
探讨儿童急性淋巴细胞白血病(ALL)行大剂量甲氨蝶呤(HD-MTX)方案化疗所致严重不良反应的临床特征及诊治经过。
分析4例按ALL治疗方案规范化疗的儿童ALL行HD-MTX化疗后出现严重并发症病例的临床特点、治疗及转归情况。
4例ALL患儿中,男性2例,女性2例,年龄3~9岁,中位年龄8岁;3例为首次HD-MTX化疗,1例为第4次HD-MTX化疗。3例化疗后24 h内出现剧烈呕吐、腹痛、呼吸困难、抽搐、肠鸣音消失、血肌酐进行性升高、MTX血药浓度明显升高(30.0~136.5 μmol/L),3例患儿均转入重症医学科密切监测生命征,进行高通量透析,持续监测MTX血药浓度,另予碱化、水化、大剂量亚叶酸钙(CF)解救、纠正电解质紊乱、控制惊厥等治疗;另1例化疗后第7天开始出现剧烈呕吐、血压升高、癫痫持续状态、严重低钠血症,经颅脑磁共振成像(MRI)检查,诊断为可逆性后部白质脑病综合征,予纠正电解质紊乱、控制血压、抗癫痫等治疗。由于及时有效的治疗,4例患儿均得到成功救治。
早期诊断、早期应用高通量透析快速有效降低MTX血药浓度及对症支持等综合治疗措施是成功救治儿童急性白血病HD-MTX化疗相关严重不良反应的关键。
版权归中华医学会所有。
未经授权,不得转载、摘编本刊文章,不得使用本刊的版式设计。
除非特别声明,本刊刊出的所有文章不代表中华医学会和本刊编委会的观点。
大剂量甲氨蝶呤(HD-MTX)能有效预防和治疗髓外白血病,提高急性淋巴细胞白血病(ALL)患者总体无病生存率,已逐渐替代颅脑放疗成为治疗儿童ALL方案不可或缺的部分[1,2]。但HD-MTX在发挥良好抗肿瘤作用的同时,也可对所有快速分裂的正常细胞产生严重的影响,尤其是MTX排泄延迟导致严重高MTX血症时,可发生严重口腔黏膜炎、肠穿孔、剥脱性皮炎、急性肾衰竭、骨髓抑制、继发严重感染等多器官损害,有极高的病死率[3]。我们通过总结4例接受HD-MTX方案化疗后发生严重不良反应ALL患儿的成功救治经过,以提高对HD-MTX相关严重不良反应预防及处理措施的认识。
回顾分析2015年6月至2016年6月我院小儿血液科救治的HD-MTX化疗致严重不良反应的ALL患儿4例。男性2例,女性2例,年龄3~9岁,中位年龄8岁;低危型1例,中危型1例,高危型2例。ALL的诊断、危险度分层及治疗方案均参照文献[1]标准。4例患儿均规范化疗,3例为首次HD-MTX方案(其中2例高危型为首次blook 1方案)化疗,1例为第4次HD-MTX方案化疗,ALL处于持续完全缓解(表1)。

大剂量甲氨蝶呤(HD-MTX)化疗所致严重不良反应的4例急性白血病患儿临床资料
大剂量甲氨蝶呤(HD-MTX)化疗所致严重不良反应的4例急性白血病患儿临床资料
| 病例 | 性别 | 年龄(岁) | 危险度 | 所行方案 | 严重高MTX血症(>10 μmol/L) | 不良反应 |
|---|---|---|---|---|---|---|
| 例1 | 女 | 8 | 低危 | 第1次HD-MTX(3 g/m2) | + | 急性肾衰竭、肺水肿、肠麻痹 |
| 例2 | 女 | 8 | 高危 | 第1次blook 1方案(含MTX 5 g/m2) | + | 继发性癫痫、严重电解质紊乱、继发性高血压 |
| 例3 | 男 | 9 | 中危 | 第4次HD-MTX(5 g/m2) | + | 继发性癫痫、严重电解质紊乱、肝损害、心肌损害、溃疡性口炎 |
| 例4 | 男 | 3 | 高危 | 第1次blook 1方案(含MTX 5 g/m2) | - | 继发性高血压、可逆性后部白质脑病综合征、严重电解质紊乱、继发性癫痫 |
用药前肝、肾功能检查均正常。按危险度分层,给予MTX 3~5 g/m2化疗,1/10总量(不超过0.5 g)于0.5 h内静脉滴注,余量持续静脉滴注23.5 h,持续静脉水化(3 000~4 000 ml/m2)、碱化(监测尿pH值≥7),并给予三联鞘内注射,用药42 h开始给予亚叶酸钙(CF)解救。用药后44 h常规进行MTX血药浓度检测,但对用药24 h内即出现严重不良反应的患儿,用药后24 h即进行MTX血药浓度检测,根据血药浓度调整CF用量及疗程。
例2及例3因在上1个疗程化疗后合并侵袭性真菌病,在化疗前应用两性霉素B脂质体抗真菌治疗超过2周,复查相关指标,真菌感染控制,监测肝肾功能、电解质均正常,故在停用两性霉素B脂质体2 d后进行HD-MTX方案化疗。
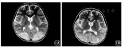
例1、例2及例3于HD-MTX化疗后24 h内均出现剧烈呕吐、腹痛,止吐、制酸处理不能缓解,例1出现肺水肿、肠麻痹、急性肾衰竭、严重口腔黏膜炎,查MTX血药浓度(44 h)高达36 μmol/L,血肌酐、尿素氮进行性升高;例2、例3出现抽搐,表现为神志丧失、双眼凝视上翻、四肢强直抽动,查MTX血药浓度均明显高于安全范围(用药24 h:例2为30.0 μmol/L,例3为136.5 μmol/L)。例4化疗期间MTX血药浓度处于安全范围,化疗后第7天出现剧烈呕吐、腹痛,继而出现血压升高、癫痫持续状态、严重低钠血症,颅脑磁共振成像(MRI)提示可逆性后部白质脑病综合征(RPLS)可能(图1A)。


1A:抽搐后第2天,双额顶叶皮层下白质,枕部深部白质,右侧脑室及小脑见多发异常信号影,未见明显强化,周围见片状水肿;1B:抽搐后2周,双顶枕叶侧脑室旁皮层下白质见对称性异常信号灶,T2呈高信号,T1呈低信号,较前范围明显缩小
转入重症监护室,例1、例2及例3进行高通量透析(HPD),大剂量CF解救,碱化、水化等治疗,例4予甲泼尼龙及美罗培南抗感染、呋塞米利尿等治疗,例2、例3予以镇静止惊、输血、集落刺激因子、抗感染等处理;例4进行控制血压、纠正电解质紊乱、抗癫痫等治疗,经以上处理后,例1、例2及例3血药浓度下降至安全范围,并发症治愈。例4抽搐停止,神志恢复,未遗留后遗症,复查颅脑MRI提示病灶吸收(图1B)。
出院后查肾图、亚甲基四氢叶酸还原酶(MTHFR)、血尿β2微球蛋白均未见异常,予以减低MTX剂量后进行化疗,监测MTX血药浓度于安全范围,未出现严重不良反应。
MTX是一种抗叶酸代谢药,具有广谱的抗肿瘤作用,而且HD-MTX可透过血脑和血睾屏障,减少儿童ALL髓外复发,提高无事件生存率,已成为儿童ALL诊疗方案必要的组成部分[1,4]。方案中所给予的MTX剂量(按体表面积)是根据不同的危险度分层决定的,但由于年龄、性别及遗传背景的不同,甚至同一个体由于化疗前肝、肾功能及使用其他药物等因素影响,MTX在人体内的吸收、分布、生物转化、排泄及对靶器官反应存在很大的差异,故发生MTX毒性反应及其严重程度的差异程度也很大[5,6,7,8]。
MTX的排泄延迟是造成不同个体间发生不良反应及其严重程度差异的重要因素之一,MTX有复杂的细胞内代谢及一系列代谢关键酶(主要包括叶酸代谢途径中的MTHFR、叶酸还原载体及谷胱甘肽S-转移酶),后者的基因多态性与排泄延迟及不良反应之间存在相关性[9]。有报道显示,MTHFR基因多态性与应用HD-MTX不良反应有关,其中TT基因型不良反应发生率最高[10],但也有研究发现,MTHFR基因多态性可能不影响MTX治疗ALL不良反应总发生率[11]。本组病例中,例1、例2及例3均出现严重的高MTX血症,存在MTX的排泄延迟。3例MTHFR均未见基因多态性位点变异,例3既往应用HD-MTX无排泄延迟病史,例2、例3此次HD-MTX化疗前均有两性霉素B脂质体用药史,虽然化疗前肾功能正常,但长时间的应用两性霉素B脂质体可能已导致肾脏对药物排泄储备功能的下降,推测两性霉素B脂质体可能是导致该2例患儿MTX排泄延迟的原因,例1无用药史,考虑可能存在其他MTX相关代谢酶或转运体的基因位点变异,但受检验条件所限未能进一步检查明确。
MTX的诊断主要根据临床表现及MTX血药浓度。临床表现包括有骨髓抑制、中枢神经系统损害、黏膜溃疡、肝肾损害、肺损害、皮肤损害、胃肠反应等[12]。目前公认的MTX中毒血药浓度为给药后24 h>10 μmol/L、48 h>1 μmol/L、72 h>0.1 μmol/L,毒性反应与高MTX血药浓度密切相关,严重的高MTX血症可导致惊厥、剧烈呕吐、腹痛等急性中毒症状,另外,MTX的不良反应还与药物暴露的持续时间密切相关,高MTX血症一旦持续超过1周,便可能出现表皮松解、严重骨髓抑制及继发严重感染等并发症,死亡率极高[3]。如本组病例中,例1、例2、例3由于严重高MTX血症在用药24 h内即出现严重腹痛、剧烈呕吐、惊厥等MTX急性中毒症状。
RPLS是由多种原因引起的以神经系统受损为主要表现的综合征,神经影像学的典型表现为对称性的、大脑后部以白质为主的可逆性血管源性水肿[13]。抗肿瘤药物为诱发RPLS的常见原因,据统计,在RPLS的病因中细胞毒性药物占19%[14]。有研究表明,MTX的神经系统毒性反应与MTX的剂量及血药浓度并不相关,而可能与个体基因差异、药物相互作用及脑内维生素B12的低水平有关[15,16]。本组病例中,例4在HD-MTX化疗期间监测MTX血药浓度处于安全范围,在化疗后7 d出现神经系统损害,经头颅MRI诊断为RPLS,考虑可能与个体差异及其他化疗药物(化疗同时使用的长春新碱、培门冬酶、地塞米松等)的相互作用有关。
为避免MTX排泄延迟并早期识别高风险患儿以减轻其不良反应,可从以下方面着手:(1)充分水化、碱化可促进MTX的排泄[17];(2)预防性应用CF可以减轻MTX对正常组织的损害,目前较公认的应用时间为用药后36~42 h[1,4,18];(3)由于质子泵抑制剂、非甾体类抗炎药、万古霉素、两性霉素B等药物可导致MTX排泄延迟[8],在HD-MTX化疗前或化疗中均应避免使用,若需应用,则应该停用一段时间后方可化疗;(4)目前临床多于用药44~48 h后首次查MTX血药浓度,但对于用药24 h内即出现严重胃肠道反应,甚至惊厥的患儿,建议用药后24 h即查MTX血药浓度;(5)对需行HD-MTX治疗的患儿进行MTX代谢酶和转运体基因等相关检测,实现HD-MTX剂量的个体化治疗。
已有较多报道证实了大剂量CF对MTX排泄延迟治疗的有效性,因此对已发生MTX排泄延迟而出现高MTX血症的患儿紧急处理,常规采用大剂量CF解救[17];但给予大剂量CF治疗并不能短时间降低MTX血药浓度[19]。我们认为当患儿出现严重高MTX血症时,预后与高MTX血症的持续时间明确相关,因此应该采取有效措施在短时间内将MTX血药浓度降至安全范围。由于MTX是水溶性小分子物质,故相对于血液灌流、血浆置换及常规血液透析,高流量透析模式在救治时具有明显的优势[20,21,22]。本组病例中,重症医学科及时对3例严重高MTX血药浓度患儿进行HPD治疗,MTX均能在短时间内下降,是救治成功的关键之一。
总之,HD-MTX化疗所致严重不良反应可同时导致多个系统发生损害,早期诊断、早期应用HPD快速有效降低MTX血药浓度及对症支持等综合措施是成功救治儿童ALL HD-MTX化疗所致严重不良反应的关键,能够降低相关病死率。
无

























