
讨论具有微绒毛特征的CD30+弥漫大B细胞淋巴瘤的临床、病理特征,提高对该病的认识与诊断水平。
对1例76岁女性的颈部肿大的淋巴结进行组织学、免疫组织化学、EBER原位杂交和电子显微镜观察,并复习相关文献。
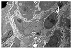
组织病理学示,淋巴结正常结构消失,形态单一的、胞质丰富的异型细胞呈片状增生,部分区域可见异型细胞淋巴窦内生长模式。免疫组织化学示,异型细胞CD20+、CD79a+、PAX-5+、CD10+、bcl-6+、MUM-1+,40%肿瘤细胞CD30+,80%肿瘤细胞Ki-67+,肿瘤细胞不表达CK、CD3、CD5、CD15、CD56、EMA、bcl-2。电子显微镜观察,瘤细胞体积大,胞质丰富,瘤细胞表面大量微绒毛,微绒毛长短不一,粗细较均匀,少数有分枝。
微绒毛淋巴瘤是一类具有独特形态学改变、免疫组织化学表型和超微结构的淋巴瘤。
版权归中华医学会所有。
未经授权,不得转载、摘编本刊文章,不得使用本刊的版式设计。
除非特别声明,本刊刊出的所有文章不代表中华医学会和本刊编委会的观点。
多种淋巴瘤均具有微绒毛特征,如毛细胞白血病、间变性大细胞性淋巴瘤等。但具有微绒毛特征的弥漫大B细胞淋巴瘤(DLBCL)还少见报告[1,2,3,4,5]。现报告1例具有微绒毛特征的、CD30+的DLBCL,并进行文献复习,以探讨这类肿瘤的临床、病理特征,提高对该病的认识与诊断水平。
患者,女性,76岁,因双侧颈部肿大淋巴结2个月入院。查体:双侧颈部可扪及多枚肿大淋巴结,花生米大小,质韧,部分活动欠佳,表面光滑,无触痛。发病以来无发热、食欲不振,体质量无明显减轻。CT检查:双侧颈部、胸廓入口、腹腔及腹膜后多发肿大淋巴结。实验室检查:β2-微球蛋白4.94 mg/L(正常值1.00~3.00 mg/L),乳酸脱氢酶448 U/L(正常值109~245 U/L),α-羟丁酸脱氢酶403 U/L(正常值72~182 U/L)。
患者于入院行颈部淋巴结活组织检查术。标本离体用锋利刀片剖开,部分切成1 mm×1 mm×1 mm大小,立即投入预冷的2.5%戊二醛固定液中。其余置4%的中性甲醛溶液中固定,常规脱水,石蜡包埋,4 μm切片,HE染色。
使用EnVision法对标本进行免疫组织化学检测,选用抗体为CK、CD3、CD5、CD10、CD15、CD20、CD30、CD56、PAX-5、EMA、Ki-67、bcl-2、bcl-6、TIA-1。使用原位杂交法检测EBER。抗体及EBER检测试剂均购自福州迈新生物技术开发有限公司。所有实验均按说明书操作,并设阳性对照和阴性对照。
标本送中山大学中山医学院电镜室。取新鲜组织用2.5%戊二醛和1%锇酸双固定后按常规脱水、浸透,Epon.618包埋,超薄切片经醋酸铀-枸橼酸铅染色,Philip-TECNAI10型透射电子显微镜观察。
淋巴结正常结构消失,形态单一的、胞质丰富的异型细胞呈片状增生,部分区域可见异型细胞淋巴窦内生长模式(图1A);异型细胞核圆形、卵圆形,染色质细腻,分布均匀,细胞可见1~4个偏心性核仁(图1B);核分裂多见(20/10 HP)。


1A:肿瘤细胞呈片状或窦内生长 HE ×100;1B:肿瘤细胞核大,圆形,可见多个核仁HE ×400; 1C:肿瘤细胞"细胞质"CD20阳性EnVision × 400; 1D:肿瘤"细胞质"和高尔基区CD30阳性EnVision ×400
异型细胞CD20+、CD79a+、PAX-5+、CD10+、bcl-6+、MUM-1+,40%肿瘤细胞CD30+(阳性程度强弱不一),80%肿瘤细胞Ki-67+,肿瘤细胞不表达CK、CD3、CD5、CD15、CD56、EMA、bcl-2。在CD20与CD30的免疫组织化学染色切片中,观察到CD20与CD30呈"细胞质"阳性现象(图1C、图1D)。原位杂交法检测EBER-。
瘤细胞体积大,胞质丰富,瘤细胞表面大量微绒毛,微绒毛长短不一,粗细较均匀,少数有分枝(图2)。胞质电子密度低,细胞器有线粒体、多聚核糖体、粗内质网及发达的高尔基复合体。核大,核不规则,部分有深的切迹,染色体少而分散。未见桥粒有其他细胞间连接,细胞外无基底膜。


病理诊断:具有微绒毛特征的CD30+ DLBCL,非特殊类型,GCB样免疫表型。临床诊断为非霍奇金淋巴瘤,DLBCL ⅢA期。
诊断明确后,即开始按CHOP方案化疗,6个月后患者死亡。
世界卫生组织(WHO)2008版造血与淋巴组织肿瘤WHO分类关于"DLBCL,非特殊型"的表述中,将具有微绒毛特征的DLBCL归入到罕见的形态学变异型中,但没有进一步的阐述[6]。有学者陆续报告了具有微绒毛特征的DLBCL,其共同的特征是发生于老年人,病例年龄均>60岁,以全身多发淋巴结肿大为首发症状,无明显的发热、食欲减退、体质量减轻[1,2,3,4,5]。其光镜特征为明显的窦内生长模式,胞质丰富。免疫组织化学特征为B细胞系列抗体阳性,CD10表达不一致,多数为CD10-,bcl-6、MUM-1阳性,部分病例CD30+,Ki-67+细胞一般占30 %~80 %,EBER均为阴性。电子显微镜下特征为肿瘤细胞体积大,可见肿瘤细胞被大量微绒毛完全包绕。
具有微绒毛特征的淋巴瘤曾被称为海葵细胞肿瘤、绒毛状肿瘤、具有微绒毛样细胞连接的淋巴瘤、豪猪细胞肿瘤等。这些名称均起源于肿瘤的显微镜下特征及电子显微镜下观察到的细胞突起。Hammer等[7]制定了微绒毛特征的淋巴瘤诊断标准:大的淋巴样细胞、弥漫性和(或)窦内生长模式;超微结构分析可见细胞质突起;具有B细胞免疫表型,但缺乏CD30、EMA的表达。他们还表示,通过分子和(或)免疫表型分析,CD20(100 %)、bcl-2(88 %)、CDw75(75 %)、CD56(50 %)阳性,CD30、T细胞标志物、EMA阴性。3例行bcl-2基因重排的病例中有1例阳性。他们推断微绒毛淋巴瘤是B细胞肿瘤,至少一部分是滤泡来源。然而有些学者强调,肿瘤细胞必须完全被丰富的、细长的微绒毛状突起围绕,如恶性间皮瘤的细胞[8,9,10,11]。
文献[7, 9,10]指出,微绒毛淋巴瘤与间变性大细胞淋巴瘤在组织学改变和超微结构上存在很多相似性。如窦内生长模式、间变的细胞特征等。特别是当微绒毛淋巴瘤表达CD30和(或)间变性大细胞淋巴瘤有微绒毛状突起时,这二种淋巴瘤不能仅通过形态学鉴别。
我们报道的本例CD30+的微绒毛淋巴瘤,显示了与间变性大细胞淋巴瘤相似的形态学特征。免疫组织化学示CD10、CD20、CD30、bcl-2、bcl-6、MUM-1阳性,T细胞标志物、CD56、EMA、TIA-1、ALK阴性。通过对标本超微结构的观察发现,肿瘤细胞完全被细长的微绒毛包绕。本例最后诊断是具有微绒毛特征的CD30+ DLBCL,非特殊类型。根据WHO肿瘤分类,DLBCL有形态学亚型和其他确定的亚型。然而,考虑到一些少见的形态学分类诊断的重复性不高,如微绒毛淋巴瘤,故没有作为一种亚型列出。本例淋巴瘤CD30+可能是细胞活化的原因,其实CD30在B细胞肿瘤中有着无规律地表达。我们推测,细胞核有多型性并有窦内生长模式的淋巴瘤CD30+的病例会较多。本例还出现了CD20与CD30呈细胞质阳性现象,可能与肿瘤细胞表面大量的微绒毛有关。
鉴别诊断方面,微绒毛淋巴瘤需要与间变性大细胞性淋巴瘤、转移癌、恶性黑色素瘤、组织细胞肿瘤以及一些霍奇金淋巴瘤鉴别。免疫组织化学EMA、LCA、CD30、CD15、CK、CD68、TIA-1等抗体可作鉴别。虽然CD30+的微绒毛淋巴瘤具有与间变性大细胞淋巴瘤相似的形态学改变,但EMA、TIA-1、ALK阴性可资鉴别。
关于这类淋巴瘤的诊断,因其CD20、PAX-5等B细胞性免疫标志物为阳性,所以应归入B细胞性肿瘤中。但其组织学改变、免疫组织化学CD30+及超微结构特征均与间变性大细胞性淋巴瘤相似。这类肿瘤是否具有与非特殊类型DLBCL不一样的生物学特征,还需要积累更多的临床、病理资料进一步证实。
无





















