
探讨子宫颈细胞学不除外高度鳞状上皮内病变的不典型鳞状上皮细胞(ASC-H)在子宫颈疾病诊断中的意义。
对山西大医院2012年3月至2015年12月子宫颈液基细胞判读为ASC-H的496例患者的年龄、高危型人乳头瘤病毒DNA(hrHPV DNA)及子宫颈活组织检查结果进行分析。
496例ASC-H患者中,年龄40~49岁患者比例最高,为30.8%(153/496)。154例进行了hrHPV DNA检测,阳性率为79.2%(122/154),18~29岁患者的阳性率最高,为84.2%(16/19)。124例进行了子宫颈活组织检查,子宫颈上皮内瘤变(CIN)Ⅱ及以上病变的检出率为66.9%(83/124);hrHPV DNA阳性100例(80.6%),hrHPV DNA阴性24例(19.4%)。100例接受了子宫颈活组织检查的hrHPV DNA阳性患者中,CINⅡ、CINⅢ、早期鳞状细胞癌及鳞状细胞癌共71例(71.0%);24例接受了子宫颈活组织检查的hrHPV DNA阴性患者中,CINⅡ、CINⅢ改变12例(50.0%),但无一例早期鳞状细胞癌和鳞状细胞癌,与hrHPV DNA阳性患者比较,差异有统计学意义(χ2=3.857,P<0.05)。hrHPV DNA检测对诊断CINⅡ及以上病变的阳性预测值、阴性预测值、灵敏度、特异度分别为85.5%、29.3%、71.0%、50.0%。
子宫颈细胞学ASC-H高度提示存在CINⅡ及以上病变,hrHPV DNA检测对诊断CINⅡ及以上病变具有较高的阳性预测值。
版权归中华医学会所有。
未经授权,不得转载、摘编本刊文章,不得使用本刊的版式设计。
除非特别声明,本刊刊出的所有文章不代表中华医学会和本刊编委会的观点。
子宫颈细胞学检查是发现子宫颈病变的主要手段,在贝塞斯达子宫颈细胞学诊断报告系统(TBS)中,不除外高度鳞状上皮内病变的不典型鳞状上皮细胞(ASC-H)属于不典型鳞状上皮细胞(ASC)中倾向于高度上皮内病变(HSIL)的一组细胞学改变。虽然有其规定的细胞形态学判读标准,但在实际应用中判读存在明显的差异和主观性,导致观察者之间和观察者自身的诊断常不一致,重复性差[1]。我们对我院子宫颈细胞学判读为ASC-H的病例进行回顾性分析,在深入理解概念并规范ASC-H诊断标准的同时,探讨其在子宫颈疾病诊断中的意义。
收集2012年3月至2015年12月山西大医院子宫颈液基细胞学标本共39 132例,其中判读为ASC-H者496例,占1.2%。患者年龄18~85岁,中位年龄为40岁。其中154例(30.8%)进行了高危型人乳头瘤病毒DNA(hrHPV DNA)检测。同时对比分析100例hrHPV DNA检测阳性及24例hrHPV DNA检测阴性患者的子宫颈活组织检查结果。
子宫颈液基细胞学检测应用美国BD公司生产的SurePath自动制片系统及巴氏染色。使用美国食品与药品监督管理局(FDA)认证的第二代杂交捕获(HC2)试剂盒检测hrHPV DNA,检测结果分为阳性和阴性。活组织病理检查包括子宫颈点取活组织检查、环型电切除、冷冻刀锥切以及全子宫切除,对于有2次及以上病理检查的患者选择最高病变记录。
采用SPSS 20.0软件进行统计学分析,计数资料比较应用χ2检验,以P<0.05为差异有统计学意义。
在496例ASC-H患者中,18~29岁56例(11.3%),30~39岁110例(22.2%),40~49岁153例(30.8%),50~59岁117例(23.6%),60~69岁45例(9.1%),70~85岁15例(3.0%)。ASC-H高发年龄在40~49岁之间。
496例ASC-H患者中有154例进行了hrHPV DNA检测,阳性率为79.2%(122/154)。hrHPV DNA阳性患者中位年龄42岁(21~72岁);阳性率在21~29岁患者中最高,为84.2%(16/19)(表1)。

不同年龄段子宫颈细胞学不除外高度鳞状上皮内病变的不典型鳞状上皮细胞患者高危型人乳头瘤病毒DNA(hrHPV DNA)检测结果
不同年龄段子宫颈细胞学不除外高度鳞状上皮内病变的不典型鳞状上皮细胞患者高危型人乳头瘤病毒DNA(hrHPV DNA)检测结果
| 年龄(岁) | 例数 | hrHPV DNA阳性(例) | hrHPV DNA阳性率(%) |
|---|---|---|---|
| 21~29 | 19 | 16 | 84.2 |
| 30~39 | 40 | 29 | 72.5 |
| 40~49 | 46 | 38 | 82.6 |
| 50~59 | 37 | 30 | 81.1 |
| 60~72 | 12 | 9 | 75.0 |
| 合计 | 154 | 122 | 79.2 |
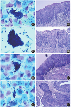
124例患者进行了子宫颈活组织检查,检出慢性炎症4例,子宫颈上皮内瘤变(CIN)Ⅰ37例,CINⅡ38例,CINⅢ35例,早期鳞状细胞癌2例,鳞状细胞癌8例。病变检出率为96.8%(120/124),CINⅡ及以上病变的检出率为66.9%(83/124)。如图1所示,细胞学检查同为ASC-H,但有不同组织学结果。124例患者年龄21~72岁,中位年龄42岁;年龄21~59岁患者CINⅡ及以上病变的检出率均较高,但在>60岁患者中明显降低。


注:ASC-H为不除外高度鳞状上皮内病变的不典型鳞状上皮细胞;CIN为子宫颈上皮内瘤变;1B、1D、1F、1H分别与1A、1C、1E、1G病例相对应
进行子宫颈活组织检查的124例患者中,80.6%(100/124)hrHPV DNA阳性,19.4%(24/124)hrHPV DNA阴性。hrHPV DNA阳性者中71.0%(71/100)活组织检查结果系CINⅡ、CINⅢ、早期鳞状细胞癌及鳞状细胞癌,hrHPV DNA阴性者中50.0%(12/24)呈CINⅡ、CINⅢ改变,但无一例早期鳞状细胞癌和鳞状细胞癌。hrHPV DNA阳性与阴性者之间CINⅡ及以上病变检出率比较,差异有统计学意义(χ2=3.857,P=0.03)。hrHPV DNA检测对诊断CINⅡ及以上病变的阳性预测值、阴性预测值、灵敏度和特异度分别为85.5%、29.3%、71.0%、50.0%。
ASC-H定义为子宫颈细胞学改变提示高级别鳞状上皮内病变(HSIL),但缺少明确诊断HSIL的条件,因此ASC-H通常为可疑HSIL。其细胞学形态如下,(1)非典型不成熟化生细胞:核质比大的小细胞单个出现或不超过10个细胞的小片状排列,细胞核比正常化生细胞核增大2~3倍,核质比高,接近HSIL,但胞核不规则及深染程度不足;(2)拥挤片状结构:拥挤成片的小细胞,胞核重叠,胞核极向消失[2]。基于以上细胞学形态,在子宫颈细胞学判读过程中,ASC-H需要与不成熟鳞状化生细胞、萎缩、反应性或肿瘤性子宫颈腺细胞团、巨噬细胞、HSIL及鳞状细胞癌细胞等相鉴别,诊断难度较大且重复性差[2]。子宫颈液基细胞学ASC-H的平均报告率为0.42%,大多数实验室为0.3%~0.6%[3]。我们的检出率是1.2%,高于目前报道范围。本研究中124例子宫颈细胞学ASC-H患者中有10例为早期鳞状细胞癌及鳞状细胞癌,提示实际操作中可能把部分HSIL及鳞状细胞癌过低判读为ASC-H,需要进一步规范ASC-H的诊断标准,以提高诊断准确率。本研究通过对年龄分布分析发现,ASC-H高发人群为40~49岁女性。
目前越来越多的研究支持将hrHPV DNA检测用于ASC-H的分流,细胞学检查ASC-H者hrHPV DNA阳性检出率为33%~84%,检测范围的波动与样本量大小、年龄分布、实验室检测水平及选择标准等均有关[4]。而以HC2检测为手段的研究最多,其结果的稳定性较好。我们应用HC2技术对ASC-H病例进行hrHPV DNA检测,阳性率为79.2%(122/154)。梅平等[5]研究显示45例ASC-H中36例hrHPV DNA阳性,阳性率为80%,与本研究结果接近。本研究中hrHPV DNA在18~29岁组阳性率最高,这与Chen等[6]报道的ASC-H患者中hrHPV DNA阳性率最高集中在<30岁女性的结果相一致。
ASC-H作为一种不确定性细胞学诊断,尽管形态学上具有一定的特点,但ASC-H病例中仍包含一定比例的CINⅠ,甚至阴性的病例,各实验室关于ASC-H患者子宫颈高级别病变检出率的报道差别很大(24%~94%)[7,8]。本研究显示在124例ASC-H病例中,存在CINⅡ及以上病变者83例,占66.9%。这一结果提示在ASC-H病例中有较高比例的CINⅡ、CINⅢ、早期鳞状细胞癌及鳞状细胞癌。陈广峰等[9]将23例ASC-H与组织学结果对照发现,CINⅡ及以上病变者11例,占47.8%。从年龄分布来看,21~59岁患者CINⅡ及以上病变检出率均较高,但是60岁以上明显降低。其原因可能是细胞学诊断考虑ASC-H主要以细胞核的变化为依据,而有时萎缩性改变与ASC-H很难区别。Díaz等[10]对细胞学结果为ASC-H的患者分析结果也表明,在组织学上有明显病变的患者比无病变患者要年轻。
本研究对hrHPV DNA检测阳性者与阴性者对应组织学结果进行比较发现,hrHPV DNA检测阳性者中CINⅡ及以上病变者占71.0%(71/100),而hrHPV DNA检测阴性者中CINⅡ及以上病变者占50.0%(12/24)。CINⅡ及以上病变检出率在hrHPV DNA检测阳性者与阴性者之间差异有统计学意义(P<0.05)。hrHPV DNA对CINⅡ及以上病变的阳性预测值及敏感度均比较高,分别为85.5%、71.0%。表明hrHPV DNA阳性患者有较高比例的CINⅡ及以上病变,需要立即进行阴道镜检查及活组织检查。hrHPV DNA对CINⅡ及以上病变的阴性预测值、特异度分别为29.3%、50.0%,这说明hrHPV DNA阴性者中仍有一定比例的CINⅡ、CINⅢ病变,这与目前文献报道不符。目前大部分研究表明hrHPV DNA对CINⅡ及以上病变的阴性预测值为94%~100%,hrHPV DNA阴性患者因发生CINⅡ及以上病变风险很低,所以可随访观察而非立即进行阴道镜检查[11]。一项历时9年的关于ASC-H与组织学对照的研究表明,如果HPV检测阴性,则患HSIL的危险性很低[12]。由于本研究收集的hrHPV DNA检测阴性病例比较少,代表性有限,需大样本进一步研究。
总之,根据本研究的结果,细胞学检查结果为ASC-H时高度提示存在CINⅡ及以上病变。我们认为对于ASC-H患者可以先行hrHPV DNA检测,若hrHPV DNA检测阳性,应立即行阴道镜检查。年龄>60岁者发生HSIL的风险小,可以随访观察。
无

























