
探讨伴成熟浆细胞样树突细胞(PDC)增生的骨髓增生异常综合征(MDS)患者的临床特点、诊断、治疗及预后。
回顾性分析空军特色医学中心诊治的1例伴成熟PDC增生的MDS伴原始细胞增多(EB)-1患者的临床资料,并进行相关文献复习。
该例患者体检发现贫血及血小板减少,骨髓涂片可见原始粒细胞占0.064,树突细胞占0.152,免疫分型可见原始粒细胞及成熟PDC两组异常增殖的细胞,给予地西他滨治疗,间断输注红细胞及血小板,病情基本稳定。
伴成熟PDC增生的MDS极为罕见,临床无特殊表现,诊断依据骨髓细胞学检查及免疫分型,治疗尚无标准方案,预后依据MDS疾病进展而定。
版权归中华医学会所有。
未经授权,不得转载、摘编本刊文章,不得使用本刊的版式设计。
除非特别声明,本刊刊出的所有文章不代表中华医学会和本刊编委会的观点。
骨髓增生异常综合征(MDS)是一组起源于造血干细胞的异质性髓系克隆性疾病,伴成熟浆细胞样树突细胞(PDC)增生的MDS极为罕见,现将我院收治的1例MDS伴成熟PDC增多患者临床资料报道如下,并进行文献复习。
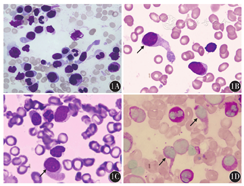
患者,女性,71岁,2017年6月常规体检查血象示:白细胞计数(WBC)4.11×109/L、血红蛋白(Hb)108 g/L、血小板计数(Plt)30×109/L,无出血倾向及其他不适,未行治疗。2017年9月20日在我院门诊查血象示:WBC 4.58×109/L、Hb 99 g/L、Plt 22×109/L。骨髓象示:增生明显活跃,粒细胞∶有核红细胞4.07∶1,分类不能归类细胞占0.13,粒系增生明显活跃,红系增生减低,粒、红细胞形态基本正常,全片见巨核约830个,分类25个巨核细胞,未见产板巨核细胞,血小板少见。患者于9月22日在我科住院治疗。查体示:贫血貌,皮肤无黄染及出血点,全身浅表淋巴结无肿大,心、肺、腹未见异常。入院检查血象示:WBC 4.2×109/L、Hb 96 g/L、Plt 6×109/L,骨髓象示:骨髓增生活跃至明显活跃,粒细胞∶红细胞3.81∶1;异常细胞占有核细胞0.152,其胞体呈圆、椭圆及不规则形,细胞核呈圆形或椭圆形,个别细胞核仁可见,胞质量丰富呈灰蓝色,可见拖尾现象(图1A、图1B);原始粒细胞占0.064,粒系部分细胞可见轻度类巨变或胞体小,中性粒细胞核分叶不良;红系部分细胞可见轻度类巨变;巨核细胞见192个,其中颗粒型巨核细胞159个,产板型巨核细胞18个,裸核巨核细胞15个,可见小巨核细胞及单圆核巨核细胞,大部分巨核细胞胞体小、分叶少或不分叶,血小板小簇可见,可见大血小板。细胞化学染色示:异常细胞过氧化物酶(POX)、非特异性酯酶(NAE)、特异性酯酶(CE)均阴性;异常细胞糖原染色(PAS)阳性率10%(图1C、图1D);原始细胞POX阳性率15%。骨髓活组织检查示骨髓造血细胞丰富,巨核系轻度增生,伴轻度纤维化,不除外MDS。骨髓免疫分型结果示:异常表型髓系原始细胞占有核细胞5.15%,表达CD33dim、CD13br、CD34、CD117、HLA-DR。树突细胞(DC)占有核细胞6.34%,表达BDCA-4(CD304)、CD123、CD4、HLA-DR、CD36,不表达CD117、CD34、CD96、CD33、CD11b、CD13、CD7、CD56、CD64、CD16、CD14、CK、GD2、CD61、CD42b、CD2、CD5、CD3、CD8、CD19,为PDC,比例升高,表型未见明显异常。白血病43种常见融合基因及基因突变检测未见异常。染色体核型:46.XX[20]。颈部超声:双侧颈部淋巴结增大,左侧最大0.8 cm×2.1 cm,右侧最大0.8 cm×1.8 cm。胸部、腹、盆腔CT检查未见异常。临床诊断为伴成熟PDC增生的MDS伴原始细胞增多(EB)-1,中危-1。给予促红细胞生成素1万U,隔日1次,皮下注射;沙利度胺100 mg,每晚1次,口服。2017年10月20日至24日及12月15日至19日给予地西他滨(20 mg/d×5 d)2个疗程,间断输注血小板。复查骨髓象示:原始粒细胞及DC均为0。流式细胞术微小残留病变检测结果示:异常表型幼稚髓系细胞占有核细胞0.92%,PDC占2.13%。血象:WBC 5.3×109/L、Hb 96 g/L、Plt 23×109/L。半年后复查血象示:WBC 4.45×109/L、Hb 77 g/L、Plt 4×109/L。骨髓象示:原始粒细胞占0.02,DC占0.22。全片见巨核细胞60个。流式细胞微小残留病变检测结果示:异常表型髓系幼稚细胞2.57%,PDC 9.16%。2018年6月6日至10日再次给予地西他滨20 mg/d×5 d,间断输注红细胞、血小板,促血小板生成素1.5万U皮下注射1次/d×10 d。2018年8月3日骨髓象示:未见原始粒细胞,PDC占3%。流式细胞术微小残留病变检测示:异常表型幼稚髓系细胞占1.12%,PDC占0.21%。患者病情基本稳定,WBC正常,Hb 90~100 g/L,Plt(10~20)×109/L。


健康人体内,DC广泛分布于脑以外的全身组织和脏器,其表面具有丰富的抗原递呈分子、共刺激因子和黏附因子,是体内最强的抗原递呈细胞(APC),在免疫调控中起重要作用[1]。PDC主要来源于骨髓、外周血及T细胞丰富的淋巴组织,表达CD303、CD304、CD123、CD4、CD45RA、CD86、HLA-DR、TCL1,在监视血源性病原体及呈递抗原方面发挥作用[2]。正常骨髓中PDC散在分布,数量较少,不超过骨髓有核细胞的1%,每高倍镜视野下不超过10个,有报道MDS骨髓中PDC数量可达有核细胞的5%,每高倍镜视野下可达到35个[3]。也有报道MDS骨髓DC数量减少,功能受损,诱发T细胞增殖的能力减弱[4,5]。但DC在MDS中的作用究竟是影响疾病本身还是影响疾病发病中的免疫应答过程尚不清楚[6]。
目前,PDC相关的肿瘤包括两类[1,3]:一类是原始PDC肿瘤即母细胞性浆细胞样树突细胞肿瘤(BPDCN),预后差[7,8];另一类是伴有成熟PDC细胞增生的髓系肿瘤,极为罕见,该病与髓系肿瘤相关,于1983年首次报道[9],迄今报道80例[1]。该病存在两种克隆成分:PDC及髓系恶性克隆。其PDC形态类似正常PDC,免疫表型类似反应性PDC,表达CD123、CD303、CD304,其与BPDCN的原始PDC相比CD56阴性,Ki-67低表达,且未丢失正常成熟PDC的标志如CD68[1],常见于慢性粒单细胞白血病(CMML),也见于MDS、AML M4型或M5型[1,3,10]。临床表现有淋巴结肿大和皮肤病变(红斑、丘疹),罕有脾大[1],治疗髓系肿瘤可逆转PDC的浸润[11],预后欠佳,中位生存期11个月(0~84个月),预后取决于髓系肿瘤的演变[1]。Vitte等[11]报道16例具有皮肤病变的伴PDC增生的CMML患者,45%死于髓系白血病。欧洲骨髓工作组报道10例PDC肿瘤[3],8例为BPDCN,2例为伴成熟PDC增生的髓系肿瘤,该2例PDC占骨髓有核细胞的1%~5%,其中1例为不明意义的骨髓增生异常伴反应性PDC增生,临床表现为发热、全血细胞减少、疲劳、关节及肌肉疼痛,全身淋巴结肿大,染色体核型正常,支持治疗为主,生存时间>36个月;另1例为MDS伴多系病态造血(MLD)合并成熟的PDC肿瘤,临床表现为内分泌失调、疲劳,之后出现布加综合征。比较基因组杂交检测显示PDC染色体核型正常,髓系肿瘤细胞存在复杂染色体核型异常,二代基因测序其髓系肿瘤细胞与PDC均存在PTPN11突变,认为PDC增生是恶性克隆性病变,患者接受泼尼松口服治疗,获得血液学改善,但6个月后进展至MDS EB-2,患者接受了阿扎胞苷治疗,20个月后死亡。
本例患者因贫血及血小板减少入院,经骨髓象、骨髓活组织、免疫分型等检查明确诊断MDS EB-1,其骨髓还存在另一群异常细胞,经免疫分型证实为成熟PDC。但本例患者临床表现不同于文献报道,临床无皮损,未发现其他髓外PDC浸润的表现,也未检出影响预后的异常基因表达,白血病相关基因检测均阴性。由于实验室条件有限,我们未能将这两类异常细胞分别基因测序,因此患者PDC增生是反应性增生还是恶性增生,无法判定。给予患者3个疗程地西他滨治疗,以及支持对症治疗,病情得到改善。
总之,伴成熟PDC增生的MDS极为罕见,其生物学及临床意义尚不清楚,由于MDS造血功能障碍的类型和严重程度是高度可变的,且可向AML方向发展,预后差异较大[12],故伴成熟PDC增生的MDS预后依据MDS疾病进展而定。
所有作者均声明不存在利益冲突





















