
探讨腺样囊性癌的临床病理特征、诊断和治疗,以避免误诊误治。
回顾性分析青岛大学附属威海市立第二医院收治的1例翼腭窝腺样囊性癌误诊为颞下颌关节炎患者的临床资料,并复习相关文献。
该患者行鼻内窥镜下右侧翼腭窝间隙探查后病理确诊为腺样囊性癌,在内窥镜辅助下切除肿瘤,术后随访1年,无复发。
腺样囊性癌为多见于小涎腺的恶性肿瘤,少数可发生于腺体外,早期症状不典型,易漏诊、误诊。其确诊主要依靠组织病理学检查,治疗首选手术及术后放疗。
版权归中华医学会所有。
未经授权,不得转载、摘编本刊文章,不得使用本刊的版式设计。
除非特别声明,本刊刊出的所有文章不代表中华医学会和本刊编委会的观点。
腺样囊性癌是好发于头颈部涎腺组织的上皮源性恶性肿瘤,肿瘤生长缓慢,尤其是发生于鼻颅底区的肿瘤,早期多无明显症状,随着肿瘤的生长,侵犯周围神经肌肉时才会出现疼痛及功能障碍。翼腭窝为蝶骨翼突和上颌窦后壁之间的骨性间隙,内有颌内动脉、上颌神经及蝶腭神经节等重要结构,且经相应骨管与口腔、眶、鼻腔、颅中窝、颞下窝贯通。翼腭窝位置隐蔽,发生于该间隙的占位性病变临床易造成误诊及误诊。
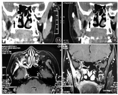
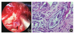
患者,女性,56岁,因右侧面部疼痛伴张口受限3年于2017年7月入我院。3年前无明显诱因自感右侧面部阵发性疼痛,可放射至同侧头部及眼眶,用力张口及咬合时疼痛明显加重,偶有右侧面部麻木感,无溢泪流涕、口角歪斜、闭眼乏力等不适。平时体健。当时外院拟诊为右侧颞下颌关节炎,给予抗感染及消炎镇痛药物治疗,自感疼痛减轻,但停药后反复加重,且渐感张口受限。于外院行右侧颞下颌关节磁共振成像(MRI)检查,未见明显异常。后来我院就诊,行鼻窦CT示:右侧翼腭窝间隙较对侧增宽(图1A、图1B),遂以"翼腭窝肿物"收住我院。患者住院后查体:张口受限,右侧面部肌力正常,鼻腔黏膜光滑,右侧颞下颌关节无明显压痛。进一步行翼腭窝增强MRI示:右侧蝶骨大翼、蝶骨体、上颌骨异常强化,考虑纤维骨化(图1C、图1D)。腮腺、颈部淋巴结、肝胆胰脾肾B型超声、胸部CT及颅脑CT检查均无明显异常。后全身麻醉下经鼻内镜右侧翼突径路翼腭窝间隙探查及肿瘤切除术,剪除部分中鼻甲开放上颌窦,磨除上颌窦后壁骨质及翼突根部,暴露翼腭窝间隙,显露上颌神经及翼管神经,见神经周围软组织包绕(图2A)。息肉钳咬取部分翼管神经周围软组织送快速冷冻病理示:可疑腺样囊性癌。进一步探查肿瘤累及翼内翼外肌,考虑到该肿瘤易沿神经血管走行,向患者家属交代病情及进一步手术风险后,根据患者家属意愿,应用鼻用动力系统及低温等离子射频消融清除可见癌灶及部分翼内外肌后停止手术。术后常规病理:光学显微镜下见肿瘤细胞成筛状、带状排列,筛网样结构内可见黏液样物质(图2B);免疫组织化学:CEA阳性,Ki-67阳性约10%,p40阴性,NSE阴性,SMA阳性,CK7阳性,符合腺样囊性癌。患者出院后外院行局部放疗(60 Gy),定期门诊复查1年,未见复发。




腺样囊性癌是一种来自于涎腺组织的少见肿瘤,占所有头颈部恶性肿瘤的1%~2%[1],占涎腺上皮性恶性肿瘤10%,是腭腺等小唾液腺最常见的恶性肿瘤,其次是腮腺和颌下腺[2,3]。另外,鼻腔鼻窦、眼眶、气管支气管及咽喉等也是头颈部腺样囊性癌的发病部位[4,5,6,7]。发病部位隐蔽、肿瘤生长缓慢以及肿瘤的噬神经性等特点是该病易发生误诊、误治的原因。
早期腺样囊性癌生长缓慢,病程较长,可持续数月或数年;肿瘤一般不大,大多直径<3 cm。肿瘤呈浸润性生长,表现为局部肿物,侵犯邻近组织时,也可出现不同症状。发生于腮腺时,侵犯面神经可出现面瘫;发生于硬腭时,局部疼痛不适,可能伴有溃疡;发生于咽喉部及气管,可出现渐进性呼吸困难;发生于鼻腔、鼻窦则可能伴有鼻塞和鼻出血症状[8]。腺样囊性癌早期还可沿神经、血管生长,故此类病例早期可出现神经疼痛及功能障碍。该例患者早期出现右侧头面部间歇性疼痛,且与咀嚼有关,符合颞下颌关节炎的典型表现,故被轻易诊断为颞下颌关节炎,并行相关治疗。间歇性疼痛实际很可能为肿瘤已侵犯上颌神经、翼管神经所致。肿瘤进一步发展会侵犯翼外肌,出现张口受限,此时的症状仍符合颞下颌关节炎表现,虽患者去多家医院就诊,但外院诊治方案仍围绕颞下颌关节炎进行治疗,患者症状无好转。
头颈部腺样囊性癌因原发部位较隐蔽,早期难以发现及确诊。肿瘤发展到一定程度,表现出破坏性及占位影响时,超声、X线及CT都是该病的有效影像学检查手段。本例患者就诊于我科时主诉为右侧面部疼痛伴张口受限3年,平时无鼻塞、流涕及嗅觉异常,在颞下颌关节CT和MRI已排除颞下颌关节情况下,不可忽略鼻窦、颅底病变。阅其鼻窦CT片时对比发现右侧翼腭窝间隙较左侧明显增宽,故进一步行翼腭窝增强MRI检查,见该区明显强化,考虑右侧翼腭窝间隙占位性病变。
组织病理学是诊断的金标准,正确的组织病理学诊断是肿瘤精准治疗的前提。腺样囊性癌病理组织学分型为筛状型、管状型和实体型。筛状型是最常见的类型,肿瘤细胞排列呈筛状或带状的腺体结构或类似基底细胞样,筛网内含黏液样物或透明样物;管状型可见两层细胞组成的管状结构,内层为上皮细胞,外层为肌上皮细胞;实体型肿瘤细胞成层状分布,只有少量小管或筛孔可见[9]。头颈部最多见的恶性肿瘤为鳞状细胞癌,肿瘤团块由鳞状细胞组成,排列不规则,成条索状或巢状,边缘是基底细胞层,中心为角化性癌珠,癌细胞核分裂象明显。另外,恶性多形性腺瘤也为多见的涎腺来源恶性肿瘤,主要病理特点是肿瘤存在良性多形性腺瘤的组织特点和上皮成分恶性改变,良恶性成分在不同组织来源肿瘤中比例不同,多见的恶性组织类型为腺癌和肌上皮癌。
国内学者研究证实,行手术切除后辅助放疗的腺样囊性癌患者5年生存率明显优于单纯手术或单纯放疗患者[10]。腺样囊性癌有噬神经生长的特点,故头颈部尤其是鼻窦、颅底间隙的肿瘤难以通过手术彻底切除。我们术中采取翼突径路探查翼腭窝并清除绝大部分肿瘤组织,该手术入路已较多应用于内镜旁中线颅底手术[11],尤其是对翼腭窝区域的良性病变暴露效果较好。术中可切除部分中鼻甲,扩大鼻腔操作空间,切除的鼻甲黏膜瓣可用于颅底修复。切除钩突,暴露翼突根部,蝶腭孔区动脉以双极电凝处理。去除上颌窦后壁骨质显露翼腭窝后,颌内动脉需仔细电凝切断。磨除翼突根部,可进一步显露翼管、圆孔和卵圆孔等解剖标志。术后放疗可有效杀灭残留的沿神经血管分布的肿瘤组织。头颈部恶性肿瘤易发生颈部淋巴结转移,对于术前发现可疑淋巴结转移的病例可行择区性颈部淋巴结清扫术。近年来,肿瘤的姑息性系统治疗已广泛开展。对于一些不能耐受手术及放疗的患者,化疗、基因治疗及分子靶向治疗等手段也可取得满意疗效[12]。
综上所述,腺样囊性癌是好发于成年人的涎腺上皮来源的恶性肿瘤,有生长缓慢、原发部位隐蔽、易沿神经血管转移等特点,临床易造成漏诊误诊。本例患者多次被误诊为颞下颌关节炎,翼腭窝为颅底隐蔽间隙,其原发恶性肿瘤罕见。当患者出现张口受限,除可能颞下颌关节病变外,不应忽略翼腭窝病变侵犯翼外肌的可能。高分辨率CT及增强MRI扫描可显示病变部位。手术为腺样囊性癌主要治疗手段,鼻内镜系统、动力系统及等离子射频等技术为颅底间隙肿瘤切除手术提供很大便利。术后辅助放疗可以有效杀灭残余肿瘤组织并减少远处转移。本例患者虽术前接受腮腺超声等检查,但未见明显腮腺区可疑病变,仍不能排除肿瘤原发于同侧腮腺深叶可能,故腮腺亦为术后复查随访重点。
所有作者均声明不存在利益冲突





















