
探讨OGDHL、富含AU元件的RNA结合蛋白1(AUF1)在非小细胞肺癌(NSCLC)患者中的表达,及其与患者预后的相关性。
回顾性分析2018年2月至2019年2月在广安市人民医院确诊并进行手术治疗的96例NSCLC患者的临床资料。取手术切除的NSCLC肿瘤组织及距肿瘤边缘4 cm处的癌旁组织,采用免疫组织化学法检测所有标本组织中OGDHL、AUF1蛋白表达情况。分析OGDHL、AUF1蛋白与NSCLC临床病理特征关系,采用Kaplan-Meier法比较不同OGDHL、AUF1蛋白表达患者的3年总生存(OS)率;采用多因素Cox比例风险模型分析NSCLC患者预后的影响因素。
NSCLC患者肿瘤组织OGDHL蛋白高表达率低于癌旁组织[32.3%(31/96)比62.5% (60/96),χ2=45.21,P<0.001],AUF1蛋白高表达率高于癌旁组织[68.8%(66/96)比34.4%(33/96),χ2=42.36,P<0.001]。TNM分期Ⅰ~Ⅱ期患者OGDHL蛋白高表达率高于Ⅲ~Ⅳ期[39.1%(25/64)比18.8%(6/32)],有淋巴结转移患者OGDHL蛋白高表达率低于无淋巴结转移[10.3%(3/29)比41.8%(28/67)](均P<0.05);Ⅰ~Ⅱ期患者AUF1蛋白高表达率低于Ⅲ~Ⅳ期患者[59.4%(38/64)比87.5%(28/32)],有淋巴结转移患者AUF1蛋白高表达率高于无淋巴结转移患者[86.2%(25/29)比61.2% (41/67)](均P<0.05)。所有NSCLC患者3年OS率为62.50%。其中OGDHL蛋白高表达组患者术后3年OS率高于低表达组(80.66%比53.33%,P<0.05),AUF1蛋白高表达组患者术后3年OS率低于低表达组(50.00%比76.52%,P<0.05)。不同TNM分期、是否淋巴结转移的NSCLC患者3年OS率差异均有统计学意义(均P<0.05),且TNM分期Ⅲ~Ⅳ期、有淋巴结转移患者3年OS率均分别低于Ⅰ~Ⅱ期、无淋巴结转移的患者(均P<0.05)。OGDHL低表达(HR=3.78,95% CI 1.72~8.31)、AUF1高表达(HR=3.67,95% CI 1.73~7.80)均是影响NSCLC患者预后的独立危险因素(均P<0.001)。
NSCLC组织中OGDHL蛋白表达降低,AUF1蛋白表达升高,且二者表达水平与NSCLC患者预后相关。
版权归中华医学会所有。
未经授权,不得转载、摘编本刊文章,不得使用本刊的版式设计。
除非特别声明,本刊刊出的所有文章不代表中华医学会和本刊编委会的观点。
非小细胞肺癌(NSCLC)是我国发病率高、死亡率高的呼吸系统恶性肿瘤,虽然目前临床通过手术切除等综合治疗在一定程度上可改善患者预后,但由于其早期症状不明显及诊断水平的限制,导致部分患者确诊时已有转移,而肿瘤转移对患者术后复发及长期生存有直接影响[1,2]。OGDHL蛋白作为多酶OGDH复合物的第1步和限速步骤,具有降解葡萄糖和谷氨酸的功效[3]。OGDHL在乳腺癌、甲状腺癌中表达下调[4]。富含AU元件的RNA结合蛋白1(AUF1)也称不均一核糖核蛋白D(hnRNPD),不仅通过介导炎性细胞因子mRNA而调控炎症反应,同时与癌症进程密切相关[5]。AUF1在口腔鳞状细胞癌中表达水平上调,同时促进其发生、发展[6]。目前关于OGDHL、AUF1蛋白与NSCLC的关系尚不明确。本研究探讨OGDHL、AUF1蛋白在NSCLC肿瘤组织中的表达及其与患者预后的相关性。
纳入标准:(1)经病理组织学及细胞学确诊为NSCLC;(2)获得患者及家属的知情同意;(3)均进行手术治疗,且术前未行放化疗治疗。排除标准:(1)伴有自身免疫病、血液系统疾病、呼吸系统感染性疾病以及其他恶性肿瘤疾病;(2)伴有严重心、肝、肾等重要脏器功能障碍;(3)术前接受放疗、化疗及生物治疗等;(4)既往精神病史或存在语言、认知功能障碍;(5)临床资料不全或无法完全配合本研究。根据纳入、排除标准,回顾性分析2018年2月至2019年2月我院确诊并进行手术治疗的96例NSCLC患者资料,其中男性66例,女性30例;年龄(60±3)岁,范围45~80岁。取手术切除的NSCLC肿瘤组织及距肿瘤边缘4 cm处的癌旁组织。本研究获得广安市人民医院医学伦理委员会批准(审批文号:伦审103402)。
将标本石蜡包埋,连续4 μm切片,随后经二甲苯脱蜡水化,加入H2O2室温15 min,经磷酸盐缓冲液(PBS)漂洗3次(每次3 min),加5% BSA封闭。加入一抗(美国Abcam公司生产的兔抗人AUF1、OGDHL单克隆抗体)4 ℃过夜,PBS漂洗3次(每次3 min)后,再加入二抗(美国Abcam公司生产的山羊抗兔IgG),37 ℃ 30 min,PBS漂洗3次(每次3 min),最后经二氨基联苯胺(DAB)显色、苏木精对比染色、盐酸乙醇分化、氨水返蓝、脱水、封固和晾片。以PBS代替一抗作阴性对照。
结果判定[7]:采用双盲法,由2位高年资病理科医师评价染色结果。随机选取5个高倍视野(×400),每个视野计数400个细胞,按操作规范分别记录阳性细胞染色强度与阳性细胞百分比。阳性细胞染色强度评分:无色为0分、浅黄色为1分、棕色为2分、深褐色为3分。阳性细胞百分比:<25%为1分、≥25%且≤50%为2分、>50%且≤75%为3分、>75%为4分。最终得分为阳性细胞比例和染色强度评分的乘积,≥ 3分为高表达,<3分为低表达。
所有患者术后通过复诊或电话的方式随访3~36个月,截至2022年2月。总生存(OS)定义为患者进入研究至死亡或末次随访时间。
采用SPSS 23.0软件进行数据分析。计量资料符合正态分布,以
±s表示,两组间比较采用t检验;计数资料以频数(%)表示,组间比较采用χ2检验;采用多因素Cox比例风险模型分析NSCLC患者预后的影响因素;采用Kaplan-Meier法分析不同OGDHL、AUF1蛋白表达患者OS的差异,并进行log-rank检验。P<0.05为差异有统计学意义。
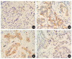
NSCLC患者肿瘤组织OGDHL蛋白高表达率低于癌旁组织(P<0.001),AUF1蛋白高表达率高于癌旁组织(P<0.001)(表1、图1)。

非小细胞肺癌肿瘤组织与癌旁组织OGDHL、AUF1蛋白的表达情况[例(%)]
非小细胞肺癌肿瘤组织与癌旁组织OGDHL、AUF1蛋白的表达情况[例(%)]
| 组别 | 例数 | OGDHL蛋白 | AUF1蛋白 | ||
|---|---|---|---|---|---|
| 高表达 | 低表达 | 高表达 | 低表达 | ||
| 肿瘤组织 | 96 | 31(32.3) | 65(67.7) | 66(68.8) | 30(31.2) |
| 癌旁组织 | 96 | 60(62.5) | 36(37.5) | 33(34.4) | 63(65.6) |
| χ2值 | 45.21 | 42.36 | |||
| P值 | <0.001 | <0.001 | |||
注:AUF1为富含AU元件的RNA结合蛋白1


注:AUF1为富含AU元件的RNA结合蛋白1
TNM分期Ⅰ~Ⅱ期患者OGDHL蛋白高表达率高于Ⅲ~Ⅳ期患者,有淋巴结转移患者OGDHL蛋白高表达率低于无淋巴结转移患者(均P<0.05);TNM分期Ⅰ~Ⅱ期患者AUF1蛋白高表达率低于Ⅲ~Ⅳ期患者,有淋巴结转移AUF1蛋白高表达率高于无淋巴结转移患者(均P<0.05)。不同年龄、性别、病理类型、分化程度、肿瘤长径患者肿瘤组织中OGDHL、AUF1蛋白表达情况比较,差异均无统计学意义(均P>0.05)(表2)。

非小细胞肺癌肿瘤组织OGDHL、AUF1蛋白表达与临床病理特征的关系[例(%)]
非小细胞肺癌肿瘤组织OGDHL、AUF1蛋白表达与临床病理特征的关系[例(%)]
| 临床病理特征 | 例数 | OGDHL蛋白 | χ2值 | P值 | AUF1蛋白 | χ2值 | P值 | ||
|---|---|---|---|---|---|---|---|---|---|
| 高表达 | 低表达 | 高表达 | 低表达 | ||||||
| 年龄(岁) | |||||||||
| ≥60 | 44 | 14(31.8) | 30(68.2) | 0.01 | 0.927 | 34(77.3) | 10(22.7) | 2.75 | 0.097 |
| <60 | 52 | 17(32.7) | 35(67.3) | 32(61.5) | 20(38.5) | ||||
| 性别 | |||||||||
| 男性 | 66 | 18(27.3) | 48(72.7) | 2.43 | 0.119 | 48(72.7) | 18(27.3) | 1.56 | 0.212 |
| 女性 | 30 | 13(43.3) | 17(56.7) | 18(60.0) | 12(40.0) | ||||
| 病理类型 | |||||||||
| 鳞状细胞癌 | 31 | 11(35.5) | 20(64.5) | 0.21 | 0.644 | 22(71.0) | 9(29.0) | 0.10 | 0.746 |
| 腺癌 | 65 | 20(30.8) | 45(69.2) | 44(67.7) | 21(32.3) | ||||
| TNM分期 | |||||||||
| Ⅰ~Ⅱ期 | 64 | 25(39.1) | 39(60.9) | 4.03 | 0.045 | 38(59.4) | 26(40.6) | 7.86 | 0.005 |
| Ⅲ~Ⅳ期 | 32 | 6(18.8) | 26(81.2) | 28(87.5) | 4(12.5) | ||||
| 淋巴结转移 | |||||||||
| 无 | 67 | 28(41.8) | 39(58.2) | 9.15 | 0.002 | 41(61.2) | 26(38.8) | 5.89 | 0.015 |
| 有 | 29 | 3(10.3) | 26(89.7) | 25(86.2) | 4(13.8) | ||||
| 分化程度 | |||||||||
| 高、中分化 | 56 | 16(28.6) | 40(74.2) | 0.85 | 0.356 | 39(69.6) | 17(30.4) | 0.05 | 0.823 |
| 低分化 | 40 | 15(37.5) | 25(62.5) | 27(67.5) | 13(32.5) | ||||
| 肿瘤直径(cm) | |||||||||
| ≥5 | 50 | 15(30.0) | 35(70.0) | 0.25 | 0.617 | 36(72.0) | 14(28.0) | 0.51 | 0.474 |
| <5 | 46 | 16(34.8) | 30(65.2) | 30(65.2) | 16(34.8) | ||||
注:AUF1为富含AU元件的RNA结合蛋白1
所有NSCLC患者3年OS率为62.50%。其中OGDHL蛋白高表达组患者术后3年OS率高于低表达组(80.66%比53.33%,P<0.05),AUF1蛋白高表达组患者术后3年OS率低于低表达组(50.00%比76.52%,P<0.05)(图2)。


注:AUF1为富含AU元件的RNA结合蛋白1
不同TNM分期、是否淋巴结转移的NSCLC患者3年OS率差异均有统计学意义(均P<0.05),且TNM分期Ⅲ~Ⅳ期、淋巴结转移NSCLC患者3年OS率均分别低于Ⅰ~Ⅱ期、无淋巴结转移患者(均P<0.05)(表3)。

不同临床病理特征的非小细胞肺癌患者3年总生存率比较(%)
不同临床病理特征的非小细胞肺癌患者3年总生存率比较(%)
| 临床病理特征 | 例数 | 3年总生存率 | P值 |
|---|---|---|---|
| 年龄(岁) | |||
| ≥60 | 44 | 61.36 | 0.832 |
| <60 | 52 | 63.46 | |
| 性别 | |||
| 男性 | 66 | 62.12 | 0.909 |
| 女性 | 30 | 63.33 | |
| 病理类型 | |||
| 鳞状细胞癌 | 31 | 64.52 | 0.092 |
| 腺癌 | 65 | 61.54 | |
| TNM分期 | |||
| Ⅰ~Ⅱ期 | 64 | 75.00 | <0.001 |
| Ⅲ~Ⅳ期 | 32 | 37.50 | |
| 淋巴结转移 | |||
| 无 | 67 | 70.15 | 0.014 |
| 有 | 29 | 44.83 | |
| 分化程度 | |||
| 高、中分化 | 56 | 67.86 | 0.200 |
| 低分化 | 40 | 55.00 | |
| 肿瘤长径(cm) | |||
| ≥5 | 50 | 56.00 | 0.170 |
| <5 | 46 | 69.57 |
以NSCLC预后不良为因变量,以TNM分期、淋巴结转移、OGDHL、AUF1蛋白表达等指标为自变量进行多因素Cox回归分析,结果显示,OGDHL低表达(HR=3.78,95% CI 1.72~8.31)、AUF1高表达(HR=3.67,95% CI 1.73~7.80)均是影响NSCLC患者预后的独立危险因素(均P<0.001)(表4)。

非小细胞肺癌患者预后不良影响因素的多因素Cox回归分析结果
非小细胞肺癌患者预后不良影响因素的多因素Cox回归分析结果
| 变量 | β | SE | Wald χ2 | HR(95% CI) | P值 |
|---|---|---|---|---|---|
| TNM分期(Ⅲ~Ⅳ期比Ⅰ~Ⅱ期) | 1.220 | 0.263 | 25.254 | 3.39(2.02~5.67) | <0.001 |
| 淋巴结转移(有比无) | 1.285 | 0.310 | 16.547 | 3.61(1.97~6.64) | <0.001 |
| OGDHL(低表达比高表达) | 1.330 | 0.402 | 19.652 | 3.78(1.72~8.31) | <0.001 |
| AUF1(高表达比低表达) | 1.301 | 0.384 | 18.425 | 3.67(1.73~7.80) | <0.001 |
注:AUF1为富含AU元件的RNA结合蛋白1
NSCLC是肺癌的常见类型,发病率占肺癌80%~85%[8]。NSCLC恶性程度高,大部分患者就诊时已出现明显转移灶,尽管手术、化疗、放疗及生物治疗方法不断进展,但患者5年OS率仍不足15%[9]。既往研究报道,约50% NSCLC患者完全切除术后因远处转移治疗失败[10]。因此早期评估对延长NSCLC患者生存时间至关重要。
OGDHL为位于10q11.23区域的2-氧代戊二酸脱氢酶复合物(OGDHC)的主要亚基,是葡萄糖和谷氨酸降解的主要限速成分,可通过影响细胞周期停滞,在多种癌症发展中发挥重要作用[11]。本研究结果提示OGDHL表达在NSCLC组织中降低;不同TNM分期、是否淋巴结转移患者OGDHL蛋白表达差异均有统计学意义(均P<0.05),提示OGDHL蛋白可能参与NSCLC发生、发展。既往研究显示,OGDHL在肝癌组织中的表达低于癌旁正常组织,且低表达与患者临床病理特征及较差的OS相关[12]。本研究结果显示,OGDHL蛋白高表达组患者术后3年OS率高于低表达组(P<0.05),提示OGDHL蛋白表达与NSCLC患者预后有关,且其低表达提示预后不良。但有研究结果显示,低OGDHL表达组甲状腺乳头状癌患者OS优于高OGDHL表达组,是甲状腺乳头状癌预后的独立影响因素[13]。本研究结果显示,OGDHL低表达是影响NSCLC患者OS的独立危险因素(P<0.05),提示OGDHL蛋白与NSCLC预后密切相关,可作为评估预后的肿瘤标志物。OGDHL作为潜在的肿瘤抑制因子,参与诱导细胞凋亡。既往研究显示,OGDHL表达量在甲状腺滤泡癌中下降,可诱导增强细胞增殖、侵袭和转移的生物学能力[14]。
AUF1属于核不均一核糖核蛋白(hnRNP)家族成员之一,编码基因位于4号染色体(4q21),包含10个外显子,参与炎症、癌症、心血管疾病和病毒感染等多种疾病发生、发展[15,16]。本研究结果显示,NSCLC患者肿瘤组织AUF1高表达率高于癌旁组织(P<0.05),且不同TNM分期、是否淋巴结转移患者AUF1蛋白表达差异均有统计学意义(均P<0.05)。既往研究显示,低分化结直肠癌组织AUF1蛋白表达水平高于癌旁组织[17]。本研究结果显示,AUF1蛋白高表达组患者术后3年OS率低于低表达组(P<0.05),说明AUF1蛋白高表达提示其预后不良。本研究结果显示,AUF1高表达是影响NSCLC患者预后的独立危险因素(P<0.05),提示AUF1蛋白与NSCLC患者预后相关。AUF1作为基因转录表达的重要调控因子,可快速调控基因表达水平,激活相关信号通路,当其表达失调时可引起细胞功能的失调,从而介导恶性肿瘤在内的多种疾病发生[18]。既往研究显示,AUF1异常高表达可参与肝癌的发生和发展[19]。
综上所述,NSCLC患者肿瘤组织中OGDHL蛋白低表达,AUF1蛋白高表达,并且两者蛋白表达水平与患者的临床病理特征及预后密切相关,能够作为评估NSCLC预后的有效指标。
所有作者均声明不存在利益冲突





















