
探讨原发于前列腺的血管内大B细胞淋巴瘤(IVLBCL)的临床病理特征、诊断、鉴别诊断、治疗及预后。
回顾性分析1例前列腺的IVLBCL患者的临床资料、组织病理学形态和免疫组织化学结果,并复习相关文献。
患者以头晕为首发症状,伴随排尿费力,体检有前列腺肥大,病理活组织检查发现前列腺间质小血管内见成簇异形淋巴样细胞。免疫组织化学示肿瘤细胞CD20+、LCA+、CD79a+、PAX5+、Ki-67阳性率90%,血管内皮CD34+。病理学诊断:前列腺的IVLBCL(活化B细胞起源)。患者拒绝治疗,于诊断后5个月死亡。
原发于前列腺的IVLBCL罕见,临床表现缺乏特异性,病理学检查及免疫组织化学对IVLBCL的诊断和鉴别诊断具有重要意义。
版权归中华医学会所有。
未经授权,不得转载、摘编本刊文章,不得使用本刊的版式设计。
除非特别声明,本刊刊出的所有文章不代表中华医学会和本刊编委会的观点。
血管内大B细胞淋巴瘤(intravagcular large B cell lymphoma,IVLBCL)[1]是一种罕见的结外弥漫性大B细胞淋巴瘤(DLBCL)的亚型,病变主要累及皮肤、中枢神经系统。原发于前列腺的IVLBCL非常罕见,迄今为止,仅报道10例[1,2,3,4,5,6,7,8,9]。我们报道1例前列腺的IVLBCL并复习文献,探讨其临床病理特点、诊断、鉴别诊断、治疗及预后。
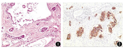
患者,男性,84岁,因头晕1周入院,在神经内科治疗后头晕症状缓解,患者排尿费力,经会诊后转入泌尿外科。体检:体温36.5 ℃,脉搏80次/min,呼吸20次/min,血压140/90 mmHg(1 mmHg=0.133 kPa)。未发现皮肤红斑及结节,全身浅表淋巴结无肿大,心、肺、肝、脾无异常,肌力正常。B型超声提示前列腺增生(6.7 cm×6.3 cm×7.4 cm)。血常规检查显示红细胞总数4.01×1012/L,血红蛋白122 g/L。白细胞计数6.38×109/L,中性粒细胞0.699,淋巴细胞0.13,单核细胞0.113,嗜酸性粒细胞0.056,嗜碱性粒细胞0.002。前列腺特异性抗原10.2 ng/ml(正常值0~4 ng/ml),游离前列腺特异性抗原2.48 ng/ml(正常值0~1 ng/ml)。尿液检查:白细胞15.4/μl,红细胞23.8/μl。患者入院第12天经腰椎硬膜外麻醉,于截石位行经尿道前列腺激光电切术。光学显微镜下观察前列腺标本:低倍镜下前列腺腺体增生,间质小静脉及毛细血管内可见成簇的异型淋巴样细胞(图1)。高倍镜下瘤细胞中等偏大,多为圆形、卵圆形,核膜较厚,胞质量丰富,核质比高。免疫组织化学染色:血管CD34+,血管内瘤细胞LCA+、CD20+(图2)、CD79a+、bcl-6部分细胞阳性、PAX5+、MuM1+、Ki-67阳性率90%;CD3-、CD10-、melanA-、S100-、CK-、PLAP-、CD117-和HMB45-。病理学诊断为前列腺的IVLBCL(活化B细胞起源)。


IVLBCL是恶性淋巴瘤罕见的疾病实体,其特征为淋巴瘤细胞在小血管腔内选择性生长。近年来通过免疫组织化学、基因重排检测Ig基因才能明确其本质,按世界卫生组织(WHO)分类,IVLBL属于DLBCL的一种亚型。发病机制尚不明确。
病变主要累及结外不同器官和组织,包括中枢神经系统、皮肤、肺、肾、肾上腺和骨髓等[1,10,11],淋巴结受累罕见。多发生于中老年人,无明显性别差异,临床表现多样且不特异,常为不明原因发热、肝脾大、血细胞减少及结外受累脏器受损等。多数患者病程进展迅速,病变累及多个器官,致其功能衰竭而死亡。前列腺的IVLBCL罕见,多为个案报道。本例患者为第11例,复习相关文献,患者中位年龄为70岁(64~84岁),所有患者均有前列腺肥大所致下尿路阻塞的症状,部分患者有神经系统症状。
由于无特征性的临床表现及血液学异常,IVLBCL诊断困难。实验室异常指标包括血清乳酸脱氢酶(LDH)升高,贫血,白细胞计数及血小板计数减少[1]。文献[12]报道氟脱氧葡萄糖正电子体层扫描(FDG-PET)检查有助于早期诊断,受侵犯的器官PET扫描信号明显增强,提示该部位器官需进一步检查,如行活组织检查加以确诊,但也有报道FDG-PET可能出现假阴性,因此FDG-PET在IVLBCL的作用仍有争议。本例患者没有贫血,白细胞及血小板未见异常,前列腺特异抗原(PSA)轻度升高,诊断主要依靠病理组织学检查及免疫组织化学检测。病理学特点为间质小静脉及毛细血管内可见成簇的异型淋巴样细胞,肿瘤细胞核大,核仁明显、核分裂象常见,形态类似DLBCL。免疫组织化学肿瘤细胞表达CD20及CD79a。IVLBCL需要与以下疾病鉴别:(1)血管内转移性肿瘤:如转移癌、转移性黑色素瘤等,血管转移性肿瘤常见有原发病灶,免疫标记CKpan、HMB45、CD20等有助于鉴别。(2)髓系白血病:一般骨髓象及外周血涂片检测可见异型细胞,但血管内淋巴瘤(IVL)骨髓象一般无异常。(3)皮肤的反应性血管内皮瘤:小血管内见增生的上皮样内皮细胞,周围有外皮细胞成分包绕,但免疫组织化学示CD34和CD31一般为阳性,LCA阴性。
IVLBCL具有高度侵袭性,对化疗不敏感,预后差。多数患者生存期为几个月至2年,大多数于1年内死亡,中枢神经受累者生存期短,单纯皮肤受累且病变局限的患者预后较好。通过提高对该病的诊断水平,做到早期诊断,及时治疗,可改善预后。治疗可采用CHOP或类CHOP等化疗方案[1],以蒽环类药物为基础的联合化疗并采用利妥西单抗(商品名:美罗华)等免疫化学疗法可以提高IVLBCL的生存率,也有行自体造血干细胞移植治疗的报道。本例前列腺IVLBCL患者拒绝接受治疗,于诊断后5个月死亡。
无





















