
探讨肺原发恶性黑色素瘤的病理特征、诊断及鉴别诊断。
分析苏北人民医院收治的1例肺原发恶性黑色素瘤患者的病理特征,并结合相关文献进行复习。
患者,男性,56岁,以肺占位性病变就诊,肿瘤位于右肺上叶后段,直径约0.6 cm,免疫组织化学检查示,瘤细胞HMB45、S-100蛋白、Melan-A弥漫表达;LCA、CgA、CD56、Syn、TTF-1、CD138均不表达,Ki-67(约10%+),结合病理学形态、影像学结果及临床查体情况,诊断为肺原发恶性黑色素瘤。
肺原发性恶性黑色素瘤较为罕见,诊断时需结合临床及其他检查综合考虑。
版权归中华医学会所有。
未经授权,不得转载、摘编本刊文章,不得使用本刊的版式设计。
除非特别声明,本刊刊出的所有文章不代表中华医学会和本刊编委会的观点。
黑色素瘤是起源于胚胎期神经嵴黑色素细胞的恶性肿瘤,具有生长迅速、早期易转移的特点。肺原发性恶性黑色素瘤(PMML)较罕见,国内外文献报道较少。现就我院收治的1例PMML患者的临床病理特征、免疫表型及鉴别诊断进行分析,从而加强对PMML的认识,避免误诊。
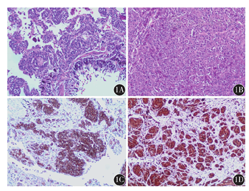
患者,男性,56岁,于2017年2月体检发现右上肺小结节,未行治疗,2018年2月复查胸部CT见右肺上叶类圆形结节状低密度影,直径约0.6 cm,边界毛糙,较1年前略增大,肺门及纵隔未见肿大淋巴结。头颅及腹部CT未见异常改变。既往有高血压病史,吸烟约400支/年。查体示:双肺呼吸音正常,无咳嗽、咳痰,无咯血及痰中带血,全身浅表淋巴结无肿大。于2018年2月入我院行手术治疗,术中见结节位于右肺上叶后段,直径约0.6 cm。术中取楔形切除肺组织行快速冷冻病理检查结果示恶性肿瘤,局部见色素沉着。遂行右上肺段切除术+淋巴结清扫术。术后病理示:右上肺叶后段部分楔形切除组织,大小约7.0 cm×5.0 cm×2.5 cm,已被剖开,距离胸膜2 cm见一灰褐色结节,约0.6 cm×0.5 cm×0.3 cm,结节表明胸膜光滑,无皱缩。组织形态学检查示:肿瘤细胞广泛累及细支气管黏膜上皮,浸润至黏膜下层,局部破坏支气管平滑肌并侵犯肺实质(图1A)。瘤细胞胞质较丰富,胞核呈卵圆形,部分区胞核偏位,部分区瘤细胞内见色素沉着,可见假包涵体(图1B)。免疫组织化学示:瘤细胞HMB45(图1C)、S-100蛋白(图1D)、Melan-A弥漫强阳性,LCA、CgA、CD56、Syn、TTF-1、CD138均阴性,Ki-67(约10%+)。术后进一步全面检查,头颈部皮肤、口腔、肛周黏膜未见痣及色素沉着区,患者否认皮肤黑色素瘤、黑痣及鸡眼手术史。术后病理结果示:(右肺上叶后段)原发性恶性黑色素瘤,肿瘤组织未累及脏层胸膜。


恶性黑色素瘤可发生于任何部位,约占全身恶性肿瘤的3%。全球每年新增诊断约16万例,多为中老年人,90%病例见于皮肤,但口腔黏膜、鼻窦、胃肠道、生殖系统及眼球亦可发生。PMML仅占肺部肿瘤的0.01%,占全身恶性黑色素瘤的0.4%。由于部分皮肤恶性黑色素瘤发生转移后原发灶会自行消失[1],因此区分肺原发或转移的恶性黑色素瘤十分困难。目前国外文献报道的PMML仅40例[2]。对PMML的诊断需结合临床、影像和病理检查,在诊断时多应用Wilson提出的诊断标准[3]:孤立的肺部肿块;瘤细胞呈现"亲上皮"现象,即瘤细胞侵犯支气管,在黏膜上皮下弥漫浸润,并累及肺实质;经免疫组织化学或电子显微镜证实为黑色素瘤细胞;无皮肤、黏膜、肠道或眼周的黑色素瘤病史;诊断时(或经过尸检)无全身其他部位肿瘤。本例患者符合上述诊断标准,诊断为PMML。
PMML发病原因尚未明确,推测可能与以下机制有关:(1)机体的黑色素细胞来源于神经嵴,散在于整个神经内分泌系统,在胚胎形成早期由鼻咽部向下呼吸道延续,存在于肺泡及支气管黏膜上皮内的黑色素细胞是形成原发性黑色素瘤的基础;(2)由呼吸道的多潜能干细胞向黑色素细胞分化[4];(3)皮肤的黑色素细胞经由淋巴管并且通过淋巴循环到达呼吸道,进而恶变。
通常,较大的PMML可出现胸痛、咳嗽、咯血或肺不张,但这些症状与其他呼吸系统肿瘤相似,缺乏特异性。有30%的患者无明显的临床表现,仅在影像学检查时发现肺占位,术后经病理证实为恶性黑色素瘤。PMML病理常表现为:瘤细胞在大支气管或外周细小支气管的黏膜上皮下浸润生长,侵犯肺实质,充满肺泡腔。瘤细胞胞质丰富红染或透明,核仁清晰,形成假包涵体样结构,细胞内有或无黑色素颗粒。免疫组织化学染色呈HMB45、S-100蛋白、Vimentin和Melan-A弥漫阳性,但当肿瘤细胞分化较差或由于细胞分化异常而不形成黑色素小体时则呈阴性。对于免疫组织化学阴性的病例,电子显微镜查找黑色素小体可以为诊断提供帮助。对PMML的诊断需慎重,首先要排除转移性病变,尤其是对于缺乏色素的PMML诊断时需与如下疾病鉴别:(1)肺透明细胞瘤:近年文献[5]将肺透明细胞瘤归入血管周围上皮样细胞分化的肿瘤谱系中,其组织学形态易与透明变性的恶性黑色素瘤混淆,但前者除表达HMB45和Melan-A外,还表达CD34及SAM,而S-100蛋白阴性[6]。(2)肺淋巴瘤:肺继发性弥漫大B细胞淋巴瘤多累及胸膜并血管浸润,通常伴随全身淋巴结肿大等症状[7],CD20和CD79a阳性。霍奇金淋巴瘤绝大部分是从肺门或纵隔淋巴结病变直接累及肺实质,CD30和CD15阳性;(3)骨外浆细胞瘤:多见于大支气管,较少累及肺实质,分化较差时可见大量浆母细胞,瘤组织中见结节状均质的伊红染色M蛋白沉积,免疫球蛋白重链和轻链呈单克隆阳性,CD138阳性;(4)微小类癌:通常位于呼吸道周边,直径≤0.5 cm,伴有明显的纤维性间质及坏死,TTF-1、Syn、CgA阳性,Ki-67>(50%+)。
本病预后极差,短期内迅速恶化,早期即可向脑、肝脏、淋巴系统等部位转移,对于肿瘤局限于肺叶内的患者,手术切除病灶并行广泛的淋巴结清扫为最佳治疗方案。虽然经过手术切除的病例生存期略有延长,但因局部复发和转移而使得总生存期仍不超过1年。由于本病罕见,目前暂无明确的数据证实术后化疗或放疗可以显著延长患者生存期。近年来随着对黑色素瘤分子生物学特征和基因变异研究的深入,免疫靶向药物的应用可能对临床进一步治疗提供帮助[8]。
所有作者均声明不存在利益冲突





















