
探讨儿童纵隔神经母细胞瘤(NB)的临床病理特征及磁共振成像(MRI)影像特征,以提高NB的术前诊断准确性。
回顾性分析2012年1月至2016年12月重庆医科大学附属儿童医院收治的16例经病理证实的纵隔NB患儿的临床病理及影像学资料,包括发病年龄、病变大小、肿瘤形态及边界、MRI平扫及增强信号特征等,并与术后病理结果进行对照,对所获得数据进行分析。
患儿发病年龄30 d至11岁,中位年龄1.98岁。所有病例均发生于后纵隔,其中左上后纵隔7例,右上后纵隔4例,左下后纵隔3例,右下后纵隔1例,右后纵隔1例;延伸至颈部1例,延伸至肾上腺区2例。肿瘤最大径为3~10 cm,平均为6.4 cm。肿瘤形态不规则10例,规则6例;呈多结节融合状10例,呈纵长者12例,边界清12例,肿瘤跨越中线1例,肿瘤多发2例,肿瘤与椎管相交通15例。MRI平扫T1WI呈低信号4例,等信号12例;平扫T2WI呈均匀高信号9例,混杂高信号7例;肿瘤内部伴出血坏死囊变钙化11例;增强扫描呈轻度强化2例,中度强化5例,明显强化5例。14例术后病理示,肿瘤有完整包膜9例,包膜不完整或无包膜5例,其中侵犯周围脏器2例;16例中,肿瘤其他部位转移7例,其中转移到骨骼5例,骨髓2例,淋巴结2例,左肺1例,骨及软组织多发1例;肿瘤切面呈灰白4例,灰褐6例,灰白灰褐4例;肿瘤内出血2例,钙化2例,坏死3例,囊变1例,出血坏死2例,坏死钙化2例,出血钙化2例。合并胸腔积液4例,肺炎4例,颈交感神经麻痹综合征(Horner综合征)4例,肺实变或肺不张1例。
儿童NB的MRI表现具有一定特征性,结合其临床特征,可为临床早期、准确诊断提供重要依据。
版权归中华医学会所有。
未经授权,不得转载、摘编本刊文章,不得使用本刊的版式设计。
除非特别声明,本刊刊出的所有文章不代表中华医学会和本刊编委会的观点。
神经母细胞瘤(NB)是少年儿童常见恶性肿瘤,起源于交感神经系统,多为实性肿物,囊性少见,男孩发病略高于女孩,占所有儿童肿瘤的10%[1],发生于纵隔的约占总数的14%[2]。由于NB恶性程度高,容易发生转移,预后较差,因此早期诊断至关重要。我们回顾性分析16例儿童纵隔NB的磁共振成像(MRI)特征及临床病理学特征,旨在进一步提高术前诊断准确性。
收集自2012年1月至2016年12月重庆医科大学附属儿童医院收治的16例儿童纵隔NB患者的临床病理及影像学资料。其中,经手术病理证实14例,肿瘤穿刺活组织检查证实1例,骨髓细胞穿刺证实1例。患儿中男性10例,女性6例;年龄30 d至11岁,中位年龄1.98岁,其中,≤1岁11例,2~4岁4例,11岁1例;临床症状:咳嗽、发热、喘息、气促13例,胸痛、腰腿痛2例,偶然发现4例,伴颈交感神经麻痹综合征(Horner综合征)4例。
16例均行MRI检查,其中平扫加增强扫描12例,单纯平扫4例。采用美国GE公司Excite HD 1.5T磁共振仪,对年龄较小患儿使用头部线圈,较大患儿使用体部线圈,分别行SE T1WI(重复时间400~600 ms,回波时间12~15 ms)和FSE T2WI(重复时间2 500~4 200 ms,回波时间80~112 ms)扫描,视野25~35 cm,矩阵256×256,层厚6.0~10.0 mm,间隔0.5~1.0 mm。采用专用高压注射器经前臂静脉注射顺磁性对比剂钆喷替酸葡甲胺(Gd-DTPA)后行增强扫描,剂量为0.1 mmol/kg,注药后行GRE序列动态增强扫描(重复时间500 ms,回波时间12 ms,翻转角15°),重复3~4次。对不配合检查的患儿检查前口服10%水合氯醛或肌注苯巴比妥镇静。
由2名高级职称影像科医师采用盲读法共同读片并取得一致性意见,评价内容包括病变部位、大小(最长径)、形态、边界、信号、肿块内部囊变、出血坏死、肿块与椎管关系、强化程度等。
16例患儿肿瘤均发生于后纵隔,其中左上后纵隔7例,右上后纵隔4例,左下后纵隔3例,右下后纵隔1例,右后纵隔1例;肿瘤延伸至颈部1例,延伸至肾上腺区2例。16例患儿肿瘤的最大径为3~10 cm,平均为6.4 cm。
肿瘤形态不规则10例,规则6例;肿瘤呈多结节融合状10例,肿瘤呈纵长12例,肿瘤边界清12例,肿瘤跨越中线1例,肿瘤多发2例,肿瘤与椎管相交通15例。
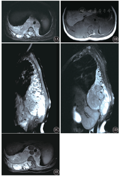
平扫T1WI呈等信号12例,低信号4例;平扫T2WI呈均匀高信号9例,混杂高信号7例;肿瘤内部伴出血坏死囊变钙化11例;增强扫描的12例患儿中,呈轻度强化2例,中度强化5例,明显强化5例(图1)。


14例手术患者中肿瘤有完整包膜9例,包膜不完整或无包膜5例,其中肿瘤侵犯周围脏器2例;16例中,肿瘤其他部位转移7例,其中转移到骨骼5例,骨髓2例,淋巴结2例,左肺1例,骨及软组织多发1例。肿瘤切面呈灰白4例,灰褐6例,灰白灰褐4例;肿瘤内出血2例,钙化2例,坏死3例,囊变1例,出血坏死2例,坏死钙化2例,出血钙化2例。肿瘤合并胸腔积液4例,肺炎4例,Horner综合征4例,肺实变或肺不张1例。
NB是小儿最常见的恶性肿瘤之一[3],原发于纵隔的NB以后纵隔常见,起源于脊柱旁交感神经链[4]。NB属于神经节源性肿瘤,病理上根据成神经细胞在肿瘤中所占的比例诊断为节细胞神经瘤、节细胞神经母细胞瘤和NB[5]。三者均起源于交感神经节的原始神经外胚层神经嵴细胞[6,7],三种肿瘤的生物学行为各不相同,NB具有高度恶性,节细胞神经母细胞瘤次之,节细胞神经瘤则为良性肿瘤[8,9]。NB和节细胞神经母细胞瘤组织能逐渐成熟,并进化为良性节细胞神经瘤。这一过程的发生机制尚未明确,可以发生于化疗后,也可为自发[10]。临床上肿瘤恶性程度与患者年龄成反比,年龄越小恶性程度越高,反之亦然[11];NB的发病年龄80%小于5岁[12]。本组病例中1岁以下患儿占全部病例的68.8%,2岁以下占81.3%,男性略高于女性,与文献报道基本相同。
纵隔NB的临床表现不具特征性,早期可无症状,当肿瘤体积较大时,可产生胸痛、咳嗽、发热等症状,肿瘤压迫颈神经节而产生Horner综合征,表现为单侧瞳孔缩小和眼睑下垂等,发生于胸腔者也可延伸至颈部产生Horner综合征[13]。本组病例中多数患儿症状表现轻,有4例为偶然发现,有1例为发现耳后颈背部及腹壁包块就诊,另有4例由于肿瘤压迫颈神经节而出现Horner综合征的相关临床表现。
交感神经链位于椎旁沟,NB沿其走行方向生长,向下可进入腹膜后,向上达颈深部。这一特定解剖部位和肿瘤生长方式使其形态具有一定特异性。肿瘤呈半圆形或长圆形,上下径比前后径和横径长,本组16例中肿瘤呈纵向生长者12例,有1例延伸至颈部,2例延伸至肾上腺区。另外,由于NB恶性程度高,肿瘤向周围浸润性生长,可沿脊柱前缘跨越中线,包绕血管或侵犯周围结构,并可侵入椎管内。本组中肿瘤形态不规则10例,大部分病例肿瘤向椎间孔延伸,部分伸入到椎管内。NB瘤体本身可有或无包膜,根据包膜的完整与否,肿瘤边界的显示不尽相同,当肿瘤与周围器官脂肪间隙模糊或消失时,多提示肿瘤的恶性生物学倾向。NB由未分化神经母细胞构成,为高度恶性肿瘤。因此,尽管NB肿瘤早期有包膜,但肿瘤容易突破包膜,侵犯周围结构,包括肾脏、淋巴结和腹膜后血管[14]。本组14例手术患者中9例肿瘤有完整包膜,肿瘤边界较清,另有5例肿瘤无包膜或包膜不完整,肿瘤边缘不光整、与周围组织分界不清;侵犯周围脏器2例。另外本组病例中有10例肿瘤形态呈多结节融合状,我们分析这可能与肿瘤恶性程度较高、呈浸润性生长、肿瘤迅速地突破包膜不断向外生长的生物学特点相关。
后纵隔NB是恶性肿瘤,常伴有恶性肿瘤的征象,肿块内易发生出血、坏死、囊变和钙化,MRI增强扫描时肿块均匀或不均匀强化[15]。本组中MRI平扫T1WI主要表现是以等信号为主的混杂信号,占75.0%(12/16),T2WI以均匀或混杂高信号为主要表现,主要是由于大部分肿瘤伴有出血、坏死、钙化和囊变,因而平扫时肿瘤内部信号表现多样;由于NB实性成分较多,细胞外基质较少,增强扫描时肿瘤实质呈中等或明显强化,而坏死及囊变等区域强化不显著,因此表现为中度或明显不均匀强化的特点。
纵隔NB生长迅速,转移早,常转移至淋巴结、骨、肺、肝等处[11,16]。本组病例中发生转移者占43.8%(7/16),以骨转移居多,其次是骨髓、淋巴结、肺以及全身骨及软组织多发转移,其中1例为最先发现耳后及颈部的转移灶而就诊,这说明该肿瘤的恶性程度极高,很早就发生全身多处转移。另外由于肿瘤位于后纵隔紧贴椎旁和后胸壁,可伴有相邻胸膜增厚,本组中部分病例出现胸腔积液、肺炎、肺不张等并发症表现。
鉴别诊断方面,纵隔NB需与节细胞神经母细胞瘤和节细胞神经瘤相鉴别,三者均起源于交感神经链,生长方式也一样。节细胞神经母细胞瘤和NB同属恶性肿瘤,都具有恶性肿瘤的征象,有时鉴别比较困难。NB发病年龄较良性节细胞神经瘤偏小,肿块内易发生出血、坏死、囊变和钙化,MRI平扫信号不均匀,增强扫描时肿块均匀或不均匀强化,可侵犯邻近结构。节细胞神经瘤由于黏液基质含量较多,MRI平扫信号均匀,增强后强化不显著,出现肿瘤出血、坏死较少。另外纵隔NB还需要与神经鞘瘤及神经纤维瘤相鉴别,后两者常呈圆形或椭圆形,对邻近结构呈压迫性改变,常经椎间孔侵入椎管内外,生长呈"哑铃状",钙化罕见,神经鞘瘤易有囊变,神经纤维瘤常为神经纤维瘤病的组成部分。若合并淋巴结肿大则更倾向于淋巴瘤的诊断[17]。
综上所述,儿童纵隔NB临床病理及MRI特点主要是:发病年龄在2岁以内多见,可伴发Horner综合征的临床表现;根据就诊时间及临床症状出现的早晚,肿瘤可大可小;肿瘤形态多不规则,呈纵向生长,多数肿瘤呈多结节融合状,并与椎管相交通;肿瘤内常伴出血坏死钙化囊变,往往存在两种以上征象,因此平扫信号多不均匀,增强后呈中度以上不均匀强化;肿瘤极易发生转移,以骨、淋巴结、肺转移多见。
所有作者均声明不存在利益冲突





















