
提高对纵隔卵黄囊瘤的认识。
回顾性分析2020年6月复旦大学附属中山医院厦门医院收治的1例原发纵隔卵黄囊瘤的患者资料,并进行文献复习。
患者为青年男性,诊断为纵隔巨大卵黄囊瘤,经化疗联合手术切除1个月后出现疾病进展,予安罗替尼联合化疗后评价疗效为部分缓解,因个人原因停用静脉化疗后出现疾病进展,合并脑出血,呼吸衰竭死亡。
安罗替尼联合化疗对原发纵隔卵黄囊瘤有一定疗效。
版权归中华医学会所有。
未经授权,不得转载、摘编本刊文章,不得使用本刊的版式设计。
除非特别声明,本刊刊出的所有文章不代表中华医学会和本刊编委会的观点。
卵黄囊瘤是起源于生殖细胞的恶性肿瘤,好发于婴幼儿及青少年,原发纵隔卵黄囊瘤青年男性多见,起病隐匿,易复发,目前临床上以手术和化疗为主。我们采用安罗替尼联合化疗治疗1例原发纵隔巨大卵黄囊瘤,现结合文献报道如下。
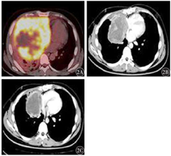
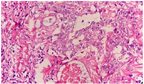
患者,男性,26岁。2020年5月出现咳嗽、胸闷、肩背部疼痛,6月19日就诊于我院。PET-CT示:右侧胸前恶性占位,大小为16.7 cm×15.1 cm×22.3 cm,右侧胸膜及纵隔多发淋巴结转移。肿瘤标志物:甲胎蛋白(AFP)36 343 ng/ml,β人绒毛膜促性腺激素(β-HCG)<2.0 mU/ml。2020年6月20日行CT引导下胸部肿块穿刺活组织检查,病理结果示:卵黄囊瘤。免疫组织化学:AFP、CK阳性,Ki-67阳性指数为50%。2020年6月开始行姑息一线第1~4个周期ABX+EP方案化疗:白蛋白结合型紫杉醇125 mg/m2 ,第1、8天;依托泊苷100 mg/m2,第1天至第5天;顺铂20 mg/m2,第1天至第5天;每3周重复。4个周期后影像学评价为部分缓解(PR),AFP 3 084 ng/ml。2020年10月于胸外科行纵隔肿物姑息性切除术,术后病理诊断为卵黄囊瘤(图1)。免疫组织化学:AFP、CK、PLAP、SALL4阳性,CD117、OCT-4阴性,Ki-67阳性指数为50%。因上腔静脉血栓,每日口服利伐沙班片(拜瑞妥)10 mg,每日1次。2020年11月(术后1个月)出现疾病进展(PD),AFP 54 678 ng/ml。因既往化疗有效,2020年11月至2021年1月行第5~7个周期ABX+EP方案化疗,剂量同前。同时加用安罗替尼12 mg/d,第1天至第14天口服,每3周重复。患者治疗7个周期后影像学检查评价疗效为PR(图2),AFP 3 955 ng/ml。2021年1月因纳差、消瘦要求暂停静脉注射化疗,仅口服安罗替尼,剂量同前。安罗替尼口服过程中,未出现骨髓抑制、肝肾功能损害、高血压及出血等不良反应。2021年3月复查提示PD,AFP 46 869 ng/ml。于3月30日开始安罗替尼+TIP方案治疗:安罗替尼12 mg/d,第1天至第14天口服;白蛋白结合型紫杉醇125 mg/m2,第1、8天;异环磷酰胺1.8 g/m2,第1天至第4天;顺铂20 mg/m2 ,第1天至第4天;每3周重复,共2个周期,疗效评价为PR,AFP 5 155 ng/ml。后因个人原因要求再次停止静脉注射化学治疗。5月27日至7月2日行局部放疗,以右前纵隔占位为肿瘤体积,照射剂量5 000 cGy,25次,共5周。放疗期间同期口服安罗替尼,剂量同前。8月10日出现额叶大面积脑出血及昏迷,安罗替尼已停药4 d,当天测得凝血酶原时间(PT)17.5 s,活化部分凝血活酶时间(APTT)35.5 s,D-二聚体4.97 s,考虑利伐沙班片致脑出血可能性大,不排除与安罗替尼相关,予停用利伐沙班片,转入神经外科治疗,于2021年9月死于呼吸衰竭。




卵黄囊瘤又称内胚层窦肿瘤,是起源于生殖细胞的恶性肿瘤。因组织学上类似于原始卵黄囊的间充质而得名。卵黄囊瘤好发于婴幼儿、儿童及青少年,一般发生于生殖腺内,也可以发生在生殖腺外。生殖腺外卵黄囊瘤占2%~5%,常位于身体中轴线,包括颅内、纵隔、骶尾椎及腹膜后等[1]。原发于纵隔的卵黄囊瘤临床上罕见,且好发于青年男性,预后较差[2]。
原发纵隔卵黄囊瘤多位于前纵隔,起病隐匿,常发生转移,尤其易转移至邻近组织和器官,如心包、肺、纵隔内大血管等,且易复发[2]。卵黄囊瘤血清AFP升高,但β-HCG一般不升高,也可作为相对特异性诊断指标[3]。CT和磁共振成像(MRI)对原发纵隔卵黄囊瘤有很好的诊断价值,可以评价有无远处转移及与周围组织关系,评估肿瘤的可切除性。但影像学结果难以和其他原发于纵隔的肿瘤相鉴别,如原发纵隔淋巴结或胸腺瘤。且因卵黄囊瘤具有异质性,可与其他生殖细胞肿瘤混合,因此在接受治疗前,患者均需接受穿刺活组织检查以明确病理诊断[4]。
原发纵隔卵黄囊瘤目前仍以手术和化疗为主,手术是唯一可根治卵黄囊瘤的治疗方式[5]。卵黄囊瘤对化疗敏感,一项9例纵隔卵黄囊瘤的回顾性研究显示,5例患者生存2年以上,表明手术联合化疗可延长生存时间[6]。因此,目前推荐治疗方案为术前化疗联合残余病灶切除,常用的化疗方案为VIP(依托泊苷+异环磷酰胺+顺铂)及PEB(依托泊苷+顺铂+博来霉素)方案,治疗2~4个疗程[7]。化疗前AFP升高、化疗后存在残余肿瘤细胞及出现肺转移均为预后不良因素,应在化疗过程中密切监测AFP水平,并及时利用影像学检查评估病灶[8]。除了手术联合传统化疗方案之外,许多新型药物治疗卵黄囊瘤正在研究中,包括靶向抗血管生成药物。一项阿帕替尼治疗儿童实体瘤的回顾性研究表明,阿帕替尼对卵黄囊瘤有一定疗效且具有良好安全性[9]。
本例患者术后1个月出现肿瘤快速复发,予传统方案化疗联合安罗替尼治疗3个周期后达PR,证实了安罗替尼联合化疗对纵隔卵黄囊瘤有一定疗效。后患者因个人原因停用静脉化疗,仅口服安罗替尼2个周期后疾病快速进展,但安罗替尼+TIP方案化疗后很快获PR,说明安罗替尼联合化疗对纵隔卵黄囊瘤有一定疗效,但仍需要更多的临床研究及实践证明。患者术后长期口服利伐沙班片抗凝治疗,后续安罗替尼停药过程中出现脑出血,考虑利伐沙班片致脑出血可能性大,但不排除安罗替尼相关出血,因此靶向抗血管生成药物治疗卵黄囊瘤的安全性和有效性需要更多真实世界研究进一步探讨。
所有作者均声明不存在利益冲突





















