
探讨原发性肺非特异性外周T细胞淋巴瘤(PTCL-NOS)的临床特点、诊断、治疗及预后。
回顾性分析2例原发性肺PTCL-NOS患者的临床资料,并复习文献。
例1为44岁女性,诊断为原发性肺PTCL-NOS,行GLD方案(吉西他滨+奥沙利铂+地塞米松)化疗后疾病进展,1个月后因呼吸衰竭死亡。例2为46岁男性,诊断为原发性肺PTCL-NOS,行CHOP方案(环磷酰胺+多柔比星+长春新碱+泼尼松)化疗后病灶较前缩小,达到部分缓解,生存中。
肺PTCL-NOS临床罕见,临床和影像学表现无明显特异性,容易误诊,获取组织标本进行病理学检查是确诊的关键。目前尚无标准化疗方案,预后差。
版权归中华医学会所有。
未经授权,不得转载、摘编本刊文章,不得使用本刊的版式设计。
除非特别声明,本刊刊出的所有文章不代表中华医学会和本刊编委会的观点。
原发性肺淋巴瘤(primary pulmonary lymphoma,PPL)是一种累及单侧或双侧肺(实质或支气管)的比较罕见的淋巴细胞恶性克隆增生性疾病,占肺原发恶性肿瘤的0.5 %~1 %,占全部淋巴瘤的0.4 %,占结外淋巴瘤的3%~4 %[1]。PPL分为霍奇金淋巴瘤和非霍奇金淋巴瘤两大类,其中绝大部分为低度恶性黏膜相关淋巴组织淋巴瘤和中度恶性的弥漫大B细胞淋巴瘤,占PPL 90 %,T细胞淋巴瘤仅占3%~5%。而原发性肺非特异性外周T细胞淋巴瘤(peripheral T-cell lymphoma,not otherwise specified,PTCL-NOS)更加罕见。现将我院诊治的2例PTCL-NOS的诊断及治疗经过进行总结,并结合国内外文献,分析该病的临床特点、病理特征、治疗及预后,以提高对该疾病的认识,争取早期诊断、早期治疗,改善患者的预后。
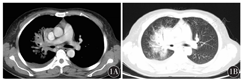
例1,女性,44岁,因间断发热3年,咳嗽、胸闷20 d,于2013年7月26日入院。患者入院前间断发热3年,体温最高39 ℃,伴咳嗽,给予抗生素及激素治疗后间断好转。逐渐出现发热、咳嗽、咳痰加重及胸闷、体质量下降等,行抗生素治疗效果差,CT检查发现右肺占位,考虑结核,在结核病医院行结核相关检查为阴性,支气管镜检查为阴性。再次行胸部CT检查,右肺上叶占位,肺癌可能性大;右肺下叶影像学改变考虑肺炎,右侧少量胸腔积液,以右肺占位待查(肺癌可能性大)收入院。入院查体:一般情况好,全身皮肤黏膜无黄染及皮下出血点,浅表淋巴结未触及,左肺呼吸音清,右肺呼吸音低,心率90次/min,律齐,各瓣膜听诊区无杂音。肝脾肋缘下未触及。入院后实验室检查,血常规:白细胞计数(WBC) 2.8×109/L,血红蛋白(Hb) 94 g/L,血小板计数(Plt) 211×109/L,血β2微球蛋白3.7 mg/L,乳酸脱氢酶(LDH) 469 U/L,清蛋白27 g/L。患者发热,体温40 ℃,给予左氧氟沙星联合头孢曲松抗感染治疗无效;多次痰培养及血培养均未见细菌生长,给予降钙素原0.16 ng/ml治疗,换用哌拉西林钠他唑巴坦钠联合丁胺卡那抗感染治疗,效果仍然差。同时行支气管镜检查:右肺小细胞癌待排除。免疫组织化学:LCA+、Ki-67+ 80 %、Vim+、CK-、CK5/6-、CK7-、SCLC-、CD56-、Syn-、CD20-、CD3+、CD79a-、CD43+、CD4+、CD5灶阳性、MUM-1-、CD10-、bcl-6-,CD30-、ALK-、TdT-,提示:非特异性T细胞性非霍奇金淋巴瘤。骨髓穿刺:增生活跃,粒系占0.815,胞质颗粒增多、增粗。腹部B型超声未见异常,双颈部、腋窝、腹股沟B型超声均未见肿大淋巴结。我院胸部CT检查示:右肺上叶近肺门一不规则软组织影,边界不清,支气管狭窄,内可见支气管气相,右肺门纵隔内可见淋巴结,部分钙化(图1)。明确诊断为:原发性肺PTCL-NOS。行GLD方案(吉西他滨+奥沙利铂+地塞米松)化疗1个疗程,体温仍然控制不佳。再次行胸部CT示:右肺病灶较前增大。考虑患者肿瘤恶性度高,建议更换化疗方案,家属拒绝继续化疗。患者持续高热伴胸闷气促,给予对症处理,于1个月后因呼吸衰竭死亡。


1A:纵隔窗,右肺上叶近肺门一不规则软组织影;1B:肺窗,右肺上叶软组织影,内可见支气管气相,边界不清,支气管狭窄,右肺门纵隔内可见淋巴结,部分钙化
例2,男性,46岁,因低热2个月余,发现肺占位3 d于2013年3月1日入院。患者入院前间断发热2个月,体温最高38.5℃,伴咳嗽、咳白痰,给予抗生素治疗后好转。逐渐出现胸闷,活动后加重,在外院行CT检查发现右肺中叶占位,不排除周围型肺癌,右侧胸腔少量积液。以右肺占位待查收入院,查体:一般情况好,全身皮肤黏膜无黄染及皮下出血点,浅表淋巴结未触及,左肺呼吸音清,右肺呼吸音低,心率90次/min,律齐,各瓣膜听诊区无杂音。肝脾肋缘下未触及。入院后实验室检查,血常规:WBC 16.57× 109/L,Hb 123 g/L,Plt 408×109/L,LDH 291 U/L,血β2微球蛋白3 mg/L,清蛋白36 g/L。颈胸腹盆CT示:右肺上叶前段肿块,心包及双侧胸腔积液,右侧睾丸鞘膜腔积液(图2)。骨髓穿刺示增生活跃,行支气管镜检查未见异常。CT引导下肺穿刺发现炎性细胞,病理淋巴瘤不能排除,免疫组织化学:CK+、Vim+/-、CK7+、TTF-1+、CK5/6-、Syn-、CD56-,SCLC-、LCA+ ,Ki-67+、CD5+、CD4+、EMA-、CD30-、CD2点阳性、CD3+、CD79a-、ALK-、TdT-、CD43灶阳性,提示:右肺非特异性T细胞性非霍奇金淋巴瘤。行CHOP方案(环磷酰胺+多柔比星+长春新碱+泼尼松)化疗6个疗程,病灶较前缩小,达到部分缓解(PR)。2013年7月24日行右肺病灶处6 MV X线放疗,剂量45 Gy/25次。之后定期复查,病灶稳定,未见复发,生存中。


2A:纵隔窗,右肺上叶前段肿块,心包及双侧胸腔积液;2B:肺窗,右肺上叶前段不规则肿块
PTCL是非霍奇金淋巴瘤的一种,起源于异质性的成熟T细胞,在东南亚国家常见,在我国占所有非霍奇金淋巴瘤的20 %~30 %,包括PTCL-NOS、NK/T细胞淋巴瘤、血管免疫母细胞性T细胞淋巴瘤、皮下脂膜炎样T细胞淋巴瘤、间变性大细胞淋巴瘤等。PTCL-NOS是PTCL中最常见的一种亚型,约占所有淋巴瘤的15%,占PTCL的25%,患者通常以淋巴结肿大为首发表现,结外器官也经常受累,包括肝脏、骨髓、胃肠道和皮肤。多数患者为Ⅲ~Ⅳ期,且伴有B症状[2],而PTCL-NOS报道罕见。
检索PubMed及中国生物医学数据库,截至2014年8月底,关于PPL共报道150余篇文章,去除B细胞淋巴瘤、NK/T细胞淋巴瘤、间变性大细胞淋巴瘤、其他类型T细胞及免疫缺陷相关的淋巴瘤等,PTCL-NOS报道共3例,包括中国2例,韩国1例(表1)。含本组患者在内的5例患者均为PTCL-NOS,符合Cordier等[3]关于PPL的诊断标准:(1)影像学显示肺、支气管受累,但无明显纵隔或肺门淋巴结肿大;(2)既往没有胸外淋巴瘤诊断的病史;(3)无肺及支气管外其他部位的淋巴瘤或淋巴细胞性白血病的证据;(4)发病后3个月仍未出现胸外淋巴瘤征象。同时满足上述4项者可诊断为PPL。

肺原发性非特异性外周T细胞淋巴瘤国内外文献总结
肺原发性非特异性外周T细胞淋巴瘤国内外文献总结
| 参考文献 | 性别 | 年龄(岁) | 外周血象 | 症状 | 影像学检查结果 | 诊断方法 | 病理检查结果 | 治疗及预后 |
|---|---|---|---|---|---|---|---|---|
| 孙璐等[4] | 女 | 75 | 白细胞计数19.7 ×109/L,乳酸脱氢酶216 U/L,β2微球蛋白0.55 mg/L | 干咳、胸闷、乏力及夜间盗汗,体质量下降 | 右肺上叶尖段、前段及中叶实变;右上叶支气管狭窄,中叶见支气管充气 | 两次支气管镜活组织检查 | CD3、CD43、LCA均为阳性,CD5、CD4、CD8、CD56、CD20、CD79a、TIA-1、granzymeB、CD30、MPO、ALK和TDT均为阴性,Ki-67(50 %) ,分子EBER染色阴性 | CHOP样方案化疗3个疗程,因肺部感染于发病2.6个月后死亡 |
| 张嵩等[5] | 男 | 39 | 白细胞计数3.6 ×109/L,血红蛋白148 g/L,血小板计数93 × 109/L,中性粒细胞0.81 ×109/L,β2微球蛋白7 mg/L | 咳嗽、咳痰、发热,体质量下降 | 双肺弥漫性病变,多发结节及斑片影 | 磁共振成像引导下右肺上叶穿刺活组织检查 | LCA、CD3、CD45RO均为阳性,CD20、CD30、ALK、CD79a、TDT、CD56、CEA、CK5 / 6、TTF-1均为阴性 | CHOP方案化疗后进展,2个月后死亡 |
| Shin等[6] | 男 | 52 | 无 | 咳嗽、咳痰、发热及盗汗 | 双肺多发坏死性肿块影 | 支气管镜未发现病灶,左肺下叶肿块穿剌 | CD3为阳性,CD20、CD30、CD56均为阴性,Ki-67(70%) | 化疗(方案不详),4个月后脑转移并粒细胞缺乏性发热伴肺炎死亡 |
注:TIA-1为T细胞内抗原1;MPO为髓过氧化物酶
文献[4,5,6]报道的3例和本组的2例肺原发性PTCL-NOS患者均为亚洲人,中国4例,韩国1例,提示这种疾病可能在亚洲国家,尤其是我国多发,与PTCL-NOS地理分布相似。5例患者中男女比例相当(3∶2),年龄39~75岁,平均年龄51. 2岁。PPL临床表现无特异性[7],常见症状有发热、咳嗽、咳痰、胸闷、活动后气促、盗汗、乏力及体质量下降等,与肺的其他疾病,如肺炎、肺癌、肺转移瘤、肺结核等临床表现无明显差异,容易造成误诊。5例患者中,临床表现有咳嗽(5例)、咳痰(4例)、发热(4例)、胸闷(3例)、体质量下降(3例)、盗汗(2例)、乏力(1例)。咳嗽、咳痰及发热的症状较多,但无特异性。5例患者均行全身化疗,4例患者短时间内死亡,预后差。实验室检查发现2例患者外周血白细胞减少,β2微球蛋白和血清LDH均升高,对提示诊断有一定的意义。
在影像学表现上,PPL的特异性亦较低。文献报道PPL的影像学表现多样[8,9,10],可表现为:(1)单发或者多发的结节或肿块影,边缘模糊,密度不均,病灶内可见支气管充气征,或出现空洞及液平面;(2)单发或者多发的肺炎样实变型,大片状的密度增高影,累及整个肺段或肺叶,其内密度均匀,边界清;(3)弥漫间质性肺炎型,临床少见;(4)混合型,肺内多发肿块、结节、肺实变等两种或以上的表现同时存在。其中以结节、肿块和肺炎型最为多见。Wisliez等[11]认为病灶内支气管充气征是肺淋巴瘤的特征性表现,其他少见影像学表现还包括胸腔积液及肿块内坏死等。本组2例患者CT均显示支气管充气征,提示可能是肺淋巴瘤的特征性表现。2例患者CT表现为肺内结节及肿块影,伴支气管狭窄及支气管充气征;2例为双肺弥漫性病变;2例单侧胸腔积液,1例有双侧胸腔积液;1例为双侧多发坏死肿块影。提示PTCL-NOS影像学表现多种多样,无明显特异性,因此其在临床表现及影像学表现上也极易与原发性肺癌、肺转移瘤、肺炎、结核等疾病相混淆,当表现为多发结节或肿块时,应与转移瘤、肺结核相鉴别;表现为肺内实变时,应与大叶性肺炎、干酪性肺炎、细支气管肺泡癌等疾病相鉴别。病理学检查是鉴别PTCL-NOS与其他肺部疾病的重要方法。
肺原发性PTCL-NOS的临床表现及影像学缺乏特异性,但通过纤维支气管镜、开胸手术、经皮肺穿刺均可获取组织[12],通过病理组织学、免疫表型及分子遗传学可明确诊断,而且可使PPL的分型更细,诊断更为准确。本研究中5例患者均行支气管镜检查,3例支气管镜下未见病灶,2例改行CT引导下肺肿物穿刺活组织检查,1例改行磁共振成像(MRI)引导下经皮肿块穿刺明确诊断;1例支气管镜下活组织检查未明确诊断,再次行支气管镜活组织检查确诊。上官宗校等[13]回顾性分析国内97例PPL,认为纤维支气管镜检查对肺淋巴瘤诊断阳性率偏低。Ferraro等[14]也认为,PPL在纤维支气管镜下一般无明显异常表现,且纤维支气管镜所获标本小,对诊断意义不大,需要行其他手术获取标本明确诊断。尽管PTCL-NOS表现很不典型,但临床表现和影像学资料也能为诊断提供一些线索,尤其是当肺内病变不能用一般疾病解释或常规治疗效果不佳时,应考虑到该病的可能性,并施以必要的有创检查,通过病理尽早确诊。
PTCL-NOS十分罕见,其诊断依赖于病理和免疫组织化学染色。免疫组织化学呈T淋巴细胞免疫表型,T细胞相关抗原LCA、CD3、CD45RO表达阳性;CD30、自然杀伤细胞相关抗原CD56、B细胞相关抗原CD20和CD79a、间变大细胞淋巴瘤相关抗原ALK和淋巴母细胞淋巴瘤相关抗原TdT为阴性;大多数病例中瘤细胞CD4+、CD8- ,瘤细胞还表达其他的T细胞相关抗原CD2、CD5、CD7等,但常有一种或数种抗原丢失,最常见的是CD7。细胞毒颗粒如T细胞内抗原1 (TIA1 )、CD57等则低表达,CD52阳性率可达92.3 %[15]。CD4-、CD8+表型者少见,CD4-、CD8-表型者罕见。可联合T细胞基因重排检测阳性确诊该病。
CHOP(环磷酰胺+多柔比星+长春新碱+泼尼松)和CHOP样方案是PTCL-NOS患者的传统治疗方案。患者经CHOP或CHOP样方案治疗后5年生存率约为30 %[16]。加拿大的一项回顾性研究显示,接受CHOP或CHOP样方案化疗的PTCL-NOS患者中,5年总体生存率仅35 %,其中国际预后指数(IPI)评分低危组患者的5年总体生存率高于高危组(64%比22 %)[17]。Schmitz等[18]的研究显示,IPI评分低危(IPI<1分)的患者具有相对较好的预后,而IPI评分高危的患者经CHOP或CHOEP方案治疗后,获益非常小。肺原发性PTCL-NOS发病率低,病例极少,无标准化疗方案,预后较原发性肺B细胞淋巴瘤差[13]。文献[4,5,6]及本组共5例患者确诊后均行全身化疗,3例行CHOP或CHOP样方案治疗,1例行GLD方案化疗,1例方案不详。其中4例化疗后死亡,生存时间短,1例死于化疗骨髓抑制后的肺部感染,1例死于肺部感染,2例死于疾病进展,1例至论文截稿时仍生存。进一步说明PTCL-NOS侵袭性强,预后较差,多数患者在确诊后数月内死亡。Zinzani等[19]研究显示,增强剂量化疗、造血干细胞移植以及新药的临床应用可能提高疗效,改善PPL的预后。
综上所述,肺原发性PTCL-NOS是一种罕见的非霍奇金淋巴瘤,临床表现、影像学表现无明显特异性,容易误诊或延误诊断。获取组织标本进行病理学检查是确诊的关键。该病侵袭性强,目前尚无标准的化疗方案,预后差。
无





















