
版权归中华医学会所有。
未经授权,不得转载、摘编本刊文章,不得使用本刊的版式设计。
除非特别声明,本刊刊出的所有文章不代表中华医学会和本刊编委会的观点。
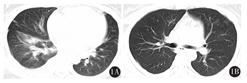
患者 女性,47岁,主因齿龈渗血2周于2013年9月11日入我院。入院后血常规示:白细胞计数5×109/L,血红蛋白60 g/L,血小板计数20×109/L;凝血酶原时间14.80 s,活化部分凝血活酶时间29.0 s,纤维蛋白原含量1.5 g/L,D二聚体6.64 mg/L;经骨髓检查,伴t(15;17),(q22;q21),PML-RARα阳性,明确诊断为急性早幼粒细胞白血病(APL)。入院查体:齿龈、皮肤有出血表现,胸骨压痛阳性,右下肺叩诊实音,右肺底呼吸音消失,考虑患者合并肺部感染。入院后立即给予维甲酸20 mg/次,每天2次诱导分化治疗,同时输注新鲜冷冻血浆、纤维蛋白原、冷沉淀纠正出凝血紊乱,输注血小板,降低出血风险,每日输注血液制品前给予地塞米松2 mg,同时给予哌拉西林钠抗感染治疗,积极完善肺部CT等相关检查。患者接受诱导分化治疗5 d后,出现刺激性干咳,伴轻度胸闷、气短。查体右肺底呼吸音消失,右肺可闻及少量湿啰音。肺部CT示:右肺下叶炎症,右侧胸腔积液(图1A)。在诱导分化治疗同时给予醋酸卡泊芬净防治真菌感染,注射用亚胺培南西司他丁钠(商品名:泰能)抗细菌治疗,并完善G试验、GM试验、T-SPOT及抗结核抗体等相关检查,结果均未见异常。患者分别于9月19日及24日出现夜间突发心悸、气短,端坐呼吸,坐卧不宁。静脉给予地塞米松10 mg后不适症状消失。期间2次复查CT均提示肺部炎症较前加重。患者经广谱强力抗感染治疗10 d,肺部症状及影像学改变进行性加重,GM试验阴性,故不支持真菌感染。经呼吸科会诊考虑感染证据不足,怀疑白血病浸润,建议通过支气管镜等相关检查明确肺部情况。但考虑肺部诊断基本明确以及出血风险,未做支气管镜检查。遂调整治疗方案,停用抗感染治疗,按分化综合征治疗,地塞米松每天6~10 mg,患者心悸、气短、面部肿胀、肺部啰音等逐渐消失,精神状况改善。10 d后复查肺部CT恢复正常(图1B)。故明确诊断为:APL伴分化综合征。


1A:右肺下叶炎症,右侧胸腔积液;1B:两肺散在炎症较前明显吸收,仅残留左肺少许炎症,未见胸腔积液,心包积液较前减少
患者经维甲酸及三氧化二砷双诱导治疗达完全缓解。随后给予伊达比星巩固治疗2个疗程。后续常规三氧化二砷及维甲酸维持治疗,行腰椎穿刺及鞘内注射化疗药物防治中枢神经系统浸润,目前患者持续处于完全分子生物学缓解状态。
分化综合征常以难以解释的发热、伴间质肺浸润的呼吸窘迫和(或)导致急性肾衰竭的渗漏综合征为特征。诊断标准基于以下至少2项症状及体征:气短、难以解释的发热、体质量增加大于5 kg、难以解释的低血压、急性肾衰竭;尤其是胸部X线片提示肺浸润及胸膜、心包膜的渗出;肺部CT常显示左右两肺同时累及,提示分化综合征是以粒细胞浸润及细胞因子释放致内皮细胞损伤导致的系统性疾病。以上任何单一表现均不具备诊断的特异性,需除外可引起上述改变的其他疾病,如肺出血、肺部感染、充血性心力衰竭、肾衰竭及感染性休克[1,2,3,4]。
患者在服用维甲酸前即有肺部症状及影像学改变,因此疑诊感染并予广谱抗感染治疗。患者的影像学改变提示不典型真菌影像学表现,对治疗方案有一定误导,但G试验、GM试验多次检查均阴性,抗感染治疗过程中肺部症状进行性加重且与激素减停明显相关。因此调整治疗思路,停用抗生素并增加皮质激素剂量。这也提示未确定型肺部真菌感染最终可排除。本例患者特殊之处在于维甲酸服用前即有症状,服用维甲酸后白细胞升高不明显而肺部症状加重,停用小剂量激素后出现呼吸窘迫表现,调整地塞米松每天10 mg后患者颜面部水肿消退,肺部症状缓解,影像学在10 d内完全恢复正常。文献[5,6]提示单用维甲酸时分化综合征出现的中位时间为12 d(0~47 d),最早可发生在服用维甲酸当天,极早期症状可有咳嗽、气短等肺部浸润表现及胸腔、心包积液,需与肺部感染鉴别诊断,是一种除外诊断。由于APL患者的异质性及治疗方案的不同,加之诊断标准的非特异性,文献报道的分化综合征诊断时间差异较大。分化综合征肺部高浸润的病理机制尚未完全明了,仅在APL诱导分化治疗中出现,故在其发生机制中APL应是主导因素,最初早幼粒细胞及分化粒细胞的迁移需肺泡分泌趋化因子作为启动因素,而维甲酸及亚砷酸可明显增加肺泡内皮细胞趋化因子CCL2及CXCL8的表达,从而导致APL细胞向肺迁移、浸润加重[7,8]。肺部轻度感染引发最初的炎细胞浸润,随后维甲酸及亚砷酸的应用加重肺部症状,表现为分化综合征的典型肺部表现,也许可解释本例患者维甲酸应用前即有症状,后期逐渐加重的临床过程。体外实验研究也显示维甲酸可诱导肺泡内皮细胞释放趋化因子,使早幼粒细胞及分化过程中的粒细胞浸润肺部。本例患者肺部浸润严重,或可解释维甲酸应用后外周循环血池白细胞升高不明显。由于地塞米松可阻断维甲酸诱导的趋化因子释放,减轻肺部浸润,故早期应用效果较好。APL诱导分化治疗中分化综合征的发生率较高(最高可达31%),重症可危及生命,早期治疗效果良好,对以肺部表现为首发唯一表现的患者,需注意鉴别诊断,高度警惕分化综合征的发生,即使不能除外其他原因,也应早期应用地塞米松治疗,其疗效也有助于鉴别诊断。目前APL治疗中对中高危患者建议早期小剂量应用皮质激素,以预防分化综合征的发生。
无





















