
分析成年人朗格汉斯细胞组织细胞增生症(LCH)的临床特征、治疗及预后。
对2010年3月至2017年3月南京医科大学第一附属医院及南京市第二医院收治的年龄≥18岁的21例成年LCH患者资料进行回顾性分析,总结其临床表现、实验室检查结果、治疗方法和预后。
21例LCH患者中男性14例,女性7例,中位年龄43岁(22~62岁)。4例为单系统、单病灶,5例为单系统、多病灶(Hand-Schuller-Christian病),12例为多系统、多病灶(Letter-Siwe病);其中7例有重要器官受累(肺部3例、骨髓2例、肝脏1例、脾脏1例),为高风险患者。所有患者中位生存时间为36个月(1~89个月),其中9例单系统病变及5例多系统病变伴低风险患者均生存,病情稳定,未出现疾病复发,生存时间为4~89个月;7例多系统病变伴高风险患者中3例生存,病情稳定,未复发,4例死亡。
成年人LCH发病率较低,患者中男性居多,与儿童LCH不同,成年人LCH临床多为多病灶、多系统病变。多系统病变伴高风险患者治疗反应差,需探索新型治疗方案。
版权归中华医学会所有。
未经授权,不得转载、摘编本刊文章,不得使用本刊的版式设计。
除非特别声明,本刊刊出的所有文章不代表中华医学会和本刊编委会的观点。
朗格汉斯细胞组织细胞增生症(LCH)是一种相对罕见、病因和发病机制不明的组织细胞疾病,其特征为朗格汉斯细胞的异常克隆增殖及在各种组织和器官中的积累[1]。LCH根据病变部位分为单系统LCH(SS-LCH)和多系统LCH(MS-LCH),其中MS-LCH又可分为不伴高风险(MS-RO-)及伴高风险(MS-RO+)。其临床表现和疾病转归差异很大,从单独的自愈性病变到包括肝、脾、肺和造血系统在内重要器官的累及[2,3]。LCH可发生在任何年龄,但更常见于儿童,成年人少见,临床容易忽视。Aricò等[4]报道来自13个国家共274例成年人LCH,其中188例MS-LCH中有66%骨骼受累,62%肺部受累,51%皮肤受累;88例SS-LCH中有51%肺部受累(其中大多数是吸烟者),其次是骨骼和皮肤,分别占38%和14%。成年人LCH的自然史尚不清楚,治疗方式取决于疾病严重程度,国内相关报道较少。我们对成年LCH患者进行回顾性分析,旨在探讨该类患者的临床特征、治疗及预后,以提高对该病的认识及诊治水平。
回顾性分析2010年3月至2017年3月在南京医科大学第一附属医院及南京市第二医院血液科住院的年龄≥18岁的21例成年LCH患者。所有病例均经病理学检查及免疫组织化学染色明确诊断,并根据国际标准进行LCH器官功能异常(肝、骨髓及肺功能异常)及器官受累判断[5]。
对21例成年LCH患者资料进行回顾性分析,包括年龄、性别、病变部位、病变范围、影像学资料、病理检查、治疗情况及生存时间等。影像学检查包括CT、磁共振成像(MRI)、ECT或PET-CT。自患者确诊之日起进行随访,总生存(OS)时间为明确诊断至末次随访或死亡的时间。
采用SPSS 21.0统计软件处理数据,计量资料不符合正态分布,以中位数(范围)表示,进行描述性统计分析。
21例LCH患者中,男性14例,女性7例,中位年龄43岁(22~62岁),其中60岁以上2例。中位随访时间为36个月(1~89个月)。
21例患者中有9例为SS-LCH,其中4例为单系统、单病灶,5例为单系统、多病灶(Hand-Schuller-Christian病);12例为MS-LCH(Letter-Siwe病);其中7例有重要器官受累(肺部3例、骨髓2例、肝脏1例、脾脏1例),为MS-RO+,其余5例为MS-RO-。首发症状:骨痛9例,淋巴结肿大4例,发热2例,腮腺肿大2例,尿崩症2例,咳嗽2例,腹痛2例,体检发现肺部病变1例(表1)。

不同类型成年朗格汉斯细胞组织细胞增生症患者临床特征比较
不同类型成年朗格汉斯细胞组织细胞增生症患者临床特征比较
| 项目 | SS | MS⁃RO- | MS⁃RO+ | |
|---|---|---|---|---|
| 性别(例) | ||||
| 男 | 6 | 4 | 4 | |
| 女 | 3 | 1 | 3 | |
| 年龄[岁,中位数(范围)] | 39(22~57) | 45(28~62) | 47(24~62) | |
| 年龄(例) | ||||
| ≥60岁 | 0 | 1 | 1 | |
| <60岁 | 9 | 4 | 6 | |
| 随访时间[月,中位数(范围)] | 47(11~89) | 49(4~81) | 22(1~86) | |
| 临床表现(例) | ||||
| 骨痛 | 6 | 1 | 2 | |
| 淋巴结肿大 | 1 | 1 | 2 | |
| 发热 | 0 | 0 | 2 | |
| 腮腺肿大 | 1 | 1 | 0 | |
| 尿崩症 | 1 | 1 | 0 | |
| 咳嗽 | 0 | 0 | 2 | |
| 腹痛 | 0 | 1 | 1 | |
| 体检发现 | 0 | 0 | 1 | |
注:SS为单系统;MS-RO-为多系统不伴高风险;MS-RO+为多系统伴高风险
21例患者中,骨损害11例(图1),其中脊柱损害8例,肋骨损害3例,四肢骨损害3例,颅骨损害1例;淋巴结肿大8例;肺弥漫性病变3例;骨髓病变2例;腮腺病变2例;颅内病变2例;肝脏弥漫性病变1例;脾脏病变1例;胸腔积液和心包积液1例。


注:C7椎体左侧椎弓板及左横突骨质破坏,周围见软组织影,脱氧葡萄糖代谢增高
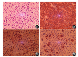
21例患者病理组织学检查均表现为大量朗格汉斯细胞增生,可见嗜酸粒细胞及中性粒细胞浸润。所有病例均行免疫组织化学检查,典型的免疫标记为CD1a+、S-100+、CD68+(图2)。


2A:LCH细胞弥散排列,界限不清,细胞核呈圆形、卵圆形或不规则形,胞核折叠、凹陷,胞质中等丰富,轻度嗜酸HE;2B:累及颈部淋巴结CD1a阳性EnVision;2C:累及颈部淋巴结S-100阳性EnVision;2D:累及颈部淋巴结CD68阳性EnVision
21例患者中,10例行手术切除治疗,11例行病灶活组织检查术。2例患者行局部放射治疗,15例接受了全身化疗,包括VP方案(长春新碱+泼尼松)、COP方案(环磷酰胺+长春新碱+泼尼松)、DAL-HX90强化方案(泼尼松+长春地辛+依托泊苷)、LCH Ⅲ协作组方案(甲氨蝶呤+长春地辛+泼尼松)、CLAG方案(克拉屈滨+阿糖胞苷)。随访截至2017年8月1日,21例患者均获得随访,中位生存时间为36个月(1~89个月),其中9例SS患者及5例MS-RO-患者均生存,病情稳定,均未复发,生存时间为4~89个月;7例MS-RO+患者中3例生存,病情稳定,未复发,4例死亡(2例骨髓受累,生存时间均为4个月;1例肺部受累,生存时间为13个月;1例脾脏受累,生存时间为1个月)。
LCH是起源于组织细胞的恶性肿瘤,临床呈现高度异质性,可发生于任何年龄,多见于儿童,成年人LCH发病率近年来也在不断增加[6,7]。因成年人LCH罕见且无特异性临床表现,部分患者被误诊或漏诊[8,9]。LCH的确诊依赖于病理组织检查中发现朗格汉斯细胞,通常使用免疫标记如CD1a和CD207等进行确认[10]。由于起源于组织细胞,LCH可发生于人体的大多数器官或系统,但最常见的是骨骼(80%)、皮肤(33%)、垂体(25%)、肝脏(15%)、脾脏(15%)、造血系统(15%)、肺部(15%)、淋巴结(5%~10%)和中枢神经系统(2%~4%,不包括垂体)。与儿童LCH有所不同,累及肺部在成年患者中更常见,并且成年肺LCH患者一般为单器官受累,有报道表明LCH患者肺部受累与吸烟有关[11]。Maia等[12]报道成年患者皮肤、眼眶及下颌骨受累较儿童患者常见。本组21例成年LCH患者,男性多于女性,骨骼为最常受累的部位,与大多数国内外文献报道一致,其中脊椎受累最常见,与大部分报道的颅面骨受累多见有所不同。其他好发的部位有淋巴结、肺、颅内,少见的有腮腺、骨髓、肝、脾等。肺部受累的3例患者均有吸烟史,且均为多系统受累,这与大多数报道中肺LCH多为单器官受累有所不同,肺LCH伴多系统受累提示预后不良[13]。
LCH具有不同的临床进程,临床表现呈多样性。SS-LCH以骨质受累为主,常表现为骨痛,少数患者表现为单纯皮疹,淋巴结肿大,垂体、甲状腺或腮腺肿大等,一般无危险器官受累;MS-LCH部分伴有危险器官受累,临床表现更为复杂[14]。本组中,9例以骨痛为首发症状,其中SS-LCH 6例;4例以淋巴结肿大为首发症状,包括1例SS-LCH和3例MS-LCH,其中2例为MS-RO+;2例以发热为首发症状,均为MS-RO+;腮腺肿大和尿崩症各2例,均属于SS和MS-RO-;咳嗽2例,均为MS-RO+,此外还有腹痛及体检发现肺部病变的患者。这提示LCH的临床表现复杂多样,缺乏特异性,这可能是导致漏诊或误诊的原因。
临床分类对预后有指导意义,SS及MS-RO-患者预后良好,而90%的死亡发生于MS-RO+患者[15]。本研究中所有的SS及MS-RO-患者均生存,7例MS-RO+患者中3例生存,4例死亡,死亡病例中2例骨髓受累,1例肺部受累,1例脾脏受累,提示MS-LCH伴有危险器官受累,尤其是骨髓受累有可能是治疗反应差和死亡的高危因素。而SS和MS-RO-患者的治疗反应较好,生存时间较长,但仍需延长随访时间以进一步观察预后。近期一项研究显示,大多数成年LCH患者在治疗二十多年后仍生存,预后相对较好,但是继发急性髓系白血病(AML)的风险可能会增加[16]。在我们的研究中没有发现继发性AML患者。
目前成年人LCH发病率低,治疗经验少,临床治疗通常遵循类似儿童LCH的治疗方案。治疗方法包括手术、放疗、局部皮质类固醇或盐酸氯沙坦溶液、沙利度胺、全身化疗和联合治疗,对光疗和低剂量甲氨蝶呤有良好的反应[17,18],亦有采用造血干细胞移植治疗复发难治性LCH患者的报道[19]。目前国际LCH临床试验的重点是通过优化早期诱导治疗方案,降低疾病复发率和预防晚期并发症,以进一步改善高危MS-LCH患者的疗效和生存。对于新诊断的成年人MS-LCH没有标准的治疗方案。一项多中心回顾性研究表明,除肺部受累和肺功能受损的患者外,长春碱+类固醇激素是成年人LCH有效且耐受性良好的一线治疗。然而较多患者在长期随访期间经历LCH复发。与儿童LCH相比,风险器官受累的存在对患者预后有不良影响[20]。标准儿科方案中的长春碱、泼尼松方案用于成年人LCH,增加了神经系统不良反应、骨质疏松症和更多的类固醇激素不良反应,因此更多学者倾向使用阿糖胞苷、依托泊苷或克拉屈滨单药治疗[21]。一项对58例有骨骼受累的成年LCH患者的回顾性研究显示,与长春碱、泼尼松相比,阿糖胞苷的治疗反应和不良反应方面均有优势,甚至优于克拉屈滨[22]。近年来随着对LCH的深入了解,多项研究表明,50%~60%的LCH患者存在原癌基因BRAF V600E的激活型突变和MEK、ERK磷酸化改变,这些发现改变了LCH的定义,认为其属于具有强烈炎症成分的树突状细胞肿瘤[23,24]。近期研究表明,LCH患者除了BRAF突变外,还存在ARAF和MAP2K1体细胞突变,导致野生型BRAF的RAS-RAF-MEK-ERK通路异常激活,同时MAP2K1激活型突变对MEK抑制剂相对不敏感的现象为进一步开发LCH靶向治疗药物提供了理论依据[25]。
本研究中患者治疗方式各异,单系统、单病灶患者多采用局部治疗,如手术治疗或联合局部放疗;多系统、多病灶患者大多行全身化疗,方案主要为长春碱联合类固醇药物,亦有LCH Ⅲ协作组方案、CLAG方案等多药联合化疗方案,因总体样本量较少,尚不能比较不同治疗方案优劣。但多项研究均表明,伴有高危因素的MS-LCH无论采用何种现有治疗方案,预后都比较差,对于这类患者,采用多种综合治疗模式,尤其是靶向药物,可能会改善预后。
综上所述,成年人LCH较少见,临床表现缺乏特异性,治疗前需要进行系统检查和评估。LCH的治疗目前尚无统一标准,初始治疗的有效率较高,但多系统受累和有高风险器官受累的患者疗效较差。成年人LCH的远期疗效和预后尚待进一步的随访和观察。
无





















