
探讨IgG-2κ轻链型多发性骨髓瘤(MM)的临床和实验室特征。
结合相关文献分析3例IgG-2κ轻链型MM患者的临床资料和实验室结果。
3例患者中,男性2例,女性1例,年龄50~82岁,主要表现为腰痛、感染、贫血和肾功能损害,X线和(或)磁共振成像检查均显示多发溶骨性骨质破坏。血清IgG正常、轻度或明显升高,IgA和IgM均降低。血清和尿液κ轻链均明显升高,尿本周蛋白均阳性。2例患者血清蛋白电泳可见γ区形成双M蛋白峰。血清免疫固定电泳可见抗IgG单条带和抗κ轻链双条带。骨髓涂片可见异常浆细胞明显增多。2例患者分别接受DVD、VAD方案化疗达部分缓解和疾病稳定,1例患者因肺部感染、急性左心衰竭、急性肾衰竭放弃治疗。
IgG-2κ轻链型MM临床表现缺乏特征性,但某些实验室特点可能不同于IgG-κ轻链型,是否属于双克隆型MM有待研究证实。
版权归中华医学会所有。
未经授权,不得转载、摘编本刊文章,不得使用本刊的版式设计。
除非特别声明,本刊刊出的所有文章不代表中华医学会和本刊编委会的观点。
多发性骨髓瘤(MM)是浆细胞恶性增殖性疾病,根据异常免疫球蛋白重链类型可分为IgG型、IgA型、IgD型、IgM型、IgE型、轻链型、双克隆型以及不分泌型,各型根据轻链类型可分为κ轻链型和λ轻链型[1]。近年我们检测到2例IgG-2κ轻链型MM,国内报道例数较少[2,3],现结合文献[2]报道的1例分析其临床和实验室特征。
例1,男性,82岁,因腰部疼痛3个月余、右上腹疼痛4 d于2013年12月21日入院。体检:中度贫血貌,皮肤黏膜无黄染,Murphy征阳性,肝脾肋下缘未触及,腰椎棘突压痛,双下肢无水肿。实验室检查:血红蛋白(Hb)87 g/L,红细胞沉降率(ESR)92 mm/1 h,清蛋白(ALB)31.8 g/L,球蛋白(GLB)60.4 g/L,肌酐(Cr)170 μmol/L,β2微球蛋白(β2-MG)12.6 mg/L,血钙1.91 mmol/L。尿本周蛋白定性血清免疫球蛋白(+),IgG 48.30 g/L,IgA 0.26 g/L,IgM 0.24 g/L。血清补体C3 0.596 g/L,C4 0.056 g/L。血轻链:κ轻链21.30 g/L,λ轻链1.28 g/L;尿轻链:κ轻链14.40 g/L,λ轻链0.027 g/L。血清蛋白电泳(γ区):单M蛋白峰。骨髓浆细胞0.62,成熟浆细胞0.16,原始幼稚浆细胞0.46。细胞遗传学改变:t(21;22)(q10;q10)。Durie-Salmon分期:Ⅲ期;国际分期系统分期:Ⅲ期;Bataille分期:Ⅱ期。
例2,女性,64岁,因头晕乏力伴腰部疼痛3个月余于2014年5月19日入院。体检:重度贫血貌,皮肤黏膜无黄染,全身浅表淋巴结未触及肿大,两肺呼吸音粗,肝脾肋下缘未触及,双下肢无水肿。实验室检查:Hb 53 g/L,ESR>140 mm/1 h,ALB 35.2 g/L,GLB 31.0 g/L,Cr 106.5 μmol/L,β2-MG 12.0 mg/L,血钙2.34 mmol/L。尿本周蛋白定性血清免疫球蛋白(+),IgG 13.70 g/L,IgA<0.23 g/L,IgM<0.17 g/L。血清补体C3 0.620 g/L,C4 0.278 g/L。血轻链:κ轻链47.12 g/L,λ轻链0.16 g/L;尿轻链:κ轻链19.20 g/L,λ轻链0.015 g/L。血清蛋白电泳(γ区):双M蛋白峰。骨髓浆细胞0.50,成熟浆细胞0.12,原始及幼稚浆细胞0.38。细胞遗传学:正常核型。Durie-Salmon分期:Ⅲ期;国际分期系统分期:Ⅲ期;Bataille分期:Ⅱ期。
例3[2],男性,50岁,因腰部疼痛1个月余于2009年8月12日入院。体检:轻度贫血貌,皮肤黏膜无瘀点,全身浅表淋巴结未触及肿大,肝脾肋下缘未触及,第12胸椎、第1腰椎棘突压痛明显,叩击痛明显,生理弯曲存在。实验室检查:Hb 66 g/L,ESR 150 mm/1 h,ALB 35.7 g/L,GLB 45.6 g/L,Cr 406.8 μmol/L,β2-MG 10.6 mg/L,血钙3.0 mmol/L。尿本周蛋白定性血清免疫球蛋白(+),IgG 17.80 g/L,IgA<0.63 g/L,IgM 0.28 g/L。血轻链:κ轻链75.50 g/L,λ轻链1.27 g/L;尿轻链:κ轻链37.80 g/L,λ轻链0.05 g/L。血清蛋白电泳(γ区):双M蛋白峰。骨髓浆细胞0.28,成熟浆细胞0.11,原始幼稚浆细胞0.17。细胞遗传学改变:1q21。Durie-Salmon分期:Ⅲ期;国际分期系统分期:Ⅲ期;Bataille分期:Ⅱ期。
3例IgG-2κ轻链型MM患者的性别、年龄、临床症状、血常规、血清免疫球蛋白、血轻链定量、尿轻链定量、血清蛋白电泳、免疫固定电泳、骨髓形态学、免疫分型、细胞遗传学、Durie-Salmon分期、国际分期系统分期、Bataille分期、临床疗效、生存时间等指标进行总结分析,疗效评价参照欧洲骨髓移植协作组的疗效判断标准[1]。
男性2例,女性1例,年龄分别为50、64、82岁,主要症状包括腰部疼痛、肺部感染、胆道感染和浆膜腔积液,X线或磁共振成像(MRI)检查均提示多发溶骨性骨质破坏。
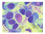
3例患者轻度至重度贫血,ESR显著增快,合并白细胞减少1例,合并血小板减少2例,肾损害2例,高钙血症1例。血清IgG正常1例,轻度升高1例,显著升高1例,IgA和IgM均降低,血和尿κ轻链均显著升高,λ轻链正常或减低,尿本周蛋白定性均阳性。骨髓浆细胞占0.275~0.615,原始及幼稚浆细胞0.17~0.46(图1)。例2和例3血清蛋白电泳在γ区形成双M蛋白峰。3例血清免疫固定电泳均在IgG区形成单条带和在κ轻链区形成双条带(图2),IgA、IgM、IgD、IgE和λ轻链区未见异常条带。例1检测到t(21;22)(q10;q10),例3检测到1q21扩增。




注:可见抗IgG单条带和抗κ轻链双条带
按照Durie-Salmon分期标准,Ⅲ期A组1例,Ⅲ期B组2例;按照国际分期系统分期标准,均属Ⅲ期;按照Bataille分期标准,均属Ⅱ期。
例1因肺部感染、急性左心衰竭、急性肾衰竭放弃化疗,生存时间<1个月。例2接受3个疗程VAD(长春新碱+多柔比星+地塞米松)方案化疗,评估达疾病稳定,随后放弃化疗,生存时间仅5个月。例3接受4个疗程DVD(多柔比星脂质体+长春地辛+地塞米松)方案化疗,评估达部分缓解,生存时间>16个月。
本组3例患者临床表现为腰部疼痛、感染、贫血和肾功能损害,血清IgG正常、轻度升高或明显升高,IgA和IgM减低,血和尿κ轻链明显升高,β2-MG升高,X线或MRI检查均发现多发溶骨性骨质破坏,骨髓涂片提示原始幼稚浆细胞明显增多,符合MM的诊断标准[1]。例2和例3患者血清IgG分别为13.70、17.80 g/L,明显低于诊断标准(>35 g/L),但血清免疫固定电泳在IgG区形成单条带和在κ轻链区形成双条带,提示IgG-2κ轻链型MM。MM细胞有过度分泌游离轻链能力,血清游离轻链克隆性增多,但往往仅轻度增多。本组3例患者血清游离κ轻链显著增多,血清蛋白电泳γ区形成双M峰,不排除双克隆型MM可能,但因实验条件限制,3例患者均未能在基因层面证实两组M蛋白是否来源于单克隆骨髓瘤细胞或双克隆骨髓瘤细胞分泌,需进一步研究证实。
目前认为双克隆型MM的诊断需要符合两项条件:(1)符合MM诊断标准;(2)免疫固定电泳证实存在两组M蛋白。两组M蛋白既可来自2个克隆MM细胞分泌,又可来自单个克隆骨髓瘤细胞分泌[4,5]。两组M蛋白具有多种表现形式:(1)一组M蛋白明显升高,另一组仅轻度升高;(2)两组M蛋白均正常或轻度升高;(3)两组M蛋白均明显升高。两组M蛋白以IgG+IgA、IgM+IgG、IgM+IgA的联合形式较常见,多数轻链类型相同[5,6]。对于IgG-2κ轻链型以及类似的IgA-2λ轻链型、IgD-2λ轻链型MM,国内外均报道成双克隆型多发性骨髓瘤[2,3,7,8]。朱平等[9]研究1例血清蛋白电泳发现3个M蛋白峰,免疫固定电泳发现IgA-λ和IgG-λ轻链型MM患者的免疫球蛋白重链(IgH)基因标志,结果表明,应用IgH可变区家族VH3引物和通用J区引物可获得一条浓染条带,提示其可变区是由IgVH3/J片段组成,用IgVH3和恒区Cμ、Cγ、Cα特异性引物也可获得相应的PCR产物条带,表明患者有IgM、IgG、IgA基因重排,但不能用引物VH1/J、VH2/J、VH4/J、VH5/J和VH6/J组合以及引物VH3/Cε、VH3/Cδ组合获得,说明不存在这些类型的细胞克隆。进一步将Cμ、Cγ、Cα引物获得的PCR产物条带克隆到pGEM-T载体内,大量扩增后测序发现3种条带除少数恒区片段的序列不同外,其重链基因可变区的重排序列完全一致,表明患者血清3种免疫球蛋白IgG、IgA、IgM的可变区是完全一致的,即患者MM细胞仍然属单克隆性起源,出现3种不同免疫球蛋白的原因可能源于类型转换。因此仅根据免疫固定电泳证实存在两组M蛋白就诊断双克隆型MM值得商榷。
按照Durie-Salmon分期和国际分期系统分期标准,3例患者均处临床Ⅲ期,但按照Bataille分期标准,3例患者均处临床Ⅱ期,提示Durie-Salmon分期标准和国际分期系统分期标准可能比Bataille分期标准更加适合IgG-2κ轻链型MM的临床分期。IgG-2κ轻链型MM的治疗策略与其他类型MM相同,疗效评价可参照欧洲骨髓移植协作组和国际骨髓瘤工作组疗效判断标准。杨建和等[2]报道1例IgG-2κ轻链型MM接受4个疗程DVD方案化疗,肾功能正常,骨髓缓解,血清蛋白电泳双M蛋白峰消失,免疫固定电泳抗IgG条带以及相同位置的抗κ轻链条带消失,但另一抗κ轻链条带仍存在,说明IgG-2κ轻链型MM的IgG和κ轻链浓度变化可能非同步,在疗效评价时应以降幅较小的浓度评价疗效[5]。本组有2例患者生存时间不足6个月,但因发病率低,具体预后情况有待研究评估。Rabrenovic'等[7]报道1例37岁以肾功能衰竭起病的IgD-2λ轻链型MM在血液透析同时接受4个周期PAD方案(硼替佐米+多柔比星+地塞米松)化疗,血清IgD、λ轻链以及尿蛋白明显降低,6个月后接受自体骨髓移植,随访2年疾病仍完全缓解。基于硼替佐米的联合化疗以及造血干细胞移植是否对IgG-2κ轻链型MM显效有待研究证实。
无





















