
探讨慢性淋巴细胞白血病(CLL)合并全身多发骨质破坏患者的临床特征。
分析1例合并全身多发骨质破坏CLL患者的临床及实验室资料,并复习相关文献。
与出现Ritcher转化或二重肿瘤后所致的溶骨性损害不同,CLL患者骨质破坏部位集中于颌面骨、颅骨、胸腰椎、肋骨等人体中轴骨。该例患者疾病侵袭性强、进展快,病程中伴有高钙血症,接受利妥昔单抗+氟达拉滨+环磷酰胺(R-FC)方案以及CD52单克隆抗体等治疗均不能获得完全缓解。
合并全身多发骨质破坏的CLL患者较为罕见,其骨质破坏部位多位于人体中轴骨,且具有疾病恶性程度高、常规化疗效果差等不良预后的临床特征。
版权归中华医学会所有。
未经授权,不得转载、摘编本刊文章,不得使用本刊的版式设计。
除非特别声明,本刊刊出的所有文章不代表中华医学会和本刊编委会的观点。
慢性淋巴细胞白血病(CLL)是一种原发于造血组织的恶性肿瘤,其发病率在欧美国家较高,约占全部白血病的25%,亚洲国家发病率低,约占5%[1]。CLL患者并发溶骨性病变导致病理性骨折和(或)高钙血症的病例十分罕见,其发生溶骨性损害的机制尚不明确。现将我中心收治的1例CLL合并全身多发骨质破坏的患者报道如下,并进行相关文献复习。
患者,男性,60岁,2011年8月因咳嗽、咳痰于当地医院就诊,行肺部CT平扫发现纵隔软组织密度影。当地医院给予抗感染及对症支持治疗后患者上述症状好转,其后未规律复查及治疗。2013年8月患者开始出现乏力、胸闷、呼吸困难等症状,遂再次就诊于当地医院发现左侧胸腔积液,穿刺引流示血性液体,未明确诊断,间断给予抗感染、胸腔引流等对症治疗。2014年1月患者发现头部肿物,质硬、无活动度、无压痛,未诊治,后逐渐出现双眼视物模糊,双下肢疼痛伴行走困难,不能下蹲、屈膝。2014年7月患者就诊于吉林油田总医院,查血常规示白细胞计数(WBC)增多,以淋巴细胞为主。为求进一步诊治,于2014年8月来我中心就诊。
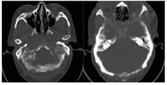
患者既往体健,查体:贫血貌,皮肤、巩膜无黄染,头部视诊外形不规则,可触及多个肿物,最大约6 cm×6 cm,质硬,无压痛,表面光滑,活动度差。右颈部、左锁骨上窝及双侧腋下、腹股沟可触及多枚肿大淋巴结,为黄豆到蚕豆大小不等,均质硬,无压痛,表面光滑,活动度差,与周围组织分界尚清。胸骨无压痛,心脏查体未见异常,双下肺听诊呼吸音减弱,左侧为著,腹软,无压痛、反跳痛及肌紧张,肝脏触诊肋下3 cm,脾脏触诊肋下4 cm,表面光滑,无触痛。实验室检查:WBC 7.63×109/L(外周血涂片淋巴细胞比例0.46,淋巴细胞绝对值计数3.5×109/L),血红蛋白74 g/L,红细胞平均体积(MCV)100.4 fl,红细胞平均血红蛋白浓度(MCHC)306 g/L,血小板计数(Plt)62×109/L,清蛋白37.3 g/L,血清乳酸脱氢酶267 U/L,β2微球蛋白5.44 mg/L,肾功能正常,血钙3.10 mmol/L,胸腔积液乳酸脱氢酶198 U/L,血清IgA、IgM轻度降低,血、尿免疫固定电泳、血游离轻链检测、血清蛋白电泳、肿瘤标志物均未见异常。颅脑CT示:可见颅骨多发溶骨性损害,双侧颌面骨、颅骨多发骨质改变及双侧眼外上方、双侧鼻窦、乳突内异常密度影(图1)。肺部多排CT平扫示:纵隔内、心前间隙及左侧腋窝多发淋巴结肿大,后下纵隔脊柱周围、左侧胸腔内、左侧前胸壁多发软组织肿块,均考虑恶性占位性病变。同时双侧胸腔积液及骨性胸廓改变。胸椎正侧位数字化X线摄影(DR)示第1~12胸椎轻度骨质增生,椎体密度减低。腰椎正侧位DR示第3~5腰椎骨质增生。腰1~5椎体骨质密度减低。腹部超声可见肝、脾及肝门处腹腔淋巴结肿大(大小约19 mm×11 mm)。浅表淋巴结超声可见双侧颈部、锁骨上窝、腋下及腹股沟均可见不同程度肿大淋巴结(大小约在7 mm×6 mm~37 mm×13 mm)。骨髓涂片示:有核细胞增生活跃,淋巴细胞占0.925,其中浆细胞样淋巴细胞占0.915。胞体小,胞质量中等,呈泡沫状。外周血片示:淋巴细胞比例增高,占46%,其中浆细胞样淋巴细胞占25%,成熟红细胞缗钱样排列,血小板成簇可见。中国医学科学院血液学研究所骨髓活组织检查HE染色示骨髓组织中可见异型淋巴样细胞增生伴纤维化,免疫组织化学示异型淋巴细胞CD5+、CD20+、CD23+、PAX5+、CD138-、CD3-、CD10-、cyclin D1-,符合CLL/B小淋巴细胞淋巴瘤免疫表型。外周血、胸腔积液细胞流式分型也支持CLL表型。骨髓荧光原位杂交技术(FISH)未检测到IGH/CCND1融合基因、D13S25、TP53基因缺失以及ATM、CEP12基因异常。头部肿物活组织检查免疫组织化学结果示:Ki-67(10%+)、CD5+、CD20+、CD23+、PAX-5+、bcl-2+、CD38-、CD138-、CD3-、CD10-、cyclin D1-、bcl-6-、CD21-、MPO-。左侧腋窝淋巴结活组织检查免疫组织化学结果示:Ki-67(10%+)、CD5+、CD20+、CD23+、PAX-5+、CD43+、bcl-2+、MUM-1+、κ(部分+)、CD38-、CD138-、CD79a-、CD3-、CD10-、cyclin D1-、bcl-6-、CD21-、CD56-、λ-,亦支持CLL/B小淋巴细胞淋巴瘤诊断。


患者临床诊断为CLL Rai Ⅳ期/Binet C期(高危组)。诊断明确后立即开始利妥昔单抗600 mg第1天,氟达拉滨每天25 mg/m2,第1天至第3天;环磷酰胺每天250 mg/m2,第1天至第3天(R-FC)方案化疗。同时,患者就诊时呼吸困难症状明显,肺部CT示双侧胸膜增厚、大量胸腔积液,结合胸腔积液免疫分型结果,考虑为CLL侵犯胸膜所致,行胸腔穿刺置管引流同时间断给予地塞米松胸腔内注射并予以补液、利尿、降血钙以及应用帕米膦酸二钠抑制骨质破坏等对症支持治疗,化疗过程顺利。第1个疗程化疗间歇期患者头部肿物逐渐缩小、双下肢疼痛症状减轻,血钙逐渐降至正常,无明显骨髓抑制。第2个疗程治疗前复查,头部视诊及颅脑CT示头部肿物较前缩小近50%,无呼吸困难等症状,胸腔积液量较前明显减少,下肢疼痛症状基本消失,行走活动自如,血钙正常。于2014年9月开始给予第2个疗程R-FC方案化疗,2个疗程后患者头部肿物继续缩小,并无特殊不适主诉,全面评估外周血、骨髓及淋巴结变化后评价疗效为疾病稳定(SD)。第3个疗程化疗后患者骨髓抑制较重,其间曾出现口唇疱疹,考虑与CLL患者自身存在免疫缺陷以及化疗药物所致免疫抑制相关,经及时升高白细胞、静脉滴注免疫球蛋白及局部抗病毒治疗后好转。患者整个治疗过程中并未发生严重感染以及继发的自身免疫性溶血性贫血,在顺利完成4个疗程R-FC方案化疗后评价患者疗效达部分缓解(PR)。2015年2月患者顺利完成第5疗程治疗,出院1个月后发现头部肿物较前明显增大,考虑疾病进展。经会诊后于中国医学科学院血液学研究所接受CD52单克隆抗体(阿伦单抗)治疗,3个月后病情仍持续进展,表现为头部肿物及全身浅表淋巴结进行性增大,后患者因经济原因放弃治疗出院且未再行系统治疗,于2016年1月因疾病持续进展而死亡。
高钙血症和(或)溶骨性病变/病理性骨折多见于多发性骨髓瘤以及其他淋巴系统增殖性疾病。最早在1975年Norrby和Vikrot[2]报道了1例合并有高钙血症的CLL患者,但在20世纪90年代以前病理活组织检查以及免疫组织化学等检测手段尚未完善,早期文献报道的病例中难以确定患者是否由于发生了Ritcher转化或者二重肿瘤进而导致上述合并症的出现。随着病理诊断技术的发展,CLL合并高钙血症和(或)溶骨性损害/病理性骨折的病例逐渐被报道,有研究回顾分析了11例CLL合并高钙血症的病例[3],其中7例同时并发了溶骨性病变,仅有2例发生了组织学转化。1994年Seymour等[3]报道了35例CLL并发高钙血症的患者,17例同时合并有溶骨性改变,仅有5例发生组织学转化。随着对该类疾病认识的提升以及诊断技术的不断更新,伴有高钙血症和(或)溶骨性损害/病理性骨折的CLL患者被陆续发现并报道[4,5,6],其中也只有少数患者发生Ritcher转化或合并二重肿瘤。但全部患者中几乎无一例外均在短期内因疾病进展而死亡。那么不伴Ritcher转化及合并二重肿瘤的CLL患者并发高钙血症及溶骨性损害的临床特点有哪些呢?
有学者称高钙血症、溶骨性改变甚至病理性骨折等并发症可能是CLL患者罕见的疾病进展标志[4],几乎均发生于晚期,且一旦溶骨性病变呈进行性发展,患者往往预后极差,多于数周至数月后死亡[4,6,7]。此外,文献[5]回顾目前已报道病例,对比了CLL患者骨质破坏的发生部位,发现此类患者溶骨性病变及病理性骨折多发生于人体的中轴骨及四肢长骨的近端。本例患者与既往报道一致,为晚期CLL(Rai Ⅳ期/Binet C期),且合并发生了高钙血症以及颌面骨、颅骨、胸腰椎、肋骨等人体中轴骨的多发骨质破坏,但并无证据表明该患者存在Ritcher转化或发生其他第二肿瘤导致上述溶骨性病变的发生。患者治疗过程中规律复查颅脑以及肺部CT等,其溶骨性病变并无明确的进展证据,但最终仍于第5个疗程化疗后出现了疾病进展。
关于CLL患者高钙血症以及溶骨性损害的发生机制,目前尚无明确解释。恶性肿瘤所并发的高钙血症一般由全身体液性反应和(或)局部溶骨性病变两种途径引起[8]。恶性肿瘤的体液性高钙血症多发生于无明显骨转移的实体肿瘤患者,但伴有高钙血症的CLL病例也偶有涉及[9,10],此类患者多有甲状旁腺激素相关蛋白(PTH-rp)及骨化三醇水平的增高。此外,CLL患者体内异常淋巴细胞膜上存在RANKL的过度表达[11],这使其可更加充分地与破骨细胞膜上的RANKL受体结合从而活化破骨细胞。
晚期CLL并发高钙血症和(或)溶骨性损害/病理性骨折的患者预后极差。2005年Narayan等[5]报道了1例83岁的男性患者在接受了8个周期标准化利妥昔单抗+环磷酰胺+多柔比星+长春新碱+泼尼松(R-CHOP)方案化疗以及每月的帕米膦酸二钠治疗后最终获得影像学以及组织学完全缓解(CR)的CLL病例,该患者在第2周期化疗后即获得了CR,但在结束治疗6个月后出现了疾病进展。本例患者与此报道相似,R-FC方案2个疗程化疗后临床症状得到显著改善,4个疗程后达PR,于第5个疗程化疗后出现了疾病进展,CD52单克隆抗体治疗无效,数月后因疾病进展死亡。虽然到目前为止尚没有该类患者的治疗指南,但有学者建议在CLL患者发生溶骨性病变以及高钙血症的早期应行局部病理活组织检查以及肿瘤标志物筛查以鉴别发病原因,除外二重肿瘤以及Ritcher转化后应尽早开始积极的全身化疗甚至受累野的局部放疗,当然必要的外科手术辅助治疗是避免病理性骨折发生的有效方法之一。传统的药物(如苯丁酸氮芥、激素等)以及常规的化疗方案(如R-FC等)难以有效抑制患者的疾病进展,该类患者最终多因溶骨性病变快速进展而导致患者长期卧床,出现重症感染而死亡。近年来某些小分子靶向药物(如BTK抑制剂)凭借其对BCR/BTK信号通路中重要信号分子的抑制作用逐渐成为临床中B细胞肿瘤以及B细胞免疫疾病的研究热点[12]。依鲁替尼作为美国食品药品监督管理局(FDA)批准上市的一代小分子BTK抑制剂,在CLL患者的Ⅰ、Ⅱ期临床试验中获得了令人欣喜的疗效,其总反应率(ORR)可达79%[13],但目前鲜见该药在CLL伴高钙血症和(或)溶骨性病变患者中应用的报道。此外,另一项研究发现小分子BTK抑制剂ONO-4059对BCR/BTK信号通路中的重要信号分子具有高选择性抑制作用,前期的动物模型试验中证明其可以通过抑制炎性因子如白细胞介素(IL)-6、IL-8、肿瘤坏死因子(TNF)-α的生成,从而减轻软骨侵蚀、骨损伤等的发生,其在CLL患者Ⅰ期临床试验中的ORR达96%[14],这一研究进展将为伴有高钙血症和(或)溶骨性病变/病理性骨折CLL患者的治疗带来巨大希望,还有待更多体外、动物实验以及大型临床试验进一步验证。
无





















