志物阴性。(3)腺癌:两者组织学均可表现为腺管样,筛状或实体状结构,但腺癌的癌细胞较大,胞质丰富,异型性显著,癌细胞表达NapsinA和TTF-1,而不表达肌上皮标志。
气管、支气管ACC虽然是一种低度恶性肿瘤,但由于其早期临床症状不典型,往往确诊时肿瘤已无法切除或者难以切除干净,从而发生局部复发和远处转移至肺、骨、脑等部位,导致预后不良。目前认为根治性手术切除是气管、支气管腺样囊性癌的首选治疗方法,局部放疗、全身化疗可能具有一定疗效,但晚期患者采用姑息性放疗和化疗总体疗效不佳[8,9]。有研究报道口服伊马替尼、甲磺酸阿帕替尼(500 mg/d)对气管、支气管ACC有较好治疗效果[10,11]。本组2例患者行手术治疗,手术切缘均呈阳性,1例患者术后配合放疗,目前已生存34个月,1例术后失访。2例患者在内窥镜下活组织检查确诊后行局部放疗及全身化疗。其中1例随访32个月带瘤生存,1例随访44个月后死亡。
总之,ACC作为一种罕见的低度恶性肿瘤,早期临床症状不典型,出现症状至确诊时间较长,因此,对于长期伴有呼吸道症状的患者应提高警惕,必要时需行胸部CT及纤维支气管镜检查,结合病理组织形态学及IHC确诊。目前国内外普遍接受患者确诊后首选手术治疗,但肿瘤常难以完全切除,术后放疗可有效降低局部复发及远处转移。
无





















