
探讨程序性死亡受体配体1(PD-L1)在肺腺癌组织中的表达及其与患者临床病理特征的关系。
收集南京大学医学院附属鼓楼医院2018年1月至8月病理确诊的141例初治肺腺癌患者石蜡包埋标本,应用免疫组织化学EnVision法检测PD-L1蛋白在肺腺癌组织肿瘤细胞(TC)及肿瘤间质浸润淋巴细胞(IC)中的表达情况,根据TC和IC中PD-L1的表达百分比进行计分。PD-L1在TC中按表达百分比分为TC3(≥50%)、TC2(≥5%且<50%)、TC1(≥1%且<5%)、TC0(<1%);PD-L1在IC中按表达百分比分为IC3(≥10%)、IC2(≥5%且<10%)、IC1(≥1%且<5%)、IC0(<1%)。
PD-L1在肺腺癌中的表达以TC1或IC1为阈值,阳性表达90例,阳性率63.8%(90/141);以TC3或IC3为阳性阈值,阳性表达17例,阳性率12.1%(17/141)。若以TC1或IC1为阳性阈值,PD-L1表达在不同性别、神经是否侵犯、胸膜是否侵犯患者间差异均有统计学意义(均P<0.05);若以TC3或IC3为阳性阈值,PD-L1在不同分化程度、临床分期、淋巴结转移有无、脉管是否侵犯、神经是否侵犯患者间差异均有统计学意义(均P<0.05);以TC1或IC1、TC3或IC3为阳性阈值,PD-L1表达均与神经侵犯相关(均P<0.05)。
PD-L1表达与神经受侵相关,PD-L1抑制剂有望用于PD-L1高表达复发进展肺腺癌患者的治疗。
版权归中华医学会所有。
未经授权,不得转载、摘编本刊文章,不得使用本刊的版式设计。
除非特别声明,本刊刊出的所有文章不代表中华医学会和本刊编委会的观点。
肺癌是我国高发恶性肿瘤之一,除手术、放疗、化疗等传统治疗手段外,近年来分子靶向治疗、免疫卡控点治疗的应用使部分晚期肺癌患者的生存时间进一步延长。程序性死亡受体配体1(PD-L1)在包括非小细胞肺癌的多种恶性肿瘤中过表达[1,2]。抗程序性死亡受体1(PD-1)及PD-L1的多种单克隆抗体药物如纳武单抗(nivolumab)、派姆单抗(pembrolizumab)、阿特珠单抗(atezolizumab)、duvalumab等已获美国食品和药品监督管理局(FDA)批准,用于治疗肺癌、恶性黑色素瘤、尿路上皮癌等多种恶性肿瘤[3,4,5,6,7]。然而目前PD-L1是"一种药物采用一种检测方法"的模式,由于检测试剂可及性等问题,国内尚鲜见统一的方法检测PD-L1的表达。本研究分析PD-L1在已切除手术肺腺癌不同类型组织中的表达及其与临床病理资料关系,以期为肺腺癌患者免疫治疗提供指导。
收集南京大学医学院附属鼓楼医院2018年1月至8月确诊的141例初治肺腺癌患者石蜡包埋标本和相关临床病理资料,其中男性60例,女性81例;≥60岁90例,<60岁51例;吸烟者13例,不吸烟者128例;病理类型:腺泡型79例,贴壁型31例,乳头型9例,黏液型3例,实体型7例,其他型12例;分化程度:高分化22例,中分化93例,低分化26例;临床分期:Ⅰ期99例,Ⅱ期17例,Ⅲ期25例;淋巴结有转移35例,未转移106例;脉管受侵24例,未受侵117例;神经受侵7例,未受侵134例。
141例肺腺癌组织均行兔抗PD-L1单克隆抗体[VENTANA PD-L1(SP142),美国罗氏公司]染色。采用免疫组织化学EnVision法,石蜡标本4 μm厚切片,经二甲苯脱蜡,梯度乙醇脱水,3% H2O2阻断内源性过氧酶,采用高压热修复法:乙二胺四乙酸(EDTA)pH 8.0,高压喷气计时2 min,加PD-L1一抗(SP142,滴度1∶100)后4 ℃过夜,磷酸盐缓冲液(PBS)冲洗后滴加二抗(EnVision K5007),室温条件下二氨基联苯胺(DAB)显色,苏木精对比染色,中性树胶封固。每张切片中设置胎盘、扁桃体组织分别作为阴性和阳性对照。
石蜡包埋标本连续4 μm厚切片10~12张,取最后一张进行PD-L1抗体染色,两位病理科医师在显微镜下确认切片中的肿瘤细胞(TC)和肿瘤间质淋巴细胞(IC)中PD-L1的表达百分比,并进行计分。PD-L1阳性部位定于细胞膜,呈棕黄色,在肿瘤细胞中,细胞表面呈部分或完整细胞膜表达,肿瘤细胞大而不规则;在肿瘤间质中,可见淋巴细胞呈胞质表达,间质淋巴细胞小且胞质比例少。肿瘤组织TC中PD-L1按表达百分比分为:≥50%为TC3,≥5%且<50%为TC2,≥1%且<5%为TC1,<1%为TC0[8,9,10];IC中PD-L1按表达百分比分为:≥10%为IC3,≥5%且<10%为IC2,≥1%且<5%为IC1,<1%为IC0。分别以TC1或IC1、TC3或IC3为阳性阈值来确定PD-L1的表达状态。
应用SPSS 20.0统计软件进行数据分析。计数资料组间比较采用χ2检验,P<0.05为差异有统计学意义。
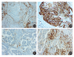
141例肺腺癌患者中,以TC1或IC1为阳性阈值时,PD-L1阳性90例(63.8%);以TC3或IC3为阳性阈值时,则阳性患者17例(12.1%)(图1)。以TC1或IC1为阳性阈值,PD-L1表达在不同性别、神经是否侵犯、胸膜是否侵犯患者间差异均有统计学意义(均P<0.05);以TC3或IC3为阳性阈值时,PD-L1在不同分化程度、临床分期、淋巴结是否转移、脉管是否侵犯、神经是否侵犯患者间差异均有统计学意义(均P<0.05);无论以TC1或IC1,还是TC3或IC3为阳性阈值,PD-L1的表达均与神经侵犯相关(均P<0.05);与年龄、是否吸烟、组织亚型、肿瘤大小、气道有无播散、有无表皮生长因子受体(EGFR)突变均无明显相关(均P>0.05)(表1)。

不同临床病理特征肺腺癌患者程序性死亡受体配体1(PD-L1)表达比较[例(%)]
不同临床病理特征肺腺癌患者程序性死亡受体配体1(PD-L1)表达比较[例(%)]
| 临床病理特征 | 例数 | PD-L1阳性 | 临床病理特征 | 例数 | PD-L1阳性 | ||||||||||||
|---|---|---|---|---|---|---|---|---|---|---|---|---|---|---|---|---|---|
| TC1或IC1为阈值 | χ2值 | P值 | TC3或I C3为阈值 | χ2值 | P值 | TC1或IC1为阈值 | χ2值 | P值 | TC3或IC3为阈值 | χ2值 | P值 | ||||||
| 性别 | 临床分期 | ||||||||||||||||
| 男性 | 60 | 45(75.0) | 4.834 | 0.018 | 10(16.7) | 1.405 | 0.148 | Ⅰ | 99 | 59(59.6) | 6(6.1) | ||||||
| 女性 | 81 | 45(55.6) | 7(8.6) | Ⅱ | 17 | 14(82.4) | 3.777 | 0.175 | 4(23.5) | 10.324 | 0.003 | ||||||
| 年龄(岁) | Ⅲ | 25 | 17(68.0) | 7(28.0) | |||||||||||||
| ≥60 | 90 | 61(67.8) | 1.240 | 0.195 | 10(11.1) | 0.036 | 0.647 | 淋巴结转移 | |||||||||
| <60 | 51 | 29(56.9) | 7(13.7) | 是 | 35 | 26(74.3) | 1.643 | 0.138 | 9(25.7) | 6.566 | 0.013 | ||||||
| 吸烟 | 否 | 106 | 64(60.4) | 8(7.5) | |||||||||||||
| 是 | 13 | 7(53.8) | 0.234 | 0.546 | 1(7.7) | 0.004 | 1.000 | 脉管受侵 | |||||||||
| 否 | 128 | 83(64.8) | 16(12.5) | 是 | 24 | 18(75.0) | 1.034 | 0.211 | 6(25.0) | 3.217 | 0.044 | ||||||
| 组织亚型 | 否 | 117 | 72(61.5) | 11(9.4) | |||||||||||||
| 腺泡型 | 79 | 53(67.1) | 13(16.5) | 神经受侵 | |||||||||||||
| 贴壁型 | 31 | 17(54.8) | 2(6.5) | 是 | 7 | 7(100.0) | 2.668 | 0.049 | 3(42.9) | 0.038 | |||||||
| 乳头型 | 9 | 6(66.7) | 4.100 | 0.556 | 1(11.1) | 6.289 | 0.518 | 否 | 134 | 83(61.9) | 14(10.4) | ||||||
| 黏液型 | 3 | 2(66.7) | 0(0.0) | 胸膜受侵 | |||||||||||||
| 实体型 | 7 | 6(85.7) | 1(14.3) | 是 | 46 | 35(76.1) | 3.690 | 0.035 | 5(10.9) | 0.001 | 0.763 | ||||||
| 其他型 | 12 | 6(50.0) | 0(0.0) | 否 | 95 | 55(57.9) | 12(12.6) | ||||||||||
| 分化程度 | 气道播散 | ||||||||||||||||
| 高分化 | 22 | 11(50.0) | 0(0.0) | 是 | 25 | 17(68.0) | 0.062 | 0.632 | 5(20.0) | 1.012 | 0.185 | ||||||
| 中分化 | 93 | 61(65.6) | 2.213 | 0.320 | 10(10.8) | 10.017 | 0.015 | 否 | 116 | 73(62.9) | 12(10.3) | ||||||
| 低分化 | 26 | 18(69.2) | 7(26.9) | EGFR突变 | |||||||||||||
| 肿瘤直径(cm) | 是 | 23 | 18(78.3) | 1.788 | 0.115 | 5(21.7) | 1.461 | 0.156 | |||||||||
| <3 | 99 | 62(62.6) | 0.070 | 0.648 | 10(10.1) | 0.660 | 0.274 | 否 | 118 | 72(61.0) | 12(10.2) | ||||||
| ≥3 | 42 | 28(66.7) | 7(16.7) | ||||||||||||||
注:TC1为肿瘤细胞PD-L1表达≥1%且<5%;TC3为肿瘤细胞PD-L1表达≥50%;IC1为肿瘤间质淋巴细胞PD-L1表达≥1%且<5%;IC3为肿瘤间质淋巴细胞PD-L1表达≥10%;EGFR为表皮生长因子受体


注:TC1为肿瘤细胞PD-L1表达≥1%且<5%;TC3为肿瘤细胞PD-L1表达≥50%;IC1为肿瘤间质淋巴细胞PD-L1表达≥1%且<5%;IC3为肿瘤间质淋巴细胞PD-L1表达≥10%
程序性死亡受体1(PD-1)及其配体PD-L1是免疫细胞的检查点调节分子。肿瘤细胞表面PD-L1与淋巴细胞表达的PD-1结合,从而逃避抗肿瘤免疫[11]。PD-L1在包括非小细胞肺癌的多种肿瘤中的表达已有报道,且相应的免疫检查点抗体药物已被FDA批准上市[12,13]。然而目前PD-L1的检测采用"一种药物采用一种检测方法"的模式,PD-L1阳性的判定标准也不同,美国FDA已经批准多个PD-L1伴随或补充检测试剂,包括VENTANA PD-L1(SP142)用于阿特珠单抗[9]、VENTANA PD-L1(SP263)用于durvalumab[14]、IHC22C3 pharmDx用于派姆单抗[15]、IHC228 pharmDx用于纳武单抗[16]等的临床诊断。尽管有BLUEPRINT(蓝印计划)研究在小部分肺癌标本中采取不同抗体比较了检测的一致性,初步结果显示22C3、28-8、SP263具有相似的肿瘤细胞阳性染色百分比,一致性较高,SP142染色阳性的肿瘤细胞较少。虽然22C3、28-8、SP263测定的PD-L1表达具有相似的百分比,但是互换试剂和阈值会导致某些患者PD-L1状态的"误分类"[17]。然而目前尚鲜见基于中国患者标本以及检测平台的类似分析,且肺腺癌中PD-L1表达与临床病理资料的临床意义尚未确定。我国食品药品监督管理局也未批准统一试剂检测PD-L1的表达和PD-L1统一的判读标准。本研究为临床回顾性研究,运用免疫组织化学EnVision法检测PD-L1(SP142)在肺腺癌中的表达并分析表达情况和临床病理特征之间的关系,所使用SP142试剂为科研型,PD-L1的表达为临床伴随诊断。目前使用SP142试剂盒做相应PD-L1表达主要是阿特珠单抗,一线使用阿特珠单抗要求PD-L1的表达>TC1或IC1,在阿特珠单抗对比紫杉醇二线后治疗非小细胞肺癌患者中,生存亚组分析中发现TC3或IC3的患者获益更明显,故本研究选择TC1或IC1和TC3或IC3两个标准。本研究中患者的PD-L1表达,若以TC1或IC1为阳性阈值,则PD-L1的阳性率为63.8%,但大部分PD-L1显示为弱阳性(TC1或IC1、TC2或IC2),这与以往研究结果相仿;若将TC3或IC3定为阳性阈值,则PD-L1的阳性率为12.1%,略低于以往研究[9,10]。
PD-L1在肺癌中表达与临床病理特征之间的关系尚无定论,D'Incecco等[18]研究表明PD-L1的表达在女性、腺癌、不吸烟、EGFR突变、间变性淋巴瘤激酶(ALK)重排、鼠类肉瘤病毒癌基因(KRAS)突变中高表达。Yang等[19]认为PD-L1高表达与高分化、血管受侵有关,与患者性别、年龄、吸烟状况、淋巴结是否转移、肿瘤分期、胸膜是否转移、EGFR是否突变、KRAS是否突变、鼠类肉瘤滤过性毒菌致癌基因同源体B1(BRAF)是否突变、ALK表达状态无关。其后期的研究又认为PD-L1的表达与患者临床病理特征、EGFR、KRAS、BRAF是否突变、ALK表达状态均无关[2,20]。而国内的研究[21]认为PD-L1的表达与临床分期、淋巴结转移有关,与其他临床病理特征无关。本研究发现,若以TC1或IC1为阳性阈值,PD-L1表达在男性、神经侵犯、胸膜侵犯患者中高表达(P<0.05);若以TC3或IC3为阳性阈值,PD-L1在不同分化程度、临床分期、淋巴结有无转移、脉管是否侵犯、神经是否侵犯患者中差异有统计学意义(P<0.05)。无论以TC1或IC1还是TC3或IC3为阈值,PD-L1的表达均与神经侵犯相关,而与患者年龄、是否吸烟、组织亚型、肿瘤大小、有无气道播散、有无EGFR突变均无明显相关性。总结其原因可能是PD-L1的表达具有动态性,在初治和经治非小细胞肺癌患者中表达有差异。治疗方法也可影响PD-L1的表达,如放疗可上调、吉非替尼靶向治疗可下调PD-L1的表达。PD-L1的表达在生物学上,由于瘤间及瘤内异质性、干扰素的诱导性影响、细胞类型、染色部位;在检测技术上,由于不同的检测抗体和平台、不同阳性阈值;在组织来源上,由于组织类型(存档标本和新鲜标本)、原发部位和转移灶、组织标本的质量等均会受到影响,故PD-L1表达在不同的研究中有差异。本研究在早期肺腺癌患者中,采用目前国内可购买到的SP142抗体检测PD-L1的表达,分析患者临床病理特征与PD-L1表达关系,发现神经受侵患者高表达PD-L1。相应的免疫抑制剂阿特珠单抗在晚期非小细胞肺癌患者中应用,表明PD-L1的高表达与临床获益明显相关[9],特别是在TC3或IC3患者中。本研究未行多因素分析是因为本研究采取2个判断标准,即TC1或IC1和TC3或IC3为阈值来判断PD-L1的表达,目前在非小细胞肺癌中,一线和二线使用PD-L1抑制剂所选用PD-L1的表达标准不同,因此不能判断哪一个研究标准更合适。本研究旨在分析患者临床病理特征与PD-L1表达的关系,以期指导后续复发患者的治疗,选择合适的治疗方案。后续研究会按照中华医学会肺癌临床诊疗指南(2018版)[22]要求对患者进行随访,获取进展患者治疗方案及相应生存时间。然而,PD-L1与临床病理特征之间的关系尚不明确,仍需要进一步在更大型的同质性人群研究中证实。
所有作者均声明不存在利益冲突





















