
探讨颅内肿瘤患者开颅术后颅内再出血的影响因素。
回顾性分析2014年1月至2021年12月镇江市第一人民医院收治的105例采用常规方式行开颅手术的颅内肿瘤患者(常规组)和56例术前或术中采取针对性预防措施后行开颅手术的颅内肿瘤患者(预防组)临床资料,对两组手术情况及术后颅内再出血原因进行分析。
常规组32例(30.5%)术后颅内再出血,预防组7例(12.5%)术后颅内再出血;预防组颅内再出血发生率低于常规组,差异有统计学意义(P<0.05)。常规组32例再出血患者中,采取保守治疗20例,其中3例残留神经功能障碍;9例二次手术患者中4例恢复良好,4例残留神经功能障碍(其中1例视力下降,1例一侧肢体肌力下降),1例长期植物人状态。预防组7例术后颅内再出血患者中,6例采取保守治疗后恢复良好,1例二次手术后遗留一侧肢体肌力下降,无死亡病例。
颅内肿瘤术后再出血的影响因素包括术中颅内压剧烈波动、止血不可靠、术中操作不规范、术后肿瘤残留,而缓慢降压、操作轻柔、术中确切止血及术后保持血压稳定等措施有助于预防颅内肿瘤术后出血。术后严密观察及时复查头颅CT可尽早发现出血、及时处理,从而改善患者的预后。
版权归中华医学会所有。
未经授权,不得转载、摘编本刊文章,不得使用本刊的版式设计。
除非特别声明,本刊刊出的所有文章不代表中华医学会和本刊编委会的观点。
颅内肿瘤术后再出血是神经外科手术常见的并发症之一,大部分患者经过及时处置,预后较好,少数患者会遗留功能障碍,影响生命质量,严重时还可导致死亡。文章对颅内肿瘤开颅术后颅内再出血原因和患者恢复情况进行分析,并总结针对性的预防措施。
回顾性分析2014年1月至2021年12月镇江市第一人民医院收治的行开颅术的颅内肿瘤患者的资料,其中105例采用常规方式行开颅手术患者为常规组,56例术前或术中采取针对性预防措施的开颅手术患者为预防组。161例患者中男性84例,女性77例,中位年龄为54岁,年龄范围28~82岁。术后病理示:脑膜瘤75例,胶质瘤47例,转移瘤22例,听神经鞘瘤9例,颅咽管瘤6例,胆脂瘤2例。所有术后颅内再出血患者均行头颅CT检查证实为颅内出血。由3位临床经验丰富的主任医师通过观看术中录像及分析术前、术后检查结果,分析出血原因。
采用SPSS 25.0软件进行统计学分析,计数资料用频数(%)表示,两组间比较采用χ2检验,以P<0.05为差异有统计学意义。
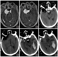
常规组术后颅内再出血32例(30.5%),预防组7例(12.5%),预防组再出血发生率明显低于常规组,差异有统计学意义(P<0.05)。常规组再出血部位幕上28例,幕下4例;术区附近出血19例,硬膜外出血5例,硬膜下出血3例,蛛网膜下腔出血3例,远隔部位出血2例。根据多田公式的计算,患者出血量10~20 ml 17例,21~30 ml 7例,31~40 ml 4例,41~60 ml 4例。常规组中1例右侧鞍旁脑膜瘤患者,术后当天复查CT颅内未见再出血,由于术中释放脑脊液速度过快,颅内压波动剧烈,术后次日CT示术区对侧颞枕叶新发脑内血肿(图1)。预防组再出血部位幕上6例,幕下1例。出血量在10~20 ml 5例,21~30 ml 2例。


常规组中颅内再出血32例中,术中、术后颅内压剧烈波动导致再出血13例(40.6%),挫伤的脑组织导致再出血6例(18.8%),脑组织淀粉样变导致再出血4例(12.5%),回流静脉损伤导致再出血4例(12.5%),灌注压突破导致再出血2例(6.2%),悬吊硬膜不严密导致再出血2例(6.2%),凝血功能异常导致再出血1例(3.1%)。预防组颅内再出血7例中,颅内压波动导致再出血3例,挫伤的脑组织导致再出血2例,灌注压突破导致再出血1例。常规组中患者再出血后的临床表现为剧烈头痛、呕吐15例,意识恶化10例,肢体肌力下降8例,视力下降3例,癫痫发作2例,无明显症状4例。常规组颅内再出血32例中,20例采取保守治疗;术区出血7例和硬膜外血肿2例因出血后产生颅高压症状,急诊行二次手术清除血肿;3例患者行脑室外穿刺引流治疗。预防组颅内再出血7例中,仅有1例出现意识恶化,行二次手术清除血肿;其余6例表现为头痛、呕吐,采取常规保守治疗。
常规组采取保守治疗的20例患者中,17例恢复良好,无明显神经功能异常,3例残留一侧肢体肌力下降;二次手术患者9例中,4例恢复良好,4例残留神经功能障碍(其中1例视力下降,1例一侧肢体肌力下降),1例长期植物人状态;3例脑室外引流患者1周后拔除引流管,均恢复良好。预防组6例采取保守治疗者恢复良好,1例二次手术者遗留一侧肢体肌力下降,未出现死亡病例。常规组69例(65.7%)患者住院时间>21 d,预防组19例(33.9%)患者住院时间>21 d;常规组平均格拉斯哥预后评分为3.3分,预防组为4.2分。
颅内肿瘤的治疗方式以手术切除为主,恶性肿瘤还需辅以放化疗。颅内肿瘤患者开颅手术后,颅内再出血是一种较为常见的并发症。如患者术后出现颅内再出血,会引起颅高压症状,严重影响患者的生命质量,少数患者颅内大量出血治疗不及时,将会危及生命[1]。
大部分患者开颅手术出血表现为术区出血,少数患者出现硬膜外血肿、蛛网膜下腔出血或远隔部位血肿。有些患者术后再出血发生在麻醉苏醒过程中,常误诊为麻醉药物代谢所致,往往发现不及时,容易引发严重后果[2]。我们总结再出血的原因主要有以下几个方面:(1)患者脑组织顺应性较差,伴有血管淀粉酶样变或血管硬化,术中切除肿瘤或释放脑脊液速度过快[3],不合理使用脱水药物,血压或颅内压出现剧烈波动,这些可导致术后颅内血管破裂出血[4]。(2)术中颅内压降低效果不明显,术者操之过急,脑组织被脑压板牵拉严重,回流静脉受到损伤,导致水肿、挫伤的脑组织术后出血,多见于一些肿瘤体积较大者及术中视野暴露不满意以及急性肿瘤卒中导致脑疝的患者。有些肿瘤体积较大、病理血管丰富生长,可释放血管活性物质[5],常伴有严重瘤周水肿,术后出现正常灌注压突破,可导致创面出血[6]。(3)术中操作不规范,硬脑膜悬吊不及时、不牢靠,缝合硬脑膜时导致皮层损伤,小动脉回缩后止血不可靠。(4)患者苏醒时血压不稳定,吸痰不及时,拔管后剧烈呛咳,颅内压出现剧烈波动。肿瘤切除不完全,残余肿瘤止血不确切,术后血压一旦出现波动,就会导致术区出血。(5)有些手术时间较长,术中出血较多,没有及时输血纠正异常,患者凝血系统发生纤溶,导致局部凝血功能障碍,引发再出血。
针对以上情况,我们可采取一些预防措施,如术中避免脑脊液过快释放,不宜过快切除肿瘤;术后引流袋不能放置过低,适当控制引流量,观察引流液颜色,如长时间未见血性液体流出,也可提早拔除引流管,避免脑脊液引流过多,造成术后低颅压,同时还可以减少颅内感染发生率;术后要合理使用甘露醇脱水药物,尤其对于年纪较大的患者,要避免长时间、大剂量使用甘露醇脱水,有条件的配合使用颅内压监护仪,根据监测结果及时调整甘露醇的剂量;对于体积较大的肿瘤,术中应保护好周围重要的引流静脉,临床中静脉损伤的症状往往比动脉损伤的症状还要严重[7];关颅前使用0.9% NaCl溶液填充瘤腔,术后保持血压平稳,预防出现正常灌注压突破。
术前合理设计体位很有必要,有些位置的肿瘤可利用脑组织自身重力产生的间隙暴露肿瘤,术中操作应轻柔,充分、缓慢释放脑脊液[8],避免使用脑压板持续牵拉脑组织,如术前预估患者减压效果不理想,难以满足必要的暴露,术前可行腰大池引流,待手术结束后再拔除引流管。术中应规范操作,不可操之过急,去除骨瓣后需迅速控制出血,及时悬吊硬脑膜,以免出血流入硬膜外腔,导致术中难以发现,悬吊时缝线应尽可能靠近骨窗边缘,回纳骨瓣后应检查有无扯断悬吊的缝线。止血不确切的重点区域需反复查看止血效果,对于术中无明显原因的脑膨出,应高度怀疑其他部位出血的可能,必要时可暂停手术,及时复查CT,明确脑膨出的原因。患者在苏醒时应加强生命体征的监测,避免躁动,必要时可适当使用镇静药物,苏醒室的医生需及时吸痰,拔管时操作轻柔、快速,以免患者剧烈咳嗽引起血压波动,出现异常情况,及时复查头颅CT[9]。对于边界不清或侵犯功能区的肿瘤,术中有时会导致肿瘤残留,对于这种患者术中止血要充分、确切,避免使用压迫止血的方法。口服抗凝药物会增加再出血发生率[10],术前至少应停用两周,对手术时间较长,术中出血较多的患者,术前需准备充分,提前和输血科预约可能需要的血制品,术中反复监测血常规,及时补充红细胞、血小板、凝血因子等,以免出现术中无血可输的情况。
通过和常规方式行开颅手术患者的比较,我们发现采取预防措施后开颅手术患者颅内再出血发生率明显降低,住院时间明显缩短,神经功能恢复优于常规组,说明这些针对性的措施是合理、有效的。临床中肿瘤术后再出血是无法避免的,但是相信完善的术前准备、规范的诊疗步骤和术中操作、严密的术后监护可以将出血发生率降低,提高患者的生命质量。
所有作者均声明不存在利益冲突





















