
观察派姆单抗联合安罗替尼治疗晚期食管鳞状细胞癌(ESCC)的效果。
回顾性分析江苏大学附属昆山医院收治的1例晚期ESCC并发生肺转移和肝转移患者的临床资料,并复习相关文献。
该患者为老年女性,ESCC经过治疗后出现肺转移和肝转移,予派姆单抗联合安罗替尼治疗,疗效达部分缓解,无进展生存期约9个月。
晚期ESCC三线治疗采用派姆单抗联合安罗替尼治疗可获得良好疗效。
版权归中华医学会所有。
未经授权,不得转载、摘编本刊文章,不得使用本刊的版式设计。
除非特别声明,本刊刊出的所有文章不代表中华医学会和本刊编委会的观点。
早、中期的食管癌可通过外科手术或化疗联合手术等方式达到一定的治疗效果,但是疾病一旦进展到晚期,患者的治疗选择有限,以化疗为基础的综合治疗缓解率较低,二线治疗的疗效也无显著提高,并且众多靶向治疗都以失败告终;免疫治疗给晚期食管鳞状细胞癌(ESCC)患者带来了希望。我们应用派姆单抗联合安罗替尼三线治疗1例晚期ESCC伴肺转移和肝转移患者,现报道如下。
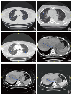
患者,女性,63岁,2016年9月开始出现进食后哽噎,胃镜检查结果示上胸段食管癌,活组织病理检查提示鳞状细胞癌。PET-CT扫描提示食管癌伴左锁骨上和纵隔淋巴结转移。在征得患者同意后,对患者进行了同步放化疗。患者接受食管和相关淋巴结区域病变的放疗,同时每周接受紫杉醇(50 mg/m2)和卡铂(AUC2)的联合化疗方案,共6个周期。6个月后,CT扫描显示腹膜后淋巴结转移。采用立体定向放射疗法(SBRT)治疗局部病变。但3个月后,患者食管处病变复发,并发生多处肺转移。患者接受mFOLFOX6方案姑息化疗:奥沙利铂85 mg/m2,第1天;亚叶酸钙400 mg/m2,第1天;5-氟尿嘧啶400 mg/m2,第1天;5-氟尿嘧啶2 400 mg/m2,持续静脉注射,共5个周期。CT复查显示疾病进展(PD),伴有胸闷、气促的症状,同时在肝脏中发现了新的病变。采用免疫组织化学法检测程序性死亡受体配体1(PD-L1)和DNA错配修复(MMR)状态,结果显示PD-L1阴性表达,MMR正常。在获得患者的知情同意后,从2018年6月6日开始,采用派姆单抗(200 mg,第1天,3周1次)联合安罗替尼(12 mg,第1天至第4天,3周1次)治疗。2周后,患者气促和胸闷的症状得到缓解。治疗1个月后胸部CT示:一些肺结节的体积变小,胸腔积液量减少;肝转移灶在1个月内增大,但在2个月的治疗后体积明显减小(图1)。患者接受联合治疗7个月后,定期评估显示病情稳定(SD)。2019年3月再次出现PD,并出现黄疸。2019年5月2日患者死于肝衰竭。


目前对于接受至少二线化疗的晚期ESCC患者,尚无标准治疗方法。本例晚期ESCC患者接受派姆单抗联合安罗替尼联合治疗获得近9个月无进展生存(PFS)。免疫检查点抑制剂已显示出对多种类型癌症的良好治疗效果[1,2,3]。根据KEYNOTE-181(NCT02564263)[4]和KEYNOTE-180(NCT02559687)[5]的数据,美国食品药品管理局(FDA)批准将派姆单抗作为单一疗法治疗局部晚期复发或表达PD-L1[联合阳性评分(CPS)≥10]的转移性ESCC,且既往经1次或多次全身治疗后PD的患者。根据KEYNOTE-181,接受帕博利珠单抗治疗患者的中位PFS时间为3.2个月,接受化疗患者的中位PFS时间为2.3个月(HR=0.66,95%CI 0.48~0.92)。接受派姆单抗治疗患者的客观缓解率(ORR)为22%(95%CI 14.0~33.0),完全缓解(CR)率为5%(4例),部分缓解率为18%(15例)。
安罗替尼是一种小分子多靶点酪氨酸激酶抑制剂(TKI),靶向血管内皮生长因子受体(VEGFR)、成纤维细胞生长因子受体(FGFR)、血小板衍生生长因子受体(PDGFR)和c-kit[6],是对新血管生成和肿瘤进展具有抑制作用的广谱药物。ALTER1102是一项随机、双盲、安慰剂平行对照、多中心Ⅱ期临床试验,用于对比安罗替尼和安慰剂对一线或多线治疗后出现PD的晚期ESCC患者的疗效,结果显示安罗替尼能明显延长ESCC患者的中位PFS时间(3.2个月),疾病控制率(DCR)为64%[7]。
尽管免疫检查点抑制剂或小分子多靶点TKI单一疗法在ESCC中显示出良好的疗效,但应考虑更多问题。首先,单一疗法的PFS并不令人满意。KEYNOTE-181和ALTER1102都显示无论是帕博利珠单抗还是安罗替尼的中位PFS时间达3个月。而且免疫检查点抑制剂主要对PD-L1阳性患者有益,但对CPS<10分患者的作用有限。本研究患者PD-L1阴性表达,肿瘤比例评分(TPS)值为1%,并且患者的DNA MMR正常,经二线治疗后出现PD。根据Keynote-590的数据显示,在亚洲人群中无论PD-L1的表达如何,使用派姆单抗都显示出总生存上的获益,而安罗替尼又能明显改善ECSS患者的中位PFS时间[8]。所以,我们选择将派姆单抗联合安罗替尼作为本例患者的三线治疗,结果PFS时间达9个月,比单药治疗的时间更长。这种组合已应用于其他类型的癌症,并获得了较好疗效[9]。机制为血管内皮生长因子(VEGF)对抗肿瘤T细胞具有抑制作用。安罗替尼的VEGF抑制作用可增强T细胞功能,因此免疫检查点抑制剂可增强抗肿瘤治疗效果[10,11]。在治疗期间,患者出现3级高血压症状,这可能是安罗替尼的不良反应。但使用安罗替尼治疗的晚期ESCC患者出现高血压不良反应,往往可能有更好的疗效。综上所述,本例晚期ESCC患者尝试派姆单抗和安罗替尼联合的三线治疗方案,并且获得了9个月的PFS时间,派姆单抗和安罗替尼的联合治疗可能为晚期ESCC的可选方案。
所有作者均声明不存在利益冲突





















